La science implantaire a évolué au fil des ans et est un des segments de notre profession à croissance la plus rapide. Le cœur de l'implantologie semble avoir émergé de la simple idée de placer un implant dans un os, correctement et avec des greffes osseuses et, ensuite, de créer une fonction esthétique, durable et excellente.
En d'autres termes, le temps est révolu où nous essayions de placer l'implant, puis de créer de l'esthétique et de la fonction.
Cet article expose un cas dans lequel une incisive centrale est extraite et un implant placé extemporanément, avec pose d'une couronne provisoire. Le patient présentait une ligne du sourire haute qui montrait toute la denture lors du sourire, créant ainsi le défi.
Préparation du cas
Une analyse cone beam iCAT a été effectuée pour évaluer l'os autour de la dent, avant l'extraction et la pose de l'implant. Du modèle de diagnostic, nous avons élaboré une clé pour la restauration provisoire.
Un grand soin doit être mis lors de l'extraction de la dent, de telle sorte que l'architecture des tissus et des papilles interdentaires soient préservés (figure 1).
Un implant Astra, 4.0 x 13 mm, a été utilisé, dans ce cas. Après l'implantation, un pilier provisoire a été placé est préparé, à l'extérieur de la bouche, à la marge gingivale. Le matériau provisoire Luxatemp a été utilisé pour fabriquer la couronne temporaire.
embedImagecenter("Imagecenter_2_101",101,"small");
La couronne provisoire a été mise en sous-occlusion et les contacts inter-proximaux ont été légèrement ouverts. La couronne a été soigneusement polie de façon qu'aucune irritation des tissus ne se produise (figure 2). Cette photo a été prise immédiatement après la chirurgie et le placement de la provisoire.
Après trois mois d'intégration, la provisoire été enlevé le une empreinte des implants prise, de sorte qu'un pilier anatomique en zircone Atlantis puisse être fabriqué. Le pilier provisoire et la couronne ont été ensuite replacés en bouche.
Les empreintes ont été envoyées à notre prothésiste, qui a coulé le modèle avec l'analogue de l'implant et l'a envoyé à Atlantis pour une fabrication correcte. Dans ce cas, un épaulement anatomique en zircone a été prescrit, à 1 mm sous la gencive en vestibulaire et à 0.75 en palatin.
Atlantis a renvoyé le modèle à notre prothésiste qui était prêt à fabriquer la couronne. Des photographies, pour aider à élaborer la teinte, sont également jointes au dossier. Une couronne Empress a été fabriquée et le travail est revenu au cabinet.
Le pilier Atlantis a été essayé (figure 3). Notez l'excellent profil des tissus et la profondeur de l'épaulement.
La couronne a été ensuite placée et la teinte personnalisée. Dans la plupart des cas antérieurs une personnalisation de la teinte en bouche, suivie d'une nouvelle cuisson de la couronne, permet des nuances subtiles qui peuvent vraiment améliorer le résultat final. Après la nouvelle cuisson la couronne et collée en place.
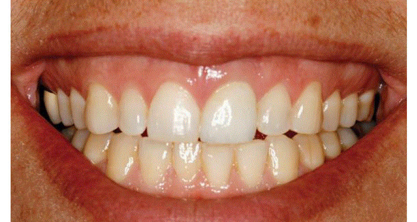
La figure 4 montre la restauration terminée, après scellement. Une observation attentive révèle une papille intacte, une anatomie correcte des contours de l'épaulement, un tissu gingival ferme et sain, une forme une teinte excellentes et une glazure de l'émail qui se marie avec la denture naturelle.
Discussion
Le type d'implants : il y a des avantages distincts d'utiliser des implants juxta-osseux, dans la zone antérieure, en particulier lors d'une extraction avec implantation immédiate. Cela permet l'utilisation des piliers sur mesure, qui imitent l'anatomie et la forme de la dent naturelle.
Les piliers : beaucoup de sociétés réalisent des piliers sur mesure. Atlantis est une société exceptionnelle, qui travaillera avec votre laboratoire et son travail est remarquable. La société fabrique des piliers anatomiques de la forme et de la largeur de la dent, au bord gingival. Comme indiqué ci-dessus, les spécifications de l'emplacement de la marge améliorent, et la santé et l'esthétique de la couronne. L'utilisation des piliers sur mesure, tels Atlantis, est presque un « cela va de soi » et les coûts sont similaires avec des piliers standards des grandes compagnies implantaires.
Les tissus mous : l'utilisation de la technique extraction-implantation immédiate-provisionalisation permet la préservation des tissus mous et de l'architecture de la papille. L'utilisation d'un pilier provisoire en plastique permet d'être préparé pour la fabrication d'une couronne provisoire avec des bords bien profilés qui empêchent l'effondrement et la détérioration de ces structures.
Esthétique : l'avènement des piliers personnalisés en zirconium permet l'utilisation de couronnes tout céramique. e.max et Empress sont deux systèmes qui permettent le contrôle de la translucidité, un glaçage et une teinte sur mesure.
L'esthétique implantaire est en usage et est à la hausse car les patients sont plus instruits et plus avertis que par le passé. C'est une époque passionnante pour faire des implants et des soins de reconstruction. Les patients n'aiment pas l'idée d'un dentier pendant la période intérimaire. Ces techniques permettent aux dentistes des prothèses réparatrices plus prévisibles et plus réussies.
L'auteur
Ronald W. Konig, DDS, est diplômé de l'Université du Texas, Austin et du Baylor College of Dentistry. Il a complété une formation postuniversitaire au Las Vegas Institute for Advanced Dental Studies et est un ancien de l'Institut L.D. Pankey.
Dentiste omnipraticien expérimenté et pédagogue passionné, le Dr Charles Toledano dirige l’ADF 2025 en tant que directeur scientifique. Fort de trois ...
Les achats, la production de déchets et la gestion de l’eau sont trois catégories majeures où les pratiques dentaires pourraient potentiellement ...
MULHOUSE, France : Le Dr Thierry Lachkar, conseiller scientifique du laboratoire Crown Ceram, prend la parole et vous présente la formation « Empreinte ...
« Bioactivité » est l’un des nouveaux mots à la mode en dentisterie. On le considère comme un atout de nombreux matériaux de restauration, mais avec...
RABAT, Maroc : Mercredi 25 mars matin, le rallye Aïcha des Gazelles du Maroc a débuté. Dental Tribune est de tout cœur avec les ...
Afin de réaliser une prothèse idéale, l’utilisation d’un guide implantaire est fortement indiquée, en particulier lorsque l’édentement atteint ...
La restauration de classe II reste l’une des opérations les plus courantes et les plus exigeantes sur le plan technique en dentisterie. Chaque jour, les ...
Votre clinique dentaire est-elle préparée pour l’avenir ? Et à quoi ressemble l’avenir de la dentisterie ? Découvrez comment préparer votre ...
La première application de la technologie laser en dentisterie a été décrite par Goldman en 1964, quatre années ...
_La manière conventionnelle de traiter les dents immatures avec des abcès péri-radiculaires, est de recourir à la méthode...
Webinaire en direct
lun. le 19 janvier 2026
à 19h00 (CET) Paris
Philipp Kopp, Michael Seeber
Webinaire en direct
jeu. le 22 janvier 2026
à 15h00 (CET) Paris
Prof. Judith Jones D.D.S; M.P.H., Prof. Kakuhiro Fukai D.D.S., Ph.D, Dr. Bathsheba (Bethy) Turton
Webinaire en direct
jeu. le 22 janvier 2026
à 20h00 (CET) Paris
Dr. Nicola M. Grande DDS, PhD
Webinaire en direct
mer. le 28 janvier 2026
à 14h00 (CET) Paris
Webinaire en direct
mer. le 28 janvier 2026
à 17h00 (CET) Paris
Prof. Dr. Jan-Frederik Güth
Webinaire en direct
mer. le 28 janvier 2026
à 17h00 (CET) Paris
Dr. Algimante Lošytė – Jančė
Webinaire en direct
mer. le 28 janvier 2026
à 18h00 (CET) Paris
To post a reply please login or register