Le but de la chirurgie plastique parodontale est la correction des déformations des tissus mous associées à la perte des tissus attachés et kératinisés. La littérature décrit de nombreuses techniques efficaces de manipulation de lambeaux pour les greffes épithélio-conjonctives, mais celles-ci sont caractérisées par une morbidité certaine et des difficultés pour prélever des tissus de qualité, ce qui a incité les cliniciens et les chercheurs à rechercher des approches alternatives. La fibrine riche en plaquettes (A-PRF), qui s’utilise largement en médecine et en chirurgie orale, représente une nouvelle génération de facteurs de croissance dérivés du sang. Cet article décrit une technique simple et reproductible de recouvrement radiculaire à l’aide du concept FASTP.
La chirurgie plastique parodontale joue aujourd’hui un rôle de plus en plus important en parodontologie. Aux États-Unis, 90 % de la population âgée de 60 ans aura au moins 1 dent avec une récession de 1 mm, tandis que 40 % de cette même population aura au moins 1 site avec une récession supérieure à 3 mm.1 2Sans traitement, la récession gingivale progressive aggrave l’état parodontal et peut conduire à des complications dentaires et pulpaires. La chirurgie plastique parodontale ayant pour but le recouvrement radiculaire, correspond à une série de techniques permettant la correction des déformations des tissus mous d’origine traumatique, ou suite à la présence de plaque. Les objectifs ultimes du recouvrement radiculaire sont la résolution du défaut par un tissu kératinisé et attaché plus épais, la restauration d’un tissu esthétiquement harmonieux, et le rétablissement d’un tissu attaché fonctionnel.3
Lorsque la récession gingivale implique plusieurs dents adjacentes, un seul traitement chirurgical est indiqué pour gérer tout le secteur en même temps.4 Une greffe de tissu conjonctif prélevée au palais et combinée avec un lambeau pédiculé (lambeau de repositionnement coronaire ou latéral), est une alternative fréquente pour le traitement des récessions gingivales. Des facteurs limitants (par exemple, une quantité insuffisante de tissu conjonctif, refus du patient de subir une deuxième chirurgie, morbidité) ont entraîné l’emploi de substituts pour les tissus conjonctifs autogènes.3, 4
En chirurgie plastique parodontale, les greffes allogènes et des xénogreffes sont typiquement utilisés en clinique avec succès, comme substituts pour les tissus dermiques. Servant d’échafaudage et permettant la fibroconduction, la nature du tissu attaché obtenu et la quantité de tissu kératinisé sont controversés.4
Des produits dérivés de la matrice amélaire (EMD) d’origine xénographique utilisés comme agents « boostant » ont donné des résultats clinique et histologique positifs, lorsqu’ils sont associés avec un lambeau de repositionnement coronaire pour induire une régénération parodontale. Les résultats cliniques sont significatifs seulement en comparaison avec un lambeau de positionnement coronaire utilisé seul.4
Il n’y a pas de preuves en faveur de l’emploi des EMD, lorsque des greffes de tissu conjonctif ou des allogreffes sont utilisés comme sites de contrôle. Au cours de la dernière décennie, des modificateurs biologiques dérivés des plaquettes sanguines ont été utilisés, pour améliorer la cicatrisation des tissus durs et des tissus mous. Le plasma riche en plaquettes (PRP) représente la première génération de ces « boosters ». Un manque de facteurs de croissance des tissus durs, un protocole compliqué et une libération rapide, expliquent en partie ces résultats imprévisibles dans la reconstruction des tissus durs et des tissus mous maxillo-faciaux.6
Les résultats obtenus avec l’emploi des PRP pour le recouvrement radiculaire et des chirurgies muco-gingivales sont équivoques. En 2013, Choukroun a introduit les facteurs de croissance d’origine plaquettaire, connus sous le nom d’A-PRF (advanced platelet-rich fibrin). La facilité d’emploi (une centrifugation unique sans agent anticoagulant), la présence de protéines morphogénétiques osseuses, et des propriétés physiques bénéfiques, font de l’A-PRF l’un des facteurs de croissance dérivés des plaquettes sanguines concentrées les plus utilisés aujourd’hui en chirurgie maxillo- faciale.7
Cet article présente les bénéfices et les applications cliniques de l’A-PRF en chirurgie plastique parodontale, en particulier pour le recouvrement radiculaire.
figure 1 : Tube pour A-PRF. La centrifugation lente de courte durée piège plus de cellules dans le caillot de fibrine.
figure 2 : Caillot d’A-PRF placé dans la PRF Box avant d’être pressé. La PRF BOX permet la préparation de membranes homogènes compatibles avec une utilisation en clinique.
figure 3 : Membranes d’A-PRF préparées avec la PRF Box.
figure 4 : Manipulation d’une membrane d’A-PRF. Les membranes préparées sont prêtes à être insérées sous le lambeau. Trois ou 4 membranes par couple de dents offrent un volume et une libération cellulaire adéquates
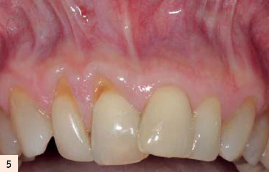
figure 5 : Vue préop. Récession traumatique de classe II Miller avec malposition dentaire associée.
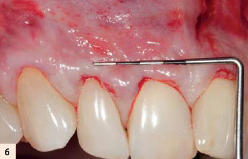
Incision et relâchement du lambeau. Incision vestibulaire pour accès sous périostée (incision muqueuse horizontale) permet une dissection horizontale de pleine épaisseur. Le relâchement total du lambeau permet au clinicien d’éviter une pression incontrôlée du lambeau sur les membranes A-PRF et permet le positionnement coronaire complet et passif des tissus mous
figure 7 : Mise en place d’une membrane d’A-PRF. La technique « distal-mesial backpack » garantit le remplissage total par des membranes d’A-PRF de la poche créée. Trois ou 4 membranes sont recommandées par couple de dents à traiter.
figure 8 : La suture périostée apicale en-dessous de la jonction muco-gingivale va « élever » le complexe A-PRF/lambeau en direction coronaire. La proximité intime entre les membranes d’A-PRF et les ligaments parodontaux permettra une libération lente des facteurs de croissance, favorisant ainsi la kératinisation.
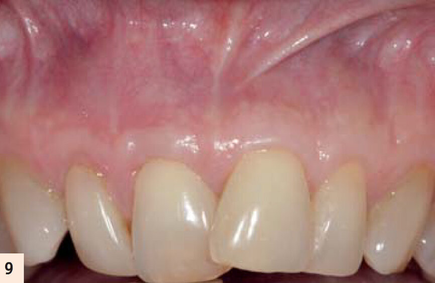
figure 9 : Deux ans postop. Noter le recouvrement radiculaire complet et l’augmentation de la zone de tissu attaché et kératinisé.
figure 10 : Vues pré- et postop (2 ans). Noter l’augmentation tridimensionnelle de la zone de tissu kératinisé et attaché, ayant pour résultat la restauration de la perte d’attachement et la correction de la
déformation gingivale en hauteur et en largueur.
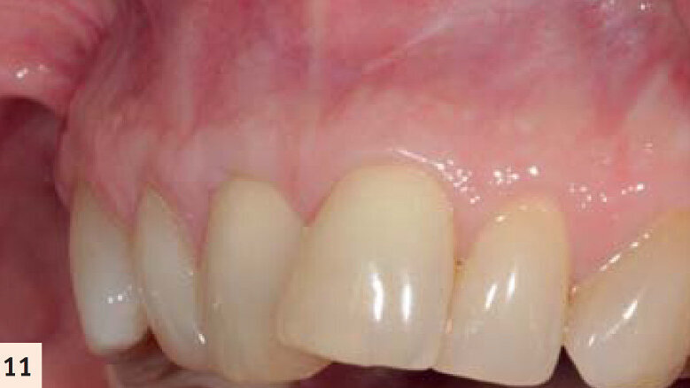
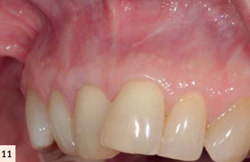
figure 11 : Vues pré- et postop (2 ans). Noter l’augmentation tridimensionnelle de la zone de tissu kératinisé et attaché, ayant pour résultat la restauration de la perte d’attachement et la correction de la
déformation gingivale en hauteur et en largueur.
Bases fondamentales : PRF et A-PRF
Le PRF (platelet-rich fibrin) est un concentré de plaquettes de deuxième génération, préparé à partir d’une seule centrifugation, sans ajout d’agent anticoagulant. Le caillot PRF obtenu est une matrice physiologique tridimensionnelle, saturée en plaquettes et leucocytes. Les granules alpha secrétés par les plaquettes piégées dans les membranes secrètent leurs facteurs de croissance, permettant une résorption naturelle des membranes à un taux lent (15 jours).8, 9
Les facteurs de croissance suivants sont libérés : PDGF (platelet-derived growth factor), TGK-beta (transforming growth factor beta), VEGF (vascular endothelial growth factor), EGF (epidermal growth factor) et IGF-1 (insulin-like growth factor-1).8–11
L’A-PRF7 est basé sur le même protocole ; cependant, la composition des tubes est différente (en verre, au lieu de plastique, afin d’augmenter l’effet de chélation [Fig. 1]) et la durée et la vitesse de centrifugation sont réduites (de 2 700 tr/mn/12 minutes à 1 300 tr/mn/8 minutes). Grâce à la modification de ces deux paramètres, Choukroun et al.7 ont démontré des taux plus élevés dans l’APRF de VEGF (responsables d’une néovascularisation rapide), de monocytes (responsables de la libération des BMP), et de la matrice extracellulaire (fibronectine).
D’après Omar et al.12et Rocher et al.13, les monocytes sont une source importante de BMP-2 (bone morphogenetic protein-2) et de BMP-7 (bone morphogenetic protein-7), ce qui fait que l’A-PRF est, un facteur de croissance concentré plaquettaire meilleur et plus puissant que le PRF.
Application parodontale duPRF/A-PRF : Etudes in vitro
Tsai et al.14 ont étudié les effets biologiques du PRF sur les fibroblastes gingivaux humains, les cellules du ligament parodontale, les cellules épithéliales orales, et les ostéoblastes. En culture cellulaire, la prolifération cellulaire a été stimulée par le PRF (augmentation de 20 %), tandis que la prolifération de l’endothélium (en raison de l’emploi de TGF-beta) a été réduite. Ceci suggère que les membranes PRF pourraient être bénéfiques pour la régénération du parodonte.
He et al.15 ont étudié les effets du PRF sur l’adhésion, la prolifération et la phosphorylation cellulaire, a l’aide d ostéoblastes humains. Le PRF était capable d’augmenter l’adhésion et la prolifération des ostéoblastes, tout en activant la production de≪ collagen-related protein ≫ (protéine liée au collagène), ce qui pourrait promouvoir la régénération osseuse.
Les travaux de Kang et al.16 soutiennent le rôle unique du PRF en tant qu’échafaudage et réservoir de facteurs de croissance pour la régénération tissulaire. Un extrait de PRF (PRFe) augmente la prolifération et la migration, et favorise la différentiation des cellules souches alvéolaires humaines. De plus, la transplantation de PRF fraiche dans la calotte crânienne de souris a amélioré la régénération du défaut de taille critique. Dans l’étude de Chang et Zhao17, l’activation par PRF a entrainé l’expression de la protéinekinase (p-ERK) phosphoryles à régulation de signal extracellulaire, et de l’ostéoprotégérine (OPG), preuve de ses actions bénéfiques pour la regénération osseuse. De plus, Huang et al.18 ont démontré que le PRF stimule la prolifération et la différentiation des cellules dentaires pulpaires, par augmentation de l’expression de l’OPG et de l’ALP. Une étude plus recente17 a conclu que l’amélioration de l’expression de p-ERK, d’OPG et d’ALP est susceptible d’être bénéfique pour la régénération parodontale.
Plusieurs études ont évalué l’emploi de PRF comme matériel de régénération pour le traitement des défauts parodontaux.
Dans leur étude de cas, Chang et Zhao17 ont évalué les modifications cliniques et radiographiques des défauts intra osseux parodontaux traités à l’aide de PRF. Ces auteurs ont conclu que le PRF représente une modalité thérapeutique efficace, car son application a entrainé une réduction des poches et une augmentation de l’attachement clinique, de même qu’une augmentation de la densité radiographique postop dans les défauts traités. Sharma et Pradeep19 rapportent une plus grande réduction de la profondeur de sondage, une plus grande augmentation du niveau d’attachement parodontal, et un plus grand remplissage des défauts intra osseux impliquant les 3 parois après traitement par PRF et débridement avec lambeau ouvert, compare aux cas traites avec de l’OFD seul. Dans une autre étude20 sur le traitement des atteintes de furcation mandibulaire de grade II, ces mêmes auteurs ont démontré une amélioration statistiquement significative pour des sites traites avec des PRF et de l’OFD, compare aux sites traites avec de l’OFD seul.
Cependant, dans l’étude de Pradeep et al.,21 qui ont étudié l’efficacité clinique et radiologique des PRF et des PRP autologues pour le traitement des défauts intra osseux chez des patients atteints de maladie parodontale chronique, il n’y avait aucune différence significative entre les deux concentrés de plaquettes.
Techniques de chirurgie plastique parodontale
Très peu d’informations existent dans la littérature. Aroca et al.22 ont comparé les résultats obtenus chez 20 patients traités avec un lambeau a repositionnement coronaire, avec et sans membranes PRF. Après 6 mois, le groupe test a présente une augmentation de la zone de tissu kératinise, mais le taux de recouvrement radiculaire complet était plus bas. Aleksic et al.23 et Jankovic et al.24 ont comparé le tissu conjonctif au PRF comme matériel de greffe pour le traitement de 19 patients, avec des atteintes Classe I et Classe II de Miller. Après 6 mois, aucune différence significative n’a été trouvé entre les deux groupes en ce qui concerne le degré de recouvrement radiculaire ou l’augmentation de la zone de tissu kératinise.
Cependant, la technique a été jugée plus facile à tolérer et a été associée à moins de complications postopératoires dans le groupe traite par PRF, car il n’y avait pas de site donneur intraoral ; ces différences étaient statistiquement significatives.
Tunali et Ozdemir25 ont effectué une étude prospective ≪ split mouth ≫ afin de comparer le PRF et les greffes de tissu conjonctif chez 20 patients, sur une période de 20 mois. Les deux méthodes de traitement ont réduit de manière significative le pourcentage de récession (respectivement 76 % et 77 %) et ont augmenté les niveaux d’attachement clinique (respectivement 2.90 mm et 3.04 mm).
Mécanisme d’action
Le plus grand problème rencontre dans notre analyse de la littérature concerne la comparaison de PRF/A-PRF avec une greffe de tissu conjonctif. Bien que ces deux matériaux aient des caractéristiques physiques similaires, leurs modes d’action et les produits finis obtenus différent.
Une greffe de tissu conjonctif prélevé au palais va transférer son expression génétique (kératinisation) du site donneur au site receveur. Karring et al.20 ont décrit ce concept a l’aide d’un modèle animal. Le site receveur ne contribue en rien à la qualité ou à la quantité du tissu obtenu. Nous appelons ce mécanisme d’action la ≪ fibrogenese≫.
Le modèle A-PRF fonctionne d’une autre manière. Il faut considérer la fibrine comme une matrice biologique ; grâce à une source plus riche en VEGF et facteurs de croissance, l’A-PRF favorise et induit la formation d’un nouveau tissu à partir du site receveur. La qualité des tissus mous du site receveur est donc critique pour le succès de la technique.
S’il existe déjà une bande de tissu kératinise, nous allons promouvoir la fabrication d’encore plus de tissu keratinise. Si, au contraire, il n’y a qu’un tissu muqueux non attaché lâche, nous allons favoriser la formation du même type de tissu de mauvaise qualité.
Nous appelons ce mécanisme d’action la ≪ fibropromotion ≫. Pour que la fibropromotion puisse se produire, il faut satisfaire deux conditions : la biotensegrite et le volume. Ces facteurs s’appliquent aux procédures d’augmentation faisant appel à un quelconque modificateur biologique. L’incapacité de satisfaire ces deux paramètres aura pour conséquence l’échec de l’A-PRF et donc une déception clinique.
Biotenségrité
Ingber27, de la Faculté de Médecine de Harvard, a démontré que les forces positives et négatives (tension et pression) générées à la surface cellulaire sont transférées via le complexe des filaments d’actomyosine, à travers le cytosquelette jusqu’au noyau. Il existe donc un équilibre entre les forces extracellulaires et le compartiment intracellulaire, tant que les forces appliquées sont dans les limites de tolérance de chaque groupe de cellules, donc organes.
La biotensegrité aide à guider la transmission des forces et à orchestrer la réponse, multimoléculaire aux stress de tout calibre dans tous les systèmes d’organes. Lorsque les forces mécaniques externes appliquées sur la surface de la cellule (mécano-récepteurs de surface cellulaire) dépassent les limites de tolérance intracellulaire, une altération de la structure du cytosquelette intracellulaire entraine des modifications de la biochimie intracellulaire et de l’expression génique, qui sont donc différentes de l’expression programmée d’origine. L’une des applications cliniques translationnelles de ce concept est l’impact de la tension du lambeau et la neo angiogénèse.
À l’aide d’un modèle animal, Mammoto et al.28 ont démontré que l’étirement de la muqueuse chez la souris réduit la quantité de VEGF produite, et entraine donc une réduction de la vascularisation du lambeau. Pini Prato et al.29 ont confirmé cette hypothèse dans une étude clinique randomisée contrôlée, conçue pour mesurer la tension d’un lambeau de repositionnement coronaire avant la suture, et pour comparer la réduction de la récession, après un traitement par repositionnement coronaire du lambeau avec et sans tension. L’analyse statistique a mis en évidence le fait qu’une tension de lambeau minime (0.0 g a 0.4 g) favorisait une réduction de la récession, tandis qu’une tension de lambeau plus élevée (4 g a 7 g) était associée a une réduction de la récession moindre. Cet effet négatif de la tension du lambeau s’observe dans les reconstructions osseuses maxillo-faciales. Marx et al.30 ont attribué le succès de leur technique d’augmentation verticale de l’os a un lambeau passif ≪ nontensile ≫ (sans traction), qui maintenait l’intégrité cellulaire du greffon osseux.
Volume
La quantification de toute fibropromotion cliniquement pertinente a l’aide d’A-PRF, nécéssite la récolte d’une quantité suffisante de plaquettes, afin qu’un certain nombre de facteurs de croissance soit libéré.
Ces facteurs de croissance (voir ci-dessus) présents dans le treillis de fibrine serre et bien organise, seront libérés ≪ goutte à goutte ≫ à un rythme constant et stable au cours des 12 à 15 jours suivants (vitesse de résorption des membranes d’A-PRF). C’est pour cette raison que la qualité et la quantité de tissu mous obtenus après la chirurgie, est en rapport direct avec la quantité de matrice de fibrine greffée.
Dans leur analyse histomorphométrique quantitative de la pénétration cellulaire, Gahnaati et al.7 ont évalué la composition des membranes d’A-PRF. Soixante-huit pourcent des membranes d’A-PRF étaient colonisés par les facteurs de croissance plaquettaires récoltés avec les échantillons.
Ces observations, corrélées avec l’expérience clinique des auteurs, les ont amené à conclure qu’il faut 3 ou 4 membranes par couple de dents, pour obtenir une fibropromotion cliniquement visible (Figs. 2–4).
Traduction clinique
La technique chirurgicale que nous proposons est une simplification de la technique d’accès sous périostée par incision vestibulaire,31 et une amélioration de la technique de tunnelisation.32
Incision
L’incision muqueuse verticale permet l’instrumentation horizontale (mesio-distale) et apico-coronaire d’un lambeau de pleine épaisseur, ce qui entraine le relâchement total et le déplacement coronaire passif du complexe muco-gingival papillaire (Figs. 5, 6).
Préparation radiculaire et décontamination
Ce qui suit correspond aux mêmes indications déjà proposées pour les procédures parodontales muco-gingivales. Une préparation radiculaire soigneuse va créer une surface plane ou en négatif, permettant la mise en place d’un plus grand volume d’A-PRF, et une tension du lambeau moindre, et donc, amenant à une résorption membrane-A-PRF (biotensegrite) minime.
La décontamination radiculaire à l’aide d’acide éthylène diamine tetra acétique (EDTA) 17 % (double application pendant 2,5 minutes), enlèvera la boue dentinaire créée par le surfaçage/préparation radiculaire et permettra l’exposition des fibres de collagène tubulaires, améliorant ainsi la qualité du type d’attachement attendu.
DUBLIN, Irlande : La réhabilitation dentaire avec implants a connu des avancées significatives durant la dernière décennie. Les ...
MELBOURNE, Australie : La valeur des bains de bouche dans le cadre de l’hygiène bucco-dentaire de routine a souvent été remise en question dans la ...
COPENHAGUE, Danemark : Des recherches récentes menées par l'Université de Copenhague et l'hôpital de Næstved au Danemark ont démontré que la ...
PONTA GROSSA, Brésil : Selon l'Association Dentaire Américaine, deux tiers des patients peuvent constater une hypersensibilité ...
PARIS, France : Le classement Top 25 publié ce 1er mars 2017 par Reuters/Clarivate porte sur les 25 institutions publiques qui contribuent le plus ...
Le détournement de fonds touche plus de la moitié des praticiens dentaires à un moment donné et entraîne souvent des conséquences financières ...
GLASGOW, Royaume-Uni : La transmission du SARS-CoV-2 par des personnes présentant une infection asymptomatique peut être importante, mais très peu ...
TOULOUSE, France - CHICAGO, Illinois, États-Unis : En France, les chirurgiens-dentistes peuvent réaliser des tests de dépistage de la Covid-19 sur leurs ...
LOS ANGELES, États-Unis / SICHUAN, Chine : Bien que la recherche en génétique soit devenue de plus en plus pertinente dans les domaines de la médecine ...
CAPE TOWN, Afrique du Sud : En matière de soins dentaires pédiatriques, la compréhension du consentement éclairé varie d’un pays à l’autre. Bien ...
Webinaire en direct
jeu. le 14 mai 2026
à 18h00 (CET) Paris
Webinaire en direct
jeu. le 14 mai 2026
à 20h00 (CET) Paris
Prof. Hani Ounsi DDS PhD FICD
Webinaire en direct
mar. le 19 mai 2026
à 17h00 (CET) Paris
Webinaire en direct
mar. le 19 mai 2026
à 19h00 (CET) Paris
Prof. Dr. med. dent. Ivo Krejci
Webinaire en direct
mer. le 20 mai 2026
à 13h00 (CET) Paris
Dr. Graham Carmichael BDSc (Hons), DClinDent (Pros), FRACDS, Dr. Robert Gottlander DDS
Webinaire en direct
mer. le 20 mai 2026
à 15h00 (CET) Paris
Webinaire en direct
mer. le 20 mai 2026
à 19h00 (CET) Paris
Prof. Dr. med. dent. Tim Joda PhD, MSc, eMBA