Search Dental Tribune

Pourquoi certaines lésions endodontiques guérissent et d’autres pas ?

il existe une valeur seuil en dessous de laquelle la virulence bactérienne persistante est insuffisante pour déclencher une réaction osseuse inflammatoire. Cette notion de seuil a été très bien décrite par Siqueira

mar. 28 juin 2022

Enregistrer

Tout traitement médical a pour objectif de maintenir ou rétablir la santé. L’odontologie et l’endodontie en particulier n’échappent pas à cette règle. Quand un traitement réussi il est couronné de « succès ». Inversement, lorsque les facteurs ne sont pas réunis pour considérer une guérison, on parle « d’un échec ».

Entre le succès et l’échec tels que l’on peut les considérer dans la littérature avec souvent une approche très restrictive, n’y a-t-il pas des situations que l’on puisse considérer comme acceptable et éviter l’extraction de la dent concernée ?

Qui, seul dans son cabinet, n’a jamais considéré que malgré le fait que tous les facteurs de succès ne sont pas réunis, une dent pouvait être considérée comme conservable ?

Une autre question que l’on peut se poser : « Pourquoi, lorsque les objectifs techniques (conicité, longueur de travail, densité, etc.) sont atteints, le succès n’est malgré tout pas de 100 % ? » À qui revient la faute ou la responsabilité ?

Et si on plaçait le praticien à sa vraie place, celui de « technicien scientifique » et de ne plus considérer ses traitements comme des succès ou des échecs mais plutôt, de parler d‘efficacité ou d‘inefficacité.

Cet article se propose de discuter une notion importante à considérer pour comprendre pourquoi certains traitements, parfaitement réalisés, ne permettent pas de conduire à la guérison. En comprenant les paramètres biologiques/ microbiologiques et physiologiques impliqués dans le processus du développement de la maladie d’origine endodontique ou de sa guérison, on comprend mieux que malgré la perfection d’un geste technique, la biologie reste maîtresse de la situation.

Revenir sur les objectifs

S’il y a bien une chose qui ne se discute plus en endodontie, c’est l’implication bactérienne dans le développement de la maladie parodontale profonde. Depuis les travaux de Kakehashi et coll., 1 il est établi qu’une infection bactérienne intracanalaire déclenche une réaction apicale osseuse qui, elle, est inflammatoire. Cette dichotomie Infection/inflammation est importante car elle nous rappelle que la lésion apicale (parodontite apicale) n’est pas infectée (Réponse d’expert n°65 Endo Académie).2 La désinfection ne devra donc concerner que le canal radiculaire.

Avec la désinfection et l’obturation du système canalaire, nous ne faisons que rétablir un contexte biologique favorable à la cicatrisation parodontale et à la régénération osseuse (Figs. 1a–c).

Expliquée ainsi, il n’y a donc aucune raison pour expliquer que lorsque le traitement est correctement réalisé et répond aux critères techniques attendus, une lésion peut ne pas cicatriser. Et pourtant…

Fig. 1a : Radiographie pré-opératoire d’une molaire maxillaire (16) présentant une lésion apicale sur la racine mésio vestibulaire. Le retraitement a consisté à éliminer le matériau présent dans les canaux, récupérer la perméabilité du canal de la racine MV et gérer la fausse route faite lors du traitement précédent.

Fig. 1a : Radiographie pré-opératoire d’une molaire maxillaire (16) présentant une lésion apicale sur la racine mésio vestibulaire. Le retraitement a consisté à éliminer le matériau présent dans les canaux, récupérer la perméabilité du canal de la racine MV et gérer la fausse route faite lors du traitement précédent.

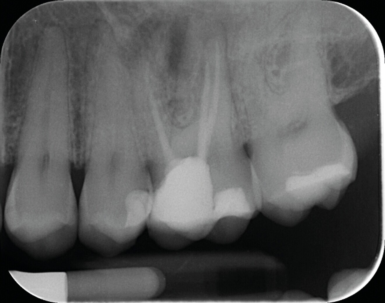
Fig.1b : La radiographie post-opératoire objective une atteinte des objectifs techniques (obturation Bioroot RCS (Septodont).

Fig.1b : La radiographie post-opératoire objective une atteinte des objectifs techniques (obturation Bioroot RCS (Septodont).

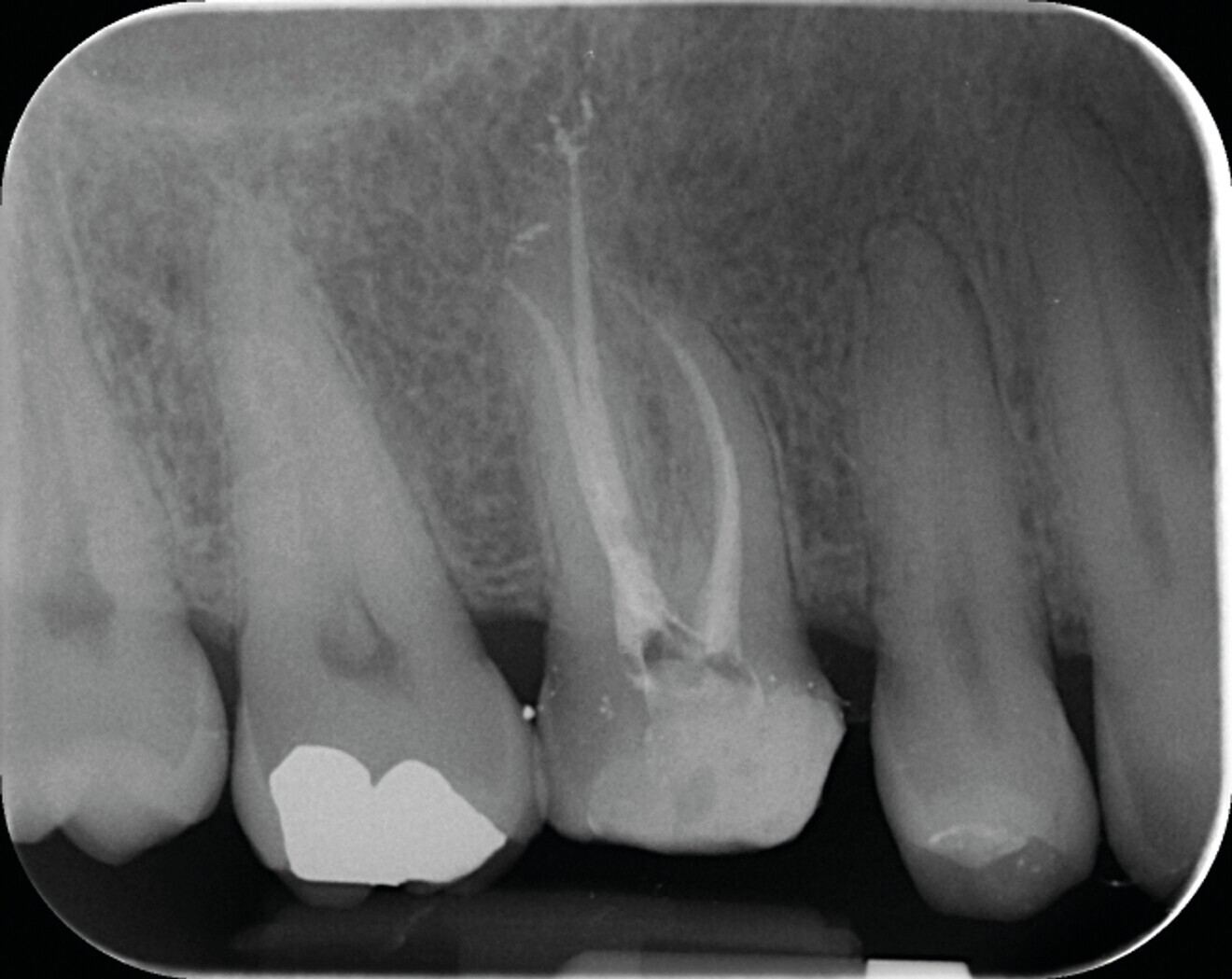
Fig. 1c : La radiographie de contrôle à un an, confirme l’efficacité du traitement par la régénération osseuse.

Fig. 1c : La radiographie de contrôle à un an, confirme l’efficacité du traitement par la régénération osseuse.

Les notions de seuil microbiologique

Bien que les procédures techniques se soient considérablement améliorées au cours des vingt dernières années, nous gardons à l’esprit que la stérilisation complète d’un canal demeure impossible à obtenir. En préparant le canal, en assurant une désinfection chimio-mécanique aussi précise que possible, on ne parvient qu’à réduire la charge bactérienne, mais malheureusement pas à éradiquer toute bactérie présente au sein du système canalaire.

Si des bactéries persistent au sein du canal, pourquoi certaines lésions guérissent ?

Fig. 2 : Illustration de la notion de seuil décrite par Siqueira et coll. 3 Ce seuil est dépendant de la charge bactérienne d’une part, et de la qualité de la défense de l’hôte d’autre part.

Fig. 2 : Illustration de la notion de seuil décrite par Siqueira et coll. 3 Ce seuil est dépendant de la charge bactérienne d’une part, et de la qualité de la défense de l’hôte d’autre part.

Tout simplement car en réalité, il existe une valeur seuil en dessous de laquelle la virulence bactérienne persistante est insuffisante pour déclencher une réaction osseuse inflammatoire (Fig. 2). Cette notion de seuil a été très bien décrite par Siqueira.3

Connaît- on la valeur de ce seuil ? Au risque de vous décevoir, non ! Tout simplement car ce seuil n’est pas une valeur métrique ni même une constante biologique quantifiable. Il serait cependant possible de connaître le nombre de bactéries présentes dans un canal au-delà duquel une réaction inflammatoire se déclencherait, ce qui permettrait d’imaginer des dispositifs instrumentaux pour les quantifier in situ. Siqueira l’a très bien expliqué.3

Mais non, cela ne fonctionne pas comme cela.

Ces valeurs seuils sont fictives et non quantifiables. Tout simplement car elles dépendent certainement du nombre de bactéries (voire de la virulence de la flore) mais également des défenses de l’hôte (et donc du patient).

Il y a bien un vieil adage qui dit que « les patients ne sont pas tous égaux face à la maladie ». Et bien cela reste vrai en endodontie.
N’avez-vous jamais vu une radiographie panoramique avec des traitements canalaires manifestement inadéquats mais avec aucune dent qui ne présente de lésion ? et l’inverse est également vrai ! Qui n’a jamais eu un échec thérapeutique suite à un traitement où toutes les conditions techniques sont remplies, jusqu’à l’utilisation de la digue ?

Au-delà de la frustration que ces observations peuvent engendrer, il faut reconnaître que cela devient difficile de prévoir l’issue d’un traitement, et encore plus difficile d’expliquer aux patients la réalité des choses.

Cette notion de seuil varie donc en fonctions de ces deux facteurs :
1- la quantité de bactéries ; et
2- les défenses de l’hôte.

Autant la première est déjà difficile à quantifier (mais techniquement pas impossible) autant la seconde est impossible à objectiver.

On peut ainsi imaginer qu’un canal présentant la même quantité de bactéries pourra déclencher une réaction inflammatoire chez un patient et pas chez un autre. Et il est impossible d’anticiper la réaction du patient et de prévoir donc avec précision le taux de succès ou d’échec d’un traitement que l’on veut envisager.

La seconde notion qui est importante à considérer est que la réponse de l’hôte peut varier dans le temps. Une altération de l’état général ou même le seul vieillissement sont des états physio-pathologiques qui altèrent entre autres les réactions immunitaires.

Une dent ne présentant pas de lésion ou de manifestation clinique à un instant pourrait devenir problématique chez le même patient et sans modification de la situation bucco-dentaire quelques années plus tard, en présence d’une déficience immunitaire, même minime.

Cette notion de seuil et sa variabilité dans le temps permet d‘expliquer par exemple comment une lésion asymptomatique à un instant, peut devenir très douloureuse six mois ou dix ans plus tard.

Comment exploiter ces seuils ?

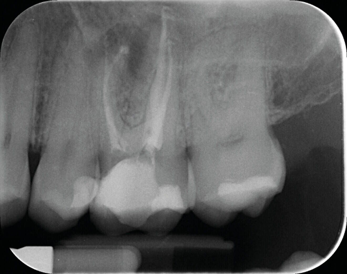
Dans ce concept de seuil, si la quantité de bactéries intra-canalaires augmente et dépasse la valeur seuil, alors une pathologie apparaît. Le système immunitaire déclenche une réaction inflammatoire qui provoque l’apparition d’une lésion intra-osseuse (Fig. 3).

Si avec le traitement canalaire, on parvient à faire passer la charge bactérienne en dessous du seuil, alors la dent est remise dans un contexte biologique favorable à la cicatrisation et à la régénération osseuse. La cicatrisation s’opère (Fig. 4).

Dans une autre situation où le patient ne présente pas de pathologie (prise en charge par exemple d’une dent présentant une pulpite), si le traitement canalaire n’est pas effectué dans de bonnes conditions d‘asepsie et qu’une infection est inoculée au sein du canal, alors la charge bactérienne va dépasser le seuil et une lésion va se développer. Il s’agit là d’une situation particulièrement frustrante puisque le patient n’avait finalement pas de problème et une pathologie a été induite par le traitement effectué.

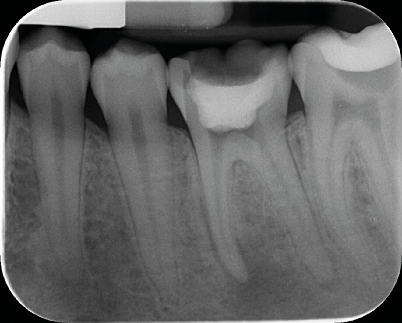
Dans le cas du traitement ou du retraitement d’une dent présentant une lésion osseuse, soit la procédure permet de repasser sous le seuil et la lésion guérira, soit ce n‘est pas le cas et la lésion persistera. C’est ce qui peut survenir notamment dans le cas où la perméabilité canalaire n’a pu être obtenue et la désinfection est donc impossible à réaliser techniquement (Fig. 5).

Cette conception des choses permet d’expliquer certaines autres situations cliniques frustrantes et parfois inexpliquées.
Nous avons tous vécu la situation où un patient demande simplement à refaire sa couronne métallique pour la remplacer par une couronne en céramique.

Le traitement endodontique est jugé techniquement insuffisant. Pourtant, l’absence de lésion apicale sur cette dent traitée depuis plusieurs années voire dizaines d’années, nous laisse penser qu’une ré intervention endodontique est superflue. Et pourtant, le patient revient six mois plus tard avec une symptomatologie qui peut aller jusqu’à la cellulite.

Notre seul tort dans ce cas a été de déposer la couronne, laisser la dent exposée à la cavité buccale ne serait-ce que quelques instants. Une absence d’étanchéité coronaire parfaite a permis une nouvelle percolation bactérienne dans le système endodontique. Le temps de restaurer la dent, et d’enfermer cette nouvelle flore après avoir ouvert la boîte de pandore a suffi pour déplacer l’équilibre souvent précaire qui existe entre attaque bactérienne et défense de l’hôte.

Et si l’on parlait d’efficacité thérapeutique plutôt que de succès ?

La connaissance et la compréhension de ces notions de seuil (qui sont probablement applicables dans d’autres disciplines et notamment la parodontologie) permet de mieux appréhender la difficulté de la notion de succès (et d’échec) d’un traitement en endodontie.

En tant que thérapeute, nous n’avons que la possibilité de délivrer un savoir-faire technique associé à des connaissances. Mais à l’impossible nul n’est tenu, et stériliser un canal reste impossible quelle que soit la technique utilisée.

La même réalisation technique chez deux patients différents pourrait avoir deux issues différentes. Si l’expertise technique permet d‘optimiser la qualité de la désinfection, on comprend que malheureusement, elle ne suffit pas pour avancer un taux de succès de 100 %.

La difficulté de l’accès, les complications techniques peuvent être progressivement contournées grâce aux progrès techniques, et aux nouvelles technologies. Mais la variation de la réponse de l’hôte d’un individu à un autre ou même au sein d’un même individu avec le temps est telle, qu’il est illusoire en l’état actuelle de nos connaissances, d’espérer un taux de succès de 100 % dans notre discipline.

C’est pour cela que dans la conception moderne du suivi de l’évolution de la pathologie endodontique, on ne parle plus de succès ou d’échec mais d’efficacité (ou d’inefficacité) d’un traitement canalaire.4 On pourrait considérer cela comme une simple question de sémantique, et pourtant cela est bien plus que cela. En effet, nous plaçons notre rôle (technique) à la seule place qui est la nôtre pour le moment. Non pas que nous n’avons pas de considération médicale, loin de là,5 mais tout simplement parce que l’état des connaissances de la discipline, à ce jour, ne nous permet pas de faire autrement !

Conclusion

Cette explication ne doit pas nous faire perdre confiance dans l’intérêt de l’endodontie et des possibilités de conservation qu’elle offre. Les évolutions technologiques et instrumentales ont d’autres vertus.

L’apparition de nouveaux instruments moins invasifs, de nouvelles méthodes d’irrigation et d’obturation, nous permettent de mieux influer sur les facteurs sur lesquels nous avons une emprise (Figs. 6 et 7).

Fig. 6a : Exemple de traitement canalaire réalisé avec des instruments et techniques d’obturation de dernière génération : (a) radiographie préopératoire d’une molaire maxillaire présentant une nécrose pulpaire.

Fig. 6a : Exemple de traitement canalaire réalisé avec des instruments et techniques d’obturation de dernière génération : (a) radiographie préopératoire d’une molaire maxillaire présentant une nécrose pulpaire.

Fig. 6b : Radiographie postopératoire du traitement canalaire – mise en forme avec le système BlueShaper (Zarc – Endoboutik), désinfection avec hypochlorite de sodium activé avec Irriflex (Produits Dentaires) et obturation en compaction verticale de gutta chaude.

Fig. 6b : Radiographie postopératoire du traitement canalaire – mise en forme avec le système BlueShaper (Zarc – Endoboutik), désinfection avec hypochlorite de sodium activé avec Irriflex (Produits Dentaires) et obturation en compaction verticale de gutta chaude.

Fig. 7a : Traitement canalaire d’une molaire mandibulaire réalisé avec le système SlimShaper (Zarc – Endoboutik) et obturation avec le CeraSeal (Komet). (a) Radiographie préopératoire.

Fig. 7a : Traitement canalaire d’une molaire mandibulaire réalisé avec le système SlimShaper (Zarc – Endoboutik) et obturation avec le CeraSeal (Komet). (a) Radiographie préopératoire.

Fig. 7b : Radiographie postopératoire mettant en évidence la préservation maximale de tissu dentaire dans la partie cervicale de la dent, grâce au système SlimShaper. Cette mise en forme préservatrice n’a pas interféré sur le reste de la procédure, elle permet surtout d’éviter d’affaiblir la dent dans la zone cervicale.

Fig. 7b : Radiographie postopératoire mettant en évidence la préservation maximale de tissu dentaire dans la partie cervicale de la dent, grâce au système SlimShaper. Cette mise en forme préservatrice n’a pas interféré sur le reste de la procédure, elle permet surtout d’éviter d’affaiblir la dent dans la zone cervicale.

Note éditoriale:

L’auteur déclare ne présenter aucun lien ni conflit d’intérêt dans le cadre de la rédaction de cet article. L’article a fait l’objet d’une publication dans le journal Dental Tribune France mai 2022 | VOL. 14, NO. 5.

Références :

  1. Kakehashi S, Stanley HR, Fitzgerald R. The exposed germ-free pulp: effects of topical corticosteroid medication and restora[1]tion. Oral Surg Oral Med Oral Pathol. 1969 Jan;27(1):60–7.
  2. https://www.endo-academie.fr/65-infection-inflamma[1]tion-la-relation-infernale-binomiale-de-lendodontie/
  3. Siqueira JF Jr, Rôças IN. Clinical implications and microbiology of bacterial persistence after treatment procedures. J Endod. 2008 Nov;34(11):1291–1301.
  4. Wu MK, Wesselink P, Shemesh H. New terms for categorizing the outcome of root canal treatment. Int Endod J. 2011;44(11):1079– 80.
  5. Simon SR, Tomson PL, Berdal A. Regenerative endodontics: re[1]generation or repair? J Endod. 2014 Apr;40(4 Suppl):70–5.
Mots-clés:
To post a reply please login or register
advertisement
advertisement