Le site DTStudyClub organise un nouveau webinaire qui aura lieu le vendredi 16 avril 2021 à 17 heures qui portera sur « Le numérique au service de la mise en charge immédiate ». Lors de cette vidéoconférence, le Dr Jérôme Lipowicz présentera les étapes du flux numérique depuis la planification implantaire jusqu’à la réalisation de prothèses provisoires en CFAO avec des protocoles rigoureux adaptés à chaque type d’édentation. Inscrivez-vous gratuitement dès maintenant pour réserver votre place.
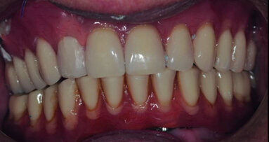
Les outils numériques occupent aujourd'hui une place importante en implantologie. Dans les mises en charge immédiates, le positionnement correct des fixtures et la stabilité implantaire sont des prérequis indispensables à la réussite d’une intégration esthétique et fonctionnelle. Cette conférence abordera les étapes du flux numérique depuis la planification implantaire jusqu’à la réalisation de prothèses provisoires en CFAO avec des protocoles rigoureux adaptés à chaque type d’édentation.
Les objectifs de cette vidéoconférence sont de trois types : appréhender le flux numérique en implantologie, découvrir les outils à disposition du chirurgien-dentiste et comprendre le rôle du laboratoire de prothèse
Le Dr Jérôme Lipowicz, qui présentera cette vidéoconférence, est chirurgien-dentiste omnipraticien à Paris. Diplômé de l'université Paris VII, il poursuit son cursus avec des DU d'implantologie (Paris V), d'expertise médicale (Paris V) et d'esthétique du sourire (Strasbourg). Intéressé par les nouvelles technologies, l'implantologie assistée par ordinateur devient naturellement intégrée à son exercice en 2010.
Il est le président et co-fondateur de l'Académie de chirurgie guidée et de son congrès International Digital Days, membre du conseil d'administration de la Digital Dentistry Society, membre actif de la Computer aided implantology academy, Fellow de l’International college of dentists, et membre de nombreuses autres organisations internationales. Intervenant dans des diplômes universitaires comme sur des congrès internationaux, Jérôme Lipowicz est également un entrepreneur sur Internet depuis 1999 avec entre autres la fondation d'Abcdent et de la 1ère communauté de dentistes en ligne Eugenol.com.
Pour participer, inscrivez-vous gratuitement en vous rendant sur le site DTStudyClub .
Mots-clés:
Les outils numériques occupent aujourd'hui une place importante en implantologie. Dans les mises en charge immédiates, le positionnement correct des ...
_L’objectif de cet article est de présenter à partir d’un cas clinique significatif les principes généraux, la ...
Les progrès réalisés dans le domaine de l’implantologie et particulièrement dans l’implantologie basale, ont contribué à l’essor de la mise en ...
Le remplacement de dents perdues par des implants peut être un long processus pour les patients. Pendant la phase de temporisation, il leur faut ...
La mise en charge immédiate de bridges complets sur implants au maxillaire est pour le praticien un défi posé par certains patients ...
L’association parfaite de l’imagerie CBCT et des données prothétiques virtuelles crée la meilleure base possible pour la ...
Bien que des progrès scientifiques et techniques aient été réalisés dans le domaine de la dentisterie, de nombreux patients sont encore partiellement ...
Rendez-vous mardi le 12 février à 19h30 sur ConnectDental Campus et découvrez le nouveau système de scanner intraoral Densply-Sirona. Partagez ...
SUCY EN BRIE, France : Un sourire confiant peut transformer les interactions personnelles et professionnelles. Pour de nombreux patients, des traitements ...
À propos d’un cas clinique
Incontestablement, la chirurgie implantaire guidée séduit de plus en plus de praticiens en raison de sa fiabilité, ...
Webinaire en direct
jeu. le 14 mai 2026
à 18h00 (CET) Paris
Webinaire en direct
jeu. le 14 mai 2026
à 20h00 (CET) Paris
Prof. Hani Ounsi DDS PhD FICD
Webinaire en direct
mar. le 19 mai 2026
à 17h00 (CET) Paris
Webinaire en direct
mar. le 19 mai 2026
à 19h00 (CET) Paris
Prof. Dr. med. dent. Ivo Krejci
Webinaire en direct
mer. le 20 mai 2026
à 13h00 (CET) Paris
Dr. Graham Carmichael BDSc (Hons), DClinDent (Pros), FRACDS, Dr. Robert Gottlander DDS
Webinaire en direct
mer. le 20 mai 2026
à 15h00 (CET) Paris
Webinaire en direct
mer. le 20 mai 2026
à 19h00 (CET) Paris
Prof. Dr. med. dent. Tim Joda PhD, MSc, eMBA
To post a reply please login or register