LONDRES, Royaume-Uni : Les bactéries normales qui vivent dans notre bouche fournissent le catalyseur pour le développement de la maladie parodontale, a montré une nouvelle recherche de l'Institut Queen Mary, de l'Université de Londres.
Cette découverte inattendue pourrait ouvrir la voie à l'élaboration de mesures préventives dans la lutte contre les maladies des gencives, ou maladie parodontale, en manipulant les bactéries normales de la même manière que les yaourts probiotiques travaillent à protéger l'intestin.
Les chercheurs du Queen Mary Blizard Institute, qui comprend le Conseil de recherches médicales et la formation à la recherche clinique Mark Payne, ont travaillé sur l'étude en collaboration avec des scientifiques des États-Unis.
Les chercheurs ont inoculé la bactérie orale Porphyromonas gingivalis à des souris vivant dans deux conditions d'essai différentes. Les souris avec des bactéries normales dans leurs bouches ont développé une perte osseuse parodontale, mais les souris élevées dans des conditions sans germes, en l'absence de toute bactérie normale, sont restées indemnes.
"Quand la bactérie buccale P. gingivalis a été introduite dans des conditions normales, elle a stimulé la croissance des microbes normaux, conduisant à une augmentation importante du nombre de ces organismes déjà présents", a déclaré le Professeur Mike Curtis, Directeur de l'Institut Blizard et co-auteur de l'article.
"P. gingivalis a été introduite à des niveaux très bas, et pourtant elle a eu un effet majeur, à la fois sur le système immunitaire et le système inflammatoire", a-t-il dit.
Selon le chercheur, cette bactérie buccale apparaît seulement en petit nombre, mais semble avoir une influence majeure sur l'écologie globale. Elle a un effet de pierre angulaire dans une communauté, travaillant de la même manière que les étoiles de mer qui, en nombre relativement faible, ont le contrôle des communautés de coquillages dans la mer.
Curtis a dit que bien que les résultats soient encourageants en termes de compréhension de la façon dont se développe la maladie parodontale, il y a encore "du chemin à parcourir" avant qu'il y ait un produit sur le marché pour la maladie des gencives semblable à du yaourt probiotique pour l'intestin.
"Maintenant que nous savons que la maladie parodontale se développe par interaction de P. gingivalis avec les bactéries existantes dans notre bouche, nous avons besoin de comprendre le rôle joué par nos bactéries normales tant dans le développement de la maladie que dans la protection contre celle-ci", a déclaré Curtis. "Cela pourrait alors donner les moyens de développer des mesures préventives contre la maladie".
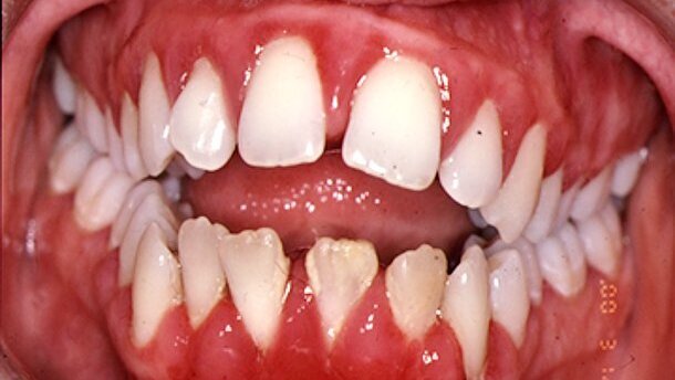
Le Professeur Farida Fortune, doyen de l'École de médecine dentaire de l'Université Queen Mary, a dit que la recherche est encourageante pour les gens qui souffrent de maladies des gencives, ce qui provoque un saignement des gencives et en fin de compte la perte des dents, entraînant des difficultés à la fois pour parler et pour manger.
"Les gens ont encore besoin d'être conscients de la façon dont ils s'occupent de leurs dents et de leurs gencives. Ils ont besoin d'accorder plus d'attention à leur hygiène bucco-dentaire. Leur hygiéniste local, le thérapeute dentaire et le dentiste peuvent tous aider à enseigner les techniques de nettoyage efficaces", a indiqué Fortune. "Ces mesures simples de prévention, ainsi que de ne pas fumer, contribueront quelque peu à les aider à éviter de développer une maladie des gencives".
L'étude a été publiée dans le numéro d'octobre du journal Cell Host and Microbe.
NEW YORK, NY, États-Unis : des chercheurs de la NYU ont trouvé les premières preuves, à long terme, que les parodontopathies ...
CLEVELAND, États-Unis : Les agents pathogènes parodontaux tels que Porphyromonas gingivalis et Fusobacterium nucleatum produisent cinq acides ...
ATLANTA, États-Unis : Des chercheurs aux États-Unis ont suggéré que l'utilisation de l'acide valproïque (VPA), un ...
DETROIT, États-Unis : Des chercheurs américains ont lié le nombre croissant d'adultes de moins de 45 ans atteints de cancers ...
BRÊME, Allemagne : De nombreuses études ont établi un lien entre le tabagisme et la consommation excessive d’alcool, et le ...
COPENHAGUE, Danemark : Des recherches récentes menées par l'Université de Copenhague et l'hôpital de Næstved au Danemark ont démontré que la ...
BRUXELLES, Belgique : La Fédération européenne de parodontologie (EFP) a annoncé une nouvelle directive visant à aider les professionnels de la santé ...
MELBOURNE, Australie : La valeur des bains de bouche dans le cadre de l’hygiène bucco-dentaire de routine a souvent été remise en question dans la ...
NEW YORK, États-Unis: L'Administratrice du Programme des Nations Unies pour le développement, Helen Clark, a qualifié les maladies...
BIRMINGHAM, Royaume-Uni: Dans une récente étude, des chercheurs de l’université de Birmingham ont examiné les dossiers de patients ayant des ...
Webinaire en direct
jeu. le 14 mai 2026
à 18h00 (CET) Paris
Webinaire en direct
jeu. le 14 mai 2026
à 20h00 (CET) Paris
Prof. Hani Ounsi DDS PhD FICD
Webinaire en direct
mar. le 19 mai 2026
à 17h00 (CET) Paris
Webinaire en direct
mar. le 19 mai 2026
à 19h00 (CET) Paris
Prof. Dr. med. dent. Ivo Krejci
Webinaire en direct
mer. le 20 mai 2026
à 13h00 (CET) Paris
Dr. Graham Carmichael BDSc (Hons), DClinDent (Pros), FRACDS, Dr. Robert Gottlander DDS
Webinaire en direct
mer. le 20 mai 2026
à 15h00 (CET) Paris
Webinaire en direct
mer. le 20 mai 2026
à 19h00 (CET) Paris
Prof. Dr. med. dent. Tim Joda PhD, MSc, eMBA
To post a reply please login or register