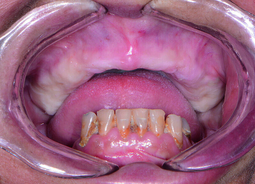
Fig 1 Vue préopératoire avec écarteur de lèvres
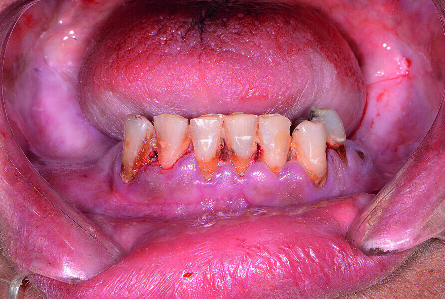
Fig 2 Vue préopératoire avec écarteur de lèvres, sans prothèse
Fig 3 Présentation du traitement de l’arcade maxillaire
Fig 4 Présentation du traitement de l’arcade mandibulaire
Fig 5 Analyse dento-faciale du traitement implantaire proposé dans l’arcade maxillaire
Fig 6 Analyse dento-faciale du traitement implantaire proposé dans l’arcade mandibulaire
Fig 7 Guide chirurgical pour implants maxillaires
Fig 8 Guide chirurgical pour implants mandibulaires
Fig 9 Mise en place du guide chirurgical maxillaire
Fig 10 Tenons parallèles mis en place
Fig 11 Insertion d’un implant dentaire Hahn
Fig 12 Coiffes de cicatrisation mises en place
Fig 13 Arcade mandibulaire anesthésiée
Fig 14 Guide chirurgical mandibulaire stabilisé
Fig 15 Implants et coiffes de cicatrisation entourés du matériel de greffe
Fig 16 Prothèses immédiates rebasées par un matériau souple
Fig 17 Crête maxillaire quatre mois après l’intervention
Fig 18 Crête mandibulaire quatre mois après l’intervention
Fig 19 Piliers Inclusive fabriqués par CFAO
Fig 20 Composant du sourire en PMMA
Fig 21 Vue des dents non engrenées