Search Dental Tribune

Fig. 1 : Situation préopératoire. (Photos : Joseph Sabbagh)

jeu. 28 novembre 2024

Enregistrer

La gestion des caries profondes et la préservation de la vitalité pulpaire représentent des défis quotidiens pour le dentiste et le patient soucieux d’éviter la dévitalisation de sa dent. L’Académie Américaine de Dentisterie Pédiatrique définit la thérapie de la pulpe vitale comme « la mise en place d’une barrière protectrice sur une pulpe exposée ou non pour induire la formation d’un pont dentinaire et maintenir sa vitalité et sa fonction ».1

Les principales techniques utilisées pour maintenir la vitalité pulpaire sur dents permanentes sont le coiffage direct et indirect de la pulpe. Deux groupes de matériaux sont utilisés, le premier à base d’hydroxyde de calcium et le second à base de silicate tricalcique.2 Une méta-analyse récente a comparé les deux types de matériaux dans les cavités profondes avec une pulpe exposée. De meilleurs résultats à long terme sont obtenus avec les matériaux à base de silicate tricalcique MTA et Biodentine.3

Biodentine est utilisé depuis plus de 12 ans dans différentes indications sur les dents de lait et les dents permanentes, avec des taux de succès élevés et ce à différents moments de rappel.4–6

L’utilisation d’un seul matériau de reconstitution de la dent en un seul incrément a gagné une grande popularité en dentisterie ces dernières années. Que ce soient les composites Bulk montés sur une épaisseur de 4 mm avant d’être polymérisés ou encore des matériaux principalement composés de silicate tricalcique, comme Biodentine aux propriétés mécaniques très proches de la dentine, ce qui lui permet d’être utilisé comme substitut dentinaire.

L’approche Bio-Bulk Fill implique l’application d’un ciment bioactif dans la partie profonde de la cavité, qui interagit avec la pulpe et induit la réparation et la formation d’un pont dentinaire, ce qui permet de maintenir la vitalité de la pulpe et éviter le traitement du canal radiculaire. L’application est complétée par la mise en place d’une couche de 1,5 à 2 mm de composite en méthode directe en une ou deux séances ou d’un overlay en méthode indirecte en deux séances.

L’objectif de cet article clinique est de présenter le concept de « Bio-Bulk Fill » dans les cas de cavités profondes en utilisant Biodentine XP (système comprenant des cartouches de 200 ou 400 selon le volume de la cavité à remplir, un mixeur dédié et un pistolet applicateur), en réduisant le risque de dommages pulpaires et en maintenant la vitalité de la pulpe.

Cas cliniques: Cas n°1

Signes cliniques et symptômes

Un jeune homme de 17 ans s’est présenté à notre clinique en juillet 2011 avec une sensibilité dans la région postérieure inférieure gauche.

Diagnostic

L’examen clinique a révélé plusieurs restaurations défectueuses et des caries occlusales sur les premières et deuxièmes molaires inférieures gauches (N° 36 et n° 37 [Fig. 1]).

Procédure et traitement

Une anesthésie locale (Articaïne adrénalinée à 1 : 200.000), a été réalisée afin d’éviter tout inconfort au patient pendant la procédure de restauration. L’accès à la carie a été réalisée sous irrigation abondante et le tissu carieux excavé à l’aide d’une fraise en carbure de tungstène. Le champ de travail a été isolé à l’aide d’une digue pour éviter toute contamination par les fluides gingivaux (Fig. 2).

Fig. 2 : Cavité profonde après excavation de la carie.

Fig. 2 : Cavité profonde après excavation de la carie.

Fig. 3 : Technique Bio-Bulk Fill avec Biodentine.

Fig. 3 : Technique Bio-Bulk Fill avec Biodentine.

Fig. 4 : On retire Biodentine sur 2 mm.

Fig. 4 : On retire Biodentine sur 2 mm.

Fig. 5 : Mordançage total de la cavité.

Fig. 5 : Mordançage total de la cavité.

Fig. 6 : Mise en place de l’adhésif.

Fig. 6 : Mise en place de l’adhésif.

Fig. 7 : Mise en place du composite.

Fig. 7 : Mise en place du composite.

Fig. 8 : Polissage du composite.

Fig. 8 : Polissage du composite.

La cavité occlusale sur 36 qui était de taille moyenne a été restaurée au cours de la même séance à l’aide d’un composite en méthode directe. En revanche sur 37, la cavité profonde a été entièrement reconstituée selon l’approche Bio-Bulk Fill, en utilisant Biodentine comme matériau de coiffage du fond de la cavité juxta pulpaire jusqu’en haut. Après le temps de prise initial de 12 à 15 minutes, la digue a été déposée et l’occlusion délicatement vérifiée à l’aide d’un papier articulé.

Le patient n’a signalé aucun signe de douleur ou d’inconfort et la restauration finale en composite a été réalisée quatre semaines plus tard. Après avoir effectué un test de vitalité pulpaire pour confirmer la non-symptomatologie de la dent, 2 mm de Biodentine ont été retirés à l’aide d’une fraise diamantée. Une digue a été mise en place et le même protocole réalisé précédemment a été suivi (Figs. 5 et 6) et la restauration en composite (Figs. 7 et 8). L’obturation en composite a ensuite été polymérisée pendant 20 secondes puis polie à l’aide de fraises diamantées fines et de pointes en silicone.

Suivi

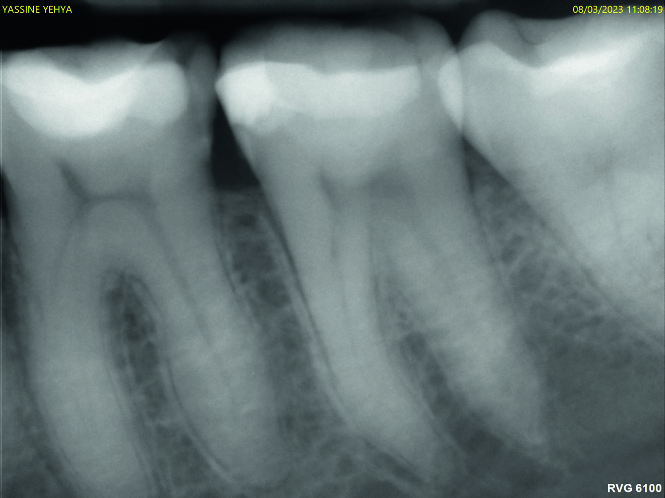
Les figures 9 et 10 montrent des images de radiographie numérique à un an et à douze ans de rappel après la reconstitution de la dent en technique Bio-Bulk Fill avec la Biodentine et le composite. La dent est vitale et aucune image périapicale n’est visible. Aucune rétraction pulpaire n’est observée, ce qui confirme la biocompatibilité de Biodentine.

Fig. 9 : Radio à un an de suivi.

Fig. 9 : Radio à un an de suivi.

Fig. 10 : Radio à 12 ans de suivi.

Fig. 10 : Radio à 12 ans de suivi.

Cas n° 2

Signes cliniques, Symptômes et diagnostic

Le cas n° 2 montre une deuxième molaire inférieure présentant une carie profonde. Aucune douleur n’a été signalée par le patient, et la vitalité de la dent a été confirmée avant l’injection de l’anesthésie.

Procédure et traitement

Après la mise en place de la digue pour garantir un champ propre et empêcher toute contamination salivaire et bactérienne pendant l’excavation de la carie. Une fraise ronde en carbure de tungstène sur contre-angle bague bleue (1:1) a été utilisée à vitesse et pression faibles pour éviter de surchauffer les tissus pulpaires. La figure 11 montre la cavité préparée après l’élimination des caries ainsi que la pulpe visible par transparence.

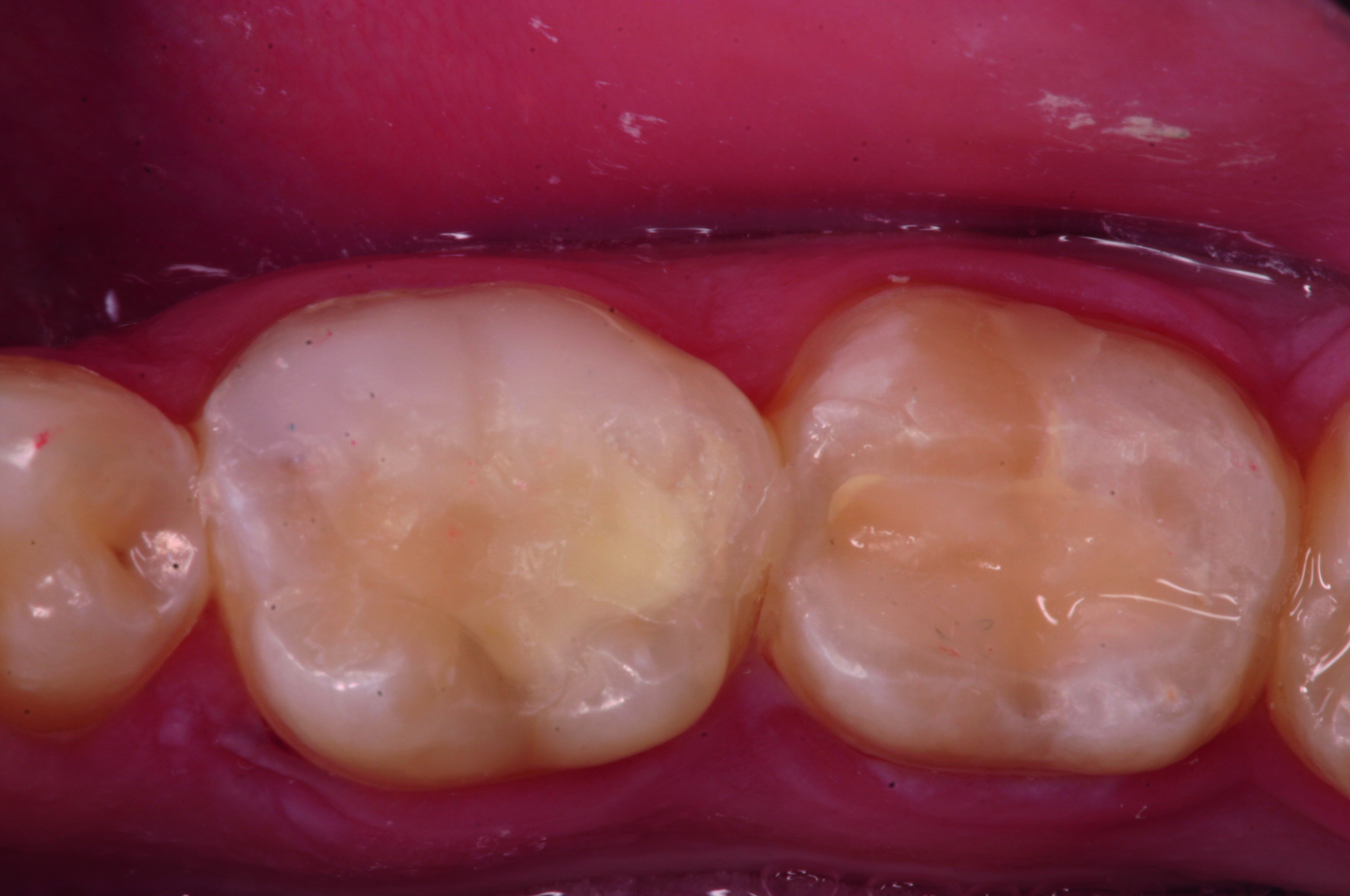
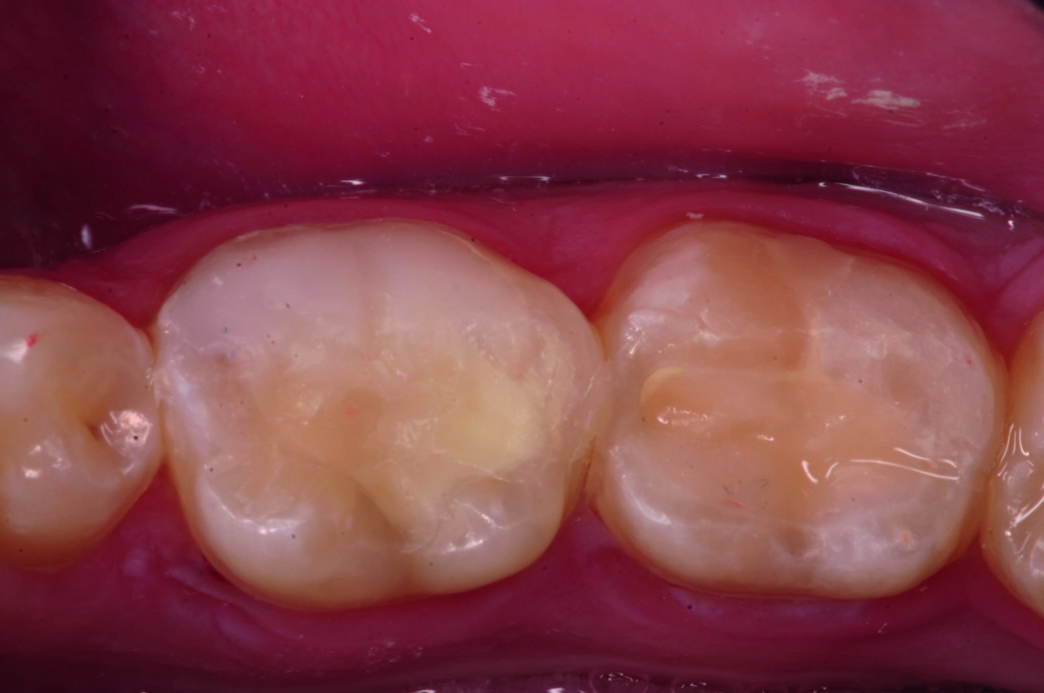
Dans le cadre de l’approche Bio-Bulk Fill, une cartouche de Biodentine XP 00 (Fig. 12) a été appliquée dans la cavité et laissée en place sans y toucher pendant 10 à 12 minutes (Fig. 13). Un système adhésif auto-mordançant a ensuite été placé, conformément aux instructions du fabricant à l’aide d’une micro-brosse, sur les parois de la cavité ainsi que sur Biodentine. La monocouche adhésive a ensuite été polymérisée pendant 20 secondes. La partie occlusale amélaire de la cavité est restaurée à l’aide d’une fine couche de composite fluide photo polymérisable, suivie d’un composite microhybride. Après polymérisation finale, la restauration est sculptée et polie à l’aide de fraises diamantées fines et de pointes abrasives.

Fig. 11 : Préparation de la cavité.

Fig. 11 : Préparation de la cavité.

Fig. 12 : Mise en place de la Biodentine XP.

Fig. 12 : Mise en place de la Biodentine XP.

Fig. 13 : Temps de prise initial.

Fig. 13 : Temps de prise initial.

Fig. 14 : Mise en place de l’adhésif.

Fig. 14 : Mise en place de l’adhésif.

Fig. 15 : Mise en place du composite.

Fig. 15 : Mise en place du composite.

Fig. 16 : Reconstitution terminée.

Fig. 16 : Reconstitution terminée.

Discussion

Biodentine a plusieurs indications en dentisterie restauratrice et en endodontie. Les cas cliniques suivants décrivent étape par étape la procédure Bio-Bulk Fill. L’approche Bio-Bulk Fill utilisant le silicate tricalcique est indiquée dans les cas de cavités postérieures profondes pour le coiffage pulpaire direct et indirect, afin de préserver la vitalité pulpaire. Il convient de sélectionner soigneusement les cas afin de vérifier l’absence de lésions périapicales et de s’assurer de la vitalité de la pulpe. Les décisions procédurales concernant la quantité de tissu pulpaire conservée ou retirée doivent être basées sur les évaluations du praticien, son jugement clinique et l’état de santé général du patient.

Conclusion

Après avoir placé Biodentine ou Biodentine XP (mélange reproductible de Biodentine en cartouche directement applicable dans la cavité), le dentiste a la possibilité de terminer le cas en une séance en utilisant un système adhésif auto-mordançant, ou en deux séances en utilisant un système adhésif auto-mordançant ou total-mordançant.

Note éditoriale:

Cet article a été initialement publié dans Dental Tribune France, N°6/2024. Une liste complète des références est disponible ici.

 

Sujets:
Mots-clés:
To post a reply please login or register
advertisement
advertisement