Search Dental Tribune

La technologie 3D dans le diagnostic et le traitement des maladies endodontiques

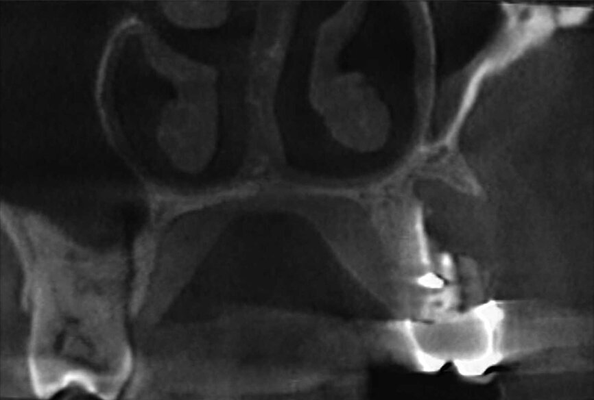
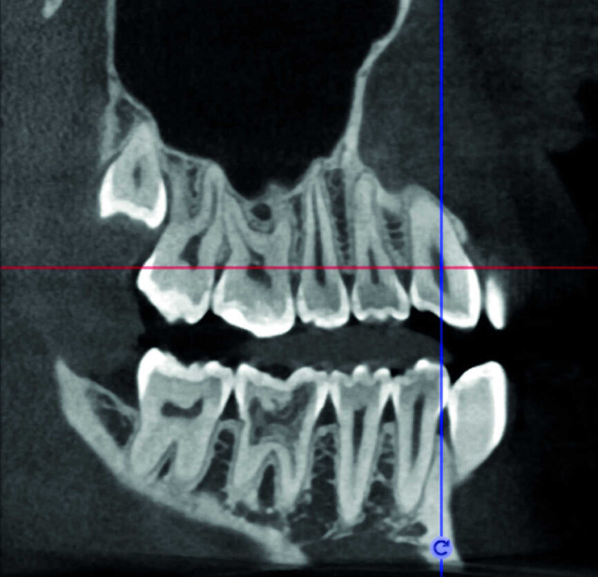
L’évaluation CBCT préopératoire est utile dans les cas nécessitant une approche chirurgicale, non seulement pour confirmer la présence d’une lésion, mais aussi pour planifier l’intervention et, en particulier, identifier le type d’incision chirurgicale à pratiquer, en fonction de la taille et de l’emplacement de la lésion en question (Photo : Dr Fabio Gorni)

jeu. 12 mai 2022

Enregistrer

Ces dernières années, la technologie associée au traitement endodontique a connu une véritable révolution. Très longtemps, le diagnostic et la planification du traitement endocanalaire ont reposé sur les radiographies intraorales, malgré la reproduction peu fiable de l’anatomie endodontique obtenue avec ces clichés. Les problèmes de nature technique qui en résultaient étaient partiellement surmontables grâce à l’expérience personnelle du praticien, mais restaient sans réponse à des degrés divers, notamment dans le domaine du diagnostic.

Personnellement, j’ai commencé à utiliser la tomodensitométrie volumique à faisceau conique (CBCT) à des fins endodontiques il y a plus de dix ans. Alors que les appareils utilisés à l’époque étaient loin d’être idéaux pour cet usage particulier, les possibilités offertes aujourd’hui par cette technologie de plus en plus sophistiquée, ont considérablement amélioré mes capacités diagnostiques et interventionnelles. Pour poser un diagnostic précis, un endodontiste doit procéder à une évaluation très minutieuse de l’anatomie canalaire et pulpaire, ce qui exige des techniques d’examen à haute définition, et un logiciel permettant de faire pivoter l’image de la dent avec précision et facilité. Cela peut sembler évident et trivial, mais en réalité ce ne l’est pas du tout. Au cours de la dernière décennie, j’ai en effet eu l’occasion de travailler avec un grand nombre de dispositifs et des dizaines de logiciels, et très peu se sont avérés adaptés à l’endodontie. Depuis quelques années maintenant, j’utilise la technologie Trium d’ACTEON et j’obtiens des résultats très satisfaisants. L’imagerie est très précise et extrêmement détaillée, et surtout, la convivialité du logiciel ACTEON Imaging Suite permet de détecter les différences, même les plus minimes, entre les diverses coupes radiologiques. Or ces différences sont d’une importance capitale pour poser un diagnostic endodontique correct et pour le processus décisionnel thérapeutique lui-même. La seule expérience du praticien n’est pas suffisante pour établir l’approche correcte qui doit être adoptée dans le cas d’une maladie endodontique. Après l’évaluation CBCT, il n’est pas rare que des cas cliniques, initialement prévus pour un traitement orthograde, se transforment en cas de chirurgie endodontique, ou vice-versa. On peut donc affirmer qu’aujourd’hui, la capacité d’effectuer ces examens simplement et rapidement, a réduit considérablement le nombre de diagnostics erronés et, par conséquent, le nombre d’erreurs cliniques.

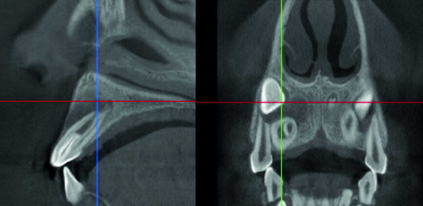
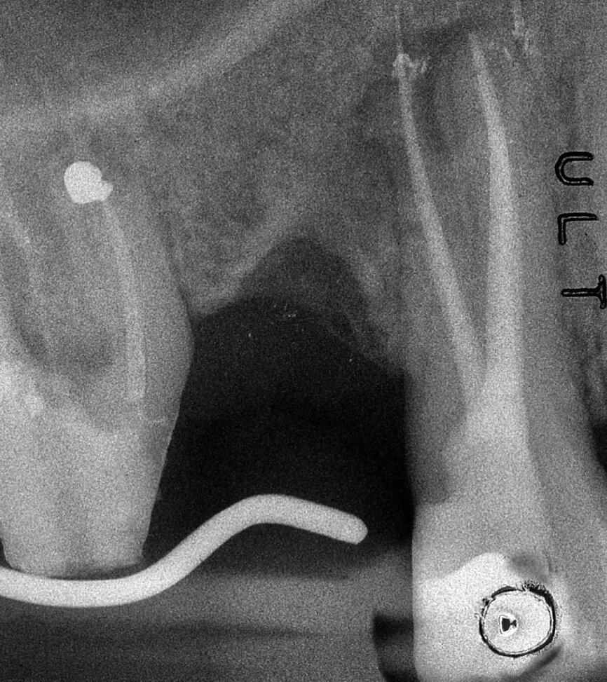
Le cas avec lequel je souhaite commencer mon exposé clinique est un exemple parfait de la difficulté à définir l’origine des symptômes d’un patient, par l’examen d’une simple radiographie intraorale. Non seulement l’examen 2D ne permet pas d’établir avec certitude la présence d’une lésion, mais surtout, il est impossible d’en déterminer la taille, la morphologie et le type. Au contraire, une analyse de l’imagerie 3D offre une image claire de la situation clinique. Chez ce patient, les coupes coronales et sagittales révèlent la présence d’une importante lésion s’étendant de l’apex de la racine mésiale de cette molaire jusqu’à la zone de furcation, tandis que les coupes axiales nous permettent d’analyser précisément l’anatomie endodontique et, en particulier, la forme de la racine mésiale, qui apparaît fusionnée avec la racine palatine. Un panorama complet du cas peut donc guider le processus de décision et orienter le plan de traitement vers une modalité bien précise de traitement (Figs. 1–4).

Dans la prémolaire maxillaire présentée dans les figures 5 et 6, le fistulogramme indique la présence d’une lésion apicale, qui s’étend en direction coronaire jusqu’au tiers moyen de la racine. La décision clinique pourrait donc s’orienter vers un retraitement orthograde ; toutefois, le cliché CBCT nous donne une tout autre vision de la situation que celle de la radiographie, dans la mesure où il montre une lésion irréversible de la dent due à un traitement antérieur, et la nécessité de l’extraire.

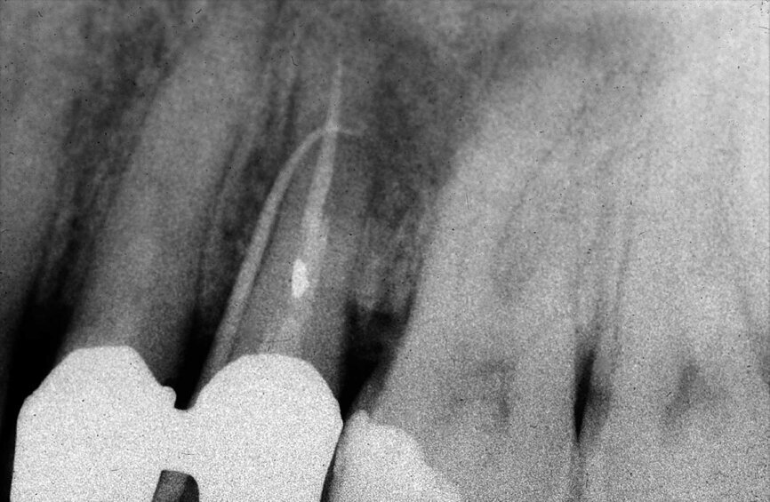
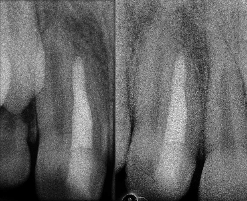
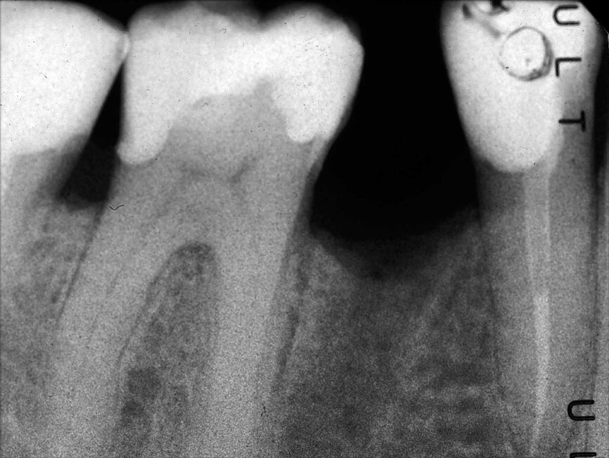
Il en va tout autrement pour la prémolaire mandibulaire présentée dans les figures 7 à 9 où, malgré l’absence de signes radiologiques de lésion et le traitement endodontique visiblement correct réalisé par un autre confrère, le patient se plaint d’une douleur persistante, qui est à la fois spontanée et déclenchée par un test de percussion de la dent. Dans ce cas, l’excellent traitement endocanalaire réalisé précédemment semble indiquer le besoin de recourir à une approche endodontique chirurgicale, susceptible de garantir un taux de réussite plus élevé que celui d’un simple retraitement. Étant donné le doute sur le diagnostic, nous avons décidé de réaliser un examen 3D et celui-ci révèle une lésion endodontique causée par un canal lingual resté sans traitement. Grâce à ce diagnostic exact, il devient possible d’envisager une intervention ciblée sur la pulpe restante, et de réaliser un traitement efficace du canal non traité.

Indéniablement, l’un des processus pathologiques les plus complexes à traiter est la résorption radiculaire externe invasive, où l’ampleur de la lésion limite les options de traitement. Une évaluation préopératoire de l’emplacement et de l’étendue de la résorption se justifie donc entièrement. Le potentiel de récupération dépend de la planification 3D adéquate de l’intervention, qui ne peut être accomplie qu’après l’examen des clichés CBCT. Il est très important de bien visualiser les coupes de la dent dans les trois plans, et de se concentrer particulièrement sur les coupes axiales, qui s’avèrent stratégiques du point de vue du diagnostic endodontique.

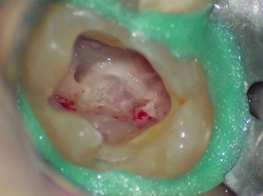
La comparaison des deux dents présentées dans les figures 10 à 22 démontre à quel point il importe d’analyser correctement toutes les coupes de l’examen CBCT. On peut voir que, dans la molaire maxillaire, la lésion commence sur la surface distale de la racine et pénètre dans la cavité pulpaire, mais s’arrête au tiers coronaire de la dent, sans affecter significativement l’intégrité du plancher de la cavité (Figs. 10–15). Les images cliniques illustrent les phases du traitement chirurgical, depuis le débridement de la résorption jusqu’à la restauration au moyen d’un ciment biocéramique (Figs. 16–19). Les clichés radiographiques finaux confirment le bien-fondé du traitement conservateur et endodontique de la dent. La situation est complètement différente pour la molaire mandibulaire, pour laquelle l’évaluation de l’examen CBCT révèle clairement l’étendue de la résorption, qui envahit le plancher de la cavité pulpaire jusqu’à la zone de furcation. Il serait impossible de détecter ce problème par le seul examen de la radiographie préopératoire (Figs. 20–22).

L’évaluation CBCT préopératoire est utile dans les cas nécessitant une approche chirurgicale, non seulement pour confirmer la présence d’une lésion, mais aussi pour planifier l’intervention et, en particulier, identifier le type d’incision chirurgicale à pratiquer, en fonction de la taille et de l’emplacement de la lésion en question (Figs. 23–25). Le cas spécifique présenté dans cet article est caractéristique de cette situation. La radiographie intraorale n’a pas permis de déterminer l’étendue de la lésion, qui touche non seulement la région apicale de la prémolaire, mais aussi un segment édenté en distal. Cette région doit faire l’objet d’un traitement régénérateur, afin de garantir la cicatrisation appropriée de la zone, suivi par la mise en place d’une membrane. Une approche totalement différente de celle requise pour la chirurgie endodontique doit être utilisée pour protéger le lambeau. Les différentes étapes de l’intervention sont illustrées dans les images peropératoires (Figs. 26–28). L’examen CBCT réalisé 12 mois plus tard, confirme la cicatrisation complète de la lésion apicale et la parfaite intégration de la greffe (Figs. 29–31).

Il existe un autre avantage convaincant de cette technologie 3D : la possibilité d’utiliser une approche minimalement invasive pour préparer la cavité d’accès. À titre de démonstration, le cas suivant est celui d’une invagination amélo-dentinaire, plus connue sous le nom de dens in dente. L’examen CBCT montre une séparation entre les deux systèmes canalaires de la canine, et la carie touche la zone de la dent où se situe le dens in dente. Le plan d’intervention consiste donc en un traitement endocanalaire sur une partie précise de la pulpe, le reste du tissu pulpaire devant rester vital. La séquence d’images du traitement montre comment l’examen CBCT et un microscope chirurgical, permettent d’obtenir un accès par une préparation minimalement invasive, qui va épargner une grande partie de la couronne clinique de la canine, et préserver la vitalité de la partie non atteinte de la dent. Six ans plus tard, le suivi radiographique confirme la cicatrisation complète de la lésion, et la partie vitale de la canine ne présente aucun signe pathologique (Figs. 32–37).

Note éditoriale:

Cet article a été initialement publié dans le magazine CAD/CAM, international magazine of digital dentistry, volume 10 – numéro 2/2019 et dans le journal Dental Tribune France volume 14 n`2+3/2022.

Mots-clés:
To post a reply please login or register
advertisement
advertisement