figure 1 : Tube pour A-PRF. La centrifugation lente de courte durée piège plus de cellules dans le caillot de fibrine.
figure 2 : Caillot d’A-PRF placé dans la PRF Box avant d’être pressé. La PRF BOX permet la préparation de membranes homogènes compatibles avec une utilisation en clinique.
figure 3 : Membranes d’A-PRF préparées avec la PRF Box.
figure 4 : Manipulation d’une membrane d’A-PRF. Les membranes préparées sont prêtes à être insérées sous le lambeau. Trois ou 4 membranes par couple de dents offrent un volume et une libération cellulaire adéquates
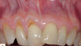
figure 5 : Vue préop. Récession traumatique de classe II Miller avec malposition dentaire associée.
Incision et relâchement du lambeau. Incision vestibulaire pour accès sous périostée (incision muqueuse horizontale) permet une dissection horizontale de pleine épaisseur. Le relâchement total du lambeau permet au clinicien d’éviter une pression incontrôlée du lambeau sur les membranes A-PRF et permet le positionnement coronaire complet et passif des tissus mous
figure 7 : Mise en place d’une membrane d’A-PRF. La technique « distal-mesial backpack » garantit le remplissage total par des membranes d’A-PRF de la poche créée. Trois ou 4 membranes sont recommandées par couple de dents à traiter.
figure 8 : La suture périostée apicale en-dessous de la jonction muco-gingivale va « élever » le complexe A-PRF/lambeau en direction coronaire. La proximité intime entre les membranes d’A-PRF et les ligaments parodontaux permettra une libération lente des facteurs de croissance, favorisant ainsi la kératinisation.
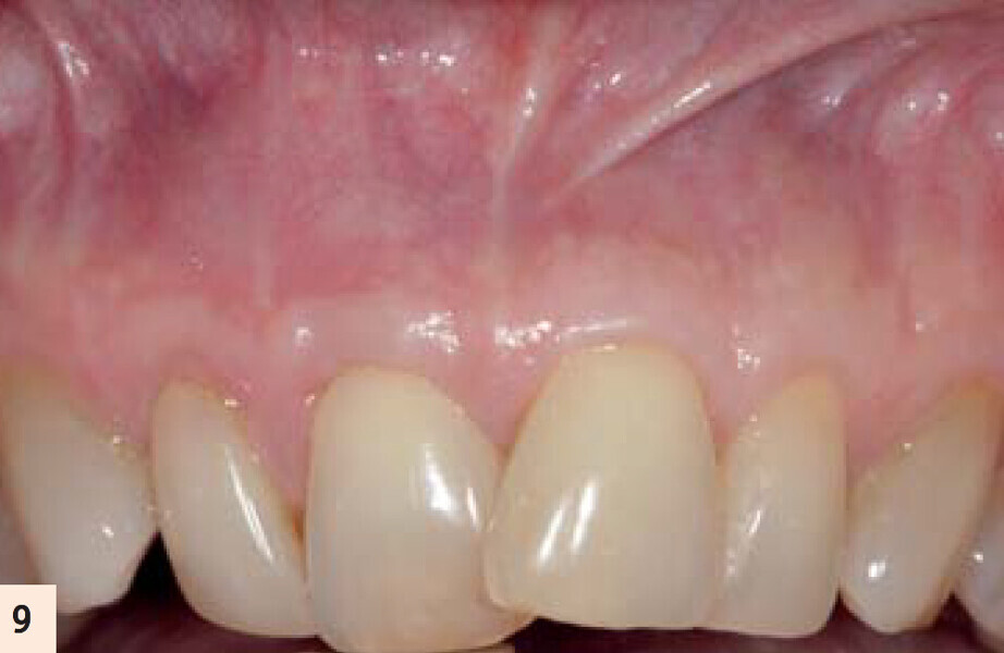
figure 9 : Deux ans postop. Noter le recouvrement radiculaire complet et l’augmentation de la zone de tissu attaché et kératinisé.
figure 10 : Vues pré- et postop (2 ans). Noter l’augmentation tridimensionnelle de la zone de tissu kératinisé et attaché, ayant pour résultat la restauration de la perte d’attachement et la correction de la
déformation gingivale en hauteur et en largueur.
figure 11 : Vues pré- et postop (2 ans). Noter l’augmentation tridimensionnelle de la zone de tissu kératinisé et attaché, ayant pour résultat la restauration de la perte d’attachement et la correction de la
déformation gingivale en hauteur et en largueur.