Selon Atsushi Hasegawa, la zircone, et en particulier Zolid FX Multilayer, est idéale, car elle allie esthétique et résistance (Photo : Atsushi Hasegawa)
Une restauration dentaire n’est pas seulement une œuvre esthétique ; elle doit satisfaire à beaucoup d’autres exigences et s’intégrer parfaitement aux dents existantes. Cet article me permet de me pencher sur l’aspect fonctionnel et la voie qui mène à une restauration dentaire hautement esthétique, efficace et très naturelle.
Ma philosophie
L’objectif des prothésistes dentaires est de créer des restaurations, en harmonie avec les dents naturelles et les mouvements mandibulaires. Les restaurations doivent être intégrées à l’organisme, sans gêner ses mécanismes naturels, tout en répondant aux fonctions de mastication et d’élocution. Pour atteindre l’objectif visé par la restauration, il est nécessaire d’analyser et de comprendre en profondeur, l’articulation temporo-mandibulaire ainsi que les mouvements de la mandibule, la morphologie du squelette, et la forme anatomique de chaque dent. Il existe une corrélation fonctionnelle entre les mouvements mandibulaires et la morphologie de chaque dent. Cette interdépendance est un concept fondamental, qui doit guider la reconstruction des organes masticatoires. Si le prothésiste dentaire comprend et respecte ce concept, les dents antérieures et postérieures conservent leur harmonie dans les positions statiques et dynamiques. Les dents postérieures protègent les dents antérieures des charges verticales, et les dents antérieures protègent les dents postérieures des charges latérales. L’occlusion étant extrêmement variable, il nous appartient, à nous prothésistes dentaires, de comprendre la mécanique complexe de l’articulation temporo-mandibulaire (mouvements mandibulaires) et de la dentition (compas occlusal), de façon à la reproduire dans le travail quotidien de la production de prothèses.
Fig. 1a : Technique de modelage en cire colorée sur la base de dents naturelles selon le prothésiste dentaire Dieter Schulz.
Fig. 1b : Conception de l’occlusion fonctionnelle par guidage séquentiel selon le professeur Rudolf Slavicek.
Ma spécialité est la modélisation de l’occlusion, quoique je me considère comme un prothésiste dentaire polyvalent, car toutes les restaurations dentaires, qu’il s’agisse d’implants, de prothèses partielles, ou même d’un tout petit inlay, comportent des surfaces occlusales. J’ai étudié diverses philosophies de l’occlusion, telles que celles du prothésiste Dieter Schulz, et sa technique de modelage en cire colorée sur la base de dents naturelles (NAT), ou du professeur Rudolf Slavicek et sa conception de l’occlusion fonctionnelle par guidage séquentiel (Figs. 1a et b). Ces philosophies et techniques sont le fondement de mon travail quotidien dans notre laboratoire.
Unifier les considérations fonctionnelles et esthétiques
Une patiente de 50 ans atteinte d’une péri-implantite à un stade avancé, s’est présentée à notre laboratoire avec le souhait d’une restauration fonctionnelle et esthétique (Figs. 2a et b). Nous avons établi un plan de traitement qui consistait à traiter la péri-implantite, à poser de nouveaux implants et, finalement, à améliorer l’esthétique générale. Notre première étape a été de reconstruire complètement l’occlusion par une restauration en zircone Zolid FX Multilayer (Amann Girrbach), sauf pour les dents antérieures inférieures.
Une telle reconstruction requiert le plus grand nombre d’informations possible sur la patiente. Nous avons donc utilisé le système d’axiographie CADIAX (GAMMA Medizinischwissenschaftliche Fortbildungs-GmbH) pour obtenir les données sur les mouvements de l’articulation. Les données de transfert de l’arc facial, combinées à celles de l’articulateur Artex CR (Amann Girrbach) et du système CADIAX, sont nécessaires pour reproduire les mouvements mandibulaires avec l’articulateur virtuel (Figs. 3a et b).
Fig. 2a : Situation initiale avec péri-implantite à un stade avancé.
Fig. 2 b : Situation initiale avec péri-implantite à un stade avancé.
Fig. 3a : De nombreuses données sur la patiente sont obtenues au moyen de l’arc facial.
Fig. 3b : Les données sont ensuite transférées sur l’articulateur Artex CR.
Durant la conception, je me concentre sur quelques éléments clés, que je vérifie ensuite sur l’articulateur virtuel. Les paramètres les plus importants sont les surfaces d’appui occlusales, telles que celles des dents postérieures, qui sont essentielles pour la stabilité des contacts en intercuspidie et de la dimension verticale. Ces surfaces protègent l’articulation contre la compression et les dents antérieures contre les contraintes excessives.
Fig. 4a : Les données du système CADIAX ont été transférées dans l’articulateur virtuel.
Fig. 4b : Les données du système CADIAX ont été transférées dans l’articulateur virtuel.
Fig. 5a : Les images 2D et 3D, associées à la conception, constituent la base parfaite pour recréer la situation de la patiente.
Fig. 5b : Les images 2D et 3D, associées à la conception, constituent la base parfaite pour recréer la situation de la patiente.
Si l’on se repose sur ces informations, je considère que la technique NAT, ainsi que l’occlusion fonctionnelle par guidage séquentiel, sont particulièrement pertinentes. J’utilise l’articulateur virtuel pour vérifier l’ensemble des mouvements mandibulaires dans toutes les directions (Fig. 4b). Les canines sont très importantes, car elles protègent les dents postérieures d’une surcharge. La pente canine doit être coordonnée avec le système cranio-mandibulaire, et ne doit pas perturber les dents postérieures. Les dents antérieures sont indispensables pour l’élocution, la relation dento-labiale et, bien entendu, l’esthétique. Le sourire doit être naturel. Pour recréer la situation originale de la patiente, j’utilise des images 2D et 3D, afin d’obtenir une orientation parfaite (Figs. 5a et b).
Fig. 6a : Magnifiques résultats après le traitement de surface manuel.
Fig. 6b : Magnifiques résultats après le traitement de surface manuel.
L’usineuse Ceramill Motion 2 (Amann Girrbach) donne des résultats de fraisage très satisfaisants, mais si je veux obtenir une structure de surface plus détaillée et beaucoup plus esthétique, je prépare les surfaces manuellement. Je choisis soigneusement mes outils, car il est essentiel d’éviter des éclats et des fissures dans la zircone, ainsi que toute contamination, au cours de cette procédure (Figs. 6a et b). Le traitement de surface manuel permet d’obtenir de magnifiques petits détails et des formes d’apparence naturelle, notamment les périkymaties et les crêtes transversales, qui sont inhérentes à la morphologie des dents antérieures.
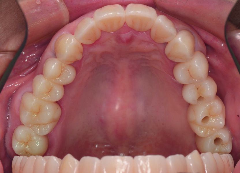
Après le frittage, je dispose ainsi de la base parfaite pour passer à la phase de finition (Figs. 7a et b). Les contacts occlusaux sont polis à la main avant le glaçage, puis j’ajoute les dernières touches de colorants et de glaçures, pour créer un brillant naturel. Selon moi, le plus grand avantage de Zolid FX Multilayer est la possibilité de reproduire précisément la forme conçue numériquement. Ce que je souhaite est en effet de réduire au maximum le besoin de retouches après le traitement, surtout dans les cas complexes (Figs. 8a et b).
Fig. 7a : La structure de la surface est encore visible après le frittage.
Fig. 7b : La structure de la surface est encore visible après le frittage.
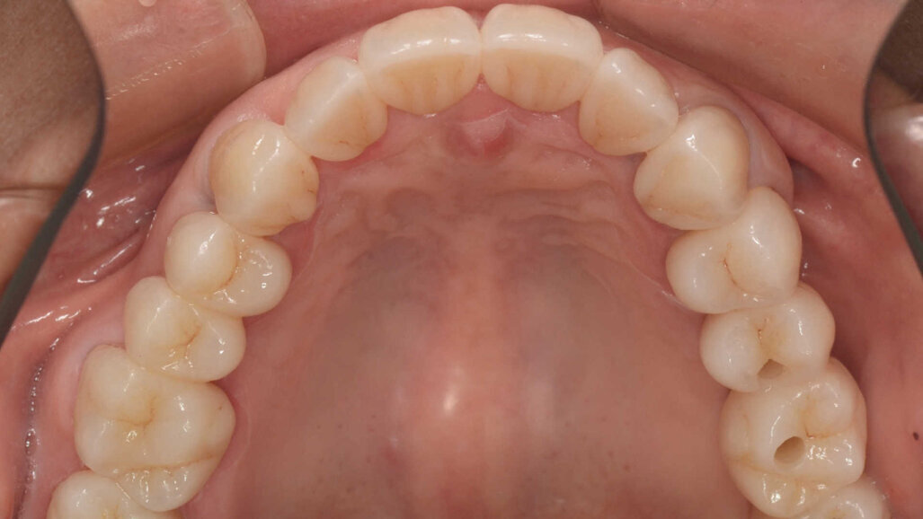
Fig. 8a : Dernières touches de colorants et de glaçures qui ont permis l’obtention d’un brillant naturel.
Fig. 8b : Dernières touches de colorants et de glaçures qui ont permis l’obtention d’un brillant naturel.
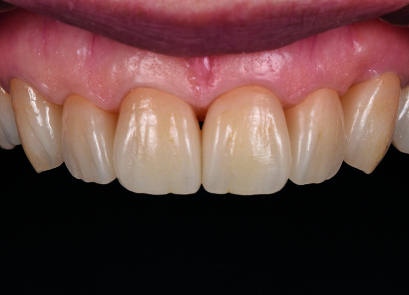
Fig. 9a : Surfaces occlusales et pente canine parfaites pendant le mouvement mandibulaire.
Fig. 9b : Surfaces occlusales et pente canine parfaites pendant le mouvement mandibulaire.
Enfin, je cherche à obtenir une pente canine sans contacts perturbants lors des mouvements de latérotrusion et de protrusion. Ces mouvements sont reproduits adéquatement et exactement, comme je les ai conçus dans l’articulateur Artex CR virtuel (Figs. 9a et b). Le flux de travail méthodique entre l’articulateur manuel et l’articulateur virtuel est tout simplement ingénieux, et simplifie mon travail quotidien. Néanmoins, cela ne fonctionne vraiment bien que si le fabricant coordonne l’articulateur et le système CAD/CAM, ce qui est le cas pour ces produits.
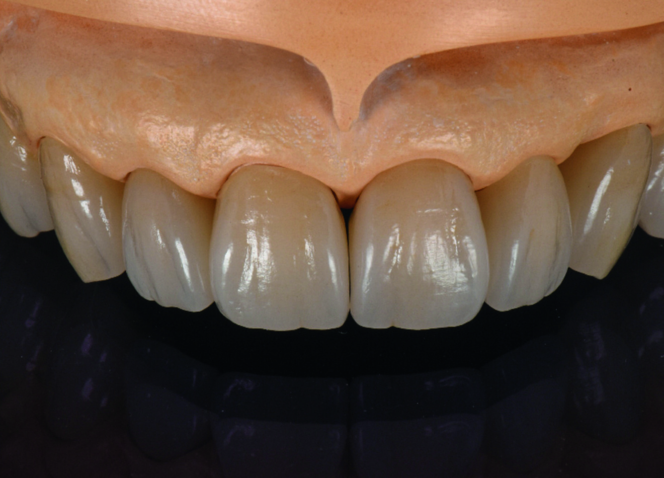
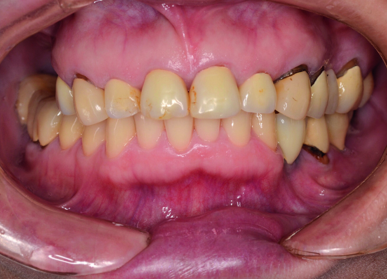
Fig. 10a : Résultat hautement esthétique et fonctionnel.
Fig. 10b : Résultat hautement esthétique et fonctionnel.
L’aspect fonctionnel est une partie importante de ma tâche journalière au laboratoire, et la combinaison du traitement virtuel de la fonction avec des matériaux efficaces, qui facilite considérablement mon travail, me donne entière satisfaction. À mon avis, la zircone, et en particulier Zolid FX Multilayer, est idéale, car elle allie esthétique et résistance (Figs. 10a et b). Toutefois, la zircone présente aussi des inconvénients ; par exemple, des contraintes inadéquates sur la couronne sont susceptibles d’entraîner une parodontite ou des problèmes condyliens, ou encore des difficultés de préparation. C’est pourquoi, dans notre travail de prothésiste dentaire, nous devons tenir compte à la fois de l’occlusion et de la fonction.
Il me reste à remercier vivement mes clients qui me procurent chaque jour un travail passionnant.
Note éditoriale:
Note de la rédaction : cet article a été initialement publié dans le magazine digital, international magazine of digital dentistry, volume 2, numéro 3/20 et dans le journal Dental Tribune France volume 14, NO. 6+7
PARIS, France : La magie du direct avec les interventions des docteurs Didier Dietschi, Roberto Spreafico, Sylvain Altglas, Keyvan Darvapanah et Philippe ...
Dentiste omnipraticien expérimenté et pédagogue passionné, le Dr Charles Toledano dirige l’ADF 2025 en tant que directeur scientifique. Fort de trois ...
Les chirurgiens-dentistes vivent aujourd’hui une époque captivante où les avancées dans les matériaux, les techniques et les diagnostics offrent la ...
Cette formation organisée par Straumann académie se déroulera le 12 et 13 octobre à Monaco. Les Drs Thomas Sastre pour la caméra intra oral 3 Shape ...
Éducation
Webinaire en direct lun. le 11 mai 2026 à 18h00 (CET) Paris
CHENGDU, Chine : Le développement des racines dentaires dépend de voies de communication cellulaire précises. Des chercheurs chinois ont montré comment ...
SAINT-BONNET-LES-OULES, France : Un saignement au brossage, un léger gonflement ou une sensibilité gingivale peuvent sembler anodins. Pourtant, selon le ...
To post a reply please login or register