À gauche : Maîtres cônes mis en place dans le canal ; à droite : Radiographie des maîtres cônes pour confirmer la longueur de travail définie. (Photos : Dr Georg Benjamin)
Les perforations sont une complication à laquelle doit faire face quotidiennement un cabinet d’endodontie. Les ciments hydrauliques à base de silice permettent un bon pronostic de fermeture des perforations mais à la question ≪ Comment restaurer parfaitement une dent perforée ? ≫, aucune réponse n’a encore été apportée.
Étude de cas
Un patient a consulté le service des urgences pendant le week-end en raison d’une douleur au nouveau de la dent 27. Pendant la pulpectomie, le praticien a remarqué un écoulement de sang très important provenant de l’un des canaux, et a recommandé au patient de consulter son chirurgien-dentiste le lundi suivant pour un suivi.
Ayant examiné les radiographies, ce chirurgien-dentiste a diagnostiqué une perforation canalaire et a adressé son patient à notre cabinet.
Une analyse au Cone-beam CT (Figs. 1 et 2) m’a permis de mieux évaluer le degré de perforation, et la dent a été traitée le même jour. En raison de la rotation de la dent, compensée par la couronne, le canal palatin se trouvait en position beaucoup plus distale que prévu. La perforation a été fermée au moyen d’un ciment hydraulique à base de silice (Fig. 3) et les canaux radiculaires ont été préparés jusqu’à un calibre de lime de 30.04. Les canaux ont été irrigués à l’hypochlorite de sodium (NaClO) et obturés provisoirement (Figs. 4 et 5).
Figs. 1 et 2 : Tomodensitométrie à faisceau conique (CBCT) de la dent 27.
Figs. 1 et 2 : Tomodensitométrie à faisceau conique (CBCT) de la dent 27.
Fig. 3 : La perforation a été fermée avec un ciment hydraulique à base de silice.
Fig. 4 : L’orifice a été provisoirement fermé avec un matériau d’obturation hygroscopique provisoire et recouvert d’un composite fluide de couleur bleue.
Fig. 5 : Radiographie de la fermeture de la perforation après la première visite.
Fig. 6 : Le ciment hydraulique à base de silice après sa prise complète.
Fig. 7 : L’excès de ciment a été éliminé autant que possible.
Fig. 8 : Dentine et ciment obturés avec G Premio BOND.
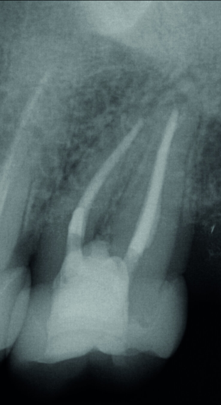
Fig. 9 : Maîtres cônes mis en place dans le canal.
Fig. 10 : Radiographie des maîtres cônes pour confirmer la longueur de travail définie.
Fig. 11 : Sablage avant la fermeture par everX Flow.
Fig. 12 : everX Posterior
Fig. 13 : everX Flow, teinte dentine.
Fig. 14 : Essentia Masking Liner
Fig. 15 : Restauration par Essentia Universal.
Fig. 16 : Mise en forme et modelage au moyen d’un pinceau GRADIA de GC.
Fig. 17 : Contrôle de l’occlusion.
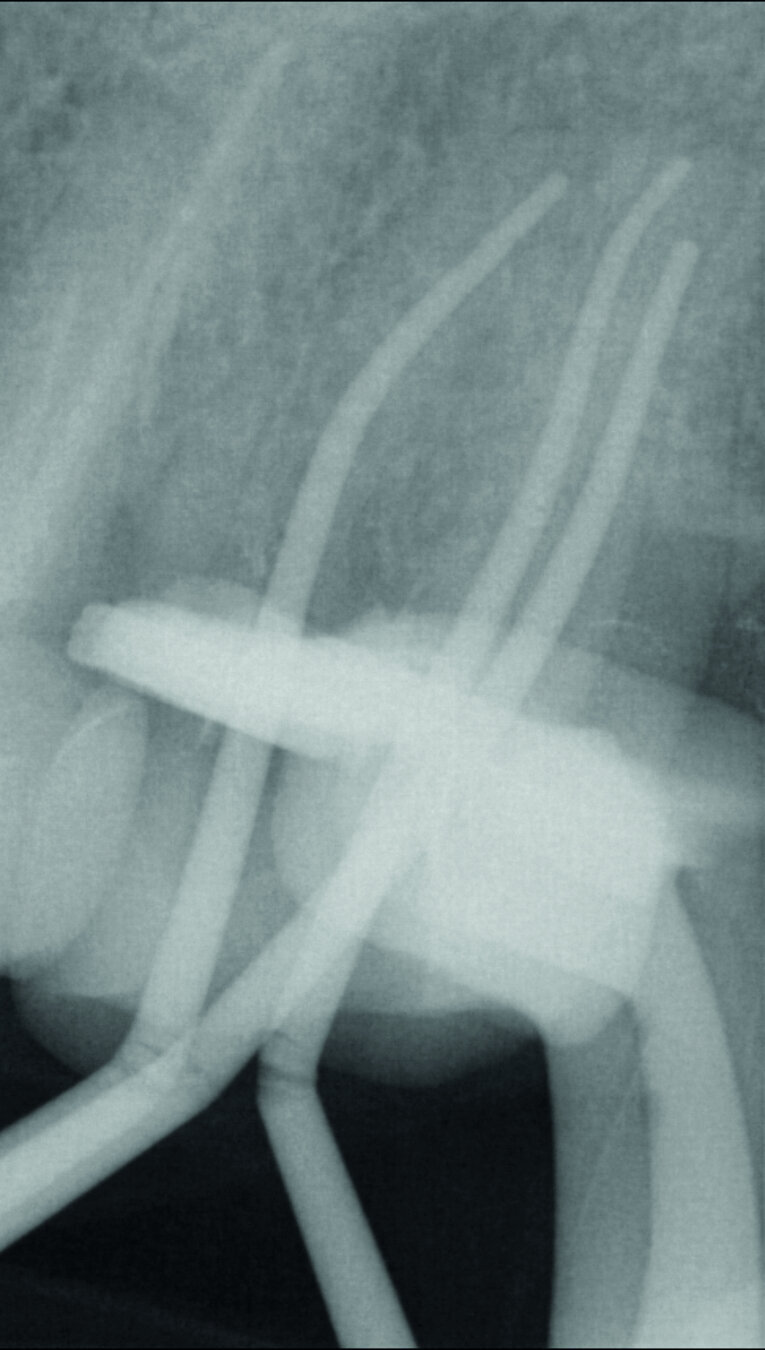
Fig. 18 : Examen radiographique final.
Au cours de la deuxième visite, l’excès de ciment hydraulique à base de silice a été éliminé autant que possible (Figs. 6 et 7) puis la dentine a été obturée au moyen de G-Premio BOND avant une désinfection par NaClO, selon le protocole de ≪ scellement endodontique immédiat (IES) ≫,1 qui est similaire au protocole de scellement dentinaire immédiat (IDS) (Fig. 8). Cet adhésif universel doit être sèche à l’air sous pression élevée. Il est idéal pour les cavités endodontiques profondes car il n’y a pas d’accumulation de l’adhésif sur le fond cavitaire.
Le matériau d’obturation du canal radiculaire (Figs. 9 et 10) a été enfoui aussi profondément que possible afin de parvenir à une surface de rétention adhésive maximale pour la fermeture post-endodontique, puis un sablage par Al2O3 a été réalisé (Fig. 11). Ensuite, everX Flow de teinte translucide (Bulk) a été utilisé et a comblé un hiatus dans mon protocole de traitement. Le produit s’écoule très bien, sans formation de bulles, dans la profondeur des canaux et il permet donc l’obturation des petits canaux radiculaires avec un matériau composite renforcé en fibres de verre (glass fibre reinforced material, FRC). Dans ce cas, j’ai utilisé everX Posterior, de viscosite plus élevée, selon la technique dite de chasse-neige.
EverX Flow (teinte translucide - Bulk) et everX Posterior permettent de circonscrire toute la surface de la perforation et procurent une stabilité qu’il ne serait pas possible d’obtenir avec un tenon en fibre de verre. Grâce à leurs propriétés d’obturation en bloc et aux nombreuses petites fibres de verre, la lumière nécessaire à la photopolymérisation est transmise profondément dans la cavité.
Pour garantir l’obturation invisible de la couronne, une couche de everX Flow de teinte dentine a été appliquée par-dessus everX Posterior (Figs. 12 et 13). L’utilisation du fond de cavité Essentia Masking Liner (Fig. 14) offre une sécurité supplémentaire pour parvenir à une luminosité optimale.
La restauration de la couronne s’est poursuivie avec Essentia Universal (Fig. 15). J’ai utilisé les pinceaux GRADIA en combinaison avec le liquide de modelage de GC pour façonner la morphologie anatomique (Figs. 16 et 17).
Les différentes couches peuvent être clairement distinguées sur la radiographie postopératoire (Fig. 18).
Conclusion
Un composite renforcé en fibres (FRC) résiste mieux à la fracture qu’un composite classique en raison de l’action simultanée de plusieurs mécanismes de renforcement, tels que la déviation et l’arrêt des fissures.2 La stabilité qu’il procure à la dent perforée ne serait pas réalisable avec un tenon en fibre de verres. La cavité pulpaire entière est renforcée avec ce matériau anti-fissures. Les propriétés physiques de everX Flow sont un réel avantage dans la fermeture adhésive de perforations post-endodontiques.
Références
1 De Rose L, Krejci I, Bortolotto T. Immediate endodontic access cavity sealing: fundamentals of a new restorative technique. Odontology. 2015;103:280-5.
Dr Georg Benjamin a accompli ses études à l’universitéde Würzburg (Allemagne)et à l’université d’Umea (Suède) de 2005 à 2010. Il a été assistant chirurgien- dentiste à Brieselang de 2011 à 2012. Ensuite, en 2013, il est devenu chirurgien-dentiste au cabinet Endo Berlin Süd. Son travail porte sur les traitements endodontiques de cas adressés par des tiers. En 2015, il a participé à la création du blog dentaire : www. saurezaehne.de, une collection numérique de cas et de rubriques dentaires permettant le partage d’expériences avec des pairs. Lors de l’IDS 2019, il a lancé le podcast international de dentisterie clinique « Dental Bonding ».
CHENGDU, Chine : Le développement des racines dentaires dépend de voies de communication cellulaire précises. Des chercheurs chinois ont montré comment ...
SAINT-BONNET-LES-OULES, France : Un saignement au brossage, un léger gonflement ou une sensibilité gingivale peuvent sembler anodins. Pourtant, selon le ...
To post a reply please login or register