Ce cadre bancaire était un patient qui voulait améliorer son sourire. Tout a commencé, avec ce patient désireux de trouver un moyen de rendre ses canines supérieures moins saillantes et pointues (fig. 1A, 2). Nous avons recommandé qu'il essaye l'orthodontie et le blanchiment d'abord puis, peut-être quelque chose d'esthétique après, en fonction du résultat désiré.
Le patient a été catégorique de ne pas vouloir recourir à nouveau à l'orthodontie, de sorte que nous avons fait un modèle de ses canines pour voir si il aimait à quoi elles ressembleraient, si nous collions des composites sur ses dents, sans orthodontie. Il aimait et a été immédiatement motivé pour blanchir ses dents et les avoir garnies de composite.
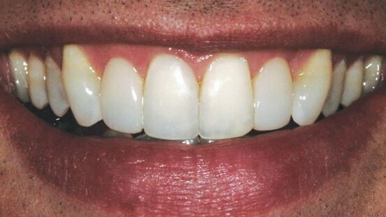
Ses dents étaient fortement blanchies et les faces mésiales des canines étaient collées, pour diminuer leur côté pointu. Il aimait la façon dont le collage avait créé un look plus naturel et moins agressif (Fig. 3). C'était il y a trois ans.
Plus récemment, il est venu à son rendez-vous de prophylaxie de routine et voulait, à nouveau, améliorer un peu plus son sourire. Cette fois, il voulait voir comment nous pourrions rendre ses dents plus alignées, et toujours, sans l'aide de l'orthodontie. Il s'est interrogé sur des facettes en porcelaine, pour toutes ses dents, se demandant si c'était une option envisageable.
Un examen plus approfondi a révélé plusieurs problèmes cliniques esthétiques, dont :
■ inclinaison palatine des incisives latérales,
■ canines en rotation mésiale et proéminentes,
■ 21 un peu plus palatale que 11,
■ une gencive inégale due principalement à une anomalie cervicale de la 11 avec hypertrophie gingivale associée
■ encombrement antérieur
■ prémolaires en rétrusion qui donnent au sourire, après les canines, une forme d'arcade étroite (Fig. 3).
Nous avons discuté de tous ces facteurs avec le patient et puis, comme précédemment, nous avons fait une maquette de dents 12 à 22, pour voir à quoi le patient pourrait ressembler avec quatre facettes de résine (Fig. 5).
Le patient n'a pas compris la nécessité du remodelage gingival sur la 12, donc nous avons ajouté du composite, jusqu'à la ligne de la gencive, pour donner l'illusion d'une gencive plus uniforme pour que le patient puisse voir et comprendre.
À ce stade, nous avons souligné comment ses prémolaires semblaient faire disparaître son sourire dans le couloir vestibulaire. Les prémolaires, d'un côté, ont été maquettées comme si elles étaient recouvertes de facettes en résine, pour qu'il puisse voir la différence entre les dents modifiées et celles qui ne l'étaient pas.
Plusieurs photos de la maquette ont été prises avec les diverses options de traitements et envoyées, par e-mail, au patient. Après un examen attentif, le patient a choisi de faire des composites sur les dents 12 à 22, ainsi que le remodelage gingival.
C'est en raison de cette maquette et des photographies que le patient a réalisé l'importance du remodelage gingival dans la création d'un sourire plus idéal. Il voulait réfléchir sur des facettes en résine sur les prémolaires et, éventuellement, les faire faire plus tard.
La procédure
Le patient est venu au rendez-vous de collage, avec ses dents blanchies, prêt à y aller ! Nous avons commencé par appliquer un anesthésique topique avant d'anesthésier les dents 12 à 22 avec The Wand.
Des injections de lidocaïne ont été pratiquées sur la ligne gingivale des dents 12 à 22, avant l'électrochirurgie des gencives.
À l'aide d'un bistouri électronique bipolaire Bident, la gencive de la 12 a été profilée pour des proportions idéales (figure 7). Une fois que la gencive ait été enlevée, on a découvert que l'os sous-jacent a augmenté, sur le collet de la 12, juste au-dessus de l'émail.
Il était alors décidé de pratiquer une élongation coronaire et une petite fraise boule diamantée a été utilisée pour modeler le contour osseux idéal.
Nous avons procédé à un remodelage de la gencive en mésial des 12 et 22, et créé une symétrie de la 21 avec la 11 (figure 8).
Le Bident a permis de coagulation douce, propre, dans un champ limite. La mise à la terre n'est pas nécessaire et, parce que l'appareil conçu pour être utilisé avec de l'eau, il n'y a pas eu de carbonisation ou de rétraction des tissus.
Un résultat plus efficace, plus précis et plus sûr a été réalisé, avec pratiquement pas de saignements postopératoires, un scénario idéal pour coller des dents, immédiatement, sans souci d'un site contaminé.
Les dents sont maintenant prêtes à être collées. Elles sont soigneusement nettoyées avec de la pierre ponce pour retirer tout débris de surface ainsi que les taches. Des matrices métalliques ont été placées en interproximal, pour isoler chaque dent.
Ensuite, elles ont été micro-mordancées avec de l'oxyde d'aluminium, pour permettre une rétention mécanique. Un gel, à 37 % d'acide phosphorique a été utilisé et rincé avant l'application d'un agent de liaison tel que l'Optibond Solo Unidose Plus
La 11 a été collée en premier, en utilisant différentes couches de composite, commençant par un micro hybride (Premise) et finissant avec un micro-chargé (Renamel). Cette dent a été modelée et polie avec une série de disques de polissage (Shofu) avant de continuer, de sorte que la suivante (21) puisse être adaptée à s'être dans sans y être collée.
Les dents 12 21 et 22 ont été collées de la même façon, avec des nuances différentes, pour créer un aspect plus naturel, plus gradué.
Comme précédemment, chaque dent a été polie avant de coller la suivante. Le modelage et de polissage final ont été réalisés et une brillance élevée été obtenue avec une pâte à polir Twist-2-It.
En, environ 2 heures, le patient avait un nouveau sourire ! Même la gencive semblait agréable, immédiatement en postopératoire, sans saignements (figure 9).
Du Gentle Gel, un gel à base d'Aloé Vera et de plantes, été placé le long de la gencive et remis aux patients pour qu'il applique à la maison pour aider à apaiser les gencives et prévoir une guérison plus rapide.
Le patient était ravi et il aimait son nouveau sourire, même immédiatement en postopératoire.
Quand il revint, pour séance de contrôle à deux semaines, les gencives étaient parfaitement profilées et les facettes en résine paraissaient merveilleuses et le patient disait se sentir très bien, également (figure 10).
Plus de polissage étant nécessaire, nous avons fait appel à un autre vernis, à haute brillance, pour les faire briller. Des photos postopératoires ont été prises et le patient appréciait les résultats (figure 11)
Il a également signalé qu'il n'y a pas eu de douleurs postopératoires, à l'origine, et que l'état des gencive s'améliorait, pour devenir mieux, quelques jours seulement après la séance de collage.
Dans l'ensemble, le patient était en extase devant l'amélioration spectaculaire, en particulier sur la façon dont le contour de gencive contribuait énormément au résultat esthétique final.
Il est aussi aimé le fait que l'orthodontie ait été évitée et qu'un beau sourire ait été obtenu en un seul rendez-vous, avec une approche très peu invasive : le moins est un plus.
Maintenant il réfléchit déjà et attend avec impatience sa prochaine aventure dentaire : des facettes en résine pour ses prémolaires.
embedImagecenter("Imagecenter_2_148",148,"small");
L'auteur
Sarah Kong, DDS, diplômée du Baylor College of Dentistry, où elle a travaillé comme professeur en dentisterie restauratrice. Elle met l'accent sur la dentisterie préventive et réparatrice, transitionnelle, l'anesthésie et les soins parodontaux. Le Dr Kong est un membre actif de nombreuses organisations professionnelles, dont l'Association dentaire américaine, l'Academy of General Dentistry, l'Académie américaine de dentisterie esthétique, l'Association dentaire du Texas et de la Société dentaire de Dallas. Vous pouvez la contacter à drkong@dallasdentalspa.com.
Pendant l’été, de plus en plus de Français profitent de leurs congés pour aller se faire soigner les dents à ...
NEW YORK, NY, USA : Des chercheurs du Département Biomatériaux et Biomimétique au College of Dentistry de la New York University ont ...
PARIS, France : Faire en sorte que les soins bucco-dentaires ne soient plus appréhendés de manière isolée mais comme faisant ...
C’est en 1990 que Hibst et Keller ont pour la première fois suggéré l’utilisation du laser Er:YAG pour l’ablation des...
OSAKA, Japon : les personnes atteintes de diabète de type 2 présenteraient une incidence plus élevée de caries dentaires, mais les mécanismes ...
Directeur scientifique du congrès de l’Association dentaire française (ADF) 2022, Xavier Struillou s’est entouré de professionnels de la santé ...
LEEDS, Angleterre : Les patients traités pour un cancer de la tête et du cou peuvent souffrir d’une diminution de la fonction salivaire, d’un risque ...
LUXEMBOURG : Un nombre élevé de dentistes en exercice n’a pas suffi à éliminer les disparités en matière de soins bucco-dentaires dans l’Union ...
Le Groupe STERNE, expert de la logistique premium bas carbone est particulièrement attaché à tisser des liens de confiance avec chacun des clients pour ...
Très peu de gens ont peur de la visite chez le dentiste, comme l'écrit l'"Apotheken Umschau".
Webinaire en direct
jeu. le 7 mai 2026
à 2h00 (CET) Paris
Ms. Ellen Karlin, Dr. Sara Karlin
Webinaire en direct
jeu. le 7 mai 2026
à 17h00 (CET) Paris
Webinaire en direct
jeu. le 7 mai 2026
à 18h00 (CET) Paris
Webinaire en direct
jeu. le 7 mai 2026
à 18h00 (CET) Paris
Dra. Maria Carolina Erhardt, Dra. Thais Tomé Feldens
Webinaire en direct
jeu. le 7 mai 2026
à 20h30 (CET) Paris
Webinaire en direct
lun. le 11 mai 2026
à 18h00 (CET) Paris
Webinaire en direct
lun. le 11 mai 2026
à 19h00 (CET) Paris
To post a reply please login or register