En dentisterie restauratrice et esthétique, les choix de traitements et matériaux pour la région antérieure sont multiples. Le protocole classique, qui comprend la prise d‘une empreinte analogique en polyéther ou polysiloxane de vinyle, la fabrication d‘un modèle principal et d‘un modèle positif unitaire, d‘un wax-up et la pressée de matériaux céramiques, requiert un savoir-faire exceptionnel et dépend de la technique utilisée.
Le scannage intra-oral et la prise d‘empreinte numérique offrent un autre moyen très précis de transférer les informations de la cavité orale au laboratoire dentaire.1 À la différence de la procédure classique, le fichier numérique demeure sur l‘ordinateur et peut être traité immédiatement ou à tout moment.
En ce qui concerne les matériaux, divers produits plus récents, tels que les céramiques pressées ou usinées, offrent meilleure résistance et meilleure fonctionnalité ; toutefois, dans les faibles épaisseurs, ils n‘ont pas la beauté esthétique inhérente des matériaux traditionnels tels que la céramique feldspathique. Ces dernières années, la demande accrue des patients pour une meilleure esthétique est allée de pair avec le besoin de matériaux de restauration qui reproduisent fidèlement les dents naturelles des patients. Utilisée initialement pour fabriquer des prothèses en céramique, la céramique feldspathique est devenue le premier matériau esthétique pour les restaurations personnalisées au moyen de facettes.
Depuis peu, on a assisté à un regain d‘intérêt dans l‘utilisation de la céramique feldspathique en poudre/liquide pour la stratification manuelle en raison des valeurs très esthétiques et du peu d‘exigences de préparation, voire aucune, du matériau. La préparation réduite au strict minimum permet d‘éliminer moins de structure dentaire et de diminuer fortement la nature invasive des procédures, ce qui correspond exactement au souhait des patients.2
En contraste, les méthodes classiques de fabrication de la céramique ont été décrites comme des procédés chronophages, dépendant de la technique utilisée et imprédictibles en raison des nombreuses variables.
La CFAO pourrait donc représenter une excellente solution de remplacement pour les chirurgiens-dentistes comme pour les laboratoires.3 La CFAO peut également réduire le temps de fabrication des céramiques hautement résistantes jusqu‘à 90 %.1 De plus, les blocs fabriqués industriellement sont plus homogènes, leurs défauts sont minimes, et les restaurations issues de la CFAO soutiennent favorablement la comparaison avec les autres options de restauration.4, 5
Pour ce qui est des propriétés optiques et de la CFAO, il n‘est pas toujours possible d‘obtenir les effets optiques complexes d‘illusion assurant l‘esthétique de la région antérieure au moyen d‘un matériau esthétique monochromatique sans le besoin d‘une caractérisation finale par un prothésiste dentaire. Afin de dominer ces désavantages esthétiques d‘une restauration monochromatique, des blocs de céramique multichromatique ont été développés pour créer une structure 3D stratifiée. Ces blocs de céramique offrent un gradient de saturation de la couleur depuis la zone cervicale vers le bord incisif qui reproduit la dentine et l’émail dans le même bloc.6–8 L‘objectif de la présente étude de cas est de comparer les flux de travail numériques et analogiques sur dix facettes maxillaires en céramique en termes de résultat esthétique, de durée des procédures et de sensibilité technique pour le chirurgien-dentiste et le prothésiste dentaire.
Étude de cas
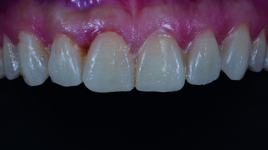
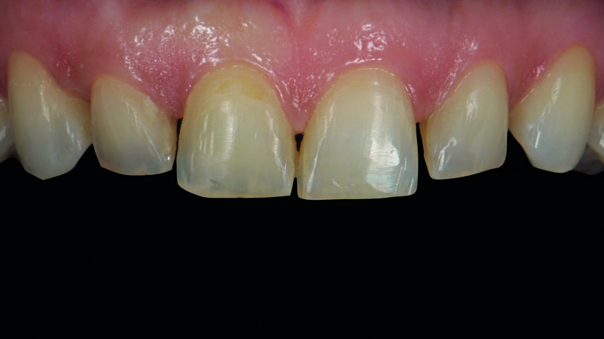
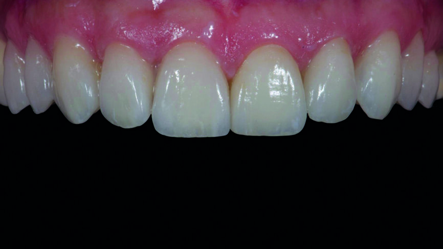
Une patiente âgée de 35 ans s‘est présentée au cabinet dentaire avec le souhait profond d‘un changement de l‘esthétique de la région antérieure (Fig. 1). Une maquette en cire diagnostique a été réalisée puis un mock-up en composite, afin d‘avoir une représentation préliminaire du résultat final.
Fig. 1 : Photographie initiale des dents antérieures avant le traitement orthodontique
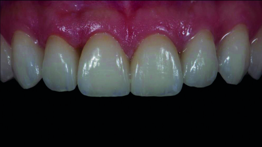
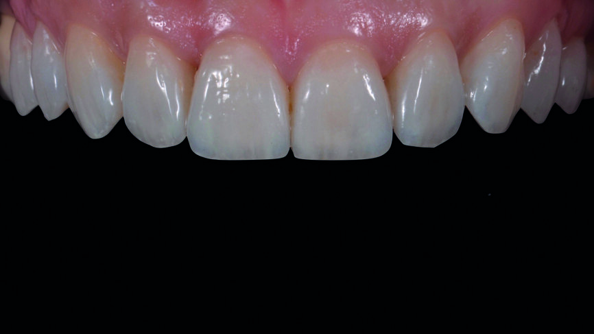
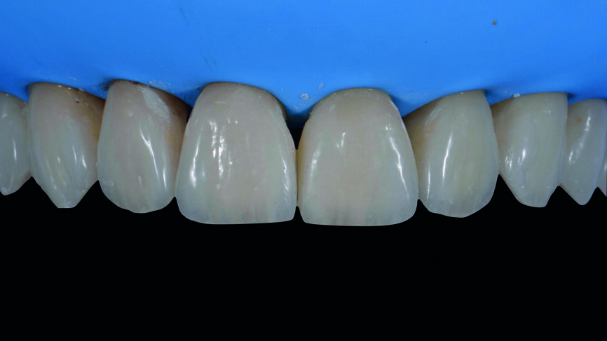
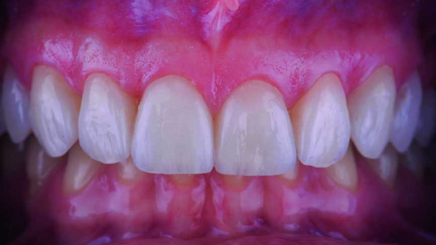
Fig. 2a : Dents antérieures après le traitement orthodontique.
Fig. 2b : Dents antérieures après le traitement orthodontique
Fig. 3 : Conception numérique du sourire montrant l‘élongation coronaire des dents 13, 12, 11 et 21 ainsi que le traitement de restauration des dix dents antérieures.
Fig. 4 : Warm-up sur le modèle en plâtre pierre en vue du traitement de restauration des dix dents antérieures.
Fig. 5 : Modèle imprimé en 3D issu de la conception numérique du sourire, pourvu d‘un make-up. Une ouverture au niveau cervical a été prévue pour faciliter l‘accès et le guidage au cours de la chirurgie d‘élongation coronaire.
Figs. 6a : Adaptation intraorale du guide chirurgical utilisé pour l‘élongation coronaire.
Figs. 6b : Adaptation intraorale du guide chirurgical utilisé pour l‘élongation coronaire.
Fig. 7 : Tissu parodontal des dents antérieures six mois après l‘élongation coronaire.
Fig. 8a : Clé en silicone selon le mock-up.
Fig. 8b : Dents antérieures après le traitement orthodontique.
Fig. 9a : Préparation selon le mock-up.
Fig. 9b : Vérification de la profondeur de la préparation au moyen de la clé en silicone, face palatine.
Fig. 9c : Préparation finale des dents.
Fig. 10 : Empreinte analogique en polysiloxane de vinyle
Fig. 11 : Empreinte numérique avec TRIOS.
Fig. 12a : Planification numérique des restaurations provisoires.
Fig. 12b : Restaurations provisoires en bouche (Telio CAD).
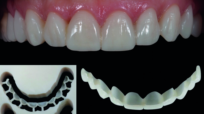
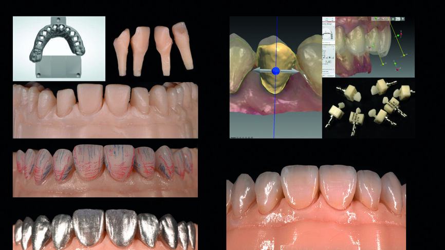
Fig. 13 : Flux de travail analogique (modèles positifs unitaires réfractaires, fabrication des facettes, ajustements, coloration/glaçage).
Fig. 14 : Flux de travail numérique (modèle imprimé en 3D, facettes réalisées en technique CFAO, ajustements, coloration/glaçage).
| Fig. 15a : Facettes en céramique feldspathique avec pâte d‘essai
Fig. 15b : Facettes réalisées en technique CFAO avec pâte d‘essai.
| Fig. 15c : Facettes en céramique feldspathique du premier quadrant et simultanément, facettes réalisées en technique CFAO du second quadrant avec pâte d‘essai.
Fig. 16a : Champ d’isolation et essayage de l’ajustement des facettes sur la dent 11 et la dent 21.
Fig. 16b : Mordançage de l’émail à l’acide orthophosphorique à 32 % pendant 30 secondes.
Fig. 16c : Application de l’agent de collage. |Fig. 16d : Polymérisation finale des facettes.
Fig. 16d : Polymérisation finale des facettes
Fig. 16e : Facettes in situ avant la finition et le polissage.
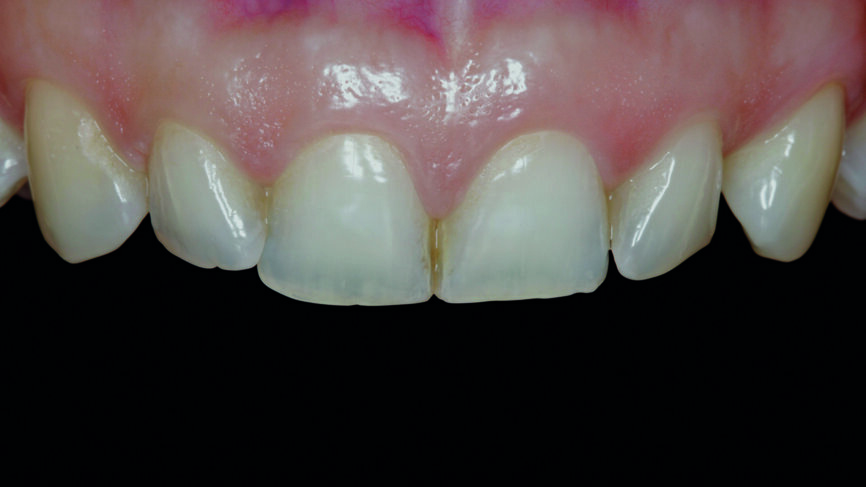
Fig. 16f : Résultat final immédiatement après le retrait de la digue en caoutchouc.
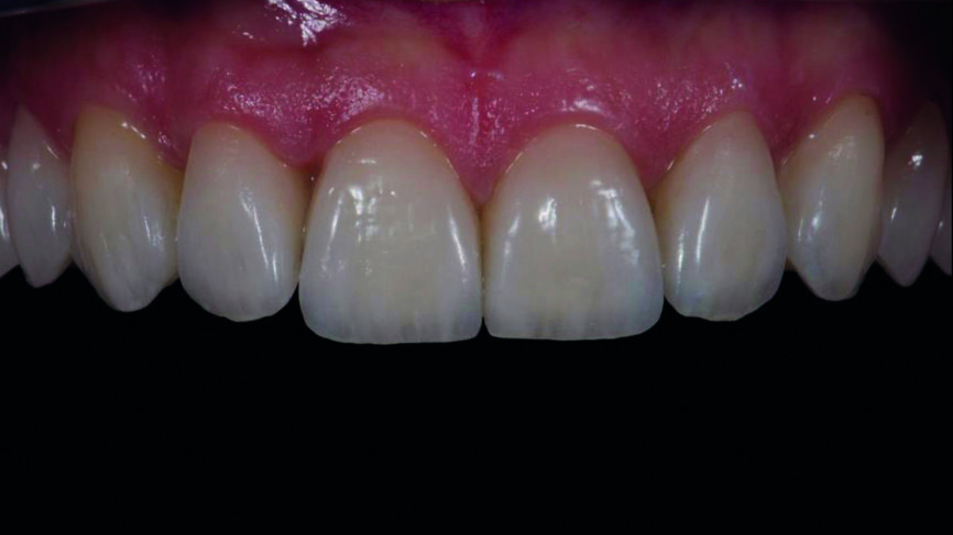
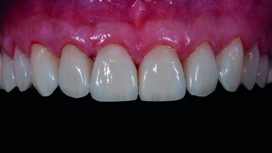
Fig. 17a : Résultat final une semaine plus tard.
Fig. 17b : Résultat final une semaine plus tard, vue de face
Fig. 17c : Lèvres au repos, exposition des bords incisifs
Fig. 17d : Large sourire.
Fig. 17e : Photographies extraorales finales.
Fig. 18a : Critères de comparaison subjectifs pour chaque étape des flux de travail analogiques et numériques.
PVS = polysiloxane de vinyle.
Fig. 18b : Durée en laboratoire pour chaque étape des flux de travail analogiques et numériques. PVS = polysiloxane de vinyle.
Le traitement orthodontique proposé visait à un alignement plus favorable des dents de façon à ne requérir qu‘une préparation minimale pour la pose des facettes et à réduire le recouvrement incisif. Une année après le traitement, la patiente est revenue pour la restauration prothétique définitive (Figs. 2a et b).
Méthodes et matériaux
Les principes de Coachman et Calamita9 ont été suivis pour concevoir numériquement le sourire et ont donné lieu à un plan de traitement d‘élongation coronaire et de pose des facettes sur les dents 15 à 25 (Fig. 3). Une maquette classique en cire diagnostique a également été réalisée (Fig. 4) ainsi que des mock-ups traditionnels et numériques puis les formes dentaires et leurs proportions ont été approuvées pat la patiente.
L‘élongation coronaire a été réalisée sous le guidage du mock-up numérique et l‘utilisation d‘une gouttière en résine acrylique transparente indiquant à la fois de degré d‘élongation et les limites de la gingivectomie et de l‘alvéolectomie requises lors de la phase de chirurgie parodontale de la restauration esthétique (Figs. 5 et 6).10
Après une période de stabilisation des tissus d‘une durée de sixmois (Fig.7), un mock-up a été fabriqué au fauteuil avec le composite Telio CS C&B (Ivoclar Vivadent) (Figs. 8a et b), et les dents ont été préparées avec des clés en silicone (Figs. 9a–c). Des empreintes classiques en polysiloxane de vinyle (Fig. 10) ainsi que des empreintes numériques (scanner TRIOS de 3Shape) ont été prises (Fig. 11).
Une prothèse provisoire a été réalisée numériquement en Telio CAD (Ivoclar Vivadent) dans l‘unité d’usinage CNC select de Wieland Dental. La conception a été réalisée à l‘aide du logiciel DentalDesigner, version 2015, de 3Shape (Figs. 12a et b). Deux jeux de restaurations définitives ont été fabriqués.
Le jeu de facettes en céramique feldspathique a été fabriqué en IPS Style (Ivoclar Vivadent) sur un modèle en plâtre-pierre, tandis qu‘un bloc IPS Empress CAD Multi (Ivoclar Vivadent) a été utilisé pour le jeu numérique (Figs. 13 et 14). Les deux jeux ont été évalués en bouche avec une pâte d‘essai afin de comparer les propriétés optiques des facettes feldspathiques et des facettes réalisées en technique CFAO (Figs. 15a–c).
Le clinicien et la patiente ont décidé subjectivement un scellement des facettes en céramique feldspathique en raison des légères différences dans la longueur des incisives centrales des deux jeux. Les procédures adhésives ont suivi (Figs. 16a–f) et des photographies intra-orales et extraorales ont finalement été prises une semaine plus tard (Figs. 17a–e).
Résultats
La prise d‘une empreinte intra-orale numérique est une autre procédure clinique qui s‘avère excellente par rapport à la technique d‘empreinte classique. Le plan de traitement numérique et le mock-up associé sont de puissants outils de communication à la disposition du chirurgien-dentiste, quoique l‘utilisation du logiciel exige des compétences particulières. Au regard du travail en laboratoire, mis à part les étapes de coloration et de glaçage, la plupart des techniques analogiques demandent plus de temps (fabrication des modèles positifs unitaires réfractaires, fabrication des facettes, ajustements) (Figs. 18a et b). Dans ce cas, le résultat esthétique des facettes en céramique feldspathique résultait d‘un choix subjectif mais le flux de travail analogique est beaucoup plus exigeant. Vu la réduction de la difficulté, de la vitesse, de la complexité et du désagrément causé au patient, l‘approche numérique est plutôt à privilégier (Figs. 18a et b).
Conclusion
La connaissance et la mise en oeuvre des procédures virtuelles de conception du sourire, associées à des technologies innovantes de laboratoire dentaire, permettent aux chirurgiens-dentistes de poser un diagnostic, d‘établir un plan, de créer et d‘offrir de nouvelles compositions dentaires esthétiquement plaisantes. Les progrès de la technologie CFAO ont en outre catalysé le développement de restaurations esthétiques à l‘aide de facettes fabriquées avec des matériaux industriels dotés de biopropriétés mécaniques supérieures et de propriétés esthétiques excellentes.
Le Dr Stavros Pelekanos a obtenu son diplôme à la faculté de chirurgie dentaire de l‘université nationale et capodistrienne d’Athènes en Grèce. Il a obtenu son diplôme de docteur en dentisterie prothétique à la faculté de chirurgie dentaire de l‘université Albert Ludwigs de Fribourg-en-Brisgau, Allemagne. Entre 1994 et 2001, il a été enseignant clinique en dentisterie prothétique, faculté de chirurgie dentaire de l‘université nationale et capodistrienne d’Athènes. Il a publié de nombreux articles et résumés scientifiques, rédigé le chapitre d‘un livre, et a reçu le 2e prix au concours du prix scientifique de l‘EAED (European Academy of Esthetic Dentistry) à Madrid, Espagne, en 2008. Le Dr Pelekanos exerce en cabinet dentaire privé à Athènes (athinasmile, www.athenasmile.gr) où il se concentre sur la dentisterie prothétique, la dentisterie esthétique, la parodontologie préprothétique et l‘implantologie. Il est professeur adjoint au service de dentisterie prothétique, faculté de chirurgie dentaire de l‘université nationale et capodistrienne, Athènes.
Le Dr Michalis Diomataris a obtenu son diplôme de chirurgien-dentiste (DDS) en 2009 à la faculté de chirurgie
dentaire de l‘université d‘Athènes, Grèce. En 2017, il a accompli une spécialisation dans le cadre du programme de troisième cycle en dentisterie opératoire à l‘université d‘Athènes. Depuis 2011, il supervise la formation des étudiants de premier cycle en chirurgie dentaire, dans le respect des principes contemporains de la dentisterie restauratrice et esthétique. En 2013, sa présentation d‘un cas intitulée « Restauration de classe IV d‘une incisive centrale supérieure » lui a permis de remporter le premier prix d‘un concours national organisé entre les étudiants de troisième cycle en dentisterie opératoire des facultés de chirurgie dentaire du pays. Depuis 2014, il est un membre de l‘équipe de la clinique dentaire de Stavros Pelekanos — AthinaSmile, à Athènes, Grèce, et y pratique la dentisterie restauratrice et esthétique ainsi que la dentisterie prothétique.
Michalis Papastamos a terminé ses études en 1983 et exerce depuis lors dans le domaine dentaire. Depuis 1989, il est propriétaire du laboratoire dentaire « Dental Aesthetic », spécialisé en restaurations esthétiques. Il participe à des séminaires donnés par des prothésistes dentaires et des chirurgiens-dentistes renommés en Grèce et à l‘étranger, s‘investissant dans la mise à niveau de ses connaissances et de sa formation. Il organise et donne également lui-même des séminaires et des démonstrations. Avec des chirurgiens-dentistes grecs et étrangers, il a participé à des programmes de restauration dentaire réalisés en direct où il était chargé de la partie dentaire. Il coopère avec la faculté de chirurgie dentaire de l‘université nationale et capodistrienne d’Athènes, dans le cadre de la dentisterie prothétique.
Note de la rédaction : cet article est paru dans le magazine cosmetic dentistry, beauty & science, volume 13, numéro 1/2019.
Mots-clés:
À la demande
webinaire en ligne
À la demande
webinaire en ligne
Dr. Katsuichiro Maruo D.D.S., Ph.D.
À la demande
webinaire en ligne
À la demande
webinaire en ligne
À la demande
webinaire en ligne
À la demande
webinaire en ligne
À la demande
webinaire en ligne
To post a reply please login or register