L’impression tridimensionnelle n’appartient plus à la science-fiction depuis la fin du 20e siècle. Elle n’est plus réservée au prototypage industriel depuis le début du 21e siècle. Les industries automobiles, aéro-nautiques et spatiales ont été les premières à utiliser des produits finis issus de cette technologie. L’armée américaine investit toujours d’avantage pour développer son utilisation.
Dans le domaine de la recherche médicale, l’impression de cellules souches pour réparer les tissus humains lésés avance à grands pas. Ainsi, le domaine de la dentisterie qui utilisait déjà cette technique pour produire des éléments prothétiques, l’utilisera pour soigner les tissus dentaires, gingivaux, et remplacera les dents absentes.
Alors en attendant de poser nos derniers implants en titane remplacés par des « implants vivants », utilisons déjà le High Tech et les éléments tout droit sortis des imprimantes 3D, pour améliorer nos chirurgies.
L’article paru dans l’Information Dentaire en Mars 2014, « Impression 3D et pédagogie », a démontré cette application dans l’enseignement pratique.4
Nous allons voir à présent les différentes applications « Hi Tech » en implantologie au travers d’un cas, tant d’un point de vue clinique que pédagogique. Notre patiente a une cinquantaine d’années, elle est en bonne santé et non fumeuse.
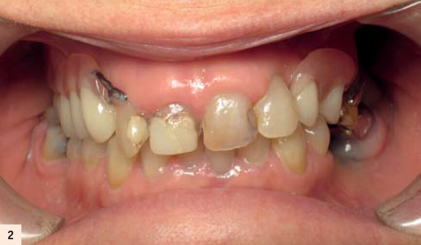
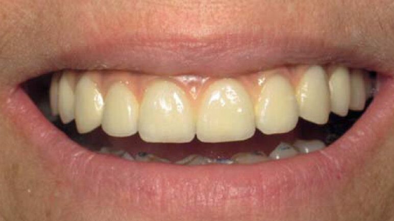
Elle porte un appareil amovible au maxillaire, côtoyant 5 dents naturelles. Elle souhaite une solution fixe (Figs. 1, 2, 3). Après empreintes, mise en articulateur et confection d’un guide radiologique, un examen 3D est réalisé. L’analyse des fichiers DICOM’s transférés sur le logiciel de planification CoDiagnostiX, confirme un faible volume osseux.5Les sinus ont fortement pneumatisé le maxillaire et les parois antérieures sont au niveau des canines.
Deux plans de traitement sont proposés :
- Traitement sectoriel : double greffe de sinus, puis pose des implants dans les secteurs édentés, mise en charge conventionnelle des implants après ostéointegration dans une zone greffée. La durée totale sera à peu près de 12 mois avant d’avoir une solution fixe.
- Traitement de l’arcade complète : extraction des dents restantes, répartition de 6 implants. Mise en charge immédiate avec un bridge fixe transvissé dans la journée (Fig. 4).
Le taux de succès de la mise en charge immédiate d’une arcade complète n’est plus à démontrer dans la bibliographie.7
De même au dernier consensus de l’ITI, la MCI définie comme complexe, est reconnue pour les édentements maxillaires et mandibulaires. Les conditions de réussite sont un protocole rigoureux, alliés à la compétence et l’expérience du praticien.10
Après concertation et plusieurs rendez-vous de bilan avec notre patiente, la décision finale est la seconde solution. L’objectif est d’utiliser le prémaxillaire pour placer 6 implants sans greffe. Pour gagner en étendue et rétablir une arcade dentaire allant de la 16 à 26, les 2 implants d’extrémité seront inclinés avec une sortie en position de 2e prémolaire. Ainsi, le cantilever sera réduit.L’article de Krekmanov démontre qu’une extension plus grande sur un implant droit a de moins bons résultats qu’une petite extension sur implant incliné.8 D’autres articles prouvent également l’excellent pronostic de ces implants et le niveau osseux équivalent dans le temps par rapport aux implants droits.1
Sourire non gingival de la patiente.
Stellite remplaçant 9 dents.
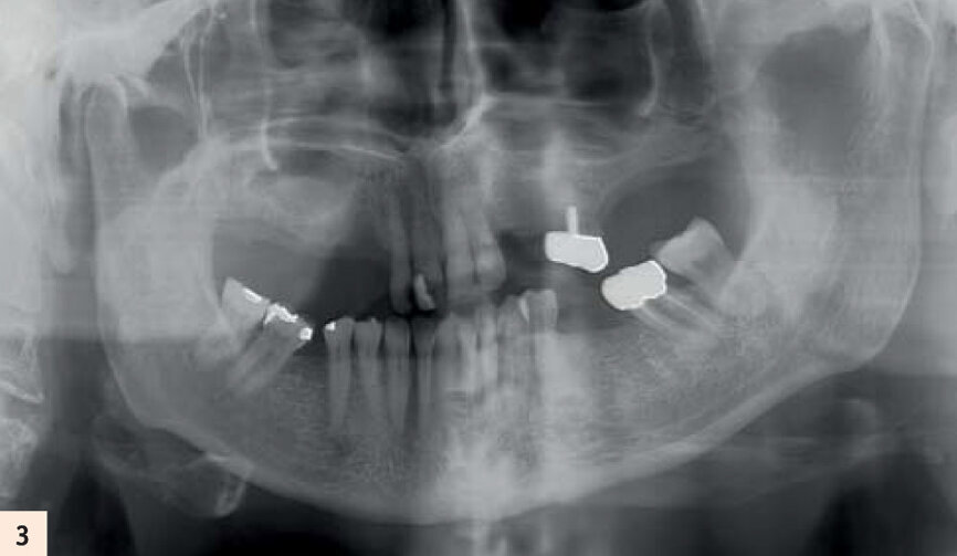
Radiographie panoramique de la situation initiale.
Planification sur le logiciel de planification CodiagnostiX après Cone Beam avec gouttière radio-opaque.
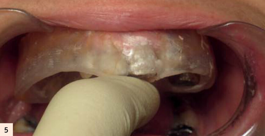
Gouttière pour empreinte fractionnée en fin de chirurgie.
Modélisation par Vizua du modèle denté...
...et avec des extractions virtuelles.
Entraînement sur la mâchoire imprimée en 3D par la Sapo d’après les fichiers DICOM’s.
Vérification 3D après chirurgie sur CodiagnostiX, situation très proche de la planification initiale.
Vérification 3D après chirurgie sur CodiagnostiX, situation très proche de la planification initiale.
Mise en charge du bridge provisoire transvissé le jour de l’intervention.
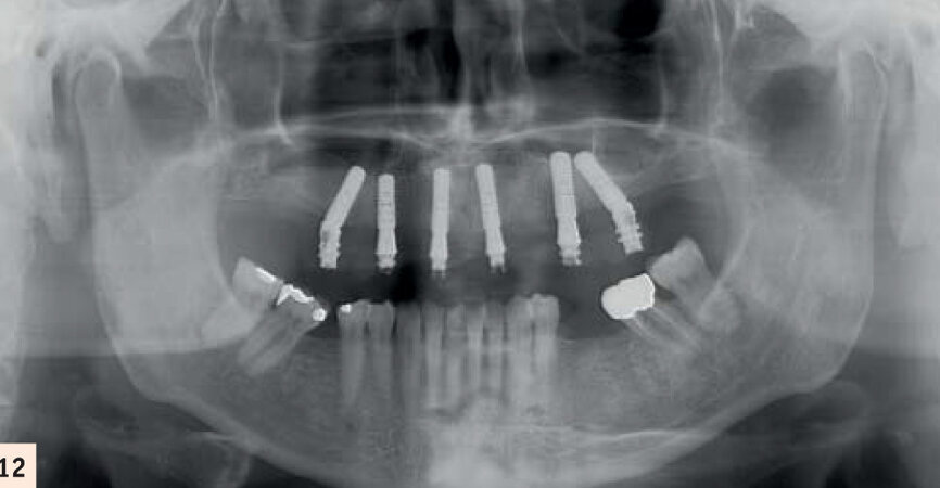
Radiographie après la période d’ostéoactivation.
Armature Cadcam Createch Straumann. Noter l’ossification autour des implants ayant soulevé la membrane sinusienne.
Bridge céramométallique transvissé avec une fausse gencive.
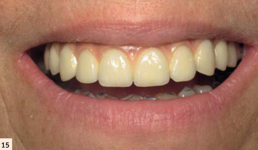
Sourire de notre patiente.
Notre difficulté est d’utiliser le volume osseux au maximun, et de reculer le plus possible les implants distaux. Une telle chirurgie n’est possible que par une planification rigoureuse sur un logiciel, pour avoir une vue d’ensemble, et de voyager millimètre par millimètre dans le maxillaire dans toutes les directions de l’espace.
Ayant moins de volume dans le secteur droit, nous décidons de poser notre implant distal dans la paroi antérieure du sinus. Quelques spires seront dans le sinus mais avec un excellent ancrage. C’est exactement ce même résultat qui est obtenu lorsqu’un implant est placé dans un septum sinusien.6 La corticale vestibulaire des insicives est d’une finesse extrême.
La résorption postextractionnelle étant inévitable comme l’a démontré Arujo,2 nous voulons préserver l’os en extraction- implantation immédiate.Pour la réussite de cette technique, plusieurs règles sont essentielles :3
- Des avulsions les plus délicates possibles. Chaque extraction risque de provoquer une fracture de latable osseuse.
- Ne pas fermer l’alvéole avec un implant large mais laisser un gap vestibulaire.
- Combler le gap. Nous utiliserons de l’os autogène récolté localement. La table vestibulaire nous sert de membrane naturelle et protégera les copeaux d’os comme une ROG.
L’important est de reproduire par l’empreinte en fin de chirurgie, l’occlusion enregistrée des semaines auparavant. La technique utilisée sera l’empreinte fractionnée, grâce à une gouttière callée sur des repères fixes que nous retrouvons en fin d’intervention (Fig. 5). Cette méthode a été décrite par Luc Gillot et Bernard Cannas qui font partie des pionniers de la MCI en France.9, 11 Ce cas clinique est complexe. Comme toute chirurgie, nous n’avons pas le droit à l’erreur. La planification sur ordinateur a permis de se familiariser avec les volumes osseux. Simuler la chirurgie permettrait d’éviter les pièges d’une anatomie complexe. En partenariat avec l’équipe Vizua et la Sapo implant, nousimprimons le maxillaire de notre patiente en individualisant les dents pour visualiser les alvéoles d’extraction (Figs. 6 et 7). Puis nous procédons au forage dans ce modèle imprimé en résine, en suivant notre planification. Nous appréhendons les difficultés de ce cas : la fine corticale du bloc incisif, la position exacte de l’implant en 15 dans la paroi antérieure du sinus droit... Quelle meilleure préparation que la simulation sur modèle ? (Fig. 8)
Finalement la chirurgie, qui est effectuée lors d’une formation, n’est plus qu’une concrétisation de la planification 3D associée à l’entraînement sur la mâchoire 3D. Les sensations de forage sont très proches entre modèle imprimé et l’os.
L’ensemble de l’intervention se passe donc comme prévu lors de la retransmission en direct. La surface SLActive des six implants Straumann Bone Level RC nous assurera une ostéointegration plus rapide. Elle nous permettra une diminution de la période critique de transition entre stabilité primaire et secondaire.12 Une radiographie panoramique et un bilan cone beam nous confirme le résultat conforme à nos étapes en amont (Figs. 9 et 10).
L’empreinte est traitée en fin de matinée au laboratoire de prothèse où sont formés les prothésistes en parallèle des praticiens en formation. La mise en charge est effectuée le soir même. Quelques réglages d’occlusion nous permettent de répartir les contacts sur l’ensemble de l’arcade (Fig. 11). Notre patiente est emballée par ses nouvelles sensations de bridge fixe, par son sourire, par l’absence de palais. Le lendemain de cette première journée de formation, les travaux pratiques consistent à extraire 5 dents, placer 6 implants dans un maxillaire avec des volumes osseux réduits, connecter les piliers droits et inclinés en vue d’un bridge transvissé.
Les participants ont les images du logiciel de planification et peuvent prendre des mesures. L’énorme intérêt pédagogique est que ce TP se fait sur la mâchoire de notre patiente, opérée la veille en direct. En effet, nous travaillons sur les répliques imprimées en 3D.
Après 2 mois d’ostéointegration (Fig. 12), commence la phase prothétique où le Hi Tech permet de finaliser un bridge céramique transvissé sur piliers multibases Straumann.L’armature est conçue et fabriqué par ordinateur par Createch (laboratoire Straumann), d’après le wax up de notre laboratoire de prothèse validé en bouche. La précision Cadcam est extrême et l’ajustage parfait (Fig 13).
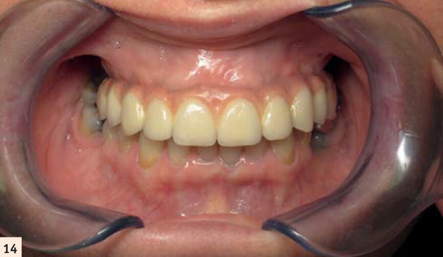
La céramique est maquillée pour s’approcher de l’aspect de dents naturelles. Une fausse gencive rose permet de palier au manque tissulaire préalable (Figs. 14, 15 et 16).Notre patiente a retrouvé ses dents et ne sera restée sans denture fixe que quelques heures. Les suites opératoires auront été minimes et la durée totale du traitement été de 4 mois.
Conclusion
Quels sont les outils qui sont à notre disposition aujourd’hui, pour assurer un maximum d’efficacité lors d’un plan de traitement implantaire ? Un plan de traitement complexe et global ne peut être envisagé sans logiciel de planification.
De plus, au-delà de la simulation sur ordinateur, la chirurgie peut être pratiquée en entraînement, testée sur la mâchoire de notre patient imprimée en 3D, presqu’aussi vraie que nature. Lors de la phase prothétique, l’armature de bridge complet ne doit plus être réalisée par la technique de la cire perdue. La technologie Cadcam donne une précision qui dépasse la métallurgie sur d’aussi petits éléments.
Enfin, la touche finale sera l’empreinte optique, déjà efficace sur plusieurs implants et bientôt opérationnel sur une arcade complète dans un avenir très proche.
À suivre..
Note de la rédaction : Article paru dans le journal Dental Tribune France DT-4-2018
Mots-clés:
Les 2, 3 et 4 juillet se sont tenues à la Maison de la chimie, les journées des congrès de la WFLD et de l’OIWC. Le ...
SUCY EN BRIE, France : Un sourire confiant peut transformer les interactions personnelles et professionnelles. Pour de nombreux patients, des traitements ...
PARIS, France : Cette année, la réunion scientifique annuelle de l'Association européenne pour l'ostéo-intégration (congrès de l'EAO), qui devait se ...
CHAMPIGNY-SUR-MAME, France : Depuis plus d’un siècle, Airel Quetin, unique fabricant français de fauteuils et d’units dentaires, accompagne les ...
Les outils numériques occupent aujourd'hui une place importante en implantologie. Dans les mises en charge immédiates, le positionnement correct des ...
Le Groupe STERNE, expert de la logistique premium bas carbone est particulièrement attaché à tisser des liens de confiance avec chacun des clients pour ...
MONTRÉAL, Canada: L’hypnose, longtemps associée aux spectacles de scène et au divertissement, attire désormais l’attention pour ses applications ...
Le symposium national d’implantologie au féminin (SNIF) marque son 10e anniversaire. Il se tiendra le jeudi 7 mars 2024, au 28 Avenue George V, Paris 8e ...
En odontologie, tout comme pour la médecine en général, la grande majorité des patients sont pris en charge dans le cadre de cabinets dentaires, alors ...
Webinaire en direct
jeu. le 30 avril 2026
à 1h00 (CET) Paris
Dr. Renato Leonardo D.M.D.
Webinaire en direct
jeu. le 30 avril 2026
à 19h00 (CET) Paris
Webinaire en direct
dim. le 3 mai 2026
à 18h00 (CET) Paris
Dr. Rickard Brånemark MSc, MD, PhD, Dr. Robert Gottlander DDS
Webinaire en direct
lun. le 4 mai 2026
à 2h00 (CET) Paris
Webinaire en direct
mar. le 5 mai 2026
à 16h00 (CET) Paris
Webinaire en direct
mar. le 5 mai 2026
à 18h00 (CET) Paris
Webinaire en direct
mar. le 5 mai 2026
à 19h00 (CET) Paris
Dr. Maximilian Dobbertin M.Sc