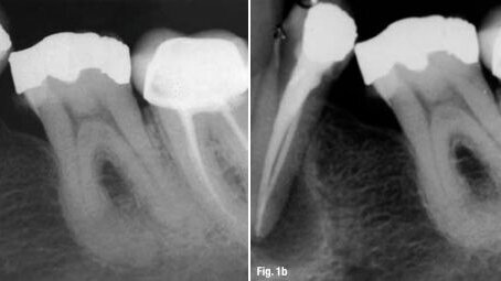
Figs. 1a & 1b : Un exemple de technique endodontique de haute qualité, dans lequel les impératifs biologiques n'ont pas été respectés : en dépit de la localisation et de la préparation du canal radiculaire secondaire, et de la condensation de l'obturation complète du système racinaire, les lésions associées à la dent ont augmenté en taille.
La perfection de la technique endodontique n'est rien sans la prise en compte de la biologie
Le traitement du canal radiculaire est la procédure, techniquement, la plus exigeante, en dentisterie. Afin de préparer et d'obturer, avec succès, les systèmes labyrinthiques de canaux radiculaires auxquels nous somment confrontés quotidiennement, en nous fondant uniquement sur la sensation tactile, exige une grande habilité, développée au cours des années, même à proximité de la maîtrise de l'art. Étant donné que les difficultés techniques sont considérables, il peut être compréhensible d'accorder beaucoup de fierté produire une radiographie postopératoire, esthétique. C'est tout aussi compréhensible, si nous jugeons la réussite de ce traitement de cette façon, c'est qu'une grande partie de l'enseignement et de la pratique de l'endodontie se concentre sur les compétences techniques nécessaires pour obtenir de bons résultats. Est-ce important, alors que nous avons à traiter une maladie ? Afin d'obtenir de bons résultats, avons-nous vraiment besoin de comprendre la maladie à traiter, ou suffit-il d'être compétent dans la préparation et l'obturation des canaux ?
Le granulome est la pathologie sur laquelle, en tant qu'endodontistes, nous passons le maximum de temps, au cours de notre vie professionnelle. Certains diront qu'une compréhension approfondie de l'étiologie, de la pathogenèse et de la microbiologie de la maladie, devrait être une condition préalable à la réussite du traitement et faire partie des connaissances essentielles du tout étudiant ou de tout endodontiste. Il est, cependant, de nombreux cas pour lesquels une simple reprise de traitement canalaire, étape par étape, comme un exercice, suffit à obtenir la radiographie postopératoire désirée. Si le succès de cette approche, en termes de guérison, se rapproche de celui que l'on trouve dans la littérature contemporaine, on peut soutenir que l'approche biologique, pour le traitement des canaux radiculaires, n'est pas nécessaire.
Ces questions ont été parmi celles, examinées par le professeur Kishor Gulabivala, dans son discours liminaire, au congrès de la Société Européenne d'Endodontie, à Édimbourg, l'an dernier. Étant l'un des principaux chercheurs et enseignants dans le domaine de l'endodontie, le professeur Gulabivala a pu aborder le sujet, sous des angles différents. Tout d'abord, il a présenté une synthèse de la littérature existante sur l'étiologie et la pathogenèse de la parodontite apicale, et ensuite, un examen des divers aspects microbiologiques de la maladie. Puis, il a discuté de la manière dont l'intervention clinique influe sur le processus pathologique. Enfin, il a présenté un certain nombre de conclusions, fondée sur sa vision personnelle, sur les divergences qui existent entre le les aspects biologiques et technique de l'enseignement endodontique.
L'étiologie microbienne de la parodontite apicale est bien établie. Les travaux de Kakehashi et al, Sundqvist et Moller et al, entre autres, ont démontré la relation causale entre la présence de bactéries dans le canal radiculaire et le développement de la parodontite apicale. Le développement ultérieur de la maladie dépend de l'interaction entre la réponse de l'hôte et la microflore des canaux radiculaires, des modifications, dans l'une des deux, ayant un effet sur la progression de la maladie. Comme les méthodes d'identification microbienne sont de plus en plus sophistiquées, nous espérons être capables d'identifier plusieurs espèces bactériennes présentes dans ce qui est une infection extrêmement complexe. Il est également important d'explorer et d'identifier les espèces associées à la progression de la maladie, les symptômes cliniques, la résistance au traitement et l'échec du traitement. Des méthodes d'identification plus complexes seront nécessaires car, même des variations au niveau des souches de sous-espèces peuvent compliquer la situation et influer sur le développement de la parodontite apicale.
Bien que l'identification de la flore microbienne donnera un aperçu de l'évolution de la maladie et des symptômes associés, ce ne sera qu'une partie des limes. Le concept de biofilms est maintenant bien reconnu en endodontie, ce qui signifie, qu'en plus d'identifier les espèces présentes au sein d'une infection endodontique, il est également important de comprendre la façon dont ils peuvent interagir et communiquer les uns avec les autres, si l'interaction est synergique ou antagoniste, la façon dont les besoins nutritionnels sont respectés et la façon dont les éléments des biofilms s'organisent, pour une efficacité optimale. Les stratégies de traitement futures doivent être éclairées par la recherche menée dans les biofilms endodontiques. Malheureusement, la pratique actuelle a été développée sur une base qui apparaît, maintenant, comme un modèle d'infection dépassé.
Ainsi, après avoir examiné où en est notre connaissance de la microbiologie et de l'étio-pathogenèse de la parodontite apicale, la question initiale est toujours valable. Est-ce qu'une meilleure compréhension de la biologie de la maladie, par ceux qui la traitent, offre de meilleures chances de résultats et, si oui, comment ?
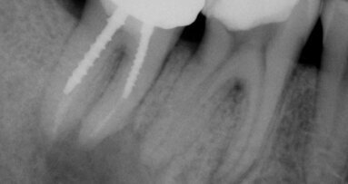
Figs. 2a & 2b : Lorsque les techniques de travail de qualité sont combinées avec une approche biologique de traitement, la guérison est probable. Une réduction substantielle de la taille de cette lésion, au cours d'une période de neuf mois, a eu lieu à la suite d'une bonne isolation, d'une préparation chimio-mécanique minutieuse de canal, intégrant l'irrigation active, puis condensation de l'obturation jusqu'à l'extrémité apicale.
Après avoir été établi une maladie résumée et un modèle microbien, pour la parodontite apicale, nous devons examiner nos protocoles de traitement afin de terminer s'ils sont appropriés aux problèmes que la science a identifié. Bien que les aspects techniques et les difficultés du traitement endodontique ne peuvent pas être ignorés, ils doivent être considérés en corrélation avec les impératifs biologiques, à savoir la réduction de l'infection dans le canal radiculaire à un niveau tel que l'équilibre entre la progression de la maladie et la guérison penche en faveur de la guérison. La nature, hautement complexe, du système canalaire et le caractère généralisé et diversifié de l'infection qui s'y développe fait qu'il est peu probable qu'une désinfection complète puisse avoir lieu. Une étude menée par Nair et al. a démontré que, même dans des dents bien traitées, du biofilms résiste, en particulier à la partie apicale de la racine. Ceci peut expliquer pourquoi les taux de succès endodontiques n'ont pas beaucoup évolué depuis plus d'un siècle. Les protocoles de traitement existant, avec leurs préjugés techniques, ne répondent pas suffisamment à ces problèmes.
Les bases de traitements n'ont pas changé depuis de nombreuses années : enlever autant de matériel nécrotique et affecté que possible, du canal radiculaire, et obturer le système canalaire, dans son ensemble, pour prévenir toute contamination bactérienne et séquestrer les bactéries résiduelles, sans extrusion au-delà de l'apex. Notre compréhension de la nature de l'infection canalaire est peut-être en développement, mais ceci est moins suivi dans le développement des stratégies de traitement, basée sur ces nouvelles connaissances, donc les résultats du traitement sont peu susceptibles de s'améliorer. Un développement, hautement souhaitable, serait la possibilité d'identifier les bactéries persistantes, dans le canal radiculaire, par un simple test, au fauteuil. Les tests de culture ont été une part du traitement endodontique ; comme les tests moléculaires se développent, nous espérons qu'ils pourront être introduits dans l'environnement clinique, afin de mieux informer le praticien de ses options de traitements.
La désinfection chimique joue un rôle important dans la phase de préparation du système canalaire mais son importance est sous-estimée par un grand nombre de praticiens qui préfèrent se tourner vers l'évolution constante des systèmes de limes avec lesquelles les canaux seront traités, de façon à améliorer leur traitement. Bien que ces systèmes des limes peuvent rendre le traitement plus efficace, sont-ils plus efficaces ? Ce ne serait le cas que, si le gain de temps dans la préparation du canal radiculaire était ensuite consacré à la désinfection complète, généralement par des moyens chimiques.
L'étude de la dynamique de l'irrigation et la chimie des irrigants, existants et nouveaux, ne sont apparus que récemment, sous les projecteurs. Ce domaine de recherche peut nous donner une idée de la façon de mieux perturber et de désactiver les biofilms radiculaires et, ce faisant, améliorer nos résultats.
Pour que cette recherche soit pertinente, des modèles expérimentaux solides doivent être développés, qui se rapproche de l'environnement clinique. C'est un domaine qui a fait l'objet de nombreuses études, à l'Institut Dentaire Eastman, avec certain nombre d'articles, récemment publiée dans la littérature endodontique.
Alors, avons-nous répondu à notre question ? Les taux de réussite, en endodontie, comme en témoigne la littérature actuelle, sont restés à peu près constants, au cours du dernier siècle. Les objectifs de traitement sont restés semblables, pendant cette époque. Si nous voulons améliorer nos résultats, nous devons laisser la science mieux éclairer nos procédures de traitement.
Pour résumer ce que la science nous a apporté, nous pouvons revenir à des conclusions tirées par le Prof. Gulabivala, à la fin de sa conférence, à l'ESE :
- La nature de l'infection intra-radiculaire est complexe dans sa diversité et ses interactions biologiques, en son sein et avec l'hôte.
- La nature de l'infection et la réaction de l'hôte peut probablement dicter la nature de la présentation clinique et radiologique.
- La nature de l'infection influence fortement les efforts du clinicien pour la contrôler, donc le résultat.
- La présentation clinique peut fournir un indice important sur le résultat probable du traitement contemporain des canaux radiculaires.
- Le lien entre les aspects techniques du traitement contemporain des canaux radiculaires et les événements biologiques n'est, au mieux, pas spécifique.
- L'amélioration des succès du traitement exigera une meilleure compréhension de la nature de l'infection et les moyens de la contrôler, à l'apex.
La réponse est donc oui, la biologie a de l'importance.
les auteurs
Le Docteur Alyn Morgan est diplômé de l'Institut dentaire de Leeds, en 1995, et a travaillé en pratique privée, pendant douze ans. Il a obtenu une maîtrise ès sciences en endodontie de l'Eastman Dental Institute UCL, avec distinction, en 2009. Il travaille actuellement en pratique privée et en tant que médecin spécialisé / professeur de clinique en endodontie à l'Eastman Dental Institute UCL. Il peut être contacté à :
alyn.morgan@eastman.ucl.ac.uk.
Le Docteur Ian Alexander est diplômé de l'Université de Newcastle Upon Tyne, en 1991, et a travaillé en cabinet privé, pendant dix-neuf ans. Il a fréquenté les stages Eastman, en endodontie, en 2005, et a obtenu une maîtrise ès sciences en endodontie, de l'Eastman Dental Institute UCL, avec distinction en 2009. Il travaille actuellement en pratique privée et en tant que médecin spécialisé / professeur de clinique en endodontie à l'Eastman Dental Institute UCL. Il peut être contacté à :
ian.alexander@eastman.ucl.ac.uk.
PARIS, France : La maladie carieuse reste la pathologie chronique la plus fréquente chez l'enfant malgré des progrès dans la prévention de la santé ...
Selon la définition de l’IASP (International Association for the Study of Pain – Association internationale pour l’étude de la douleur), la douleur ...
La profession dentaire a été durement touchée par la Covid-19, et une grande incertitude régnait quant à la manière de gérer correctement les soins ...
HARLOW, Royaume-Uni / SAN FRANSISCO, États-Unis : À l’heure actuelle, les chercheurs ont pu répondre à de nombreuses questions concernant la Covid-19,...
CHENGDU, Chine : Le développement des racines dentaires dépend de voies de communication cellulaire précises. Des chercheurs chinois ont montré comment ...
SAINT-BONNET-LES-OULES, France : Un saignement au brossage, un léger gonflement ou une sensibilité gingivale peuvent sembler anodins. Pourtant, selon le ...
To post a reply please login or register