Search Dental Tribune

Carotte impactée transversalement.

Prélèvement à travers la gencive en secteur tubérositaire. (Photo : Dr Sepehr Zarrine)

mar. 24 mai 2022

Enregistrer

Utilisation des carottes osseuses ou ostéogingivales en extraction, implantation et mise en esthétique immédiate.
Les trépans sont utilisés depuis de nombreuses années en chirurgie pour récolter de l’os. Ces carottes osseuses sont moulinées ou utilisées verticalement, tel un anneau autour d’un implant. Il s’agit, dans cet article, de décrire une utilisation différente, permettant de compenser une perte osseuse vestibulaire en extraction et implantation immédiate. L’utilisation de la carotte osseuse en l’impactant transversalement par rapport à la crête, a été décrite et enseignée il y a une quinzaine d’année par Charbel Khoury en France. À notre tour, nous l’avons utilisée depuis 2007 dans plus d’une centaine de cas. Comme toute technique, elle s’affine avec le temps et la multiplicité des patients.

Au travers de trois cas cliniques, nous allons décrire la méthode initiale et ses variantes, qui permettent de s’adapter en fonction des situations cliniques. En effet, en fonction de la disponibilité osseuse et du site de prélèvement, le trépan prélèvera un bloc circulaire cortical, cortico-spongieux, ou oséto-gingival avec une utilisation et une méthodologie différentes.

L’objectif sera de décrire pourquoi et comment les utiliser, lors d’une perte osseuse de la paroi osseuse vestibulaire suite à une fracture radiculaire. Sachant que la taille du défaut est directement liée à l’ancienneté de la fissure, plus elle sera détectée précocement moins elle entraînera une résorption osseuse importante. Plus cette lésion perdurera, plus l’os sera touché et la gencive affectée.1 L’implantation immédiate associée à une régénération osseuse guidée peut être compromise, et une mise en esthétique par une dent provisoire implanto-portée sera déconseillée.2

Cas numéro 1 : Carotte osseuse cortico-spongieuse

Après extraction de la première prémolaire maxillaire fracturée (Fig. 1), le soulèvement d’un lambeau a mis en évidence une perte osseuse vestibulaire sur toute la hauteur de la racine (Fig. 2). Cette lésion en « V » est rendue circulaire par un trépan de diamètre 5 mm (Fig. 3). Cela correspond au calibrage du défaut (Fig. 4). Le site d’extraction est parfaitement cureté. Le forage implantaire est réalisé contre la corticale palatine de l’alvéole d’extraction, au-delà de l’apex, pour permettre l’ancrage du futur implant. Le placement tridimensionnel de celui-ci est primordial par rapport aux collets anatomiques des dents adjacentes, ainsi que dans le sens mésio-distal et vestibulopalatin.3

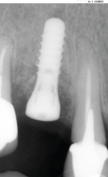
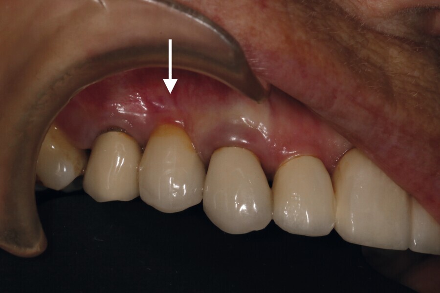
Il ne faut surtout pas être piégé par la hauteur d’os perdu et enfouir plus l’implant. Un tissue level est parfaitement stabilisé grâce à ses dernières spires. (Implant TL Straumann SP 4,1 RN, longueur 12 mm SLActive). Une incision limitée en étendue et en forme de « H » est réalisée dans le secteur de la dent de sagesse inférieure, pour un abord crestal. Un trépan de diamètre supérieur au trépan de calibrage (Fig. 5), donc 6 mm dans ce cas, permet de prélever une carotte de 4 mm de profondeur (Fig. 6). Elle forme un bloc circulaire cortico-spongieux qui est impactée en force, transversalement à l’implant (Fig. 7). La surface SLActive de l’implant est au contact de l’os spongieux richement vascularisée et la partie corticale protège cet ensemble et referme parfaitement le défaut osseux (Fig. 8). L’os greffé est entouré par l’os du site receveur sur tout le pourtour. Son immobilité totale permettra sa consolidation et sa revascularisation.4 Il n’est pas utile d’enfouir l’implant ni d’utiliser une membrane, car il n’y a pas de substitut osseux (Fig. 9). La couronne définitive est réalisée à trois mois (Fig. 10). Le suivi de cette patiente montre un excellent comportement ostéo-gingival à dix ans, tant radiologiquement (Fig. 11), que cliniquement (Fig. 12).

Cas numéro 2 : Coffrage par carotte osseuse corticalisée

La fracture radiculaire d’une incisive latérale a causé un défaut de la table osseuse vestibulaire (Fig. 13). La préparation du site d’extraction, le placement de l’implant et le prélèvement de l’os sont réalisés avec une méthode identique à celle décrite dans le premier cas clinique :

  • Extraction.
  • Curetage.
  • Calibrage du défaut au trépan (Fig. 14).
  • Forage su site implantaire.
  • Lambeau de petite étendue en secteur ramique (secteur dent de sagesse ou ligne oblique externe de la mandibule).
  • Prélèvement osseux par un trépan de diamètre supérieur.
  • Pose de l’implant.

 

Cependant, cette carotte osseuse peut être essentiellement composée d’os cortical. Dans ce cas, la revascularisation est très lente et le greffon peut perdre sa vitalité. Greffer un bloc corticalisé quel que soit sa forme, en apposition ou en carotte, aura un taux d’échec extrêmement élevé. Au contraire, si la reconstruction est faite comme un coffrage en imitant une régénération osseuse guidée avec une paroi vestibulaire et des particules, alors le taux de réussite sera maximal.5

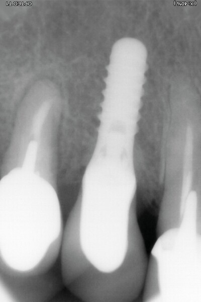
Dans les cas cliniques présentés dans cet article, la carotte osseuse fournit une table osseuse de forme circulaire, et son immobilisation est par impactage et non par vissage. Ce sont ces deux particularités qui nous permettront de placer l’implant dans le même temps opératoire. En effet, la carotte osseuse est désépaissie en la coupant en deux en épaisseur. Une partie est transformée en copeaux d’os et mélangée à l’os de forage, récupéré dans les rainures des forets BLT Straumann (Fig. 15). Une fois l’implant parfaitement ancré (Fig. 16), cet os particulaire est placé contre la surface implantaire (Fig. 17). La rondelle corticale restante est impactée et sert ainsi de mur vestibulaire (Fig. 18). Cet ensemble se retrouve parfaitement dans les contours osseux. L’implant ayant une stabilité primaire suffisante, une dent provisoire en composite sur pilier PMMA est transvissée.

Cas numéro 3 : Carotte ostéoginigivale

Une fracture radiculaire de 22 a lésé la table osseuse vestibulaire et la gencive en regard. Elle est extraite minutieusement à l’aide du Benex (Fig. 19). Un curetage de l’alvéole est réalisé manuellement puis au contra-angle, à l’aide d’une fraise boule multilame de gros diamètre. Un lambeau de pleine épaisseur est soulevé (Fig. 20).

Comme la technique initiale, le défaut osseux est calibré par un trépan (Fig. 21) d’extraction-implantation immédiate, plus apicale que l’apex de l’alvéole dentaire et aux dépens de la corticale palatine.

Dans certaines situations cliniques, l’étude radiologique tridimensionnelle montre un volume osseux exploitable en position de 18 ou 28. Il est alors aisé de réaliser le prélèvement au trépan, sur ces sites habituellement larges. Toute la pertinence dans ce cas est de le réaliser à travers la gencive kératinisée et obtenir ainsi une carotte ostéo-gingivale (Fig. 22). De ce fait, il ne faut pas faire d’incision ou de lambeau pour ouvrir l’accès au trépan. Le geste devient extrêmement rapide mais nécessite une bonne connaissance anatomique, une excellente analyse de la planification 3D, puis un bon repérage clinique.6

Mal orienter l’instrument en palatin reviendrait à léser l’artère palatine descendante.
Se rapprocher de l’extrémité de l’arcade pourrait léser les ailes de la ptérygoïde.
Un forage trop mésial pourrait toucher la racine distale de la dernière dent.
Incliner trop en vestibulaire donnerait une quantité osseuse moindre.

Il est donc indispensable de bien mesurer radiologiquement l’os disponible dans tous les sens de l’espace. Cette mesure est à reporter cliniquement à partir de la face distale de la dernière molaire, et depuis la ligne médiane de la crête édentée. Cela permettra de se placer tridimensionnellement dans le volume osseux disponible.

Certains logiciels de planification permettent de simuler les volumes. Cela permet de préfigurer le bloc osseux nécessaire au site receveur, puis de le reporter sur le site donneur et voir ainsi si le volume osseux nécessaire sera disponible.

Pour connaître la profondeur de trépanation, il suffit d’enfoncer la sonde parodontale et de mesurer l’épaisseur de gencive sur l’os. En y ajoutant 4 mm, la profondeur finale est obtenue pour avoir suffisamment d’os. Une fois la carotte ostéogingivale prélevée (Figs. 23 et 24), il ne faut pas séparer l’os de la gencive, mais réduire l’épaisseur gingivale en supprimant la partie kératinisée (Fig. 25). Un implant cylindroconique (Straumann BLT 3,3 SLActive Roxolid) est parfaitement ancré (Fig. 26). La carotte d’os et sa gencive toujours adhérente, sont alors impactées transversalement à l’implant (Fig. 27). La partie osseuse spongieuse est au contact de l’implant, pendant que le conjonctif qui y est attaché, est utilisé comme un greffon conjonctif enfoui sous le lambeau vestibulaire.

Cette technique devient alors une combinaison entre la greffe osseuse simultanée à l’implant, décrite dans le premier cas clinique, et une greffe gingivale (Figs. 28 et 29). Lorsque la stabilité primaire est importante, la mise en esthétique peut être envisagée. Ce sont les implants cylindroconiques qui donneront le meilleur ancrage. Des points de suture matelassiers verticaux plaquent et repositionnent verticalement les papilles interdentaires (Monofilament Seralon 5.0).

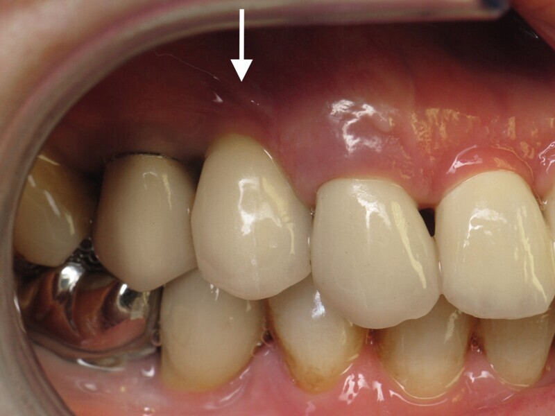
Une dent provisoire transvissée est confectionnée sur un pilier PMMA par couches successives de composite (Fig. 30). La couronne définitive céramo-zircone sur pilier variobase est transvissée à quatre mois. Un contrôle à deux ans montre une stabilité de l’environnement parodontal (Fig. 31).

Conclusion

L’utilisation d’une carotte osseuse est appliquée dans les cas de perte osseuse vestibulaire où la régénération osseuse guidée est également efficace. L’inconvénient est le prélèvement sur un second site mais cette technique présente cependant plusieurs avantages :

  • Extraction et implantation immédiate.
  • Pas d’utilisation de biomatériaux ni de membrane.
  • Possibilité de mise en esthétique.

Le site de prélèvement est très limité et le temps chirurgical court. De ce fait, les suites postopératoires sont très faibles et la guérison rapide. En effet, le volume prélevé est moins important qu’une extraction dentaire. Habituellement le site donneur est le secteur des dents de sagesse mandibulaires, sur la crête ou au niveau du balcon osseux qu’offre la ligne oblique.

Lorsque les sites en extrémité d’arcade maxillaire présentent suffisamment de volume, le prélèvement d’une carotte ostéogingivale (dékératinisée) permet de reconstruire le tissu dur et de renforcer les tissus mous, par l’apport de conjonctif qui y est attaché. Cette technique de reconstruction osseuse et ostéo-gingivale est notre premier choix lors des extractions-implantations immédiates avec perte de la table vestibulaire. Cependant, même si cette technique est notre priorité dans les types de cas décrits ci-dessus, notre décision thérapeutique sera orientée vers une ROG, lorsque le stress du patient ou l’ouverture buccale risque de compliquer l’intervention.

Références

1 Corbella S, Taschieri S, Samaranayake L, Tsesis I, Nemcovsky C, Del Fabbro M. Implant treatment choice after extraction of a vertically fractured tooth. A proposal for a clinical classification of bony defects based on a systematic review of literature. Clin Oral Implants Res. 2014 Aug;25(8):946-56.
2 Chen ST, Buser D. Esthetic outcomes following immediate and early implant placement in the anterior maxilla–a systematic review. Int J Oral Maxillofac Implants. 2014;29 Suppl: 186-215.
3 Bonnet F, Karouni M, Antoun H. Esthetic evaluation of periimplant soft tissue of immediate single- implant placement and provisionalization in the anterior maxilla. Int J Esthet Dent. 2018;13(3):378-392.
4 Khoury F. Greffes osseuse en implantologie. Quintessence International. 2010.
5 Keller P, Doliveux R. Les augmentations latérales avec de l’os autogène. Le Fil dentaire : 147, 24-27.
6 Gaudy JF, Cannas B, Gillot L, Gorce T, Charrier JL. Atlas d’anatomie implantaire. 2e édition. Masson. 2011.

Note éditoriale:

Note de la rédaction : Cet article a été initialement publié dans le journal-stomato-implanto.com, La lettre de la Stomatologie, numéro 83, novembre 2019 et publié dans le journal Dental Tribune France du mois de Janvier 2022 VOL. 14, NO. 1

Mots-clés:
To post a reply please login or register
advertisement
advertisement