Figs. 1 et 2 : Tomodensitométrie à faisceau conique (CBCT) de la dent 27.
Figs. 1 et 2 : Tomodensitométrie à faisceau conique (CBCT) de la dent 27.
Fig. 3 : La perforation a été fermée avec un ciment hydraulique à base de silice.
Fig. 4 : L’orifice a été provisoirement fermé avec un matériau d’obturation hygroscopique provisoire et recouvert d’un composite fluide de couleur bleue.
Fig. 5 : Radiographie de la fermeture de la perforation après la première visite.
Fig. 6 : Le ciment hydraulique à base de silice après sa prise complète.
Fig. 7 : L’excès de ciment a été éliminé autant que possible.
Fig. 8 : Dentine et ciment obturés avec G Premio BOND.
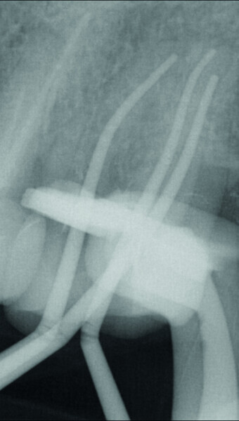
Fig. 9 : Maîtres cônes mis en place dans le canal.
Fig. 10 : Radiographie des maîtres cônes pour confirmer la longueur de travail définie.
Fig. 11 : Sablage avant la fermeture par everX Flow.
Fig. 12 : everX Posterior
Fig. 13 : everX Flow, teinte dentine.
Fig. 14 : Essentia Masking Liner
Fig. 15 : Restauration par Essentia Universal.
Fig. 16 : Mise en forme et modelage au moyen d’un pinceau GRADIA de GC.
Fig. 17 : Contrôle de l’occlusion.
Fig. 18 : Examen radiographique final.