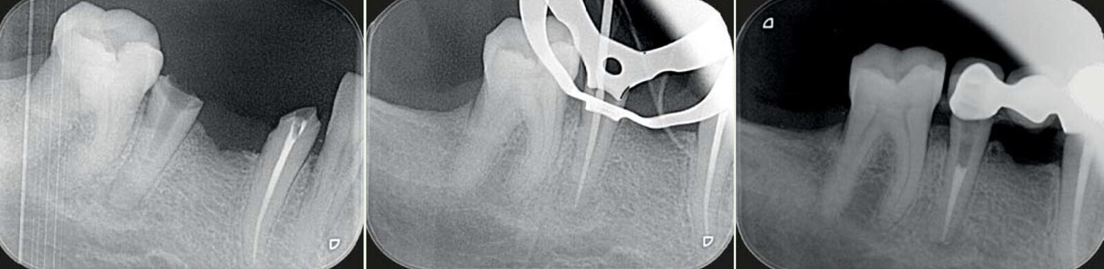
Figs. 1 : Cas clinique réalisé avec le système Genius (c Dr Carlos Spironell Ramos).
Fig. 2 : Le moteur GeniusR (c Ultradent).
Fig. 3 : Rotation Reciproque 90°/30° (c Ultradent).
Fig. 4 : Rotation Continue (c Ultradent).
Fig. 5 : Grossissement d’une lime Genius, spiralée a l’endroit (c Dr Carlos Spironelli Ramos).
Fig. 6 : Différentes limes du système GeniusR
1. Orifice Opener court de 18 mm, n° 30 et conicite 8 % pour l’évasement du tiers cervical et la relocalisation des entrées canalaires.
2. Une lime n° 25.04 pour la préparation initiale jusqu’à’a la longueur de travail obtenue après exploration a l’aide de limes K manuelles jusqu’au numéro 15. Pour être utiliser de préférence en réciprocité, 90/30°,350 rpms.
3. Limes 30, 35, 40 ou 50 toujours en conicité .04 à choisir selon le profil anatomique initial du canal.
Fig. 7 : les différentes limes du système Genius et séquences utilisées en fonction de du profil radiculaire (c Dr Carlos Spironell Ramos).
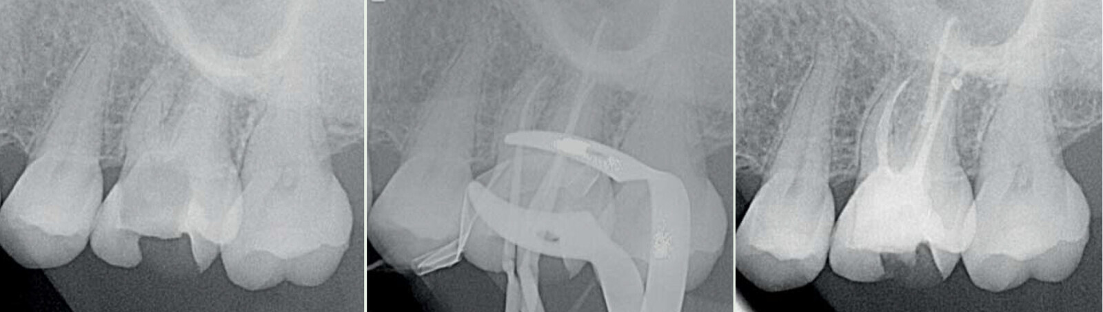
Fig. 8 : Cas clinique Dr Camille Bertrand.
Fig. 9 : Cas clinique Dr Camille Bertrand.
Fig. 10 : Cas clinique Dr Camille Bertrand.
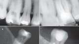
Fig. 11 : Cas clinique Dr Carlos Spironelli.