Le paradigme de cette décennie en dentisterie restauratrice
Cet article illustre la planification du traitement de restauration très complexe d’un cas dont les dents étaient atteintes de graves lésions. Commencée et réalisée en partie il y a plus de dix ans, la restauration n’a été achevée que relativement récemment.
Quoique dix années seulement séparent les deux phases du traitement (2005 et 2015 pour l’arcade maxillaire et l’arcade mandibulaire respectivement), leur planification et le degré de réduction de substance dentaire dénotent un profond changement de paradigme.
Étude de cas
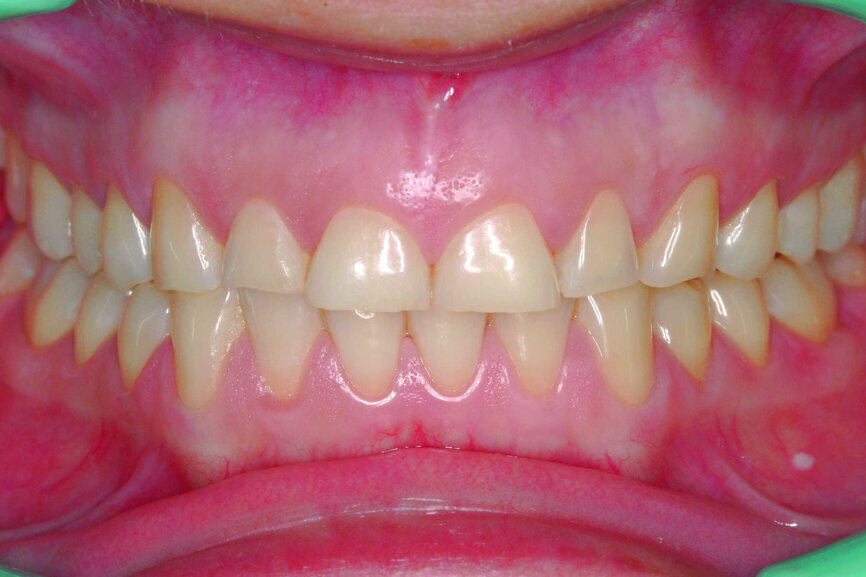
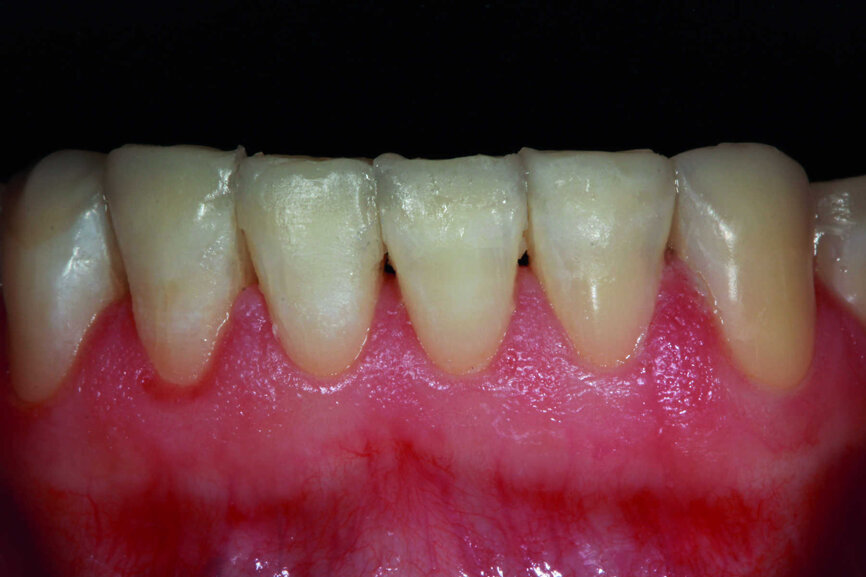
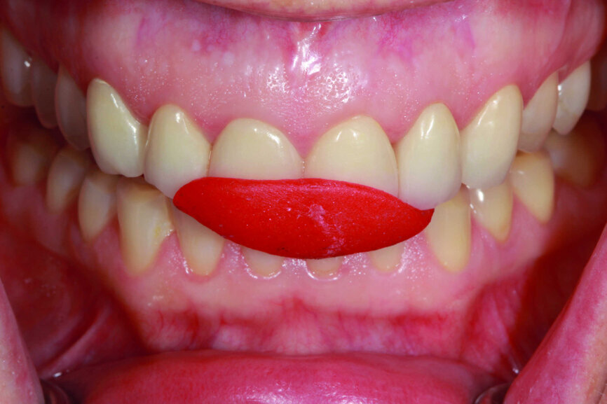
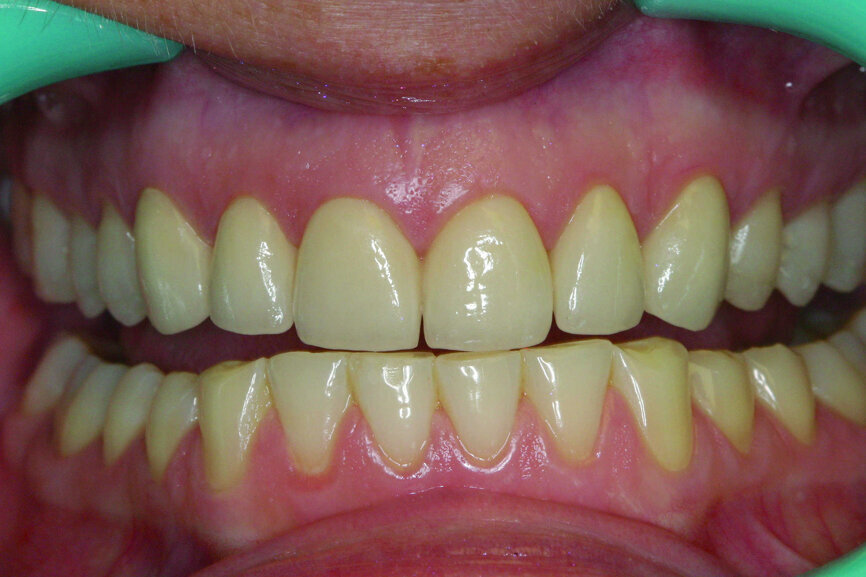
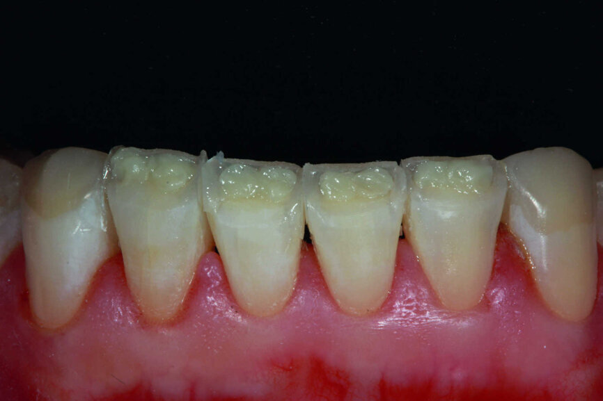
Douze ans auparavant, une jeune femme de 25 ans s’était présentée au cabinet dentaire avec le souhait de restaurer son sourire (Figs. 1–3). Un trouble chronique du comportement alimentaire dont elle avait souffert avait gravement endommagé ses dents antérieures supérieures et inferieures. En 2005, le plan d’une restauration complexe de la cavité orale avait été proposé à la patiente.
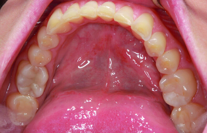
Commençant par le traitement de l’arcade maxillaire, le plan avait consisté à fabriquer des onlays tout-céramique qui avaient été mis en place sur les dents postérieures supérieures, tandis que des couronnes tout-céramique avaient été posées sur les dents antérieures supérieures (Figs. 4–6). Il y a 10 ans, ce traitement représentait la procédure standard dans les cas de lésions structurales telles que celles de cette patiente.
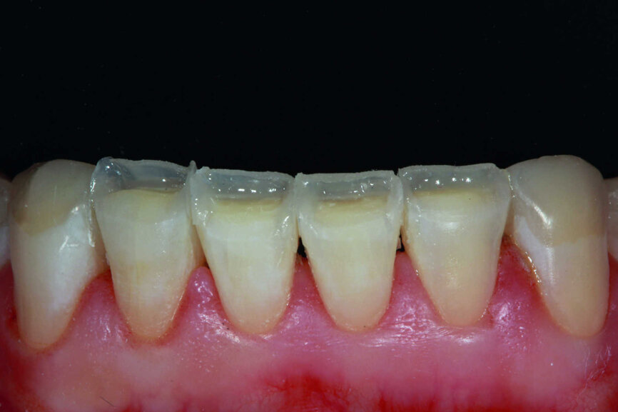
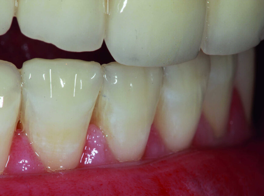
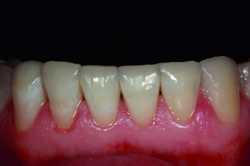
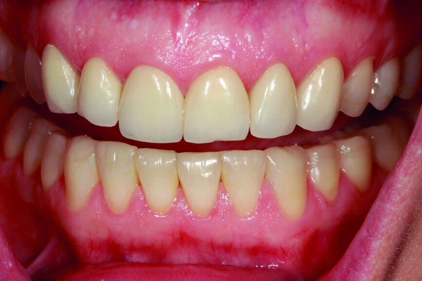
Totalement satisfaite de l’aspect de son sourire après la restauration des dents supérieures, la patiente ne s’est alors plus représentée au cabinet pour terminer le traitement avant l’année 2015, dix ans pendant lesquels l’inachèvement de la restauration avait mené à la formation d’éclats mineurs sur certaines des couronnes tout-céramique (Figs. 7–9). Toutefois, au terme de cette décennie marquée par les avancées dans les techniques dentaires et la planification des traitements, nous avons été en mesure de proposer une nouvelle option à cette patiente, une option qui était minimalement invasive et sans commune mesure avec la réduction dentaire associée au traitement réalisé dix ans auparavant.
Planification du traitement
Le déprogrammer occlusal développé par le Dr Kois a été utilisé pour enregistrer la relation centrée et monter les modèles sur l’articulateur selon la position mesurée. Un wax-up de l’arcade mandibulaire a été préparé et une analyse esthétique a indiqué le besoin d’augmenter très légèrement la dimension verticale d’occlusion (DVO). Un avantage notable apporté par l’augmentation de la DVO était également la possibilité de créer un espace suffisant pour la mise en place du matériau de restauration, sans réduction supplémentaire de la substance dentaire. Ceci a été confirmé par la fabrication d’un mock-up approprié et le résultat d’une analyse phonétique. Le plan de traitement adopté a prévu la pose d’onlays en disilicate de lithium dans les régions postérieures, et la restauration des dents antérieures par une technique directe faisant appel à des résines composites.
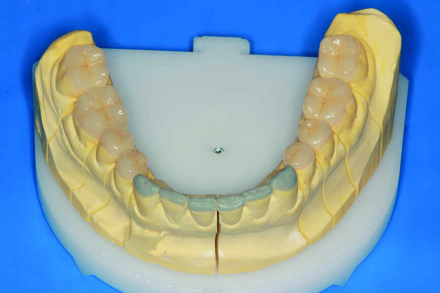
Phase de restauration : dents postérieures
Le traitement des dents postérieures inférieures a consisté en une préparation minimalement invasive dont le seul but était de définir des limites marginales nettes et précises pour le travail en laboratoire. Toute la surface de la préparation a été soigneusement polie, à l’exception des bords qui devaient demeurer bien marqués et visibles pour le prothésiste dentaire. Afin d’assurer un volume occlusal suffisant pour y placer les matériaux de restauration, une butée antérieure en résine correspondant à la nouvelle DVO a été fabriquée sur les modèles d’étude montés en articulateur. L’ajustement de la butée a ensuite été vérifié dans la bouche de la patiente (Fig. 10). Des empreintes ont été prises et envoyées au laboratoire, ou les onlays en disilicate de lithium (IPS e.max, Ivoclar Vivadent) ont été fabriqués (Fig. 11). Au cours de la visite suivante, les onlays ont été essayés pour vérifier l’adaptation marginale, puis assemblés par un scellement adhésif après la mise en place d’une digue en caoutchouc permettant de garantir l’isolation (Figs. 12–20).
Phase de restauration : dents antérieures
Les dents ont été nettoyées à l’aide d’une pâte à base de pierre ponce puis les bords incisifs ont été abrasés par un jet de particules d’oxyde d’aluminium de 50 μm. Un chanfrein de 1 mm a été préparé sur le bord incisif vestibulaire au moyen d’une fraise boule diamantée (001-006-2, Olident) et la limite inférieure de ce chanfrein a été délicatement prolongée par un biseau à 80 degrés (soit environ 0,5 mm ; Figs. 21 et 22).
Dans la mesure ou les dents antérieures inférieures étaient extrêmement proches les unes des autres et présentaient un certain encombrement, il s’est avéré plus aisé de les restaurer sans les isoler par mise en place d’une digue en caoutchouc.
L’email et la dentine ont été mordancés à l’acide phosphorique à 38 % pendant 20 secondes, puis un adhésif (OliBOND, un primer et un agent de collage de cinquième génération fabriqué par Olident) a été soigneusement appliqué sur la surface amélo-dentinaire, rincé á l’eau, séché à l’air, et photopolymérisé pendant 20 secondes.
La phase de restauration des dents antérieures a consisté à créer un coffrage externe dans lequel a été appliquée une première couche interne en composite. Celle-ci a ensuite été recouverte d’une couche finale externe, également en composite. La procédure ne requiert pas le recours à une technique excessivement complexe pour parvenir à un résultat prédictible. Il est possible d’obtenir une stratification très satisfaisante avec deux seringues de résine composite uniquement (Fig. 23).
Le wax-up (Fig. 24) a été utilisé pour préparer une clé en silicone qui a ensuite été découpée dans le sens du plan frontal. La partie linguale de la clé a servi à construire la coque arrière de la restauration, au moyen d’une fine couche de composite nanocharge (OliREVO, teinté A3, Olident). Au cours de l’étape suivante, les faces proximales ont été reconstruites avec le même matériau composite et l’utilisation de la matrice Blue View VariStrip (Garrison), une bande préformée qui permet de recréer la forme anatomique en mesial et en distal (Figs. 25a et 26).
Toutes les coques ayant été préparées, la couche interne, de teinte plus opaque (OliREVO, teinte OA2) a été appliquée, et les lobes ont été modelés avant la polymérisation, afin de créer une caractérisation interne d’aspect naturel (Figs. 25 b, 27 et 28). La couche interne a été polymérisée puis la couche externe de composite (OliREVO, teinté OA2) a été appliquée, jusqu’à parvenir à une épaisseur de plus ou moins 0,5 mm (Figs. 25 c et 29). Cette couche a été soigneusement badigeonnée à l’aide d’un pinceau afin de la modeler puis, elle a été polymérisée (temps de polymérisation légèrement plus long – 40 secondes sur chacune des surfaces). Enfin, la dernière caractérisation a été réalisée après quelques corrections mineures de l’occlusion. En premier lieu, un contourage des angles de transition et des bords incisifs a été effectué pour définir l’anatomie principale. L’étape suivante a consisté à recréer l’anatomie secondaire, c’est-à-dire, la division des lobes. Ceux-ci ont été marqués au moyen d’un marqueur (Fig. 30) puis modèles à l’aide d’une fraise diamantée (831-204-012, Komet Dentaire/ Brasseler ; Fig. 23). Ensuite, une pointe en caoutchouc a été utilisée pour lisser les surfaces rugueuses produites par la fraise. La pointe en caoutchouc a également été utilisée pour conférer un brillant préliminaire à la restauration. Celle-ci a finalement été polie au moyen d’une pâte diamantée (taille des grains de 1 μm), appliquée avec un disque de polissage en poils de chèvre naturels, à une vitesse de rotation de 1 000 à 10 000 tr/min.
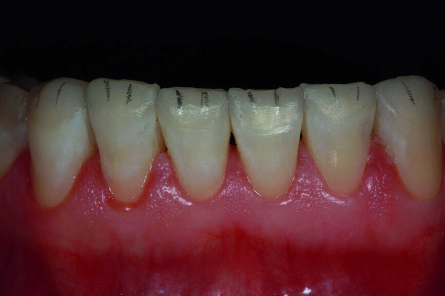
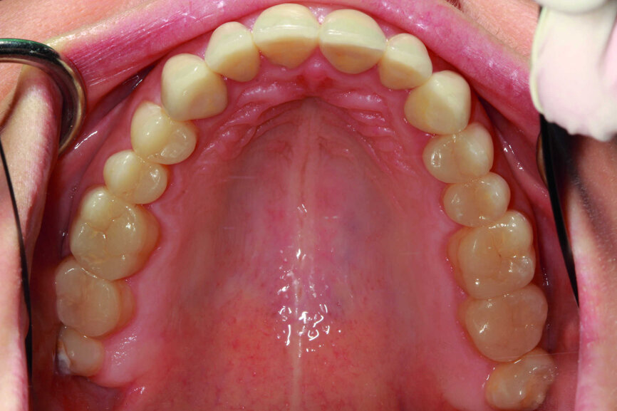
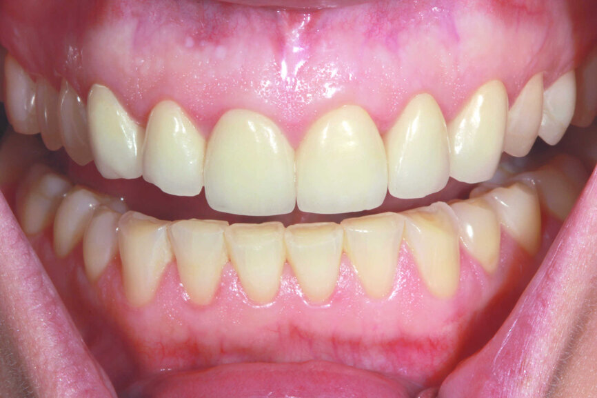
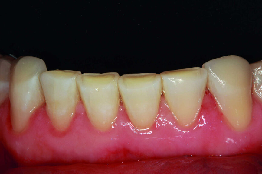
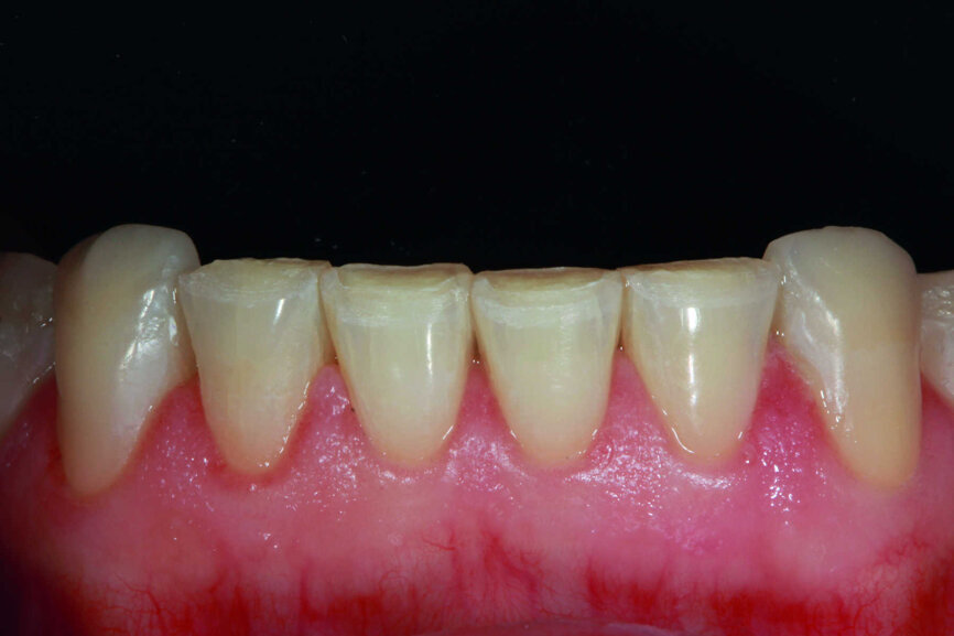
Le résultat clinique très satisfaisant obtenu pour la restauration de l’arcade mandibulaire est présente dans les figures 31 à 33.
L’examen réalisé lors du suivi à 24 mois a confirmé l’excellente fonction sur le plan clinique, tant des onlays en disilicate de lithium que des restaurations antérieures en résine composite (Fig. 34).
Conclusion
L’augmentation de la dimension verticale d’occlusion permet de créer un espace supplémentaire pour la restauration. Elle réduit ainsi au minimum l’élimination de substance dentaire et optimise l’adhésion, grâce à la présence du volume d’email résiduel. La planification appropriée du traitement et l’utilisation d’un wax-up, ainsi que d’une clé en silicone, permettent d’obtenir des résultats prédictibles quant à la forme et à la teinte finales des restaurations en composite.
Note de la rédaction : Cet article a été publié dans le magazine cosmetic dentistry, volume 12, numéro 1/2018 et dans le journal Dental Tribune France VOL. 12, NO. 6+7
Dr Maciej Zarow
exerce dans son cabinet dentaire privé et supervise un centre de formation dentaire à Cracovie en Pologne. Il est possible de le contacter via son adresse électronique maciej.zarow@dentist.com.pl ou via Facebook : Maciej Zarow.
Mots-clés:
De nos jours, environ 65 % des chirurgiens-dentistes italiens sont des implantologues. Rien qu’en Italie, plus d’un million d’implants ...
Conjuguant ergonomie et élégance du design, la nouvelle gamme d’appareils portables Electro Medical Systems répond aux normes les...
Le laser Er:YAG a été le premier laser médical agrée par la FDA pour les tissus durs et les tissus mous en dentisterie, ...
Pour développer son poste de traitement Signo T500, successeur du Signo Treffert, Morita a de nouveau collaboré avec l’équipe de design de Porsche. La ...
Webinaire en direct
jeu. le 30 avril 2026
à 1h00 (CET) Paris
Dr. Renato Leonardo D.M.D.
Webinaire en direct
jeu. le 30 avril 2026
à 19h00 (CET) Paris
Webinaire en direct
dim. le 3 mai 2026
à 18h00 (CET) Paris
Dr. Rickard Brånemark MSc, MD, PhD, Dr. Robert Gottlander DDS
Webinaire en direct
lun. le 4 mai 2026
à 2h00 (CET) Paris
Webinaire en direct
mar. le 5 mai 2026
à 16h00 (CET) Paris
Webinaire en direct
mar. le 5 mai 2026
à 18h00 (CET) Paris
Webinaire en direct
mar. le 5 mai 2026
à 19h00 (CET) Paris
Dr. Maximilian Dobbertin M.Sc
To post a reply please login or register