Search Dental Tribune

L’utilisation d’un logiciel d’imagerie numérique pour un traitement endocanalaire efficace

Le mode endodontique du nouveau logiciel DTX Studio Clinic permet d’ajouter de nombreuses vues et coupes transversales, ainsi que d’ajuster l’épaisseur des coupes pour vérifier le degré de calcification. Un autre avantage est la possibilité de tracer l’anatomie interne de chacune des racines et de l’ensemble du système, et de sélectionner une couleur pour chaque canal. Cette option est très utile pour examiner l’anatomie interne. (Photo : P Sleiman)

lun. 19 juin 2023

Enregistrer

L’anatomie du canal radiculaire est souvent complexe. Les radiographies 2D classiques peuvent nous donner une idée de l’anatomie et de sa complexité, ou nous indiquer si nous sommes en présence d’un retraitement ou d’une calcification, mais seules les images 3D peuvent nous fournir la précision nécessaire. Dans cet article, je vous présente différents cas de patients pour lesquels j’ai utilisé le logiciel d’imagerie dentaire DTX Studio Clinic (DEXIS), afin de créer un modèle numérique et une feuille de route qui m’a servi de guide durant le traitement.

Cas 1

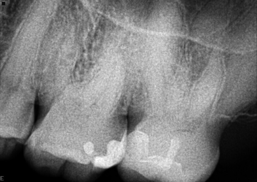
Ce patient m’a consulté en urgence pour une douleur aiguë affectant une deuxième molaire supérieure. Après un examen clinique confirmatoire, une radiographie standard (Fig. 1) a révélé une anatomie très complexe et une calcification pulpaire.

Selon la déclaration du patient, cette dent avait été restaurée par un inlay, mais une douleur était apparue au bout d’un certain temps, et avait persisté plusieurs années sans qu’aucun traitement ne soit proposé. Lors d’un examen de contrôle, le praticien lui avait dit que tout allait très bien.

J’ai décidé d’utiliser le système d’imagerie i-CAT, afin de mieux comprendre ce qui se passait. Par comparaison avec la cavité pulpaire de la première molaire, l’examen de la coupe dans le plan horizontal a clairement montré la présence d’une calcification pulpaire de la deuxième molaire (Fig. 2).

Le mode endodontique du nouveau logiciel DTX Studio Clinic permet d’ajouter de nombreuses vues et coupes transversales, ainsi que d’ajuster l’épaisseur des coupes pour vérifier le degré de calcification. Un autre avantage est la possibilité de tracer l’anatomie interne de chacune des racines et de l’ensemble du système, et de sélectionner une couleur pour chaque canal. Cette option est très utile pour examiner l’anatomie interne (Fig. 3).

Grâce à ce logiciel, il est donc possible de créer un modèle 3D de la dent et de visualiser le tracé des canaux et leurs longueurs de travail approximatives, ce qui nous donne une bonne idée de ce à quoi nous pouvons nous attendre (Fig. 4).

Dans le cas de cette deuxième molaire supérieure par exemple, la longueur de travail moyenne était d’environ 27 mm et quatre canaux étaient présents. Le type anatomique était ce que j’appelle un « double expresso », car il pose pas mal de difficultés. Ici notamment, la courbure du canal distal était très prononcée et prenait la forme d’un crochet au niveau de l’apex.

Toutes ces données sont précieuses pour choisir une séquence de limes nécessaire à la mise en forme et au nettoyage des canaux radiculaires. Le choix s’est porté sur les limes Traverse et ZenFlex de Kerr Dental (Fig. 5). Dans la racine distale, la lime 30/.04 n’a pas été utilisée dans les deux derniers millimètres, de façon à éviter toute déformation de cette zone. L’irrigation a été effectuée selon la technique dite « Séquence Sleiman » (article publié dans roots magazine 1/2014). L’obturation tridimensionnelle des canaux a été effectuée avec le système d’obturation éléments IC (Kerr Dental ; Fig. 6).

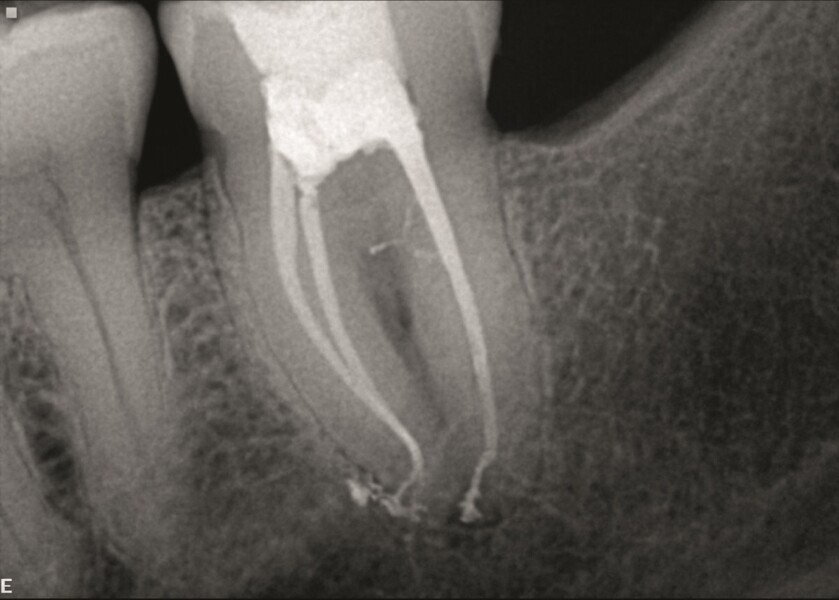
Les radiographies prises immédiatement après le traitement ont confirmé que tous les canaux étaient parfaitement obturés et scellés (Figs. 7a–c)

Cas 2

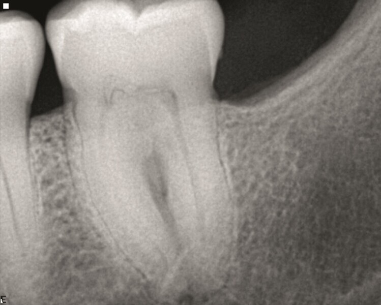
Le même patient présentait également une fistule vestibulaire au niveau de la furcation de la molaire inférieure antagoniste, dont la cause était une position trop élevée des contacts occlusaux, due à un manque d’ajustement après la pose de l’inlay sur la molaire supérieure, (Fig. 8).

Ce défaut de traitement avait provoqué l’activation de la substance P et entraîné la calcification pulpaire de la molaire supérieure, ainsi que l’inflammation irréversible de la molaire inférieure — des effets de microtraumatisme.

Le mode endodontique de DTX Studio Clinic (Fig. 9) a été utilisé pour examiner chaque image et coupe transversale, et déterminer l’origine de la fistule au niveau de la molaire inférieure. Une possibilité était peut-être le complexe des canaux latéraux observé dans la partie coronaire de la racine distale (Fig. 10). Les limes Traverse et ZenFlex ont été utilisées selon la même séquence que celle du cas 1 pour procéder au traitement canalaire, puis une obturation tridimensionnelle a été effectuée à l’aide du système éléments IC (Fig. 11).

Case 3

Le troisième cas met en relief l’intelligence artificielle intégrée à DTX Studio Clinic, dont l’une des fonctionnalités est le traçage automatique du canal mandibulaire. Dans ce 3e cas, cette fonction s’est avérée très utile. Le patient présentait une pulpite irréversible au niveau d’une troisième molaire inférieure. Il voulait conserver la dent à tout prix, car il refusait la pose d’un implant (la molaire servait de dent pilier pour un bridge).

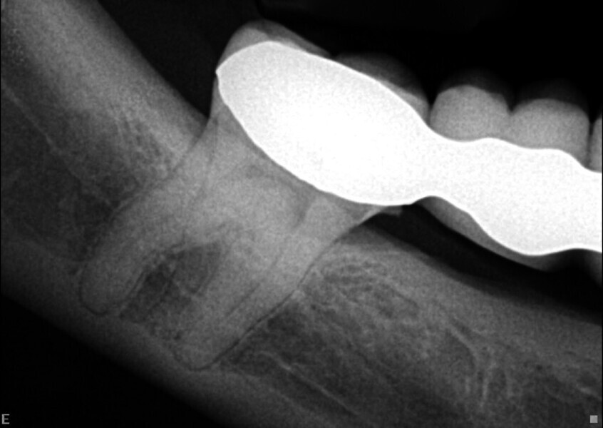
La radiographie montrait un chevauchement du canal mandibulaire contenant le nerf alvéolaire et des canaux radiculaires de la molaire (Fig. 12).

Une radiographie 3D a donc été prise et le logiciel y a tracé le canal mandibulaire passant par-dessus la molaire sur l’image panoramique. Le mode endodontique a permis de déterminer que le canal contournait la région vestibulaire et touchait légèrement le canal radiculaire mésio-vestibulaire (Figs. 13–15). La radiographie prise au travers de la couronne, immédiatement après le traitement, a confirmé l’obturation complète de tous les canaux (Fig. 16).

Conclusion

L’utilisation d’un logiciel d’imagerie numérique peut fortement améliorer le résultat des traitements endo canalaires, en fournissant des données supplémentaires sur l’anatomie complexe du système des canaux radiculaires. Les logiciels d’imagerie dentaire modernes tels que DTX Studio Clinic, permettent de visualiser la complexité du système des canaux radiculaires avec une grande précision — je les compare à une feuille de route que je peux suivre durant le traitement. Celle-ci améliore la prédictibilité et l’efficacité du traitement endodontique.

Note éditoriale:

Cet article a été initialement publié dans le magazine roots — international magazine of endodontics, Vol. 19, numéro 1/2023 et dans le journal Dental Tribune France No. 5, 2023

Mots-clés:
To post a reply please login or register
advertisement