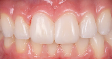
L’utilisation des procédés CFAO pour la réalisation de nos restaurations céramique est désormais une technologie répandue, forte de la diversité de ses applications cliniques et de la qualité de soins prothétiques qu’elle apporte. Parallèlement, l’accès et l’évolution des matériaux usinables ouvrent des applications cliniques et esthétiques, bien séduisantes ! Retrouvez mercredi 20 septembre à 20h sur le site Connect dental campus le docteur Stéphane Cazier, qui traitera « la gestion des facette céramiques en CFAO directe ».
Nous exposerons ainsi les étapes « clés » de la conception numérique et les matériaux, permettant aujourd’hui de réaliser au cabinet des restaurations adhésives en céramique, telles que des facettes ou autres éléments esthétiques dans le secteur antérieur jusqu’alors souvent externalisées au laboratoire.
Plus particulièrement, nous préciserons les indications de réalisations de facettes par CFAO directe, les conditions dans lesquelles celles-ci sont réalisables : préparations dentaires, gestion du substrat, travail de la macro et micro géographie, états de surfaces, forme et point de contact, choix du bloc, maquillage et caractérisation… Le tout pour une réelle intégration dans notre exercice quotidien.
Ce webinaire en direct sera suivi d'une séance de questions et réponses qui vous permettront de profiter des conseils de ce spécialiste. Posez simplement vos questions dans la zone de discussion.
Pour vous inscrire gratuitement au webinaire, rendez-vous sur ConnectDentalCampus
Mots-clés:
La dentisterie adhésive a fondamentalement modifié et littéralement transformé notre domaine pour des restaurations dentaires ...
La dentisterie adhésive a fondamentalement modifié et littéralement transformé notre domaine pour des restaurations dentaires ...
La dentisterie adhésive a fondamentalement modifié et littéralement transformé notre domaine pour des restaurations dentaires ...
PARIS, France : La fusion de l’imagerie 3D avec les empreintes optiques nous apportent une progrès important en implantologie. Mais cela ...
DAMMAM, Arabie Saoudite : La longévité esthétique reste une préoccupation centrale dans les restaurations composites antérieures, où le changement de ...
L’attente « esthétique » de nos patients étant désormais de plus en plus présente dans le cadre de leurs soins bucco-dentaires, il devient ...
PARIS, France : Le docteur Fabienne Jordan Chamalières vous donne rendez-vous le jeudi le 14 juin à 19h sur ConnectDentalCampus.fr pour vous apporter les ...
En dentisterie restauratrice et esthétique, les choix de traitements et matériaux pour la région antérieure sont multiples. Le protocole classique, qui ...
Dans le cadre d’une restauration inférieure avec le Neodent ceramic implant system.
L’esthétique est une demande croissante au sein des cabinets dentaires, et les facettes suscitent un réel engouement de la part des patients depuis de ...
Webinaire en direct
jeu. le 14 mai 2026
à 18h00 (CET) Paris
Webinaire en direct
jeu. le 14 mai 2026
à 20h00 (CET) Paris
Prof. Hani Ounsi DDS PhD FICD
Webinaire en direct
mar. le 19 mai 2026
à 17h00 (CET) Paris
Webinaire en direct
mar. le 19 mai 2026
à 19h00 (CET) Paris
Prof. Dr. med. dent. Ivo Krejci
Webinaire en direct
mer. le 20 mai 2026
à 13h00 (CET) Paris
Dr. Graham Carmichael BDSc (Hons), DClinDent (Pros), FRACDS, Dr. Robert Gottlander DDS
Webinaire en direct
mer. le 20 mai 2026
à 15h00 (CET) Paris
Webinaire en direct
mer. le 20 mai 2026
à 19h00 (CET) Paris
Prof. Dr. med. dent. Tim Joda PhD, MSc, eMBA
To post a reply please login or register