Search Dental Tribune

Restaurations sur le modèle après caractérisation avec des colorants liquides et frittage. (Image: Vasilis Vasiliou et Dr Zinonas Evagorou, Chypre)

jeu. 16 avril 2026

Enregistrer

Qu’ils soient jeunes ou âgés, hommes ou femmes, nos patients méritent un beau sourire en parfaite harmonie avec leurs dents, leur visage, leur personnalité et leurs besoins individuels. Toutefois, pour pouvoir offrir aux patients les magnifiques restaurations qui vont transformer leur vie, nous, prothésistes dentaires, devons nous montrer prévenants et prêter une oreille attentive aux histoires qu’ils nous racontent.

Le cas du patient illustré dans cet article en est un exemple parfait. Lorsqu’il se présente au cabinet dentaire, il exprime le souhait d’améliorer l’esthétique de son sourire par des couronnes complètes, mais il veut une restauration adaptée à son âge et d’aspect naturel.

Après l’avoir bien examiné et écouté, je me décide pour la zircone, qui est selon moi la meilleure façon de restaurer ses incisives supérieures. Le plan de traitement va consister à usiner la sous-structure des couronnes dans un disque de zircone KATANA YML de faible luminosité (teinte D3 ; Kuraray Noritake Dental). Le modèle choisi pour les sous-structures comporte une réduction de la face vestibulaire afin de faciliter l’intégration de certains effets caractéristiques naturels. La finition est assurée par une technique de microstratification avec un système de céramiques conçu spécifiquement pour cette approche, CERABIEN MiLai (Kuraray Noritake Dental).

Les étapes importantes de la procédure de finition sont notamment :

  • Caractérisation de la zircone usinée avec des colorants liquides.
  • Prétraitement des surfaces en zircone sablées avec le colorant de base de teinte SS Fluoro et la céramique CERABIEN ZR Margin pour la stratification des zones marginales (les deux produits étant fabriqués par Kuraray Noritake Dental).
  • Caractérisation interne avec les colorants CERABIEN MiLai, et
  • Application des céramiques CERABIEN MiLai Luster (teintes brillantes).
Fig. 1: CAD of the zirconia frameworks. Splinted crowns rendered in a transparent view to show the abutment teeth.

Fig. 1: CAD of the zirconia frameworks. Splinted crowns rendered in a transparent view to show the abutment teeth.

Fig. 2: CAD of the zirconia frameworks. Outer contour of the splinted crowns with a detailed surface texture and sufficient room for micro-layering.

Fig. 2: CAD of the zirconia frameworks. Outer contour of the splinted crowns with a detailed surface texture and sufficient room for micro-layering.

Fig. 3 : Restaurations sur le modèle après caractérisation avec des colorants liquides et frittage.

Fig. 3 : Restaurations sur le modèle après caractérisation avec des colorants liquides et frittage.

Fig. 4 : Essayage des restaurations.

Fig. 4 : Essayage des restaurations.

Fig. 5 : Schéma de la stratification pour la coloration interne des restaurations.

Fig. 5 : Schéma de la stratification pour la coloration interne des restaurations.

Flux de travail en laboratoire

La bibliothèque Leahu de modèles dentaires personnalisés est choisie pour concevoir les couronnes en zircone monolithiques solidarisées (Leahu fait partie de la bibliothèque Truedental conçue pour le logiciel exocad DentalCAD ; Fig. 1). Ensuite, l’option CALMA du logiciel est utilisée pour la réduction numérique des faces vestibulaires uniquement (Fig. 2). Les couronnes sont ensuite usinées et caractérisées à l’aide de colorants liquides afin d’optimiser la saturation (Fig. 3). Lors de l’essayage, l’adaptation et la forme des restaurations s’avèrent excellentes (Fig. 4) et le moment est donc venu de planifier l’étape de coloration interne et de microstratification (Figs. 5 et 6), tout en veillant à reproduire le mieux possible l’aspect naturel des dents. Le plus compliqué est d’utiliser judicieusement l’espace disponible, raison pour laquelle un schéma détaillé de la stratification est utile, même dans le contexte d’une microstratification.

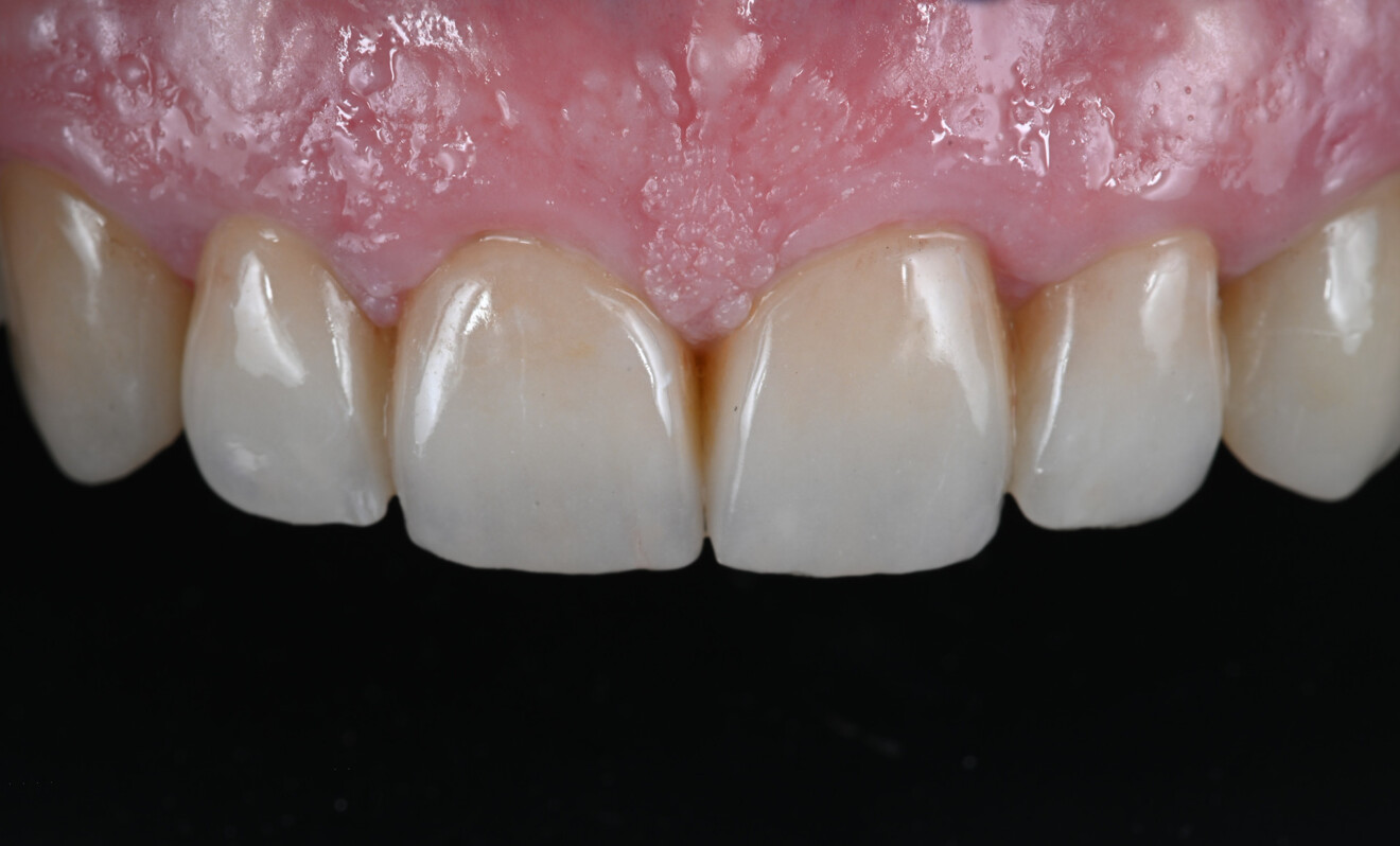
L’étape de stratification est réalisée selon le plan de traitement (Figs. 7 à 10) et est suivie de la finition de la texture de surface. Ensuite, les restaurations sont de nouveau essayées afin d’évaluer l’esthétique. Enfin, les couronnes sont assemblées au moyen de PANAVIA V5, qui est une colle composite à potentiel adhésif (Kuraray Noritake Dental ; Figs. 11 et 12).

Fig. 7 : Restaurations sur le modèle après coloration interne qui a permis de créer les caractéristiques nécessaires à l’obtention d’un effet de profondeur naturel.

Fig. 7 : Restaurations sur le modèle après coloration interne qui a permis de créer les caractéristiques nécessaires à l’obtention d’un effet de profondeur naturel.

Fig. 8 : Restaurations sur le modèle après stratification au niveau des zones cervicales et des tiers moyens.

Fig. 8 : Restaurations sur le modèle après stratification au niveau des zones cervicales et des tiers moyens.

Fig. 9 : Restaurations sur le modèle après la dernière stratification avec les céramiques Luster pour parfaire la morphologie.

Fig. 9 : Restaurations sur le modèle après la dernière stratification avec les céramiques Luster pour parfaire la morphologie.

Fig. 10 : Restaurations définitives sur le modèle après finition, polissage et glaçage des surfaces.

Fig. 10 : Restaurations définitives sur le modèle après finition, polissage et glaçage des surfaces.

Conclusion

Le patient se montre extrêmement satisfait du résultat du traitement et estime que son investissement en vaut vraiment la peine. Si j’ai pu répondre aux attentes de ce patient, je le dois à mon approche adaptée à ses besoins individuels, à l’analyse minutieuse de ses dents, de son sourire et des expressions de son visage, et à ma connaissance approfondie des matériaux.

Malgré cela, je reste attaché à perfectionner mes compétences en évaluant de manière critique chaque restauration que j’accomplis et en cherchant les points à améliorer.

Ma passion pour la croissance, soutenue par des mentors exceptionnels qui me transmettent des idées et des techniques novatrices, m’encourage à rester à la pointe de mon domaine et à offrir constamment les meilleurs soins possibles.

Fig. 11 : Résultat du traitement.

Fig. 11 : Résultat du traitement.

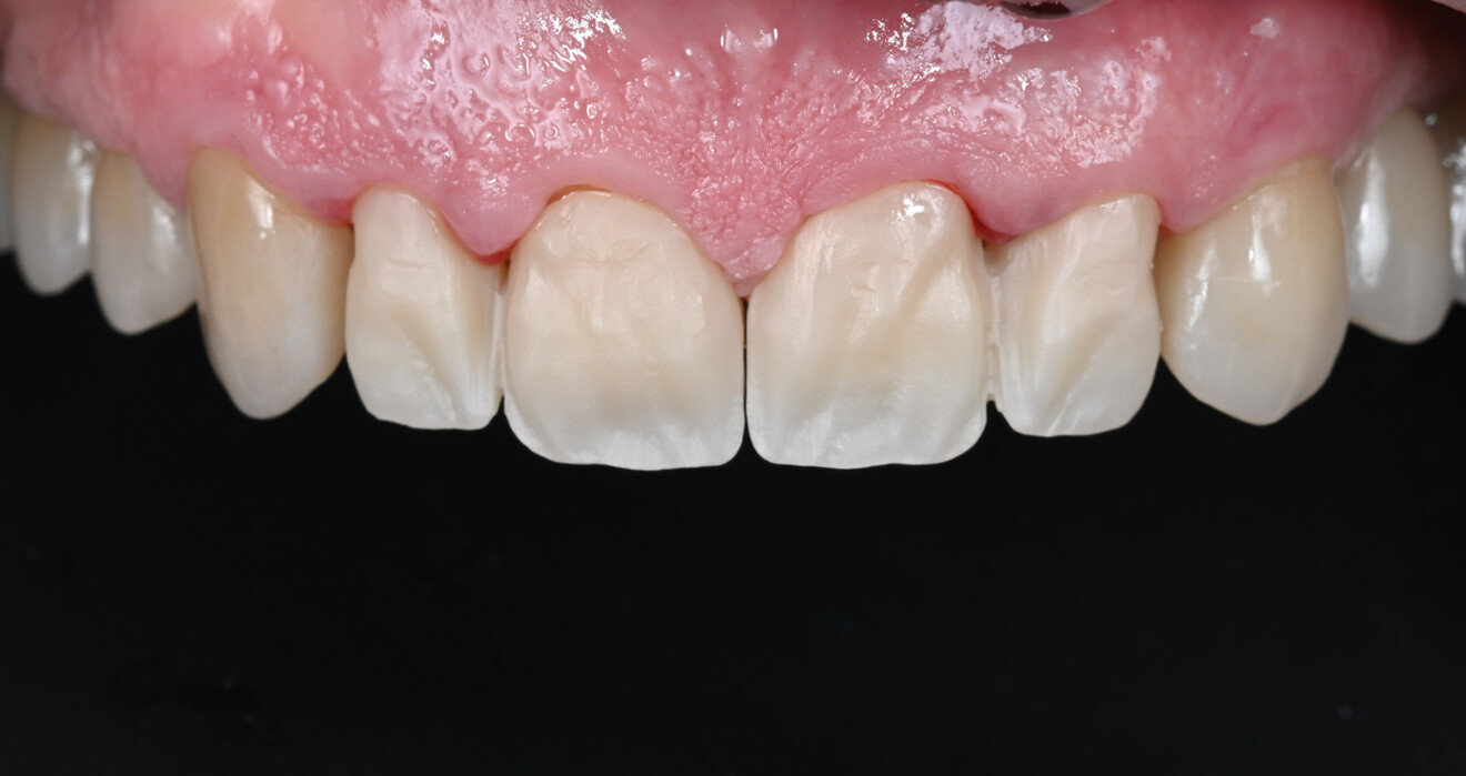
Fig. 12 : Résultat du traitement, vue extraorale.

Fig. 12 : Résultat du traitement, vue extraorale.

Remerciements

Je remercie de tout cœur le Dr Zinonas Evagorou pour son partenariat inestimable et son expertise clinique, qui ont contribué à l’obtention de ce résultat.

Note éditoriale:

Cet article a été initialement publié dans digital–international magazine of digital dentistry, vol.6, Issue 4/2025.

To post a reply please login or register
advertisement
advertisement