En tant qu'endodontiste, j'ai été formé pour prendre le problème à la racine. Bien que ce soit, littéralement, mon travail et ma passion, cela a également été, dans le passé, une source de frustration. Les images classiques en 2D ne fournissent pas suffisamment de données pour pouvoir prendre des décisions scientifiques concernant le diagnostic et la planification du traitement
Avec certaines images en 2D, plutôt que d'établir un diagnostic, c'était plutôt me fier à mon intuition. Mon investissement récent, dans un scanner cone beam à champ de vision médium (Gendex GXCB-500) a transformé ma frustration en réalisation et m'a permis de devenir un praticien plus consciencieux.
Un diagnostic endodontique dépend de nombreux facteurs tels que l'expérience du praticien, certaines limitations anatomiques, comme l'épaisseur de l'os cortical, le positionnement d'un abcès périapical par rapport à l'os cortical, l'os zygomatique, les sinus et les dents voisines.
La recherche endodontique a démontré que le cone beam décelait, significativement, beaucoup plus de lésions (34 %) que la radiographie périapicale. Dans certaines infections, le traitement des dentistes généralistes est souvent retardé, en raison d'un manque de preuves, sur une radio 2D. Avec des images en 3D, nous pouvons prendre, immédiatement, une décision scientifique. Par exemple, pour de nombreux patients qui souffrent de sinusite chronique, l'étiologie est, en fait, dentaire. Malheureusement, nombre d'entre eux ont déjà renoncé à traiter le problème est appris à vivre avec leur écoulement nasal postérieur, pour toujours.
Après la mise en œuvre du cone beam, pas un jour ne passe que, si je prenneun scanner, je ne trouve pas d'autre facteurs contributifs, moins évidents. Je trouve des canaux qui n'ont pas été traités par les praticiens précédents, des systèmes canalaires complexes, une anatomie canalaire inhabituelle, et d'autres dents ou structures qui nécessitent une attention immédiate, à l'extérieur du champ d'intérêt.
Décider si les cas de résorption sont intérieurs ou extérieurs était parfois devenu un jeu de devinettes, qui nécessitait plusieurs radiographies afin de déterminer si le dommage était encore réparable.
Avec un logiciel, tel que Invivo5 Anatomage, il est beaucoup plus facile d'établir si une dent est fêlée. La possibilité de coloriser, dans ce logiciel, permet de détecter la fissure, ce qui, bien que toujours délicat, est beaucoup plus facile. En cas de traumatismes ou de fractures profondes, l'analyse 3D montre clairement un déplacement ou une fracture osseuse. Dans le cas de canaux calcifiés, je peux acquérir une image de traitement CBCT, à la mi-traitement, et de définir le trajet exact du canal.
Après le diagnostic, toutes les preuves indispensables pour la confiance opératoire sont rassemblées. Maintenant, je me sens plus assuré de la sécurité de mes patients. Avec les conjectures des radios en 2D, j'ai vécu l'incertitude de ne pas connaître la proximité des structures anatomiques. Dans le cas d'instruments fracturés, je peux localiser la position exacte de l'instrument, pour une chirurgie la moins stressante.
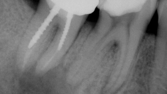
Le cone beam m'aide à éviter d'éventuelles surprises inopportunes, pendant le traitement. Par exemple, un patient m'a consulté, avec un gonflement persistant. Bien que l'image postopératoire en 2D montre une guérison (figures 1a et 1b), le cone beam a montré une zone d'infection très étendue, jusqu'au nerf dentaire inférieur, avec une destruction importante de l'os cortical (figure 2). Cette information est indispensable, en préopératoire.
Chez un autre patient, qu'il souffrait d'une douleur intense à une dent restaurée, avec une très grande raréfaction périapicale, j'ai décidé de pratiquer une résection apicale pour apporter un soulagement immédiat. Sur une radiographie 2D, tout paraissait simple (figure 3) mais, parce que le problème était sur une dent postérieure, pour des raisons de sécurité, j'ai décidé d'effectuer un cone beam.
La vue 3D a montré que l'affection avait pénétré si profondément, en lingual (figure 4) qu'une couche très épaisse d'os cortical a dû être retirée, et le positionnement du nerf alvéolaire était si haut qu'une paresthésie pouvait en résulter.
En raison des données scientifiques recueillies à partir du cone beam, j'ai commencé à recevoir des références de collègues avant-gardistes. Je mets les scans sur CD et imprime des rapports à fin qu'eux aussi puissent avoir autant d'informations que dont ils ont besoin pour prodiguer de meilleurs soins à leurs patients.
Mon esprit scientifique n'aime pas les conjectures, même les plus instruites. Un cone beam me donne des faits, afin que je puisse accomplir mon but ultime : aller à la racine du problème, non par essais et par erreurs, mais en utilisant la science et les faits.
embedImagecenter("Imagecenter146",146);
L'auteur
Le Docteur Harout Barsemian a obtenu son diplôme en médecine dentaire, de l'Université de Montréal et à obtenu sa formation en endodontie à l'Université de Médecine et de Dentisterie du New Jersey. Il a enseigné et a été instructeur, à temps partiel, au département d'endodontie de l'Université de Pennsylvanie et l'équipe enseignante de la Morristown Memorial
Hospital Dental Clinic. Le Docteur Barsemian un cabinet privé à Morristown et a Westfield, N.J.
PARIS, France : Les députés ont adopté en premier examen, un amendement visant à inclure les congrès scientifiques ...
PARIS, France : Les députés ont adopté en premier examen, un amendement visant à inclure les congrès scientifiques ...
Le préjugé est un aspect intrinsèque de la cognition humaine, et les professionnels de santé — y compris ceux du secteur dentaire — n’en sont pas ...
HELSINKI, Finlande: Planmeca Romexis est le premier logiciel au monde à combiner imagerie 2D et 3D, tâches CAD/CAM et informations relatives ...
Quand on parle de perception tactile, la plupart des dentistes qui font de l'endodontie sont d'accord pour dire que c'est mieux. Mais que ce signifie-t-il ...
En devenant partenaires, TBR et l’EACim (European Academy of Ceramic Implantology) annoncent une collaboration entre deux acteurs majeurs dans leurs ...
NICE, France : Fortement attachée à la promotion d’une formation hospitalo-universitaire de qualité sous-tendue par la recherche scientifique, ...
PARIS, France : Le Congrès de l'ADF 2016, c'est également 134 séances théoriques et pratiques réparties sur cinq jours, ...
La perfection de la technique endodontique n'est rien sans la prise en compte de la biologie
BRNO, République Tchèque : Des symptômes bucco-dentaires signalés après la vaccination contre la COVID-19, ont récemment refait surface dans le ...
Webinaire en direct
jeu. le 7 mai 2026
à 2h00 (CET) Paris
Ms. Ellen Karlin, Dr. Sara Karlin
Webinaire en direct
jeu. le 7 mai 2026
à 17h00 (CET) Paris
Webinaire en direct
jeu. le 7 mai 2026
à 18h00 (CET) Paris
Webinaire en direct
jeu. le 7 mai 2026
à 18h00 (CET) Paris
Dra. Maria Carolina Erhardt, Dra. Thais Tomé Feldens
Webinaire en direct
jeu. le 7 mai 2026
à 20h30 (CET) Paris
Webinaire en direct
lun. le 11 mai 2026
à 18h00 (CET) Paris
Webinaire en direct
lun. le 11 mai 2026
à 19h00 (CET) Paris
To post a reply please login or register