Les progrès en implantologie dentaire ont permis de fiabiliser les restaurations prothétiques unitaires et plurales partielles ou totales, ainsi que les protocoles de mise en charge immédiate des implants. Malgré le succès clinique prouvé de l’ostéointégration, et indépendamment du système de restauration, les protheses implanto-portées présentent des niveaux plus élevés de complications techniques par rapport aux prothèses dento-portées.1, 2 Cette différence réside en deux points fondamentaux :
- L’absence de mécanorécepteurs et de leur mécanisme de retroaction périphérique qui différencie la dureté et la texture des aliments.
- L’absence de ligament parodontal et sa résilience inhérente pour absorber les forces occlusales.
Une condition capitale pour le succès de la mise en charge immédiate, est la contention rigide des implants.
Cette notion a été démontrée depuis les années 1980. Des déplacements supérieurs à 30 micromètres lors de la phase d’ostéogenèse favoriseraient une différenciation des cellules souches vers la lignée fibroblastique, compromettant ainsi la qualité de l’ostéointégration.

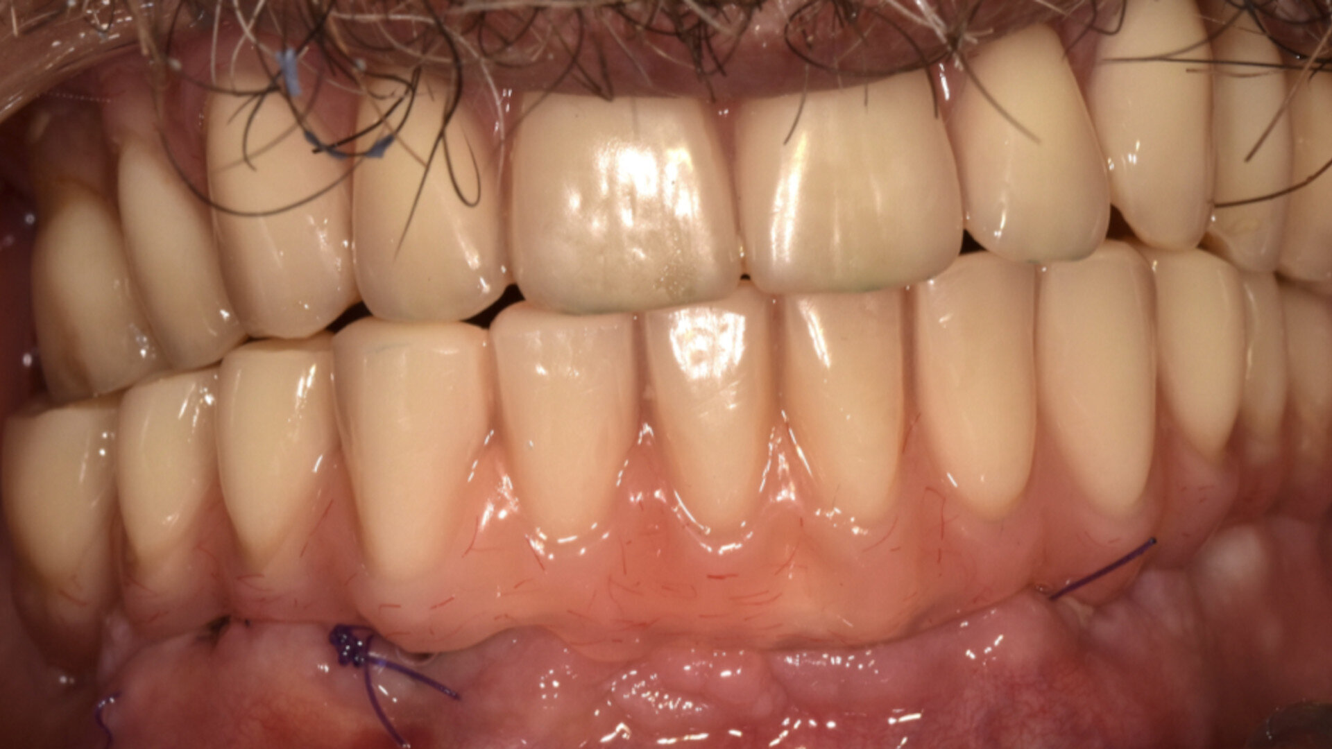
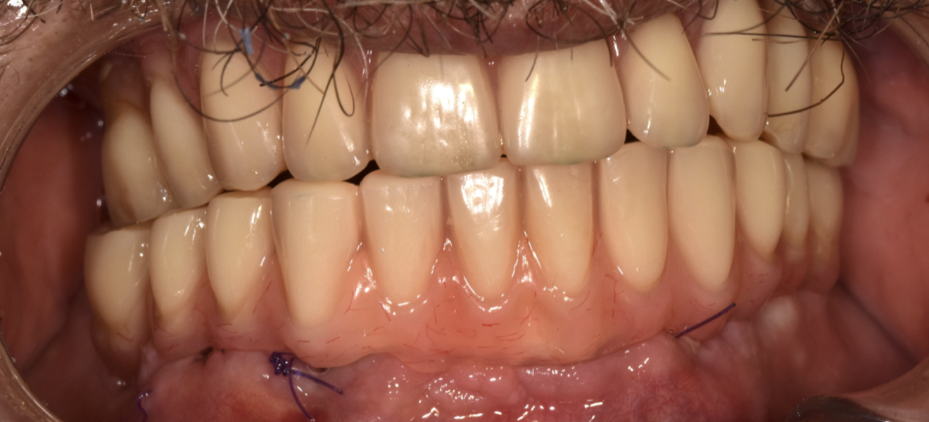
Fig. 1 : Bridges de transition CR/CO coulé/résine vissés en MCI.
Nous avons depuis la fin des années 1980 réalisé des prothèses avec succès en mise en fonction immediate après extractions et implantations. Celles-ci consistaient en une armature en CrCo coulée, sur laquelle étaient montées des dents du commerce, polymérisée en moufle de laboratoire. La rigidité de la contention était donc assurée, et la passivité de la structure obtenue par le collage de cylindres en titane dans l’armature, compensant ainsi les menues imperfections combines de l’empreinte, de la coulée du plâtre et de celle du métal (Fig. 1).
Le projet esthético-fonctionnel avant la mise en place d’implants reste la pierre angulaire du plan de traitement, il permettra de réaliser un guide scanographique, et éventuellement un guide chirurgical. Ce projet formera l’enveloppe externe de la future prothèse, qui sera stockée dans le logiciel de CAO. Les techniques numériques ont permis de simplifier et de perfectionner cette étape ; de même ells réduisent le temps de la prise d’empreinte pour la pose du bridge provisoire. L’empreinte numérique sur les scan bodies sera réalisée avec la prise d’occlusion. Elle sera instantanément transmise au laboratoire, qui l’ajoutera comme calque supplémentaire au fichier CAO du patient. Le design de la prothèse pourra rapidement être établi. Il en découlera la fabrication d’un bridge monolithique vissé comportant des bagues de collage en titane collées à l’intrados, ou d’une prothèse scellée directement sur les piliers implantaires. Nous savons tous que le comportement biomécanique de nos bridges est influencé par de multiples facteurs : espace interarcade disponible, nombre d’implants, forme de l’arcade, matériaux prothétiques, forces occlusales fonctionnelles et parafonctionnelles.
Depuis une dizaine d’années, la recherche s’est intéressée aux polymers haute performance, comme le PMMA : poly méthacrylate de méthyle. Cela fait longtemps que les matériaux destines à l’aérospatiale ont évolué en remplaçant avantagement les métaux par des structures polymériques. Pourquoi utiliser les PMMA ?
- Ils permettent une facilité de fabrication en méthode CAD/CAM.
- Les prothèses réalisées sont extrêmement précises et ne s’usent pas, elles sont très rarement cassées et facilement réparables.
Inconvénients des PMMA : Leurs propriétés mécaniques sont trop éloignées de celle de l’os, en effet le module élastique du PMMA est très faible, rendant illusoire la contention des implants fraîchement posés (Fig. 2). Ceci est confirmé par la photogrammétrie. L’expérience suivante a été réalisée ; un provisoire est réalisé en PMMA seule, à partir d’une empreinte optique intra-orale et une photogrammétrie.
Ce bridge provisoire est porté entre dix et vingt semaines. Une nouvelle empreinte optique et photogrammétrie sont réalisé à nouveau sur les piliers implantaires. Les positions des piliers implantaires ne sont pas superposables ;les implants ont migré dans les zones de moindre résistance. Il était donc necessaire de renforcer ce PMMA.
Différentes techniques analogiques ont été employées, de la grille métallique noyée dans la résine acrylique au renfort en CrCo coulé. Ces techniques sont chronophages, et coûteuses de surcroît. Nous utilisons maintenant pour nos MCI un nouveau matériau compatible avec le flux numérique : Le Zantex. C’est un polymère dense renforcé en fibre de verre bi bidirectionnelle (Fig. 3). Le matériau est compose d’une matrice en résine (25 %) renforcée par un réseau de fibres de verre (75 %). Le réseau de fibres tridimensionnel à motif croisé a été conçu de sorte que son module élastique de 35 GPa est environ dix fois celui du PMMA, et sa resistance à la traction est supérieure à celle de la zircone ! Il se présente sous forme de disque compatible avec les usineuses du marché (98 mm de diamètre, et disponibles en différentes épaisseurs).
Le Zantex présente donc d’excellentes propriétés de résistance à la traction, de flexion et de compression, tout en ayant une faible densité, pour le confort du patient. Il est biocompatible, facilement réglable, et ne nécessite aucune cuisson, tout en fournissant un haut niveau de liberté de conception et de fabrication. Sa particularité est l’adhésion parfait et durable avec les matériaux utilisés en restauration dentaire. Pour la mise en oeuvre de nos MCI, le Zantex est usiné en armature sur laquelle sont monté des dents du commerce et acrylique, polymérisée en moufle de laboratoire. La rigidité de la contention est donc assurée, et la passivité de la structure obtenue par le collage de cylindres en titane à l’intrados de l’armature (Figs. 4–7).
En ce qui concerne les bridges d’usage, nous évaluons depuis un an un nouveau matériau compatible avec le flux numérique : Le G-CAM. Il s’agit d’un disque acrylique thermoplastique composé d’une base principale de résine de polyméthacrylate de méthyle (PMMA) dopée au graphène, il est adapté à la réalisation de protheses dentaires sur implants à l’aide de la technologie CAD/CAM.
Intérêt du graphène : Le graphène est une couche unique de graphite, constituée d’un allotrope bidimensionnel stable de carbone, hexagonalement agencé permettant au matériau d’obtenir des propriétés mécaniques uniques. Parmi ses principales propriétés figurant une grande conductivité thermique et électrique, une forte résistance à la traction, une faible densité et un faible coefficient de dilatation thermique. Associé au PMMA, le graphène est donc un candidat idéal pour améliorer les performances des polymères. Le G-CAM a pu ainsi intégrer la famille des matériaux utilisés pour les prothèses d’usage (Fig. 8).
Caractéristiques techniques (Fig. 9) :
- G-CAM présente une résistance à la déformation élevée, évitant ainsi la formation de fissures et de fractures.
- G-CAM est de faible densité, ce qui rend la prothèse légère.
- Dureté accrue du matériau par rapport aux résines acryliques utilisées en dentisterie.
- Aspect similaire au tissu buccal, idéal pour les zones plus visibles.
- G-CAM a une couleur stable. Large gamme chromatique, même au sein d’une même pièce, ce qui lui confère un aspect extrêmement naturel.
- Le disque G-CAM est chimiquement inerte.
- L’absorption d’eau du G-CAM est de 4 g/mm3 et sa solubilité est de 0,5 g/mm2. La libération de monomère résiduel est minimale, avec un pourcentage de 0,004 % de monomère résiduel. Grâce à ces propriétés physiques, le G-CAM assure un traitement durable et sûr.
- G-CAM DISC : Les disques présentent une augmentation de la flexibilité et de la dureté superficielle. Ils permettent une répartition uniforme de la charge masticatoire et l’absorption des charges occlusales externes.
- Le graphène améliore la stabilité dimensionnelle, ce qui permet à la prothèse dentaire de conserver sa forme au fil du temps.
G-CAM format : Le disque G-CAM est disponible en deux formats différents: G-CAM Monochroma et G-CAM Multichroma. Les disques Monochroma et Multichroma peuvent être utilisés pour des restaurations monolithiques anatomiques complètes. Lorsqu’ils sont usinés, les disques G-CAM Monochroma et G-CAM Multichroma présentent un effet visuel différent :
- G-CAM Monochroma est compose d’une couleur pure basée sur le guide.
- G – C AM Multichroma Possède un spectre chromatique base sur la couleur naturelle imitant les effets optiques des pièces naturelles (Fig. 10).
Neuf couleurs de disques sont disponibles suivant la classification VITA : Transparent, BL2, A1, A2, A3, A3’5, B1, B2, C2.
Un bridge G-CAM a été réalisé en direct implants avec vis sphériques spécialement développées afin de limiter les contraintes au niveau de l’émergence des implants (Figs. 11a–c).
Ces nouveaux matériaux utilisés avec toute satisfaction depuis peu nécessitent de faire face au facteur temps. C’est la raison pour laquelle tous nos travaux sont réalisés avec l’accord de nos patients, ils peuvent grâce au flux numérique être remplacés à tout moment par un nouveau bridge en cas de défaillance.
To post a reply please login or register