Les principes contemporains de la dentisterie actuelle doivent s’inscrire dans la notion de ≪ gradient thérapeutique ≫. Édictés en 2009 par les docteurs Gil Tirlet et Jean Pierre Attal, ces principes proposent de choisir lors du plan de traitement, les méthodes les moins invasives pour nos patients. C’est dans ce sens que nous proposons aujourd’hui d’avantage en dentisterie esthétique le recours à l’éclaircissement, aux aligneurs et aux restaurations adhésives en céramique.
Les dernières évolutions des biomatériaux nous offrent des possibilités de reconstitutions indirectes, qui répondent à la fois aux critères de solidité, de biocompatibilité, de pérennité et d’esthétique. Actuellement le coût proposé pour ces onlays par les laboratoires de prothèse de nouvelle génération, qui intègrent en leur sein des centres d’usinage hautement équipés, est très accessible.
Ils nous permettent de démocratiser une dentisterie performante de qualité pour l’ensemble de nos patients, grâce à leur équipement high tech, pour notre activité quotidienne. Je tiens à remercier le laboratoire Crown Ceram (en Alsace), avec lequel nous avons réalisé ce traitement. En plus d’être équipé en usineuses, imprimantes 3D, four de cuisson, etc., des plus performants sur le marché, ils disposent de compétences humaines grâce à leurs équipes d’ingénieurs, de prothésistes designers, de céramistes, et de chefs de production, qui réalisent des contrôles qualité tout au long de la chaine de production. La visite d’un tel laboratoire nous en dit long sur l’évolution du métier de prothésiste ! Expérience que je vous invite à vivre.
Cas clinique
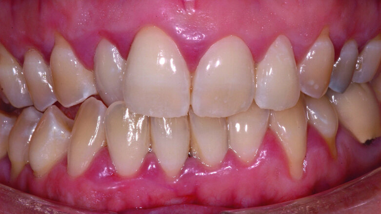
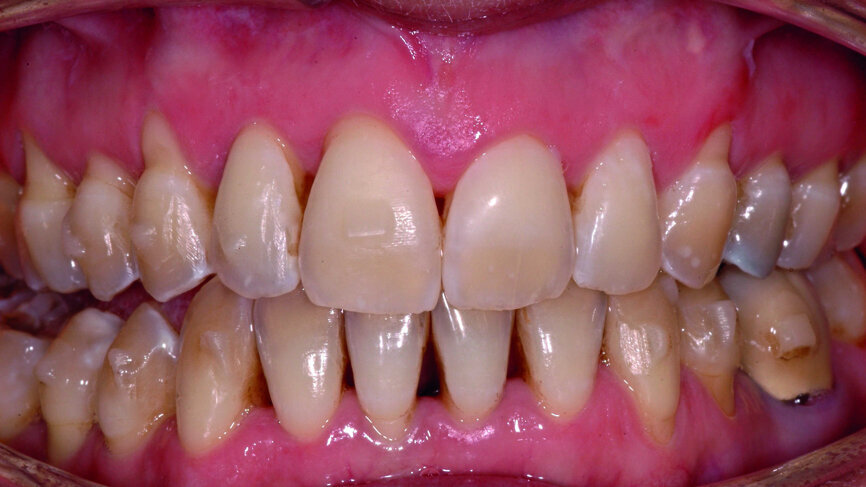
Une patiente âgée de 34 ans, consulte pour une demande esthétique. Elle est adressée par son chirurgien plasticien pour notre avis sur son état dentaire, et d’éventuelles possibilités de dentisterie esthétique. À l’examen clinique, nous notons une déviation mandibulaire et un sourire asymétrique.
Au niveau parodontal, on note un parodonte tuméfié et inflammatoire, ainsi que de multiples récessions parodontales : le diagnostic de parodontite à progression rapide est posé. Au niveau occlusal, il existe un articule inverse sur la 12, un léger encombrement incisive mandibulaire et une béance postérieure droite importante.
Fig. 1 : Vue de face préopératoire
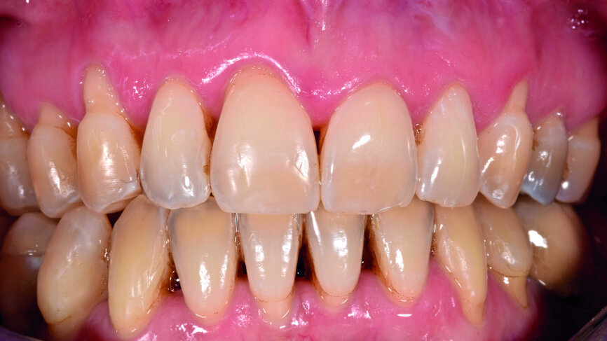
Fig. 2 : Vue latérale préopératoire.
Fig. 3a : Vue latérale post aligneur
Fig. 3b : Vue de face post aligneur
Fig. 4a : Vue des préparations pour table tops
Fig. 4b : Vue des préparations.
Fig. 6 : Wax-up virtuel et contrôle de l’occlusion.
Fig. 7 : Restaurations sur modèle imprimé.
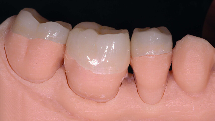
Fig. 8 : E-max usinée et maquillée
Fig. 9 : Essayage sous digue Nic Tone Heavy.
Fig. 11 : Mordançage de l’intrados à l’acide fluorhydrique 4,5 % pendant 20 secondes.
Fig. 12 : Intrados rincé, séché puis application d’un silane(Monobond Plus 60 secondes) puis d’un adhésif ExciTE non polymérisé. |
Fig. 13 : Mordançage à l’acide orthophosphorique 30 % pendant 30 secondes, rincé, séché.
Fig. 14 : Préparations mordançées avant application de l’adhésif ExciTE non polymérisé. |
Fig. 15 :
Avant polymérisation flash, application de la colle Variolink Esthetic DC.
Fig. 16 : Collage et finition effectués
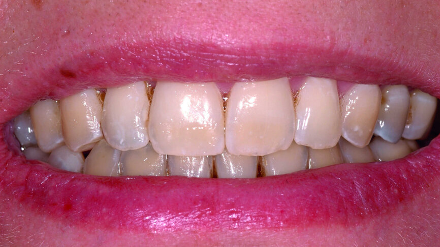
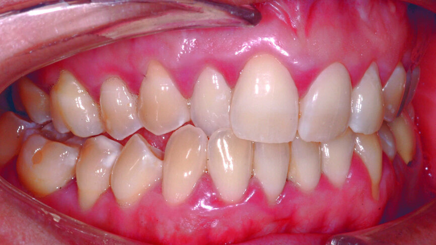
Fig. 17: Vue endo-buccale finale.
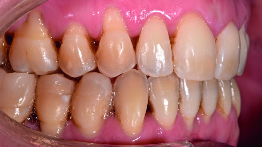
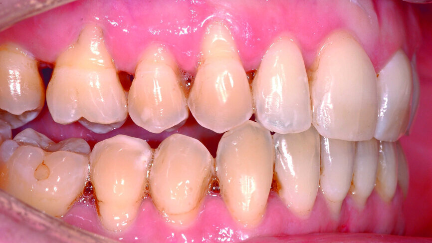
Fig. 18 : Vue latérale endo-buccale finale.
Fig. 20 : Sourie final, vue latérale.
Plan de traitement :
1 – Dans un premier temps nous réduisons l’inflammation parodontale par plusieurs séances de lithotritie parodontale sous microscope, et mise en place d’une désinfection quotidienne des tissus mous, adaptée à la perte des volumes gingivaux. La réévaluation après trois mois nous permettra de commencer les mouvements orthodontiques.
2 – Une amélioration de l’agencement dentaire est obtenue par le port d’aligneurs orthodontiques pendant six mois, suivie de la phase de contention.
3 – Enfin, l’occlusion est stabilisée par le calage postérieur via des table tops en e.max. Compte tenu de la béance résiduelle sur les dents 47, 46 et 45 de 2 à 3 mm, nous avons opté pour un matériau céramique collé, pour un minimum de préparation et une bonne résistance à l’usure lors de la mastication. C’est donc par l’utilisation de feldspathique enrichie en disilicate de lithium e.max (Ivoclar Vivadent) que les contacts sont retrouvés. C’est une solution de compromis acceptée par la patiente, qui a refusé un traitement orthodontique plus lourd et une chirurgie orthognatique. Cette option permet en deux séances et en respectant le principe d’économie tissulaire, de retravailler la forme occlusale des dents 47, 46 et 45. Une légère réduction homothétique des cuspides de 47, majorée d’un large congé pour 46 et 45 pour une stabilisation de la restauration, nous ont permis de rester dans l’email, de simplifier la forme occlusale pour une bonne adaptation, et de contrôler l’épaisseur disponible pour la céramique.
Étapes cliniques des réalisations des table tops en e.max
Séance 1 :
Réduction occlusale en respectant les principes d’homothétie. Les préparations doivent présenter des réductions d’au minimum 1 mm d’espace occlusal en tout point de la préparation. Si cette espace existe déjà, une simple mise à plat de la face occlusale est réalisée, pour faciliter la conception de la céramique. De larges congés sont réalisés sur les dents 46 et 45, pour donner une stabilité au table tops. Dans la même séance, l’empreinte a été réalisée par scanner numérique (scanner iTero), puis envoyée directement par mail au laboratoire de prothèse (Crown Ceram). Une capture d’écran du wax-up numérique est à ce stade demandée, pour contrôler la morphologie des futures céramiques. Les préparations étant superficielles et amélaires, aucun système provisoire n’est utilisé.
Séance 2 :
Réception des table tops, vérification des pièces prothétiques sur le modèle et essayage en bouche sans mettre en occlusion, car il est difficile de manier ces table tops dans le secteur postérieur. La conception des pièces prothétiques prend en compte l’exigence d’occlusion souhaitée : rétablir les contacts occlusaux pour stabiliser l’occlusion postérieure. Le contrôle occlusal est réalisé en fin de séance après dépose de la digue. La vérification des adaptations a été faite sous microscope Zumax à fort grossissement.
Étapes de collage :
Respect du protocole des produits de la société Ivoclar Vivadent. Avec la mise en place d’un champ opératoire (nic tone épais) et la ligature au fil dentaire cire, nous appliquons un gel acide fluorique 4,5 % pendant 30 secondes, dans l’intrados des pièces prothétiques. Puis une silanisation est effectuée (Monobond Plus, pendant 60 secondes). Les préparations sont mordancées pendant 30 secondes, rincées, séchées légèrement et suivie de l’application d’un adhésif non polymérisé (ExciTE).
Le Variolink Esthetic DC est utilisé, une polymérisation flash effectuée. Les excès sont éliminés à la lame 12c et le polissage des joints est effectué sous microscope Zumax à fort grossissement, avec les polissoirs en silicone Diatech. Enfin, l’occlusion est réglée en relation centrée et en latéralité avec un papier à articuler Bausch 80 microns.
Conclusion
Comme détaillées dans ce cas clinique, les restaurations adhésives en céramique auront permis grâce à leur propriété adhésive, de rétablir la fonction, de préserver l’organe dentaire et de sécuriser les réhabilitations esthétiques.
La qualité des restaurations qu’a pu réaliser mon laboratoire de prothèse a satisfait nos exigences fonctionnelles et esthétiques. La prise en charge dans sa globalité d’un pareil traitement esthétique nous apporte toujours, en tant que praticien, une réelle satisfaction. C’est ce plaisir procuré et ressenti que j’ai voulu vous faire partager, en toute humilité, à travers ce cas clinique.
J’espère que j’aurai le plaisir de vous retrouver et d’échanger sur mon compte Instagram.
Dr David Hacmoun
Pratique privée exclusive à Antibes
Mail : doc.hacmoun@hotmail.fr
Bibliographie :
1 Restaurations adhésives en céramique sur dents antérieures : approche biomimétique. Magne P, Belser U. Quintessence International 2003.
2 Tirlet G, Attal JP. Le gradient thérapeutique : un concept médical pour les traitements esthétiques. L’information Dentaire Spécial Esthétique 2009; 91: 2561-256.
Note de la rédaction : article paru dans le journal Dental Tribune Édition Française volume 12, numéro 6+7/2020.
Mots-clés:
Les restaurations partielles collées postérieures en céramique sont une évolution moderne en dentisterie quotidienne.
Le domaine de la prothèse fixe ...
PARIS, France : Une récente étude du laboratoire de Bio ingénierie et Biomécanique Ostéoarticulaires du CNRS à ...
La dentisterie neuromusculaire permet de trouver un équilibre entre les muscles, les articulations et les dents afin de réduire le besoin de ...
Cosmetic Dentistry 2_2010
La réhabilitation esthétique des patients avec une dentition fonctionnellement compromise implique souvent une ...
Une femme de 38 ans est venue au cabinet dentaire, car elle se plaignait d’un inconfort dans la zone gauche supérieure. L’examen clinique a révélé ...
L’implantologie axiale a montré ses limites en présence de crêtes osseuses fines. Le forage exige un minimum d’un ...
Les plaintes déposées par les patients constituent l’un des aspects les plus stressants de l’exercice clinique en dentisterie et sont largement ...
IENA, Allemagne : Une équipe de chercheurs de l'Institut Otto-Schott en chimie des verres de l'Université Friedrich-Schiller de Iéna, ...
La stimulation périostée par « needling » (Goldman et Cohen, 1968) puis, plus tard, la stimulation endostée par fraisage ...
WASHINGTON, États-Unis : Des obturations en composite aux embouts d’aspiration jetables, le plastique est présent dans tous les aspects des soins ...
Webinaire en direct
jeu. le 14 mai 2026
à 18h00 (CET) Paris
Webinaire en direct
jeu. le 14 mai 2026
à 20h00 (CET) Paris
Prof. Hani Ounsi DDS PhD FICD
Webinaire en direct
mar. le 19 mai 2026
à 17h00 (CET) Paris
Webinaire en direct
mar. le 19 mai 2026
à 19h00 (CET) Paris
Prof. Dr. med. dent. Ivo Krejci
Webinaire en direct
mer. le 20 mai 2026
à 13h00 (CET) Paris
Dr. Graham Carmichael BDSc (Hons), DClinDent (Pros), FRACDS, Dr. Robert Gottlander DDS
Webinaire en direct
mer. le 20 mai 2026
à 15h00 (CET) Paris
Webinaire en direct
mer. le 20 mai 2026
à 19h00 (CET) Paris
Prof. Dr. med. dent. Tim Joda PhD, MSc, eMBA
To post a reply please login or register