Les systèmes tout-céramique ont réussi à s’imposer en technologie dentaire tout comme en chirurgie buccale 1. Le besoin de pouvoir proposer des restaurations sans métal aux patients n’a cessé de s’accroître au cours de ces dernières années. 2. Grâce à une conception véritablement en deux pièces, la nouvelle génération d’implants en céramique apporte des solutions de restauration efficaces et comparables à celles des implants en titane. Cet article présente la reconstruction d’un cas d’édentement dans le maxillaire supérieur par trois implants CERALOG avec élévation simultanée du plancher sinusien par voie transcrestale.
Présentation du cas
En janvier 2015, le patient, âgé de 42 ans, souhaitait une restauration globale et sans métal de sa denture, dont certaines dents manquaient ou nécessitaient un traitement (Fig. 1). Le bridge qu’il avait d’abord porté pour remplacer les dents absentes, 15 à 17, avait été retiré quelques années auparavant par le chirurgien-dentiste habituel du patient, et depuis lors l’espace n’avait jamais été restauré par une autre prothèse (Fig. 2). Le patient s’était déjà informé sur les possibilités de restauration et souhaitait le remplacement de ses dents manquantes par des implants en céramique. L’évaluation des radiographies indiquait une largeur osseuse adéquate, mais une hauteur réduite due à une résorption de l’os alvéolaire et une pneumatisation du sinus maxillaire. Une large bande de muqueuse attachée était présente dans la zone prévue pour l’émergence des implants. Selon les critères de classification du risque SAC (Simple - Avancé - Complexe) de la Société suisse d’implantologie orale, le cas était de niveau A. (Tableau 1).
Tableau 1 : Évaluation des résultats cliniques et classification du risque selon les critères SAC/
Au cours d’une consultation préopératoire, le patient a été pleinement informé sur l’intervention, les risques potentiels, et surtout les caractéristiques particulières des implants en céramique. L’état actuel de la recherche sur ces implants, leur utilisation en tant que « technologie non conformiste » et alternative aux implants en titane lui a été expliquée, ainsi que le côté positif des aspects biologiques, immunologiques et de la compatibilité tissulaire.
Avant le traitement chirurgical, les zones des deuxième et troisième quadrants ayant besoin d’être restaurées l’ont été au moyen d’éléments de bridge tout-céramique et dans le premier quadrant, la dent 14 a été recouverte par une couronne en disilicate de lithium produite par CAD/CAM. Une planification numérique a été utilisée pour déterminer l’orientation des implants en fonction des éléments prothétiques, afin d’obtenir la meilleure prédictibilité possible pour la réussite du traitement sur le plan clinique. Les données CBCT du scannage intraoral ont donc été superposées aux trois couronnes conçues numériquement (Fig. 3), puis les positions, les alignements axiaux et les longueurs des trois implants ont été déterminés à l’aide du logiciel de planification (Fig. 4). Étant donné qu’il n’existe encore aucune solution guidée pour le système implantaire utilisé pour ce cas, un gabarit d’orientation a été fabriqué au laboratoire d’après les données de planification rassemblées, reproduisant le bord anatomique et l’alignement des dents à remplacer. Le gabarit était précisément adapté aux dents adjacentes (Fig. 5). Implantation L’incision crestale a été réalisée après une anesthésie superficielle de la zone, suivie d’une anesthésie par infiltration. Elle a été pratiquée selon une direction légèrement palatine et s’est poursuivie par une incision paramarginale du côté vestibulaire autour de la dent 18. Aucune incision de décharge verticale localisée en distal n’a été réalisée, afin de ne pas diminuer l’apport sanguin dans les lambeaux. Après la préparation du lambeau mucopériosté, la position de l’implant a été marquée sur l’os au moyen du forêt triangulaire et du gabarit d’orientation. L’étape suivante a consisté à forer des trous de guidage jusqu’à une profondeur située légèrement sous le plancher du sinus maxillaire, car l’élévation sinusienne devait ensuite être réalisée par la technique de l’ostéotome. Les axes des trous de forage ont été vérifiés à l’aide d’indicateurs de direction et le site implantaire a été élargi selon le protocole chirurgical (Figs. 6–8).
Figs. 1 et 2 : Situation intra-orale initiale.
Figs. 1 et 2 : Situation intra-orale initiale.
Fig. 3 : Planification 3D : superposition des données.
Fig. 4 : Visualisation de la planification.
Fig. 5 : Essayage du guide de forage.
Fig. 6 : Détermination de la position des implants.
Fig. 7 : Guide de parallélisme.
Fig. 8 : Foret d’extension rouge.
Fig. 9 : Élévation du plancher sinusien très peu invasive au moyen d’un ostéotome dans la région dentaire 17.
Figs. 10 et 11 : Application d’une membrane de collagène au-dessous de la membrane de Schneider
Figs. 10 et 11 : Application d’une membrane de collagène au-dessous de la membrane de Schneider
Fig. 12 : Taraudage du filetage.
Fig. 13 : Insertion de l’implant dans la région dentaire 17.
Fig. 14 : Implants insérés avec hauteur supracrestale comprise entre 0,5 mm et 1,0 mm.
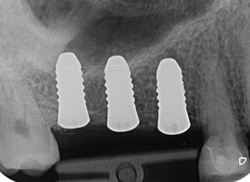
Fig. 17 : Radiographie de contrôle postopératoire.
Fig. 18 : Chirurgie de désenfouissement six mois après l’intervention.
Fig. 19 : Vue latérale des coiffes d’empreinte.
Fig. 20 : Radiographie de contrôle.
Fig. 21 : Piliers sur le modèle.
Fig. 22 : Essayage des piliers.
Fig. 23 : Vérification de l’occlusion et ajustement des prototypes
Fig. 24 : Vue latérale des couronnes insérées sur les implants.
Fig. 25 : Radiographie de contrôle après l’insertion de la prothèse définitive. Il y a lieu de remarquer le défaut intra-osseux régénéré du côté mésial de la dent 18.
C’est Tatum, en 1986, qui fut le premier à décrire la technique indirecte d’élévation du plancher sinusien par abord à travers des trous de forage, puis en 1998, Summers a modifié la méthode pour en faire la technique de l’ostéotome telle qu’on la connaît aujourd’hui.3–5 Un examen systématique de la littérature spécialisée a montré que cette approche est prédictible et a peu d’incidence sur les complications peropératoires et postopératoires.6 La fracture du plancher sinusien situé sous le fond des trous de forage a été effectuée à l‘aide d‘un ostéotome (Stoma) adapté au diamètre de forage implantaire (Fig. 9). Grâce à l’utilisation de la technologie Piezon et surtout de curettes angulées miniatures pour sinus, la membrane de Schneider a été constamment maintenue en contact avec l’os et soulevée délicatement sous contrôle visuel (microscope chirurgical). Une membrane de collagène (PARASORB, RESORBA) a été introduite à travers les trous de forage dans la région dentaire 16–17, puis soigneusement appliquée sur le site implantaire, afin de prévenir une perforation de la membrane de Schneider (Figs. 10 et 11). Le filetage a été taraudé pour éviter une surchauffe de l’os pendant l’insertion des implants en zircone dont la conductivité thermique est inférieure à celle des implants en titane (Fig. 12). Des implants (CERALOG Hexalobe, CAMLOG) de 8 mm de long ont été insérés avec un couple de serrage maximal de 35 Ncm contrôlé manuellement, et une vitesse de rotation maximale de 15 tr/min (Fig. 13). Le modèle de connexion du dispositif d’insertion était parfaitement adapté à la zircone. Ce dispositif permet une transmission radiale des forces et il est équipé d’un élément de rupture prédéfini, qui protège contre l’application d’un couple de serrage excessif, et donc contre une pression trop importante susceptible de provoquer des fractures de l’implant ou une nécrose de l’os (Tableau 2).
Tableau 2 : Facteurs importants pour l’insertion des implants CERALOG.
Le modèle des implants utilisé pour ce cas était favorable à la faible hauteur osseuse existante et écartait de ce fait le risque d’un glissement dans le sinus maxillaire. Les implants en zircone sont fabriqués par un procédé de moulage par injection de céramique (MIC) permettant l’obtention de deux surfaces différentes. La texture de surface dans la zone du col est moins rugueuse que dans la partie endo-osseuse et favorise l’apposition du tissu mou, tandis que la surface endo-osseuse est optimisée pour l’ostéointégration. Les implants ont été insérés en laissant une hauteur supracrestale de 0,5 mm environ, et un couple de 25 Ncm a suffi pour obtenir la stabilité primaire (Fig. 14). Après l’insertion des implants, la membrane de collagène se trouvait en position apicale, tel un écran placé au-dessus des implants de la région dentaire 16–17, qui pénétraient de deux ou trois millimètres dans le plancher du sinus. Un caillot de sang s’était formé dans la cavité créée et favorisait la régénération d’un os stable, grâce à la production de facteurs de croissance durant le processus de cicatrisation des implants.7 Le défaut intra-osseux parodontal au niveau de la dent 18 a été comblé avec un phosphate tricalcique bêta pur (Fig. 15).
Mélangés avec du sang prélevé au niveau du site chirurgical du patient, les granules poreux de phosphate tricalcique bêta d’origine synthétique sont faciles à appliquer. Au bout de six à neuf mois, le matériau se régénère en os cortical stable. Après le recouvrement des implants par une coiffe de protection en polyéther éther cétone (PEEK), la plaie a été fermée sans tension au moyen de deux sutures matelassées et plusieurs sutures simples discontinues (Fig. 16). Ensuite, une radiographie a été prise pour un contrôle (Fig. 17). 8 Le patient a quitté le cabinet dentaire avec de nouvelles instructions concernant la conduite à tenir après l’intervention, insistant sur les soins et l’absence de toute pression.
Les points de suture ont été retirés au cours de la visite de contrôle deux semaines plus tard, la plaie était bien cicatrisée et ne présentait aucune irritation. Après six mois, le patient est revenu pour le désenfouissement des implants. Une incision punctiforme a été pratiquée pour exposer les implants des régions dentaires 15 et 16, les coiffes de protection ont été retirées et des façonneurs gingivaux en PEEK ont été vissés au moyen d’une vis polyvalente, afin de modeler la gencive. Le tissu mou périimplantaire de la région dentaire 17 a été épaissi en phase préprothétique, par la préparation d’un lambeau muqueux qui a été transposé en direction vestibulaire. Ce modelage avec un façonneur gingival de 2,5 mm de haut a également été réalisé sans aucune suture supplémentaire (Fig. 18).
Restauration définitive
Les implants et la morphologie de la mâchoire ont été moulés pour la fabrication des piliers individualisés en zircone. La prise d’empreintes en technique à ciel ouvert a requis le dévissage des façonneurs gingivaux, de façon à permettre la mise en place de coiffes d’empreinte en PEEK. Une certaine expérience est nécessaire pour vérifier la précision de l’ajustement sur la radiographie de contrôle, car seule la périphérie du matériau est radio-opaque (Figs. 19 et 20).
Le modèle principal pourvu d’un masque gingival amovible a été produit au laboratoire. Des coiffes pour empreinte numérique ont été vissées, puis un enregistrement numérique de la forme des implants et de la gencive a été réalisé. Les données compilées du wax-up ont été fusionnées avec les données du modèle, et trois piliers individualisés ont été conçus en fonction des épaisseurs de matériau et du profil d’émergence des couronnes anatomiques.
Six jours après la commande, le laboratoire a reçu les piliers produits par CAD/ CAM. Le modèle de la connexion interne était adapté à la zircone et garantissait une distribution optimale des forces. En raison des limitations de l’usinage des rayons, les piliers en zircone (DEDICAM, CAMLOG) ont été fabriqués selon le concept dit du « platform-switching », où le diamètre du pilier est inférieur à celui du col de l’implant. Les piliers ont été vissés au laboratoire et le potentiel hygiénique des parties sous-gingivales a été vérifié (Fig. 21). Une autre étape importante était la restauration par des couronnes prothétiques robustes. À cette fin, des prototypes en polyméthacrylate de méthyle ont été préparés par impression 3D, sur la base des données STL existantes. Avec ces couronnes synthétiques économiques, l’occlusion, les points de contact, le potentiel hygiénique ainsi que la forme et l’esthétique peuvent être vérifiés en bouche durant l’essayage des prototypes. Le platform-switching intégré et la hauteur de la structure occlusale n’ont pas permis l’obtention d’une esthétique idéale du profil d’émergence coronaire de la région dentaire 16 (Figs. 22 et 23). Cet inconvénient a cependant été jugé cliniquement acceptable, en raison de l’accumulation moindre de la plaque sur la zircone et de la facilité de nettoyage de cette surface dans la structure hybride pilier-couronne résultante.9,10 Grâce à la solide planification prothétique en amont, les couronnes en zircone – dont la face vestibulaire est stratifiée ultérieurement – ont pu être fabriquées avec un puits d’accès à la vis sur la face occlusale. Après leur finition, les couronnes ont été collées sur les piliers, pour obtenir des structures hybrides pilier-couronne monobloc de forme entièrement anatomique. La fonction et l’esthétique ont été vérifiées et les structures hybrides pilier-couronne ont été fixées en bouche par des vis en titane, avec un couple de serrage de 25 Ncm.
Dans la littérature, les résidus de colle sont très souvent associés au risque de mucosite ou de péri-implantite. Celui-ci a été écarté grâce à la solution vissée. Les puits d’accès aux vis ont d’abord été obturés avec une bande de téflon stérile puis scellés au moyen d’un composite sans méthacrylate (Fig. 24).
Durant les visites de suivi, une et six semaines après l’insertion des restaurations implantaires tout-céramique, le tissu mou s’est avéré stable et sans irritation. La radiographie de contrôle a clairement montré la bonne ostéo-intégration des implants en céramique et la régénération du défaut osseux parodontal du côté mésial de la dent 18 (Fig. 25). Le patient s’est montré très satisfait de la réhabilitation globale de ses dents.
Discussion
Il est incontestable que la demande en restaurations implantaires en céramique augmente chez les patients.2 L’esthétique et les exigences en matière de santé sont des aspects dont il faut tenir compte dans le concept du traitement. Dans ce cadre, des systèmes cliniquement éprouvés constituent pour nous, praticiens, une sécurité. Le procédé de fabrication moderne de moulage par injection de céramique (MIC) crée une surface à deux rugosités sans finition mécanique. La région du col, adaptée aux cellules du tissu mou, présente une rugosité moyenne de 0,5 micromètre, tandis que la rugosité de la partie endo-osseuse correspond à 1,6 micromètre. Il est donc possible d’obtenir des propriétés exceptionnelles en termes d’ostéo-intégration.11,12
Les piliers fabriqués en PEKK, un polymère haute performance, sont proposés en standard pour les implants en deux pièces. En technologie médicale, le matériau est utilisé dans des zones exposées à des niveaux de charges très élevés. Le PEKK est biocompatible et son niveau de résistance est excellent. La composition chimique et la ductilité des piliers en PEKK assurent le recouvrement de toute la plateforme de l’implant, y compris des parties circulaires inclinées en biseau. Avec l’option des piliers individualisés en zircone, produits par CAD/CAM, un choix de matériaux homogènes est garanti. En raison de leur géométrie d’usinage, ces piliers ne peuvent cependant être fabriqués que selon le concept du platform-switching. La sélection du pilier utilisé pour la reconstruction doit être effectuée durant le positionnement de l’implant, car les piliers ont un effet sur la position verticale des implants en céramique. Lors de l’ajustement du pilier en PEKK sur l’épaulement, la plateforme de l’implant doit être positionnée, de façon à laisser une hauteur supracrestale comprise entre 0,5 mm et 1,5 mm. Un positionnement supracrestale est aussi possible avec les piliers en zircone dans le cas d’une gencive épaisse (> 3 mm). Toutefois, en raison du concept du platform-switching, une position légèrement sous-crestale ou juxta-crestale est avantageuse pour le profil d’émergence prothétique, si un support osseux adéquat est disponible (Tableau 2). La connexion est assurée par une vis en titane ou une vis polyvalente en or, n’ayant aucun contact avec l’environnement buccal lorsqu’elle est intégrée dans la construction globale. Aujourd’hui, la conception véritablement en deux pièces du système implantaire ouvre la porte à des techniques de traitement similaires à celles des implants en titane.
La planification en 3D fondée sur des ensembles de données CBCT est une méthode établie en pratique dentaire pour assurer la réussite du traitement. Il est possible de déterminer la position optimale des implants en fonction des éléments prothétiques grâce à une chirurgie guidée, ou orientée par un gabarit et la reconstruction conçue numériquement. Après une ostéo-intégration complète, les structures intra-orales peuvent être numérisées ou moulées selon une technique classique. Grâce à l’utilisation d’un scanner de laboratoire et des données sur fi chier STL ouvert, les piliers peuvent être conçus et commandés via le service de production DEDICAM. Les données précises d’usinage qui dépendent du matériau utilisé ne sont stockées que pour la phase de fabrication assistée par ordinateur (CAM). Un ajustement précis à la configuration interne de l’implant est obtenu au terme d’un procédé de frittage contrôlé d’une durée de trois jours. Ensuite, des couronnes de forme entièrement anatomique ou des chapes de couronne sont produites dans un laboratoire dentaire ou par un fournisseur de services de production, puis stratifiées une à une par un prothésiste.
Actuellement, la gamme prothétique des implants en céramique en deux pièces est encore restreinte et par conséquent les indications sont limitées aux restaurations fixes par des couronnes ou des bridges de petite portée. Les éléments prothétiques pour les restaurations amovibles seront disponibles dans un futur proche.
Conclusion
En résumé, on peut affirmer que les implants céramiques en deux pièces représentent une alternative sûre et biologiquement intéressante aux implants en titane, et qu’ils constituent un ajout notable à la palette des traitements implantaires d’un cabinet dentaire. Par conséquent, pour assurer la réussite clinique avec des implants non métalliques, il est important de définir les indications appropriées et d’évaluer correctement les propriétés spécifiques de la céramique.
Note de la rédaction : Cet article a été initialement publié dans le magazine Ceramic implants, international magazine of ceramic implant technology, volume 2, numéro 1/2018 et dans le journal Dental Tribune France octobre 2020 | VOL. 12, NO. 10
LYON, France : Les 7èmes Rencontres Internationales aria cad-cam dentaire se sont déroulées du 3 au 5 octobre à la Cité Internationale de Lyon. Cet ...
Les 8es rencontres aria CAD-CAM dentaire se dérouleront du jeudi 29 septembre au samedi 1er octobre à Lyon. Les rencontres internationales aria CAD-CAM ...
Éducation
Webinaire en direct jeu. le 14 mai 2026 à 18h00 (CET) Paris
SHANGHAI, Chine : Bien que le traitement endodontique et la thérapie pulpaire vitale puissent être efficaces pour contrôler l’infection et préserver ...
CHENGDU, Chine : Le développement des racines dentaires dépend de voies de communication cellulaire précises. Des chercheurs chinois ont montré comment ...
To post a reply please login or register