La récession gingivale est définie comme un site ou un déplacement de la gencive marginale apicale vers la jonction amélo-cémentaire (JAC). La récession est l'exposition de la surface de racine, ayant pour résultat, une dent qui semble être d'une plus grande longueur. Dans la perspective du patient, la récession signifie un aspect inesthétique, et est associée au vieillissement.
La gencive se compose de gencive libre et attachée, comme vu macroscopiquement. La gencive marginale libre, localisée, coronalement, à la gencive attachée (GA), entoure la dent et n'est pas attachée à la surface de dent. La GA est la partie kératinisée (GK) du tissu gingival, qui est dense, piquetée, et fermement lié au parodonte, à la dent et à l'os, sous-jacent. Dans la santé idéale, la partie la plus coronale de la GA est située à la JAC, où la partie la plus apicale est à côté de la jonction muco-gingivale (JMG). La JMG représente la jonction entre la GA (kératinisée) et la muco-alvéolaire (non-kératinisée).
Il y a de nombreux facteurs étiologiques qui peuvent avoir, comme conséquence, la récession. Généralement, l'étiologie peut être classée par catégorie, soit mécanique, soit en fonction de la progression de la maladie parodontale. La récession se produit habituellement en raison de malposition, de la récession alvéolaire d'os, d'attaches hautes des muscles, de traction des freins et de facteurs iatrogènes, liés aux procédures reconstructrices et parodontales.
Les effets néfastes de la récession incluent une esthétique compromise, une augmentation de sensibilité des racines à la température et aux stimuli tactiles, et une augmentation de la susceptibilité à la carie de racine, due à l'exposition du cément. Ainsi, le but thérapeutique principal de l'élimination de récession est la couverture gingivale de la racine afin de satisfaire les demandes esthétiques et d'empêcher la sensibilité de racine.
Miller classifie les récessions en quatre catégories :
• classe I : la récession marginale de tissu ne dépasse pas la JMG ;
• classe II : la récession marginale de tissu dépasse la JMG, sans la perte d'os interdentaire;
• classe III : la récession marginale de tissu se prolonge au deçà de la JMG; la perte d'os interdentaire est apicale à la JAC mais, coronalement, jusqu'à l'étendue de la récession tissulaire marginale;
• classe IV : la récession tissulaire marginale de se prolonge au deçà de la JMG; l'os interdentaire se prolonge, apicalement, vers la récession tissulaire marginale.
Une modalité possible de traitement, pour la récession, inclut la reconstruction fortifiante, mécanique, telle que des restaurations composites cervicales.
Ce genre de traitement peut, effectivement, contrôler la de sensibilité de racine et la carie de racine. Cependant, un tel traitement entraîne un compromis, à long terme, de perspective esthétique. Les restaurations composites se colorent, avec le temps, et n'importe quelle fuite marginale peut mener à la carie secondaire, au retour de la sensibilité et/ou à des inflammations locales. En plus, la gestion de teinte peut être difficile et de telles restaurations peuvent comporter une perte indésirable de la structure essentielle de la dent afin de créer les rétentions proportionnées pour les restaurations. Ainsi, les cliniciens doivent déterminer si les avantages reconstructifs sont supérieurs aux points faibles esthétiques et s'il est possible d'utiliser une modalité de traitement avec peu ou pas d'inconvénients fonctionnels et esthétiques. Une autre modalité de traitement pour la récession est chirurgie muco-gingivale. La chirurgie muco-gingivale se rapporte à des procédures chirurgicales parodontales conçues pour corriger des défauts dans la morphologie, la position et/ou la quantité et le type de gencive entourant les dents.
Au début du développement de la chirurgie muco-gingivale, les cliniciens ont cru qu'il y avait une dimension minimale, spécifique, de GA corono-apicale, qui était nécessaire pour maintenir la santé parodontale. Cependant, les études cliniques et expérimentales ont démontré qu'il n'y a aucune
valeur minimale nécessaire. Cependant, pour l'esthétique, une couleur et une valeur uniformes de GA est souhaitable, par rapport aux dents adjacentes.
Certaines des premières techniques pour corriger la récession ont impliqué la prolongation du vestibule. La guérison suivante a, habituellement, eu, comme conséquence, une augmentation de GA.
Cependant, dans les six mois, une rechute de 50 pour cent de la position des tissus mous a été rapportée.
Donc, ces techniques n'étaient pas adéquates pour traiter la récession.
Afin d'améliorer l'esthétique et augmenter la GA pour des procédures de recouvrement de racine, la chirurgie parodontale courante implique, en grande partie, l'utilisation des greffes gingivales. Il y a une multitude de techniques chirurgicales, qui peuvent être distinguées, basées sur le rapport entre les sites de don et de réception. Les procédures gingivales de greffe comportent, soit (a) les greffes de tissus mous avec pédicule, qui maintient l'approvisionnement sanguin, ou (b) les greffes autogènes, libres, de tissus mous.
Les techniques impliquant le dernier type exigent du clinicien de préparer deux sites chirurgicaux : l'un pour prélever le tissu (1) et un autre pour préparer le site receveur (2).
Dans ce cas-ci, la greffe autogène de tissu mou a un approvisionnement sanguin, séparé, à l'emplacement réceptif. Des combinaisons de (a) et de (b) ont été également rapportées.
La greffe de tissu mou, pédiculée, a été décrite, la première fois, par Grupe et Warren, en 1956. Ceci a impliqué de soulever un lambeau de pleine épaisseur et de placer, latéralement, et de suturer le tissu donneur dans un endroit adjacent, tout en maintenant un approvisionnement sanguin du pédicule. Cette technique, et d'autres qui ont suivi, ont été conçues pour augmenter la zone de GA. Les modifications, postérieures, de la technique, ont inclus le double lambeau de papille - présenté par Cohen et Ross, en 1968, le lambeau de rotation oblique et le lambeau de rotation. Un autre type le lambeau gingival de mouvement a été décrit, plus tard comme lambeau de repositionnement coronaire. Cette technique implique de mobiliser un plein lambeau de pleine épaisseur et de replacer le tissu à la JAC, recouvrant, de ce fait, la récession exposée.
L'utilisation des greffes gingivales libres a été décrite, dans les années 60, par Sullivan et Atkins. La greffe autogène libre peut se composer de gencive épithélialisée ou de tissu conjonctif. Au commencement, le but thérapeutique était d'augmenter la zone de GA.
L'objectif clinique a maintenant évolué à recouvrir la racine découverte de GA.
Ceci peut être réalisé en un ou deux étapes. Au début, Sullivan et Atkins ont décrit un procédé en une étape en 1968. Son but était d'augmenter la zone de GA, sans se concentrer sur le recouvrement d'une racine dénudée.
Dans les années 80, une modification, en deux étapes, a été suggérée pour une augmentation du recouvrement de racine, qui s'est avérée plus réussie, avec une prévisibilité accrue. Ceci implique de placer, d'abord, une greffe gingivale libre ou une greffe libre de tissu conjonctif, apicalement, au secteur de récession, et d'employer la technique de repositionnement coronaire, après la guérison.
Les greffons autogènes libres sont, principalement, prélevés au palais. Récemment, des matériaux autres que les greffes gingivales ont été explorés. Employant une technique de régénération tissulaire guidée (RTG), on a observé la formation d'une matrice cutanée acellulaire donne des résultats favorables dans le recouvrement de racine. Ce matériau peut apporter, au patient, une alternative moins invasive qu'un prélèvement de greffon palatin, afin de réaliser le recouvrement de racine.
Des procédures, combinant les greffes libres et les techniques pédiculées, ont été également été étudiées. Par exemple, quand une greffe de tissu conjonctif est utilisée, la greffe est placée sous-épithélialement, avec un déplacement coronal du tissu kératinisé de recouvrement. Des techniques RTG, également, ont été développées, plus récemment. En 1992, Pino Prato et al. ont décrit une technique de combinaison de placement sous-épithélial d'une membrane, telle l'ePTFE avec le déplacement coronal d'un lambeau. La fonction de la membrane est de maintenir l'espace, pendant la période curative, pour que la régénération tissulaire se produise. De la perspective du patient, les membranes biodégradables avec le potentiel de RTG, sont préférables, afin d'éviter une chirurgie, de deuxième étape pour la dépose de membrane.
Le but est de reconstituer la santé, la couleur et l'esthétique gingivales, en recouvrant la racine exposée, de façon prévisible, de tissu gingival sain et, de cette manière, obtenir une diminution de sensibilité. En utilisation la RTG et techniques de déplacement coronal, nous réalisons des couvertures de racines prévisibles.
Des variations des procédures muco-gingivales ont été développées pour inclure les bio-modifications extérieures des racines, en traitant les surfaces des racines avec une série de matériaux. Ces mesures augmentent le processus de régénération d'une nouvelle attache de tissu conjonctif. Afin d'augmenter le recouvrement de racine, une nouvelle attache clinique est nécessaire. La bio-modification extérieure de racine implique de traiter les surfaces des racines avec de l'acide citrique, la tétracycline ou l'EDTA afin d'enlever la smear layer et d'exposer
les tubuli dentinaires et faciliter, ainsi, une nouvelle attache fibreuse. Un dérivé de matrice amélaire, sensé soutenir l'action des protéines de la matrice amélaire, en induisant la formation de cément acellulaire, le ligament parodontal et la formation d'os alvéolaire, est également disponible dans la gamme des matériaux de bio-modification des surfaces radiculaires.
Le rapport de cas suivant considère le recouvrement esthétique, prévisible, de la racine, en comparant une technique de RTG à une technique non-RTG, par procédé d'hémi-arcade, chez le même patient.
embedImagecenter("Imagecenter133",133);
Rapport de cas
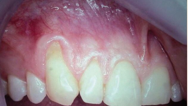
Un patient jeune, adulte, s'est présenté avec une récession bilatérale, au maxillaire supérieur. Le maxillaire supérieur droit supérieur présente une récession étendue sur les dents 12 et 13 (fig. 1). Le maxillaire supérieur gauche supérieur a une récession semblable sur les dents 23 et 23. En plus, la dent 23 a une érosion cervicale, qui a été tachée mais dure et non décalcifiée.
Après anesthésie locale, employant la lidocaïne, la conception désirée du lambeau a été remplie. Il y avait à zone suffisante de GA, actuelle, avant traitement, qui a été préservé et repositionnée coronalement. Sur la réflexion du tissu, une pleine épaisseur de la récession fondamentale était évidente (fig. 2). Le secteur et la récession ont été découverts après le déplacement du débridement et du tissu granulomateux. La membrane résorbable a été formée et placée sur les racines exposées. La membrane a été placée, une première fois sur la dent 13 et la dent a semblé ainsi plus foncée en cela qu'elle ait absorbé le sang. La membrane a été placée, en second lieu, sur la dent 12;
La dent n'avait pas absorbé de sang au moment de la photographie, qui explique la différence de couleur actuelle.
Le lambeau, repositionné coronalement a été suturé, en place, avec le lambeau, couvrant les membranes enfouies et la récession précédente (figs. 3 et 4).
Un pansement parodontal (Coe-Pak, GC) a été utilisé, comme un bandage, et placé au-dessus du secteur chirurgical. Il a été enlevé une semaine plus tard, en même temps que les sutures. Le patient, une fois désinfecté, est retourné à sa routine habituelle d'hygiène buccale, au commencement légèrement et, graduellement, plus vigoureusement. Une fois guéri et la santé orale maintenue, la récession a été couverte et la santé a régénéré. Sur le sondage parodontal, aucune poche n'était présente (fig. 5).
La vue finale présente une symétrie visuelle de santé et de couleur qui est maintenable.
La récession était également présente à l'aile gauche maxillaire (dents 23 et 24 ; Fig. 6). Après anesthésie locale des secteurs impliqués, un lambeau mucopériosté, de pleine épaisseur a été soulevé. Ceci a exposé l'ampleur des défauts de récession (fig. 7). La dent 23 a été traitée, de même que l'autre côté de la bouche, par l'utilisation de la technique RTG, à l'aide d'une membrane, sans formation cellulaire de tissu conjonctif, pour préserver l'espace pour la régénération.
La dent 24 a été traitée, de la même manière, sauf qu'aucune membrane, résorbable ou non-résorbable, n'ait été employée (figs. 8 et 9). Ainsi, il n'y avait aucune utilisation d'une technique RTG sur la dent 24. Les deux dents ont eu un lambeau, avec une greffe, coronalement repositionnée, couvrant la racine enfoncée et la suturant au niveau de la JAC. Les deux côtés ont été couverts de pansement parodontal. Des antibiotiques (tétracycline) et un analgésique (Tylenol-Codéine) ont été prescrits, pour la première semaine après l'opération.
Pendant une semaine après la phase chirurgicale, le pansement et les sutures ont été enlevés et la bouche désinfectée. L'hygiène buccale a été relevée, à de bonnes et maintenables habitudes, après la phase curative, de plus de deux mois. Lors de l'observation, la dent 13, pour laquelle la membrane GTR avait été utilisée, avait récupéré une gencive saine, inespérée. En revanche, la dent 24, pour laquelle aucune membrane RTG n'avait été utilisée, a montré une récession, comme avant la chirurgie (fig. 10). En résumé, cette technique d'hémi-arcade a démontré, qu'à l'aide d'une membrane résorbable, sans formation cellulaire, est plus prévisible pour réaliser le recouvrement de la récession de racine, que le recouvrement d'une racine dénudée, sans une telle membrane.
TEUFEN, Suisse : Le fabricant dentaire suisse Megasmile a développé une brosse à dents blanchissante avec des particules de charbon ...
Dans notre activité, lors d’avulsions en vue de la réhabilitation prothétique ou implantaire, l’un des atouts majeurs est la préservation de la ...
PARIS, France: Des souris amnésiques ont retrouvé la mémoire grâce à une greffe de cellules souches nasales humaines de ...
BENSHEIM, Allemagne : Le système de contrôle de Sirona permet au dentiste d´identifier rapidement et simplement les caries lors de ...
NOTTINGHAM, Royaume-Uni : Les articulations artificielles, les stents et les implants dentaires sont parmi les dispositifs les plus courants qui utilisent ...
PASADENA, USA: Des chercheurs de l'institut Californien de Technologie (CalTech) affirment avoir trouvé une façon de prendre la ...
Les flux de travail numériques sont constamment améliorés grâce à des innovations dans les techniques, les logiciels et les matériaux, et ...
Le but de la chirurgie plastique parodontale est la correction des déformations des tissus mous associées à la perte des tissus attachés et ...
Depuis plus de deux siècles et demi, les cliniciens ont écrit des articles sur la mise en place de tenons dans les racines dentaires, afin de ...
DALLAS, États-Unis : Selon des données issues d’une enquête gouvernementale réalisée en 2019, environ 29 millions d’Américains consultent chaque ...
Webinaire en direct
jeu. le 14 mai 2026
à 18h00 (CET) Paris
Webinaire en direct
jeu. le 14 mai 2026
à 20h00 (CET) Paris
Prof. Hani Ounsi DDS PhD FICD
Webinaire en direct
mar. le 19 mai 2026
à 17h00 (CET) Paris
Webinaire en direct
mar. le 19 mai 2026
à 19h00 (CET) Paris
Prof. Dr. med. dent. Ivo Krejci
Webinaire en direct
mer. le 20 mai 2026
à 13h00 (CET) Paris
Dr. Graham Carmichael BDSc (Hons), DClinDent (Pros), FRACDS, Dr. Robert Gottlander DDS
Webinaire en direct
mer. le 20 mai 2026
à 15h00 (CET) Paris
Webinaire en direct
mer. le 20 mai 2026
à 19h00 (CET) Paris
Prof. Dr. med. dent. Tim Joda PhD, MSc, eMBA
To post a reply please login or register