Search Dental Tribune

Transplantation autogène avant un traitement endocanalaire conservateur : un suivi de trois ans

Première molaire maxillaire fortement endommagée, restaurée avec un ancien amalgame après un traitement endocanalaire, et présentant des caries récurrentes. (Photo : Jenner Argueta)

jeu. 7 juillet 2022

Enregistrer

Bien que l’objectif final du traitement endocanalaire soit d’offrir des dents dépourvues de symptômes et entourées d’un tissu périapical sain, qui resteront fonctionnelles sur le long terme,1 une structure gravement endommagée ne permet pas toujours au praticien de sauver les dents naturelles. Dans ce scénario, il faut envisager d’autres traitements tels que l’élongation coronaire, la transplantation autogène ou même la pose d’implants. Afin de préserver la stabilité et la fonction de l’occlusion.2, 3

La transplantation autogène désigne le repositionnement d’une dent dans une autre alvéole extractionnelle chez le même patient, ou la réimplantation d’une dent dans un site receveur préparé chirurgicalement.4 Au cours des dernières décennies, les études menées pour évaluer la cicatrisation des tissus parodontaux et la résorption radiculaire, ont montré une augmentation du taux de réussite de cette procédure. Il s’élève à 84 % dans les cas de rhizagenèse complète, et atteint 94 % dans les cas de rhizagenèse non complète.5, 6 Le facteur le plus important lié à la réussite est la viabilité du desmodonte attaché à la surface radiculaire de la dent transplantée, et cette viabilité diminue après 18 minutes passées hors du milieu intraoral.7, 8 La transplantation autogène est généralement sensible à la technique, et les compétences ainsi que l’expérience du praticien jouent un rôle crucial dans la réussite du traitement.

La dent transplantée présente souvent une structure coronaire parfaitement intacte. Toutefois, dans une large proportion des cas, elle nécessite un traitement endocanalaire, et l’élimination de la structure dentaire requise pour la préparation du puits d’accès ainsi que la mise en forme des canaux radiculaires peut nuire à la résistance de la dent sous une charge fonctionnelle.9 Récemment, des approches endodontiques conservatrices ont été recommandées pour minimiser l’élimination de la structure dentaire et préserver le tissu péricervical qui est d’une importance capitale.

Ces approches ont été rendues possibles grâce aux divers développements réalisés en endodontie, notamment les limes flexibles fabriquées dans un alliage à mémoire de forme contrôlée et dotées d’une résistance accrue à la fatigue cyclique, les systèmes de grossissement visuel, les matériaux de scellement endodontiques bioactifs et les activateurs de solutions d’irrigation soniques et ultrasoniques.9–11 La mise au point de ces technologies a joué un rôle déterminant dans le domaine du traitement endocanalaire conservateur, qui priorise la préservation de la dentine, notamment dans la région cervicale.12

Étude de cas

Une patiente de 16 ans a consulté le cabinet pour une évaluation de sa première molaire droite supérieure (dent 16 – Fig. 1). L’orthodontiste qui nous l’avait adressée demandait que tout soit mis en œuvre pour sauver cette dent. Le diagnostic était une parodontite périapicale symptomatique ayant déjà fait l’objet d’un traitement, et un examen minutieux a exclu toute possibilité de restauration. Avec l’accord des parents et de la patiente, nous avons pris la décision d’extraire la dent 16 et de procéder à une transplantation autogène de la dent 18 dans ce site (Fig. 2), étant donné que l’orthodontiste avait déjà prévu l’extraction de cette dent 18 et l’équilibration de l’occlusion de la patiente à la fin du traitement orthodontique. Les dents n 16 et 18 ont été extraites de la manière la moins traumatique possible. Après un remodelage osseux mineur de l’alvéole à l’aide de fraises à basse vitesse, la troisième molaire a été transplantée dans l’alvéole receveuse (Fig. 3). Une contention flexible constituée d’un monofilament de nylon a été utilisée pour maintenir la dent en place (Fig. 4). Deux semaines plus tard, la contention a été retirée, laissant des tissus mous sains et asymptomatiques et une alvéole dans laquelle la dent était stable (Figs. 5a et b).

Le plan initial prévoyait de procéder au traitement endocanalaire trois semaines après la réimplantation, mais malheureusement, la patiente ne s’est pas présentée au rendez-vous. Selon Tsukiboshi, il est déconseillé de traiter les canaux radiculaires pendant les deux premières semaines qui suivent la transplantation, en raison du risque de lésions supplémentaires au desmodonte. Il recommande d’effectuer le traitement juste après ces deux semaines afin de diminuer le risque de résorption radiculaire inflammatoire.6

La patiente s’est présentée au cabinet huit mois plus tard avec des signes et des symptômes de nécrose pulpaire et d’abcès périapical aigu mis en évidence par une radioclarté. La zone rétromolaire était bien cicatrisée (Fig. 6). Dans des cas comme celui-ci, où la structure coronaire est encore intacte, il est conseillé de recourir aux nouvelles techniques endodontiques et d’adopter une approche conservatrice du traitement endocanalaire afin d’obtenir de meilleurs résultats. Le puits d’accès endodontique a été créé au moyen de fraises à haute vitesse et d’inserts ultrasoniques. Le protocole de nettoyage et de mise en forme a été réalisé à l’aide de canules et de limes flexibles en alliage à mémoire de forme contrôlée (Aurum Blue, Meta Biomed), dont les propriétés sont particulièrement importantes lors de la pénétration dans les canaux radiculaires par l’accès conservateur (Figs. 7a et b).

Les limes endodontiques dont l’alliage est stabilisé en phase martensitique (mémoire de forme contrôlée) sont en effet dotées d’une meilleure résistance à la fatigue cyclique.11, 13, 14 Les canaux radiculaires ont été obturés au moyen d’un ciment de scellement endodontique à base de silicate de calcium activé par ultrasons (CeraSeal et EQ-S, Meta Biomed) et de gutta-percha (Figs. 8a–c). Cette étape du traitement peut s’avérer délicate en présence d’un accès endodontique de très petite taille.

L’utilisation d’un ciment de scellement endodontique à base de silicate de calcium facilite le processus d’obturation, et l’activation ultrasonique permet de distribuer le matériau sur toute la longueur du système des canaux radiculaires nettoyés et mis en forme (Fig. 9). Une restauration coronaire adhésive a été effectuée dans le cadre de la même visite au moyen d’un matériau de reconstitution corono-radiculaire à double polymérisation (NexCore, Meta Biomed) pour la cavité pulpaire et d’un composite compactable pour la surface occlusale (Ezfi l, Meta Biomed ; Figs. 10a et b). La dent était fonctionnelle et asymptomatique, et la patiente a dès lors pu commencer son traitement orthodontique. La radiographie prise à l’occasion du suivi à trois ans a montré un tissu périapical sain (Fig. 11).

Fig. 9 : Radiographie finale du traitement endocanalaire et de la restauration coronaire. La mise en place du matériau d’obturation coronaire dans la cavité pulpaire tend à être complexe en présence d’un puits d’accès de si petite taille.

Fig. 9 : Radiographie finale du traitement endocanalaire et de la restauration coronaire. La mise en place du matériau d’obturation coronaire dans la cavité pulpaire tend à être complexe en présence d’un puits d’accès de si petite taille.

Fig. 10a : Restauration coronaire adhésive, juste avant le retrait de l’isolation.

Fig. 10a : Restauration coronaire adhésive, juste avant le retrait de l’isolation.

Fig. 10 b : Restauration coronaire adhésive, juste après le retrait de l’isolation.

Fig. 10 b : Restauration coronaire adhésive, juste après le retrait de l’isolation.

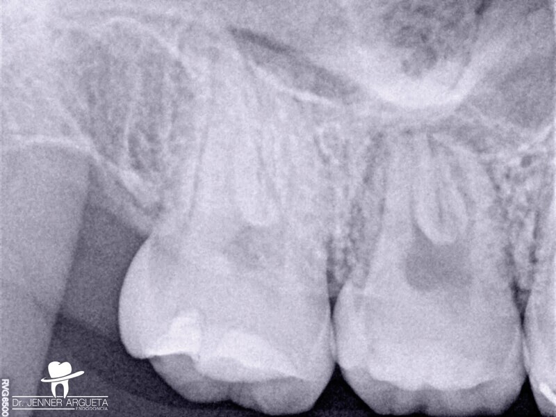
Fig. 11 : Radiographie de suivi après trois ans. La zone périapicale est cicatrisée.

Fig. 11 : Radiographie de suivi après trois ans. La zone périapicale est cicatrisée.

Discussion

Les complications signalées dans les cas de transplantation autogène sont notamment une fracture de la dent pendant l’extraction, une résorption radiculaire, une résorption résultant du remplacement (rare), une perte d’attache, une mauvaise hygiène bucco-dentaire pendant la période postopératoire et une nécrose pulpaire (fréquente). Un traitement endocanalaire est nécessaire dans la plupart des cas.15, 16 En revanche, les avantages sont la possibilité de réaliser un traitement orthodontique permettant des mouvements dentaires, la faisabilité de l’intervention même chez les patients en pleine croissance, ainsi que le potentiel de préservation de la crête alvéolaire et d’adaptation fonctionnelle. Cet aspect est très important par rapport aux implants ostéo-intégrés qui, fixés dans l’os et sans capacité d’éruption, entraînent une infraclusion chez les patients dont la croissance n’est pas terminée. L’un des avantages les plus cités de cette intervention est la possibilité de remplacer une dent gravement détériorée par une dent en parfait état structurel.4, 15, 17

Lorsqu’un traitement endocanalaire de la dent transplantée est nécessaire, il est conseillé de planifier l’intervention en fonction de l’état des structures coronaires et radiculaires. La préservation du tissu dentaire doit être l’un des objectifs principaux, notamment pour obtenir une dent dont la résistance sera minimalement affectée par les charges occlusales et les sollicitations fonctionnelles. L’un des plus grands risques lors de la réalisation d’un traitement endocanalaire conservateur est la contrainte en flexion accrue sur les limes au moment du passage au travers des puits d’accès de petite taille ; les contraintes en flexion sont plus élevées à l’entrée du canal radiculaire en raison de l’absence d’accès rectiligne. La fatigue cyclique peut également augmenter au niveau des courbures et mener à un transport plus important du canal radiculaire, ainsi qu’à une modification de son anatomie initiale. Si la fatigue cyclique représente l’un des risques majeurs liés aux puits d’accès endodontique, il est conseillé d’utiliser des limes ayant une résistance accrue aux contraintes ou déformations répétées.18

Aurum Blue est un système d’instrumentation canalaire comportant quatre limes dont la structure est stable en phase martensitique (Fig. 12). La section transversale, la conicité, l’alliage de nickel-titane et le traitement de surface par électropolissage ont été conçus et combinés pour offrir un bon équilibre entre résistance à la fatigue cyclique, résistance à la fatigue en torsion et grande flexibilité. Toutes les limes inférieures à 25/.05 ont une section transversale carrée, et les limes de plus grande taille ont une section transversale triangulaire convexe. Ces limes sont recommandées pour une utilisation à 500 tr/min avec un couple de 2 Ncm.

Le ciment de scellement endodontique au silicate de calcium CeraSeal est une excellente option pour la technique d’obturation monocône (Fig. 13). Cette technique facilite grandement l’obturation du système des canaux radiculaires lors des traitements endocanalaires conservateurs. Grâce à ses caractéristiques physiques, CeraSeal peut procurer un joint 3D stable,19–21 sans qu’il soit nécessaire de recourir à des techniques de condensation verticale ou latérale, à chaud ou à froid. Les ciments au silicate de calcium présentent des propriétés intéressantes, notamment en ce qui concerne la stabilité physique et dimensionnelle, l’étanchéité, l’activité antibactérienne, la biocompatibilité et la bioactivité, la capacité de stimuler la cicatrisation des tissus périapicaux. Ils peuvent donc être associés en toute sécurité à la technique d’obturation monocône.20–22 Ces ciments sont en outre capables de prendre dans des milieux humides. Cette propriété est d’une importance majeure dans la mesure où la dentine a une teneur en humidité d’environ 20 % et le travail dans des conditions saturées en humidité est une constante dans la profession dentaire.20, 21, 23

Conclusion

Compte tenu de tous les avantages biologiques et fonctionnels de la transplantation autogène d’une dent par rapport à la pose d’un implant, et de toutes les possibilités d’une approche minimalement invasive du traitement endocanalaire offertes par les nouvelles technologies appliquées aux dispositifs endodontiques, aux limes et aux matériaux de scellement, cette intervention peut représenter une option thérapeutique pertinente, en particulier chez les patients jeunes et coopératifs.3

Note éditoriale:

Cet article a été initialement publié dans le magazine roots–international magazine of endodontics, volume 17, numéro 1/2021 et dans le journal Dental Tribune France MAI 2022 – VOL. 14, NO. 5. Une liste complète des références est disponible auprès de l’éditeur.

To post a reply please login or register
advertisement
advertisement