Un directeur artistique est venu à notre cabinet de www.denturewearers.com. Il cherchait une solution pour améliorer et reconstruire son sourire. Au cours de ces dernières années, il avait noté un affaissement de son visage, lentement, en dépit d'un dentier supérieur fait par un dentiste cosmétique à Las Vegas (fig. 1). Depuis lors, il avait vu de nombreux dentistes, y compris plusieurs prothésistes, pour résoudre son sourire, et d'une manière primordiale, son esthétique faciale. Cependant, le patient n'était pas disposé à entreprendre des plans de traitement étendus, ni en temps ni en finances ; sans compter les périodes de douleur et de rétablissement liée aux multiples séances de soins qu'il devrait subir pour une solution permanente. Parmi les nombreuses options de traitement que nous avons évoquées pour sa réhabilitation dentaire, il y avait les implants, un nouveau dentier, les facettes, et les couronnes. On lui a alors présenté une option entièrement innovante dont il n'avait pas entendu parler avant : un nouveau dentier complet pour l'arcade supérieure et un Snap-On Smile pour l'arcade inférieure, pour créer le beau sourire et les dimensions faciales normales qu'il désirait ardemment.
Présentation du cas
Un bilan complet de diagnostic a été effectué, qui comprenait un examen approfondi, une série complète de radiographies et de photographies numériques, l'imagerie et l'esthétique (fig. 2 et 3). Nous avions transformé sourire d'un autre patient la semaine précédente en ouvrant sa dimension verticale avec un ensemble de Snap-On Smile. La toute dernière technologie du logiciel d'imagerie Dexis nous a permis d'accéder à un "avant-après" à partir de photographies, en quelques secondes, et de montrer une illustration de cas réels de la façon dont l'ouverture d'occlusion d'une personne par le biais de la dentisterie peut modifier l'apparence du visage pour lui donner l'air plus jeune et, naturellement, de meilleure qualité.
Nous sommes alors passés par le guide de modèle de sourire (www.digident.com) pour choisir la forme, P-4 (canines pointues avec les centrales et latérales carrées arrondies), et la combinaison de longueur, L-2 (latérales légèrement plus courtes que les centrales et les canines), a été préférée pour l'image cosmétique, et finalement, pour son nouveau sourire (figs. 4-6). Les photographies numériques stockées dans le hub de Dexis, en combinaison avec ses images cosmétiques et l'idée d'un Snap-On Smile, ont encouragé le patient à accepter le traitement pour sa transformation immédiate du sourire.
Fig. 4-6: Smile Style Guide pour la conception de sourire (Fig. 4). Smile Design P-4: canines pointues, incisives carrées-arrondies (fig. 5). Longueur code L-2: latérales légèrement plus courtes que les centrales et les canines (Fig. 6).
Nous avons commencé par reprendre son dentier supérieur existant pour le wax-up. Ensuite, nous avons versé un matériau temporaire bisacrylique. Après environ 40 minutes, nous avions un duplicata de son ancienne prothèse à utiliser comme un porte-empreinte individuel avec des limites excellentes.
Le duplicata du dentier avait été découpé, lissé, et essayé, nous avons appliqué un adhésif pour VPS et pris un wash avec un VPS light. Avec cette technique économe en temps de duplication du dentier, nous pouvions prendre une empreinte finale très précise au premier rendez-vous du patient.
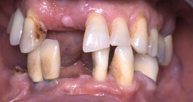
Une empreinte de la prothèse inférieure a été prise pour créer un porte-empreinte individuel inférieur. Pour répondre à l'une des principales préoccupations du patient, son "visage affaissé, il nous a expliqué que sa dimension verticale a diminué au fil du temps car il a perdu des dents postérieures et usé les dents 33 à 43 (fig. 7 et 8). Seules les dents 44 et 34 avaient à peu près la hauteur d'occlusion d'origine (Fig. 9). Le patient n'avait pas envie de traiter la dent 34, comme il voulait vraiment une solution indolore pour le moment, surtout avec l'approche des fêtes. Nous avons pris un enregistrement de l'occlusion neuromusculaire avec un matériau à prise lente après un traitement TENS de 45 minutes avec le Myomonitor, pour enregistrer ses relations intermaxillaires idéales.
Au rendez-vous d'essayage, nous avons confirmé l'aspect des dents supérieures. Nous avons ensuite pris une empreinte en alginate de la cire d'essayage pour l'opposer au Snap-On Smile. Pour le modèle en cire et, éventuellement, la prothèse définitive, nous avons sélectionné des dents esthétiques, de tons différents, pour créer une apparence plus naturelle. A ce rendez-vous, une empreinte en VPS de l'arcade inférieure a également été prise dans un porte-empreinte individuel pour la fabrication de son Snap-On Smile.
Fig. 7-14: close-up pré-op du sourire (Fig. 7). Vue pré-op en rétrusion (fig. 8). Vue occlusale pré-op (Fig. 9). Close-up final du sourire (Fig. 10). Vue final en rétrusion (Fig. 11). Vue finale latérale droite (Fig. 12). Vue final latérale gauche (Fig. 13). Vue finale occlusale (Fig. 14).
Environ trois semaines plus tard, le patient est revenu pour évaluer la transformation de son sourire, rapide et indolore (fig. 10-16). Le patient était enchanté de son nouveau sourire, mais était encore plus heureux de la façon dont son nouveau sourire a été créé. Il savait qu'il avait l'air plus âgé que réellement, et ne voulait pas aller sur la voie de la chirurgie plastique. Il avait plutôt besoin, pour rétablir son visage, d'un lifting du sourire, ce qui a été accompli rapidement et sans douleur grâce à la dentisterie de haute-technologie!
En utilisant le Snap-On Smile pour rétablir sa dentition inférieure, le patient a maintenant un beau sourire, et, ce qui est plus important, est en mesure d'expérimenter le look, le ressenti, et la fonction en vue d'une solution plus permanente. Quand il est venu chez nous, le patient n'a pas voulu se soumettre une réhabilitation totale de la bouche dans un avenir proche. Maintenant, il envisage sérieusement une solution plus permanente, lorsque le temps et les conditions le permettront. De plus, son Snap-On Smile peut être utilisé comme guide chirurgical pour les implants. En attendant, il récolte les fruits de la transformation sourire que les technologies modernes et les techniques dentaires ont contribué à créer
.
Contact info
Dr. Lorin Berland et Dr. Sarah Kong peuvent être joints à : www.dallasdentalspa.com
Hamilton, Ontario, Canada : les dents humaines conservent des informations vitales sur la carence en vitamine D, et des anthropologues canadiens ont à ...
CHENGDU, Chine : Le développement des racines dentaires dépend de voies de communication cellulaire précises. Des chercheurs chinois ont montré comment ...
SAINT-BONNET-LES-OULES, France : Un saignement au brossage, un léger gonflement ou une sensibilité gingivale peuvent sembler anodins. Pourtant, selon le ...
To post a reply please login or register