L’essor des techniques et le développement très important des (bio)matériaux pouvant améliorer mais complexifier notre panel de solutions thérapeutiques à disposition, notre regard cherche alors le plus souvent une solution simple, efficace et surtout reproductible sans négliger un calcul d’optimisation des coûts financiers tant pour nos patients que pour nos structures de soins.
La technique de restauration en secteur antérieur par stratification de résine composite pouvant souvent sembler chronophage et complexe (notamment sur l’aspect prédictible pour nous autres omnipraticiens) certaines situations cliniques peuvent nous orienter plus spontanément dans nos choix vers une technique dite indirecte (permettant ainsi de nous appuyer sur les compétences de nos laboratoires de prothèses). Cependant, les impératifs liés au choix de cette technique, nous conduisent le plus souvent à des temps thérapeutiques plus longs, des périodes de temporisation à gérer, des coûts tissulaires et financiers plus importants, le tout associé à une tolérance de précision plus faible.
La technique (plus ou moins récente) du composite injecté permet d’associer les avantages du choix d’une technique directe (faible contrainte de temps, d’impératifs d’axe ou d’épaisseur de matériaux, retouches et réparations, coût limité), et d’une technique indirecte (modélisation au laboratoire, temps fauteuil limité etc.).
Le concept est simple :
– Prise d’empreinte + photographies pour le laboratoire de prothèse.
– Modélisation (analogique ou digitale) + impression/coulée d’un modèle + réalisation d’une clef d’injection en silicone transparent.
– Injection au fauteuil d’une résine composite fluide hautement chargée après un protocole de collage puis finition et polissage.
Situation clinique
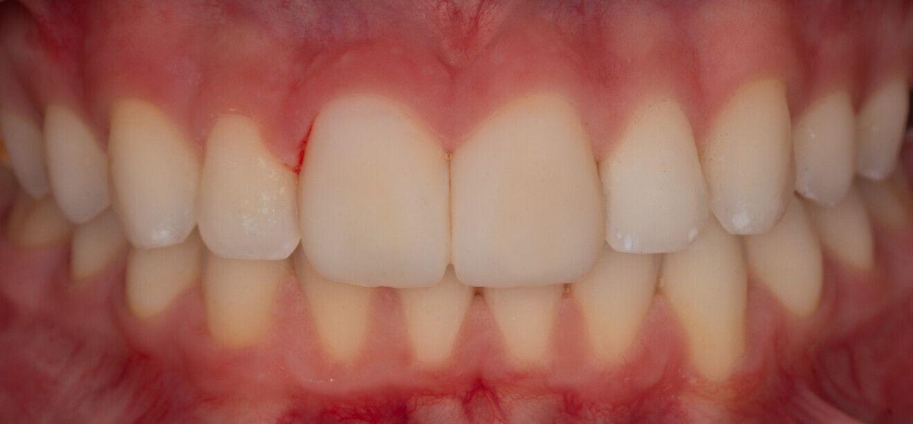
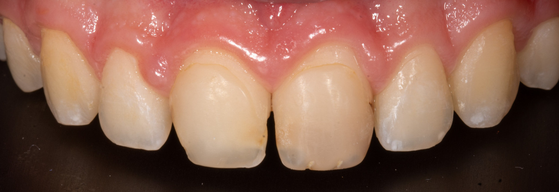
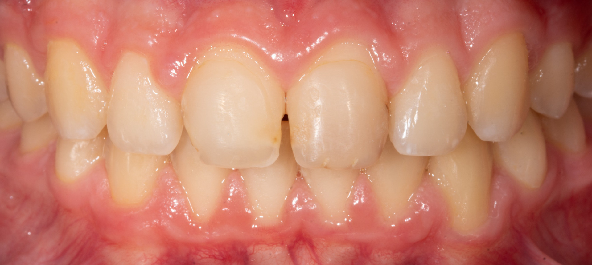
Un jeune patient de 17 ans, sans antécédents médicaux ou médicamenteux se présente en consultation au cabinet. Le patient se dit légèrement complexé par son sourire. L’examen clinique révèle une atteinte de type M.I.H. sur les premières molaires ainsi que d’anciennes restaurations en composite non satisfaisantes sur les critères d’étanchéité et d’esthétisme au niveau des deux incisives centrales maxillaires 11 et 21 (test de sensibilité normal) trahissant une probable atteinte également à leur niveau par la MIH.
Proposition thérapeutique
En raison du très jeune âge du patient, l’aspect minimalement invasif de la technique de restauration à choisir est ici impératif pour permettre la préservation au long terme de ses deux incisives centrales.
Le choix, guidé par le gradient thérapeutique, est donc fait avec le patient de procéder à la réhabilitation de ses deux incisives 11 et 21 par la dépose de ses anciennes restaurations et la réalisation de deux facettes en technique directe nous permettant ainsi une économie tissulaire maximale.
L’utilisation ici de la technique du composite injecté semble en effet idéale, la réhabilitation des incisives centrales maxillaires n’autorisant aucune erreur de dissymétrie au niveau de la forme (ligne de contour, lignes de transitions, axe etc.), d’écart de couleur ou de texture, la prédictibilité est cruciale.
De plus, la mise à disposition sur le marché de nouvelles résines composites flow comme le Clearfil Majesty ES Flow (Kuraray) dont les propriétés mécaniques sont désormais équivalentes aux résines composites traditionnelles de stratifications (taux de charges allant jusqu’à 78 % de la masse et 64 % du volume) nous garantissent une résistance à la flexion (151 Mpa) et à la compression (373 Mpa) élevées tout en offrant un rendu esthétique très intéressant notamment entre autre par la facilité du polissage/brillantage du produit ce qui en fait une solution de choix dans ce type de technique.
Afin de sublimer le sourire de notre jeune patient, un éclaircissement lui est proposé afin d’une part d’augmenter la luminosité de ses dents mais également de nous faciliter l’intégration esthétique future d’un point de vue couleur (les dents éclaircies sont plus homogènes et faciles à copier).
Séquence thérapeutique
La séquence thérapeutique du traitement comptera donc cinq rendez-vous :
– 1re consultation (recueil des informations, photos + empreintes, explications + devis) (30 – 45 min).
– Remise du matériel ambulatoire d’éclaircissement (gouttières + gel de peroxyde de carbamide + gel de phosphopeptide de caseine) (15 min).
– Contrôle + prise de couleur (15 min).
– Séquence d’injection des 2 facettes (1h15).
– Contrôle + retouches (15 min).
Step by step clinique
Lors de la 1re séance, nous réalisons une photo exobuccal du visage + une photo endobuccal associées à des empreintes numériques IOS au format STL/PLY qui sont transmises au laboratoire de prothèse (laboratoire Gilles Philip – Marseille).

Fig. 2 : Maître modèle avec la modélisation de 11 et 21.
Celui-ci réalise alors l’impression des modèles de la situation initiale + gouttière thermoformée sans réservoirs pour l’éclaircissement ainsi que la modélisation digitale de la forme idéale des futures incisives centrales (wax-up digital) qui est imprimé (maître modèle).

Fig. 3 : gouttière transparente d’injection.
Remarque : Il est tout à fait possible d’effectuer la même chose en analogique (empreintes alginates + coulée des modèles + wax up).
Fabrication de la gouttière
Après validation (avec ou sans le patient) des volumes et formes des futures facettes, la gouttière transparente est réalisée.
Éclaircissement
Pendant cette période, un éclaircissement ambulatoire au peroxyde de carbamide (10 %) est réalisé durant quatre semaines.
Une fois l’éclaircissement finalisé, nous procédons à une analyse et un relevé de la couleur afin de choisir la meilleure teinte de composite flow. Ici le relevé se porte sur le choix XW Clearfil Majesty ES-2 qui semble correspondre intimement en lumière polarisée (analyse de profondeur).
Séance d’injection
Deux semaines plus tard sera réalisée la séance d’injection des facettes (temps nécessaire pour que la procédure de collage ne soit pas diminuée par le reste de dérivés oxygéniques (ROS) liés à l’éclaircissement.
Pose du champ opératoire
Afin d’optimiser le confort opératoire et la fiabilité du procédé de collage, après une anesthésie locale un champ opératoire est placé sur un champ large pour permettre la mise en place de la clef d’injection, ici de 15 à 25 (Digue Nictone Médium).

Fig. 6 : Mise en place du champ opératoire (Digue + ligatures teflonnées).
Remarque : d’expérience personnelle, lors de la pose du champ opératoire, il est important de privilégier une digue apportant suffisamment de rétraction gingivale mais sans être trop épaisse pour permettre l’insertion complète en butée de la clef d’injection.
Préparation
Dépose des anciennes restaurations et optimisation du design proximal, puis sablage à l’alumine 50 microns (Aquacare Velopex).

Fig. 7 : Préparation de surface après dépose des anciennes restaurations (MIH bien visible sur 21)
Isolation
Isolation individualisée pour limiter la fusée latérale du système adhésif et du composite flow.
Adhésion
Mordançage total de la surface amélaire avec de l’acide orthophosphorique à 37 % pendant 20 secpmdes, rinçage et séchage.

Fig. 9 : Mordançage (Acide Orthophosphorique 37% 20s), rinçage, séchage
Application du système adhésif Gold Standard auto-mordançant : Clearfil SE Bond (Primer 20 secondes + Souflette + Bond) et photopolymérisation 30 secondes.

Fig. 10 : Adhésif Clearfil SE Bond.
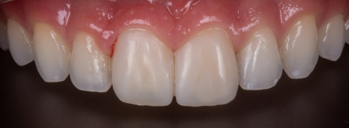
Finitions Immédiates
Finition sans champ des deux facettes avec des strips et polissoirs de granulométrie décroissantes pour obtenir un résultat esthétique optimal.
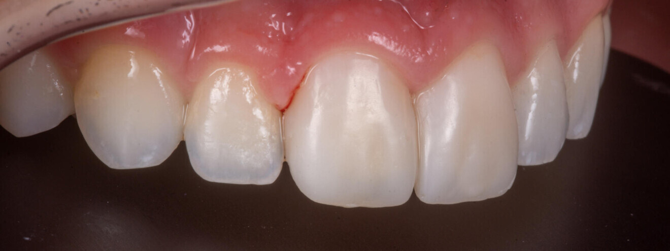
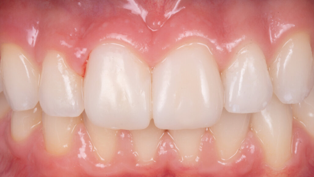
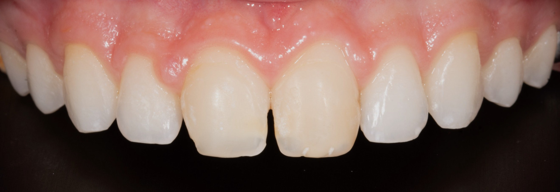
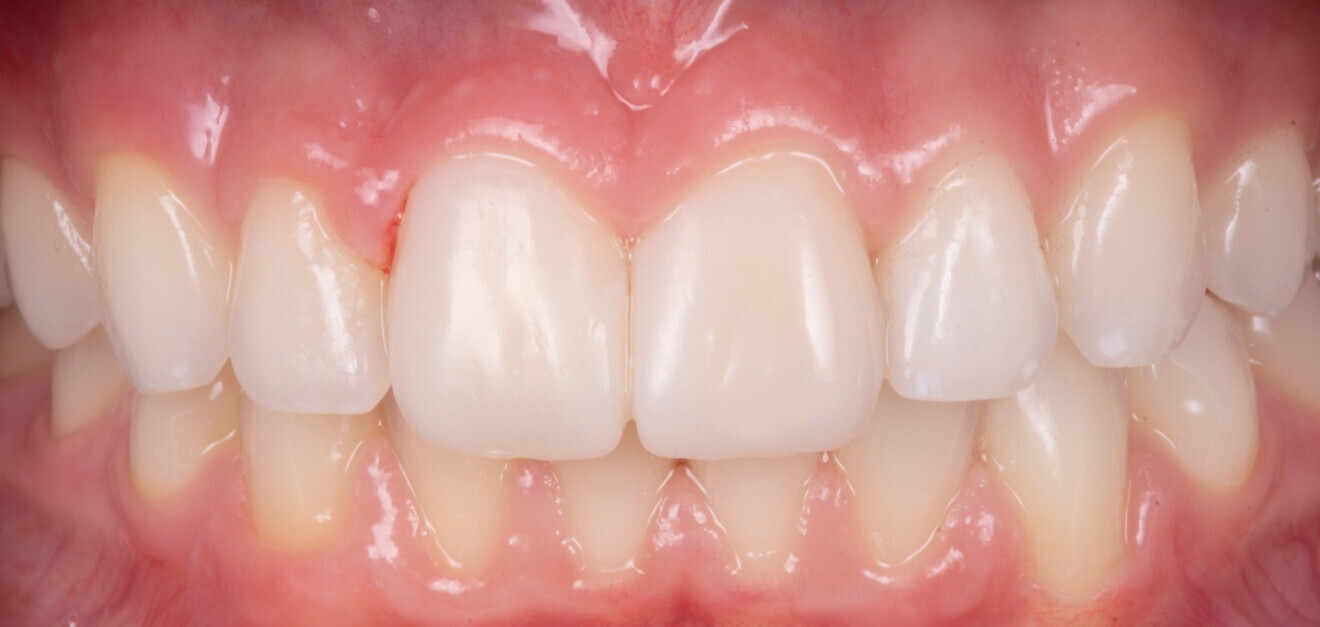
Contrôle à sept jours
Résultat après finition supplémentaire lors du contrôle à une semaine postopératoire.
Conclusion
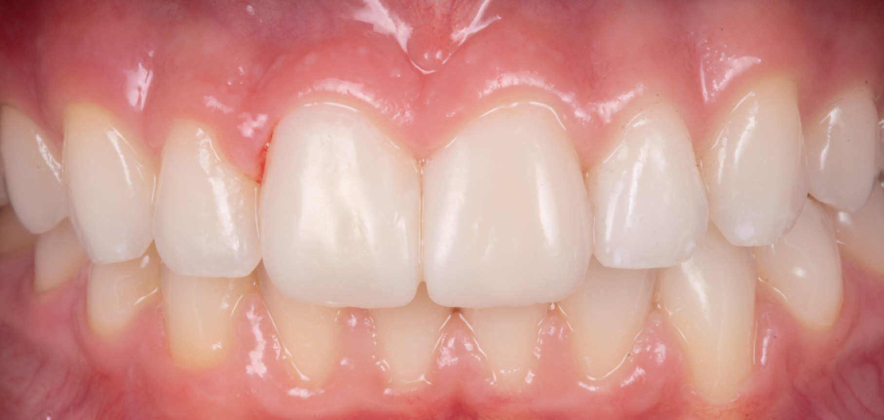
Ce cas clinique illustre assez certainement l’intérêt d’une technique alliant de nombreux avantages sur différents plans : un cahier des charges techniques accessible et reproductible tout au long de la mise oeuvre jusqu’à l’obtention du résultat esthétique souhaité. Le tout en assurant une préservation biomécanique et fonctionnelle maximale du patrimoine bucco-dentaire de nos patients et ce sans oublier une intégration parfaitement réalisable dans une enveloppe budgétaire à frais limité ce qui nous permet de proposer ce type de soins de manière accessible à une grande majorité de nos patients.
Soucieux du choix des matériaux et des produits utilisés, j’ai privilégié pour ce cas un adhésif ayant très largement fait ses preuves dans la littérature et désormais considéré comme un gold standard dans la plupart des études : le Clearfil SE BOND (Kuraray), utilisé après un mordançage de la surface amélaire pour optimiser les valeurs d’adhésions, que j’apprécie également pour son épaisseur très fine et avec un faible impact colorimétrique et esthétique.
Par ailleurs l’utilisation du Clearfil Majesty ES Flow Low (Kuraray) me semble une solution de choix pour l’association de ses propriétés mécaniques importantes avec un rendu esthétique fiable et une texture idéale sans oublier le respect de la compatibilité chimique avec le système adhésif employé.

To post a reply please login or register