La littérature a introduit les implants en céramique ou en zircone il y a plus de 30 ans, et les a recommandés comme solution de remplacement des dents dans les zones édentées. Les études cliniques ont également montré d’excellents résultats, à la différence des implants en titane. Depuis les dix dernières années environ, les implants en céramique font partie de nos plans de traitement implantaire. Outre l’avantage esthétique, le grand intérêt des implants en zircone réside dans l’excellente réponse des tissus mous. La tolérance de l’organisme à ce matériau semble très élevée et pourrait permettre de réduire les taux de péri-implantite. Il est toutefois nécessaire d’approfondir la recherche à ce sujet pour confirmer cette hypothèse.
Pour éviter les problèmes mécaniques, la première génération d’implants en zircone n’était disponible que sous forme d’implants monoblocs. Ces implants particuliers n’étaient toutefois pas adaptés en présence de défauts osseux (qualité ou quantité), par exemple chez les patients dont le volume osseux était insuffisant ou la stabilité primaire trop incertaine pour permettre la pose immédiate d’un implant, et chez les patients pour qui il n’y avait aucune indication de mise en charge immédiate avec un implant monobloc. Ces dernières années ont vu l’apparition d’un nouvel implant deux pièces en céramique, offrant la possibilité de traiter les cas atteints de défauts osseux et de permettre la cicatrisation sans mise en charge. Ce qui suit illustre cinq cas cliniques traités chirurgicalement par des implants deux pièces en céramique.
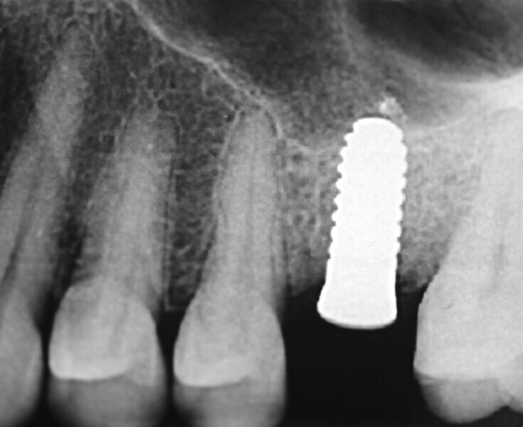
Cas 1 –
Pose d’un implant dans l’os régénéré (traitement en deux temps) L’insertion de l’implant a été réalisée après l’échec d’un traitement endodontique.
Fig. 1 : Radiographie avant l’extraction (première phase).
Fig. 2 : Radiographie avant l’extraction (première phase).
Fig. 3 : Cicatrisation de l’alvéole préservée.
Fig. 4 : Cicatrisation de l’alvéole préservée.
Fig. 5 : Cicatrisation de l’alvéole préservée.
Fig. 6 : Insertion de l’implant.
Fig. 7 : Insertion de l’implant.
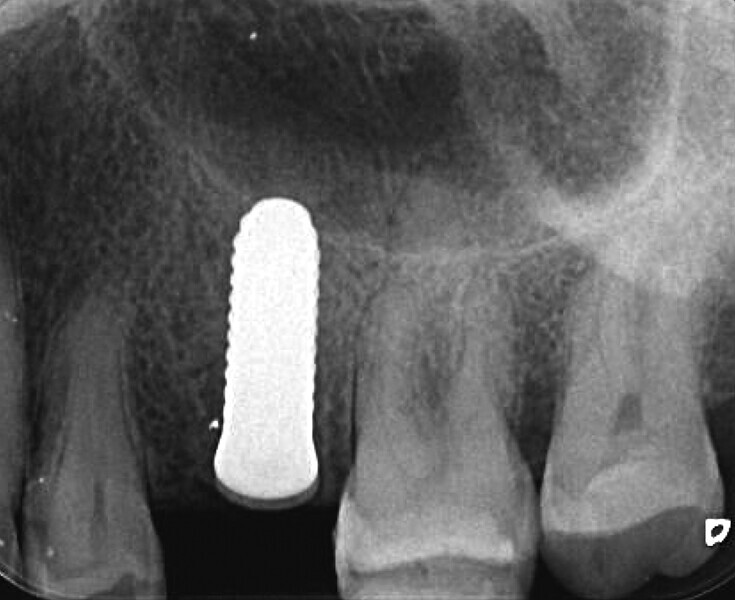
Fig. 8 : Fin du traitement chirurgical. Implant deux pièces en céramique au niveau tissulaire.
Fig. 9 : Fin du traitement chirurgical. Implant deux pièces en céramique au niveau tissulaire.
Fig.10 : Fin du traitement chirurgical. Implant deux pièces en céramique au niveau tissulaire.
Fig. 11 : Intégration tissulaire parfaitement réussie après deux mois.
La première phase du traitement implantaire a consisté à extraire la dent et à préserver l’alvéole au moyen d’une allogreffe et d’une membrane de collagène. Six mois après, l’os régénéré a permis de procéder à la seconde phase du traitement comportant la pose d’un implant deux pièces en céramique (Figs. 1–11).
Cas 2 –
Pose immédiate d’un implant L’établissement du diagnostic clinique a révélé une fêlure dans une prémolaire, qui a contraint à l’extraction atraumatique de la dent.
Fig. 12 : Dent irrécupérable.
Fig. 13 : Dent irrécupérable.
Fig. 14 : Dent irrécupérable.
Fig. 15 : Extraction atraumatique.
Fig. 16 : Allogreffe osseuse aux fins de la préservation de l’alvéole.
Fig. 17: Pose de l’implant deux pièces en céramique au niveau tissulaire.
Fig. 18 : Pose de l’implant deux pièces en céramique au niveau tissulaire.
Fig. 19 : Pose de l’implant deux pièces en céramique au niveau tissulaire.
Fig. 20 : Mise en place d’une membrane de collagène et suture.
Fig. 21 : Mise en place d’une membrane de collagène et suture.
Fig. 22 : Mise en place d’une membrane de collagène et suture.
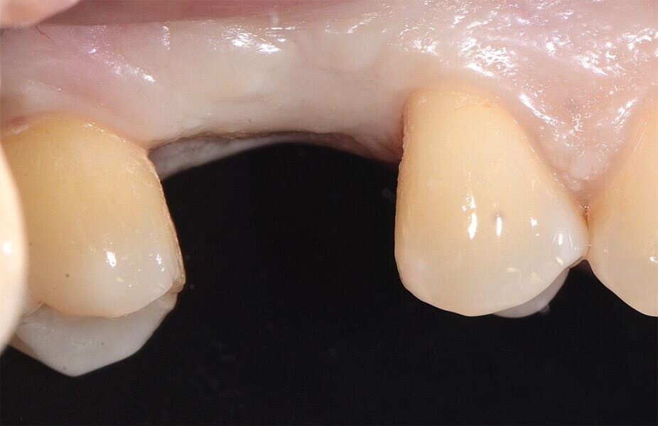
Fig. 23 : Radiographie montrant l’intégration tissulaire parfaitement réussie après deux mois.
Fig. 24 : Photo montrant l’intégration tissulaire parfaitement réussie après deux mois.
La pose immédiate d’un implant deux pièces en céramique au niveau tissulaire a été accomplie tout en préservant l’alvéole (allogreffe constituée d’un substitut osseux et protection par une membrane de collagène résorbable). La mise en charge n’a pas été réalisée à ce stade (Figs. 12–24)
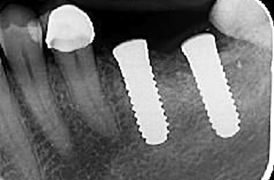
Cas 3 –
Pose d’implants combinée avec un protocole simultané d’augmentation osseuse latérale (régénération osseuse guidée)
Fig. 25 : Zone édentée trop étroite, inadaptée à une pose d’implant.
Fig. 26 : Zone édentée trop étroite, inadaptée à une pose d’implant.
Fig. 27 : Pose de l’un des implants deux pièces en céramique au niveau tissulaire.
Fig. 28 : Pose de l’un des implants deux pièces en céramique au niveau tissulaire.
Fig. 29 : Augmentation osseuse latérale (régénération osseuse guidée) au moyen d’une allogreffe constituée d’un substitut osseux, simultanément à la pose des implants.
Fig. 30 : Augmentation osseuse latérale (régénération osseuse guidée) au moyen d’une allogreffe constituée d’un substitut osseux, simultanément à la pose des implants.
Fig. 31 : Mise en place d’une membrane de collagène à titre de barrière de protection et suture.
Fig. 32 : Mise en place d’une membrane de collagène à titre de barrière de protection et suture.
Fig. 33 : Mise en place d’une membrane de collagène à titre de barrière de protection et suture.
Fig. 34 : Radiographie de contrôle à deux mois.
La crête alvéolaire au niveau du site de la molaire inférieure était trop étroite pour permettre la pose prédictible d’un implant sans une augmentation osseuse préalable. Des implants deux pièces en zircone ont été mis en place, simultanément à une augmentation osseuse latérale, au moyen d’une allogreffe et d’une membrane de collagène résorbable (Figs. 25–34).
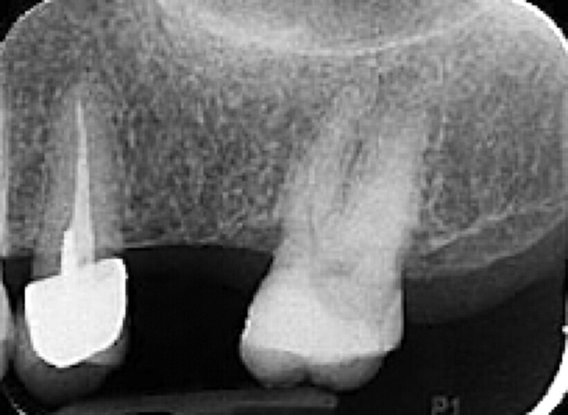
Cas 4 –
Pose d’un implant dans la région molaire avec régénération tissulaire guidée
Fig. 35 : Région molaire édentée avant l’implantation.
Fig. 36 : Région molaire édentée avant l’implantation.
Fig. 37 : Exposition du défaut parodontal (face mésiale de la deuxième molaire).
Fig. 38 : Pose de l’implant deux pièces en céramique au niveau tissulaire.
Fig. 39 : Pose de l’implant deux pièces en céramique au niveau tissulaire.
Fig. 40 : Pose de l’implant deux pièces en céramique au niveau tissulaire.
Fig. 41 : Greffe osseuse et régénération tissulaire guidée au niveau de la face mésiale de la deuxième molaire.
Fig. 44 : Radiographie de contrôle et excellente intégration de l’implant en céramique dans l’environnement parodontal.
Fig. 45 : Radiographie de contrôle et excellente intégration de l’implant en céramique dans l’environnement parodontal.
Un patient présentant un défaut infraosseux s’est présenté au cabinet dentaire avec le souhait explicite d’un traitement par un implant en zircone, pour remplacer l’une de ses molaires. Un implant deux pièces en zircone a donc été posé et le défaut infra-osseux a été traité dans le même temps, au moyen d’une allogreffe osseuse et du dérivé de matrice amélaire Emdogain (Straumann). La mise en charge n’a pas été réalisée à ce stade (Figs. 35–45).
Cas 5 –
Pose immédiate d’un implant par la technique d’ostéo-densification
Fig. 46 : Deuxième molaire supérieure compromise (fissure et complication endodontique).
Fig. 47 : Deuxième molaire supérieure compromise (fissure et complication endodontique).
Fig. 48 : Deuxième molaire supérieure compromise (fissure et complication endodontique).
Fig. 49 : Extraction atraumatique et préservation du septum inter-radiculaire.
Fig. 50 : Technique d’ostéodensification par compaction du septum inter-radiculaire au moyen de fraises Densah.
Fig. 51 : Pose de l’implant deux pièces en céramique.
Fig. 52 : Pose de l’implant deux pièces en céramique.
Fig. 53 : Allogreffe constituée d’un substitut osseux et ciment de protection au sulfate de calcium biphasique.
Fig. 54 : Allogreffe constituée d’un substitut osseux et ciment de protection au sulfate de calcium biphasique.
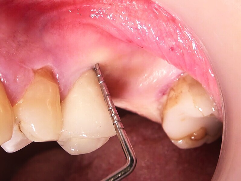
Fig. 55 : Intégration tissulaire et radiographie de contrôle à deux mois.
Fig. 56 : Intégration tissulaire et radiographie de contrôle à deux mois.
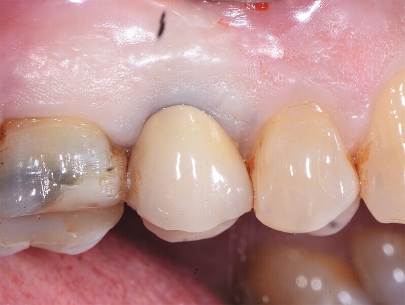
Le diagnostic a établi une atteinte de la furcation de la deuxième molaire supérieure, accompagnée d’un mauvais pronostic en raison d’une fissure inter-radiculaire. La dent a été extraite délicatement, de façon à conserver le septum inter-radiculaire dans le site où il était prévu de poser l’implant. La technique d’ostéodensification a été effectuée à l’aide de fraises Densah (Versah) et a permis d’obtenir une excellente stabilité de l’implant au niveau tissulaire. Une allo-greffe constituée d’un substitut osseux et un ciment au sulfate de calcium biphasique ont été utilisés pour préserver l’alvéole. Après huit semaines, nous pouvions constater et apprécier l’intégration parfaitement réussie de l’implant en céramique dans le tissu péri-implantaire (Figs. 46–56).
Conclusion
En conclusion, on peut affirmer que les implants en céramique font de plus en plus partie de l’arsenal de l’implantologue. Les implants monoblocs semblent être mieux indiqués lorsque l’état de l’os est satisfaisant. Par contre, les implants deux pièces en céramique le sont dans des situations où l’os est compromis.
Note éditoriale:
Note de la rédaction : cet article a été initialement publié dans le magazine ceramic implants, international magazine of ceramic implant technology, volume 4 – numéro 1/2020 et dans le journal Dental Tribune France du mois de Janvier 2022 VOL. 14, NO. 1
Aucune péri-implantite jusqu’à douze ans de suivi : c’est le résultat le plus remarquable d’une étude à long terme publiée dans ...
Aujourd’hui, les implants dentaires représentent une approche thérapeutique largement adoptée par les chirurgiens-dentistes, pour remplacer les dents ...
KYOTO, Japan: Avec plus de 20 années d‘expérience dans le milieu dentaire, Morita est en mesure de vous proposer aujoud’hui son ...
Toute reconstitution dentaire vise à rétablir le rôle et le caractère naturel du système stomatognathique et en ...
A l’occasion du salon ADF 2019 qui a ouvert ses portes le 26 novembre 2019 à Paris, découvrez le dispositif chirurgical aux ultrasons : Piezotome CUBE. ...
IENA, Allemagne : Une équipe de chercheurs de l'Institut Otto-Schott en chimie des verres de l'Université Friedrich-Schiller de Iéna, ...
ZURICH, Suisse : La péri-implantite est l'un principaux problèmes non résolus en implantologie dentaire, et sa prévalence devrait augmenter au fil du ...
Pratiquant l’implantologie depuis 35 ans et reconnu à l’international comme expert du haut de ses 1 200 implants réalisés ...
Le composite CLEARFIL MAJESTY ES-2 permet de créer facilement des restaurations esthétiques à l’aspect naturel. Ce composite s’adapte idéalement ...
FORT WORTH, Texas, États-Unis : En raison de la popularité croissante de point de service d'impression 3D et de la création de laboratoires d'impression ...
ALEXANDRIE, Égypte : Les fentes labiales et/ou palatines et les os alvéolaires sont les anomalies congénitales les plus courantes de la tête et du cou, ...
Webinaire en direct
lun. le 20 avril 2026
à 19h00 (CET) Paris
Dr. Alberto Monje DDS, MS, PhD
Webinaire en direct
mer. le 22 avril 2026
à 17h00 (CET) Paris
MDT Andreas Chatzimpatzakis
Webinaire en direct
mer. le 22 avril 2026
à 17h00 (CET) Paris
Webinaire en direct
mer. le 22 avril 2026
à 18h00 (CET) Paris
Webinaire en direct
jeu. le 23 avril 2026
à 17h00 (CET) Paris
Webinaire en direct
jeu. le 23 avril 2026
à 18h30 (CET) Paris
Webinaire en direct
jeu. le 23 avril 2026
à 19h00 (CET) Paris
To post a reply please login or register