Afin de réaliser une prothèse idéale, l’utilisation d’un guide implantaire est fortement indiquée, en particulier lorsque l’édentement atteint une certaine dimension, ou dans certaines situations délicates (comme pour l’esthétique).
Rappel historique
Les guides chirurgicaux assistés par ordinateur sont nés au départ du guide radiologique.
En résine, ces guides radiologiques étaient réalisés le plus souvent par duplication au laboratoire de la prothèse amovible (provisoire ou définitive) du patient. Des puits étaient préparés au centre des dents en résine, et on y insérait un matériau radio-opaque (gutta percha, tubes titane, etc.). Ces guides étaient portés pendant l’examen radiographique.
Puis le plus souvent ce guide radiologique était transformé pour être utilisé pendant la phase chirurgicale, stérilisé à froid par trempage (type glutaraldhéhyde 2,5 %). On réalisait des tubes de forage à partir de tubes de titane calibrés, pour un meilleur passage des forêts.
Ces guides étaient plus ou moins sophistiqués : le positionnement des tubes de forage pouvait permettre l’orientation dans les trois dimensions du forêt pilote, mais la précision restait approximative.
Le guide assisté par ordinateur est un système en plein essor. La planification implantaire est faite en CAO (Conception assistée par ordinateur) et nous permet de fabriquer un guide chirurgical par impression 3D d’une précision impressionnante, pour la mise en place de l’implant dans les situations cliniques idéales. Leur coût beaucoup plus accessible aujourd’hui nous permet de ne plus nous limiter uniquement à certaines situations délicates, ou chez les édentés totaux. Par ailleurs, la sécurisation ainsi assurée permet une démocratisation réelle de la pratique implantaire.
Leur fabrication nécessite toujours d’avoir réalisé le projet prothétique avant. Ils s’inscrivent donc dans une démarche raisonnée d’analyse fonctionnelle, biomécanique et esthétique.
Ils permettent de :
Valider la faisabilité du projet implantaire.
Simplifier fortement la phase chirurgicale.
Assurer l’esthétique par un positionnement optimal de l’implant dans les trois dimensions.
Mettre en adéquation les phases chirurgicales et prothétiques.
Les guides conçus par ordinateur permettent en outre :
De réaliser une chirurgie sans lambeau (donc meilleures suites postopératoires, meilleures esthétiques des tissus mous, excellente cicatrisation).
De préparer une prothèse provisoire avant la chirurgie permettant la mise en charge réellement immédiate (si le cas le permet).
De limiter la réalisation de greffes osseuses dans des cas où le volume osseux est limité, par la précision du positionnement implantaire.
De réduire le temps de travail : cicatrisation et prothèse.
De sécuriser la chirurgie (donc diminution du stress opératoire).
Argument juridique incontestable devant les tribunaux en cas de plainte de patients.
Présentation du cas clinique
Nous allons illustrer l’apport de la chirurgie guidée à l’implantologie à travers d’un cas clinique. L’extraction de la 46 a eu lieu deux mois plus tôt.
Anamnèse et motif de consultation Une patiente âgée de 41 ans, en bon état de santé générale, a consulté à la suite d’un abcès sur la 46 en plein 1er confinement de la Covid-19.
Examen clinique et radiologique L’examen clinique et radiographique met en évidence la possibilité de poser un implant (Figs. 1 et 2).
Décision thérapeutique et plan de traitement Les éléments issus de l’anamnèse et des examens cliniques et radiographiques ont permis d’élaborer un plan de traitement :
Motivation à l’hygiène.
Assainissement parodontal.
Mise en place de l’implant avec un guide chirurgical à foret pilote.
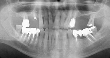
Fig. 1 : Radio panoramique, on visualise bien le secteur édenté en 46.
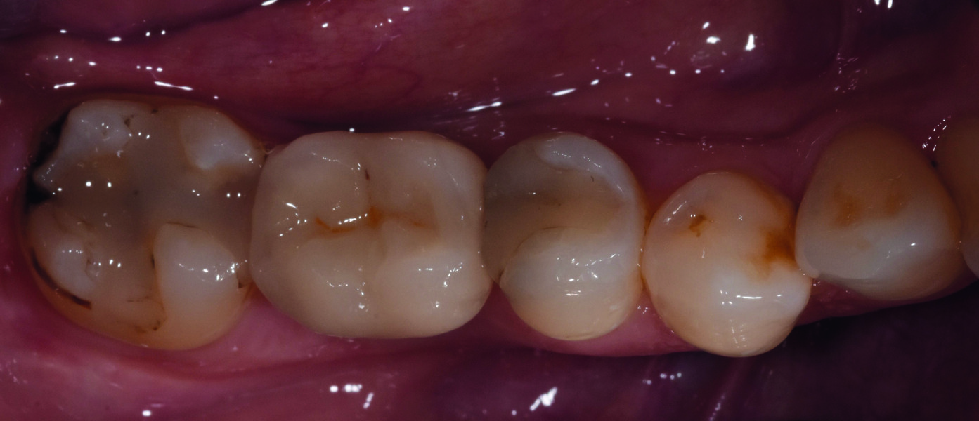
Fig. 2 : Vue occlusale du secteur 46.
Préparation du guide chirurgical
Acquisition des données
L’empreinte dentaire en silicone a été coulée puis le modèle en plâtre numérisé avec un scanner de table. Cette étape peut aussi être réalisée à l’aide d’une caméra optique (Fig. 3).
Grâce au logiciel d’implantologie Implant Studio de 3shape, nous avons pu visualiser la largeur et la hauteur de la crête édentée, afin d’étudier la faisabilité du projet prothétique.
Préparation du projet prothétique virtuel Les futures prothèses sont modélisées afin d’aider à choisir l’axe et la position des implants lors des étapes suivantes.
Traitement des données Pour préparer la planification, le logiciel procède à la superposition du modèle virtuel, avec les images issues de l’examen CBCT du patient.
Planification implantaire numérique La marque, la taille et le diamètre des implants ont été choisis en amont sur indication du praticien, et peuvent être également géré par le laboratoire. Les implants sont positionnés selon l’axe prothétique idéal, tout en respectant la quantité d’os résiduel et les règles de sécurité (distance entre l’implant et les dents adjacentes, etc.).
Le bon positionnement de l’implant ainsi que son émergence au niveau de la future prothèse sont vérifiés (Figs. 4 et 5).
Fig. 3 : Image du scannage des empreintes au plâtre.
Grâce au logiciel d’implantologie Implant Studio de 3Shape, nous avons pu visualiser la largeur et la hauteur de la crête édentée, afin d’étudier la faisabilité du projet prothétique.
Préparation du projet prothétique virtuel Les futures prothèses sont modélisées afin d’aider à choisir l’axe et la position des implants lors des étapes suivantes.
Traitement des données Pour préparer la planification, le logiciel procède à la superposition du modèle virtuel, avec les images issues de l’examen CBCT du patient.
Planification implantaire numérique La marque, la taille et le diamètre des implants ont été choisis en amont sur indication du praticien, et peuvent être également géré par le laboratoire. Les implants sont positionnés selon l’axe prothétique idéal, tout en respectant la quantité d’os résiduel et les règles de sécurité (distance entre l’implant et les dents adjacentes, etc.).
Le bon positionnement de l’implant ainsi que son émergence au niveau de la future prothèse sont vérifiés (Figs. 4 et 5).
Fig. 4 : Planification implantaire.
Fig. 5 : Rapport chirurgical.
Le rapport chirurgical Un rapport chirurgical détaillé reprend la proposition de la planification faite par l’équipe du laboratoire de prothèse dentaire Crown Ceram, ainsi que les informations sur l’implant. Il est envoyé au praticien accompagné d’une vidéo 3D, pour bien visualiser le positionnement de l’implant.
Limitation de responsabilité : cette instruction comporte un document personnalisé qui est basé sur un plan chirurgical proposé par le chirurgien avant l’opération. Le chirurgien assume donc l’entière responsabilité médicale pour la conception et l’application du guide chirurgical, ainsi que le choix et l’utilisation du kit chirurgical, des implants et des douilles, en pleine conformité avec le formulaire de commande reçu par le fournisseur. Le document personnalisé doit être considéré comme un complément à tous les autres documents envoyés avec le dossier et se rapportant à celui-ci, et ne remplace aucun de ces autres documents.
Design et impression du guide chirurgical Une fois la planification validée par le praticien, le guide chirurgical est conçu grâce au logiciel informatique spécialisé par le laboratoire Crown Ceram. Les étapes de la conception du guide :
Détermination des limites périphériques du guide.
Création des fenêtres d’inspection.
Création de barres de renforcement.
Choix et prévisualisation du positionnement de la douille MIS correspondant à l’implant choisi.
Impression du guide en stéréo lithographie avec une résine biocompatible, post-traitement et mise en place de la douille en titane (Figs. 6–9).
Fig. 6 : Détermination des limites périphériques du guide.
Fig. 7 : Choix et prévisualisation du positionnement de la douille MIS correspondant à l’implant choisi, en occlusale.
Fig. 8 : Choix et prévisualisation du positionnement de la douille MIS correspondant à l’implant choisi, en vue interne.
Fig. 9 : Positionnement de la douille MIS correspondant à l’implant choisi.
Fig. 10 : Positionnement de la douille MIS correspondant à l’implant choisi.
Chirurgie implantaire
Essayage du guide
Essayage du guide en bouche.
Vérification de sa stabilité et de sa parfaite adaptation grâce aux fenêtres d’inspection.
Tremper durant dix minutes le guide dans une solution désinfectante comme de la chlorhexidine, sinon on a aussi la possibilité de stériliser le guide en cycle court à l’autoclave pendant quinze minutes à 128°.
Préparation du lit implantaire Passage du foret pilote correspondant à celui défini lors de la planification. Introduire le foret dans la douille avant de mettre en rotation ce dernier, ensuite utiliser une vitesse de forage comprise entre 700 à 800 tours/minute et sous irrigation. Ensuite utiliser des forêts à étage, afin de ne pas dévier de l’axe planifié.
Pose de l’implant Pose d’un implant Seven de MIS au niveau de la 46. Ces dimensions 5/11.5 mm permettent l’obtention d’une bonne stabilité primaire dans l’alvéole. Mise en place de la vis de couverture et fermeture du site.
Contrôle radiologique
À l’issue de l’intervention, vérification de la correspondance entre la planification et la chirurgie avec une rétroalvéolaire (Figs. 11 et 12).
Fig. 11 : Vérification de sa stabilité et de sa parfaite adaptation en bouche grâce aux fenêtres d’inspection.
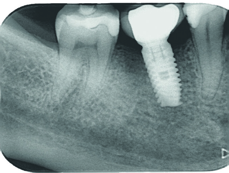
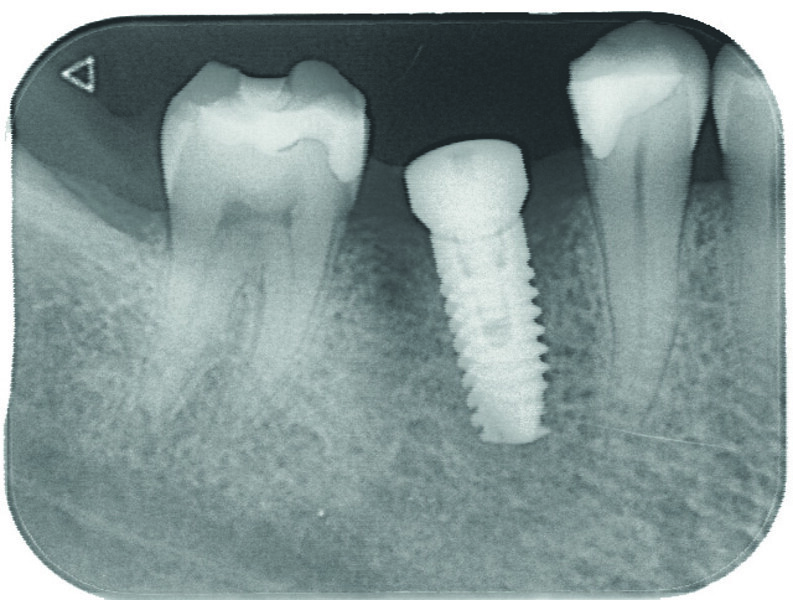
Fig. 12 : Radiographie de contrôle postopératoire de l’implant en 46.
Vis de cicatrisation
Trois mois plus tard. Second temps du protocole en deux temps. Légère incision crestale, dépose de la vis de couverture et ensuite mise en place de la vis de cicatrisation (Fig. 14).
Empreinte
Dépose de la vis de cicatrisation remplacée par le transfert d’empreinte (Figs. 16 et 17). Prise d’empreinte à l’aide d’un transfert à ciel fermé, silicone en double mélange avec un porte-empreinte du commerce.
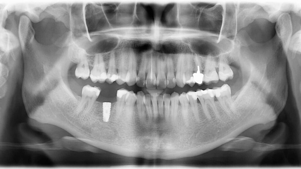
Fig. 13 : Radio panoramique de contrôle postopératoire.
Fig. 14 : Vue occlusale du pilier de cicatrisation vissé dans le col implantaire.
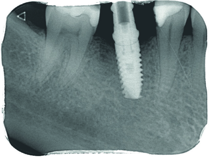
Fig. 15 : Contrôle radiologique de la bonne adaptation de la vis de cicatrisation.
Fig. 16 : Mise en place du transfert d’implant à ciel fermé.
Fig. 17 : Analogue d’implant vissé sur le transfert repositionné dans l’empreinte.
Jour de la pose de la couronne d’usage
Pour la technique scellée on utilise un piler à base concave pour une meilleure étanchéité de la gencive. On remplit le puit du pilier avec du téflon, que l’on tasse et foule avec l’instrument de chez PRODONT-HOLLINGER/ACTEON réf. 206.10D (Fig. 22).
Fig. 18 : Contrôle radiographique de la bonne assise du transfert.
Fig. 19 : Cicatrisation tissulaire guidée par la vis de cicatrisation, notez la belle santé gingivale lors du dévissage du pilier de cicatrisation.
Fig. 20 : Piler à base concave.
Fig. 21 : Vue occlusale du pilier, vissage à 30 N/cm.
Fig. 22 : Fouloir cylindrique d’un côté et fouloir boule de l’autre.
Fig. 23 : Teflon mis dans le fût du pilier.
Fig. 24 : D’un côté fouloir cylindre pour remplir le fût avec le téflon.
Fig. 25 : De l’autre côté : fouloir boule pour tasser le téflon.
Fig. 26 : Intégration de la couronne d’usage, avec vérification de l’occlusion, en vue vestibulaire.
Fig. 27 : Intégration de la couronne d’usage, en vue occlusale.
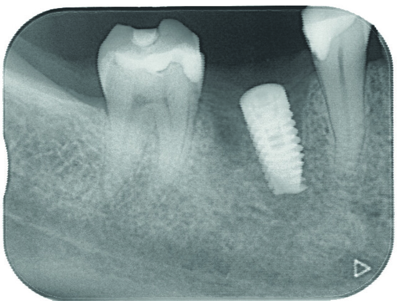
Fig. 28 : Contrôle radiographique de la couronne et de son pilier titane. Les niveaux osseux sont maintenus au niveau de la base du col du pilier.
Scellement
L’avantage de la prothèse scellée est de pouvoir rattraper l’axe implantaire si nécessaire. La technique de laboratoire est proche de celle de la prothèse conventionnelle. Le risque avec cette technique est la persistance de résidus de ciment de scellement en sous-gingivale, c’est pourquoi le prothésiste doit réaliser la jonction pilier – base de la couronne en juxta gingival.
Conclusion
La chirurgie avec un guide pilote apporte à cette procédure précision, sécurité, rapidité et tranquilité, ainsi qu’un accès facile à cette dernière, pour les praticiens ne possédant pas de logiciel de planification. C’est pourquoi le laboratoire a la capacité de fournir plusieurs alternatives allant de la planification avec le guide ou uniquement le guide.
Note éditoriale:
1 Helfer M, Helfer JL. Intérêts du guide implantaire. Information dentaire, n°13- 31 mars 2010 : 17-24. 2 Antoun H, Cherfane P. Analyse de précision en chirurgie implantaire guidée. J. Parodontol Implantol Orale, 2008 ; 27 (1) : 33-49. 3 LE Gall MG, Saadoun AP. Position et orientation des implants en pratique clinique. J. Parodontol Implantol Orale, 1997 ; 16:311-319. 4 Missika P., Benhamou A., Kleinfinger I. Accéder à l’implantologie. Paris Edition CdP, 2003.
CHENGDU, Chine : Le développement des racines dentaires dépend de voies de communication cellulaire précises. Des chercheurs chinois ont montré comment ...
SAINT-BONNET-LES-OULES, France : Un saignement au brossage, un léger gonflement ou une sensibilité gingivale peuvent sembler anodins. Pourtant, selon le ...
To post a reply please login or register