Search Dental Tribune

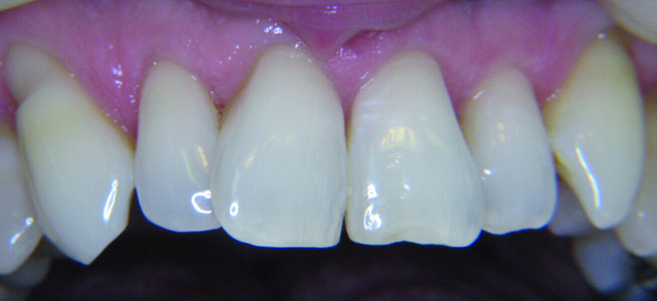
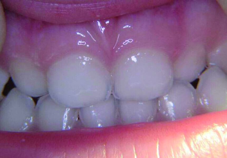
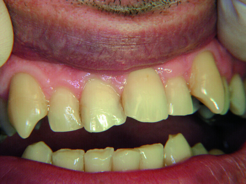
DTF 9/2017 Docteur Cicha

advertisement
advertisement