Depuis plus de deux siècles et demi, les cliniciens ont écrit des articles sur la mise en place de tenons dans les racines dentaires, afin de conserver les restaurations.1 Dès 1728, Pierre Fauchard a décrit l’utilisation de « tenons », qui étaient des pivots métalliques vissés dans les racines des dents, pour conserver les bridges.1 Au milieu des années 1800, le bois est devenu le matériau de reconstruction radiculaire en remplacement du métal, et la « couronne à pivot », constituée d’un tenon en bois fixé à une couronne artificielle et au canal radiculaire, est devenue très populaire parmi les chirurgiens-dentistes.1 Mais très souvent, ces tenons en bois absorbaient les liquides, se dilataient et causaient des fractures radiculaires.2 La fin du dix-neuvième siècle a vu l’apparition de la « couronne de Richmond », une couronne d’un seul tenant composée d’un tenon et d’une incrustation vestibulaire en porcelaine, destinée à servir d’élément de rétention de bridge. 2 Au cours des années 1930, cette couronne à tenon monobloc a été délaissée en faveur de la reconstitution corono-radiculaire coulée (familièrement appelée inlay-core), élaborée sur mesure. Cette technique nécessitait la coulée du composant corono-radiculaire indépendamment de la couronne.2 Réalisée en deux temps, elle permettait une meilleure adaptation marginale et la pose de la couronne selon divers trajets d’insertion.1
Plusieurs études cliniques ont mis en évidence des défaillances des couronnes à tenon (Fig. 1).3 Un grand nombre de ces études ont rapporté que le taux d’échec de restaurations réalisées au moyen de reconstitutions corono-radiculaires sur des dents dépulpées, est supérieur à celui de restaurations de dents pulpées.3 On a identifié plusieurs causes importantes de défaillance des restaurations à tenon, notamment les caries secondaires, l’échec du traitement endodontique, les maladies parodontales, le descellement du tenon, la défaillance du ciment, la séparation du tenon et du faux moignon, la séparation de la couronne et du faux moignon, la perte de rétention du tenon, la fracture du faux moignon, la perte de rétention de la couronne, la déformation du tenon, la fracture du tenon, la fracture de la dent, et la fracture de la racine.4,5,6 La corrosion des tenons radiculaires métalliques a également été évoquée comme cause de fracture radiculaire.7
Aujourd’hui, le clinicien peut choisir parmi une variété de reconstitutions corono-radiculaires, selon les diverses exigences endodontiques et restauratrices. Ces systèmes et techniques sont largement documentés dans la littérature.8-10 Toutefois, il n’existe aucun système qui apporte la solution de restauration parfaite à l’ensemble des cas cliniques, et chaque situation requiert donc une évaluation individuelle. La reconstitution corono-radiculaire coulée classique et individualisée, permet une meilleure adaptation géométrique en présence de canaux excessivement évasés ou elliptiques, et nécessite presque toujours une élimination minimale de la structure dentaire.1 Les reconstitutions corono-radiculaires coulées individualisées conviennent bien aux canaux de très forte conicité ou aux canaux dont la section transversale n’est pas circulaire et/ou présente une forme irrégulière, ainsi qu’aux racines associées à une structure dentaire coronaire résiduelle minimale.9 Les modèles de tenons radiculaires coulés et individualisés peuvent être élaborés directement dans la cavité buccale, ou indirectement au laboratoire. Quoi qu’il en soit, cette technique nécessite deux rendez-vous et implique des frais de laboratoire. Étant donné que la coulée est effectuée dans un alliage dont le module d’élasticité peut être dix fois plus élevé que celui de la dentine naturelle,11 une incompatibilité éventuelle peut également créer des points de contrainte dans la racine, moins rigide, et entraîner une séparation ou une défaillance du tenon. La transmission des forces occlusales dans la reconstitution corono-radiculaire métallique peut en outre concentrer les contraintes dans des zones spécifiques de la racine et causer une fracture radiculaire.11 Finalement, d’un point de vue esthétique, le tenon métallique coulé peut être la cause d’un aspect décoloré et ombré de la gencive, et de la zone cervicale de la dent.
embedImagecenter("Imagecenter_1_1095",1095, "large");
Une autre solution est la reconstitution corono-radiculaire préfabriquée. Ces types de reconstitutions sont classées selon leur géométrie (forme et morphologie) et la technique de rétention, qui peut être active ou passive. Les tenons actifs s’incrustent dans les parois dentinaires de la préparation lors de l’insertion, alors que les tenons passifs n’affectent pas la dentine mais reposent sur le ciment pour la rétention.1 La morphologie et les formes fondamentales de la surface des tenons sont coniques et cannelées, coniques et lisses, coniques et filetées, cylindriques et cannelées, cylindriques et lisses, et enfin, cylindriques et filetées. Tandis que les tenons actifs ou filetés sont plus rétentifs que les tenons passifs, les tenons actifs génèrent une contrainte importante pendant la mise en place, et augmentent la prédisposition à la fracture radiculaire lors de l’application des forces occlusales. Les tenons cylindriques cannelés sont les plus rétentifs des tenons passifs préfabriqués, et les tenons coniques lisses sont les moins rétentifs parmi tous les modèles existants.2
Les tenons métalliques préfabriqués traditionnels sont constitués d’un alliage de platine-or-palladium, de laiton, de nickel-chrome (acier inoxydable), de titane pur, d’alliages de titane, et d’alliages de chrome.2, 4 Bien que l’acier inoxydable soit plus solide, les réactions indésirables potentielles des tissus au nickel, ont contribué à favoriser l’utilisation d’alliages de titane.12 Des facteurs prédisposant à la fracture radiculaire, tels que la rigidité excessive (module d’élasticité)13 et la corrosion2 de nombreux de ces tenons métalliques, ont suscité des inquiétudes quant à leur utilisation.
Les tenons non métalliques préfabriqués ont été proposés comme solutions de rechange, notamment les tenons en céramique (zircone blanche) et en résine renforcée de fibres. Les tenons en zircone ont une résistance élevée à la flexion, sont biocompatibles, et résistent à la corrosion. Cependant, la découpe intra-orale de ce matériau au moyen d’une fraise diamantée est malaisée, ainsi que son extraction du canal pour un retraitement.4 Le système de reconstitution corono-radiculaire en résine composite renforcée de fibres offre plusieurs avantages : technique réalisable en une seule visite, aucun frais de laboratoire, aucune corrosion, taux de fracture radiculaire négligeable, aucune dimension requise de l’orifice, rétention accrue en raison des irrégularités de surface, conservation de la structure dentaire, et aucun effet négatif sur l’esthétique.
La réussite de la réhabilitation de toute dent restaurée par un acte endodontique impliquant le système à tenon, requiert la prise en compte d’un aspect conceptuel spécifique de la structure que l’on appelle l’effet ferrule. La stabilité de la couronne prothétique dépend de la méthode de préparation de la dent. La préservation de la structure dentaire durant cette préparation est prioritaire, pour éviter des concentrations de contrainte au niveau de la jonction cémento-amélaire de la dent restaurée. Elle permet également d’accroître la résistance à la fracture dentaire. À la fin du traitement, la couronne prothétique doit encercler le complexe dent-reconstitution corono-radiculaire, préparé selon un modèle de ferrule adéquat. Cet effet ferrule au niveau cervical crée une caractéristique antirotationnelle qui assure la stabilité de la couronne. Les études cliniques ont démontré et confirmé l’importance de cet « anneau cervical » coronaire dentaire, sur la forme de rétention et la résistance mécanique, de la dent restaurée par un acte endodontique.14 La ligne directrice générale préconise une préparation comportant 1 à 2 mm de structure dentaire saine. Dans les techniques qui consistent à réaliser un épaulement sur la structure dentaire et une préparation axiale de la reconstitution corono-radiculaire, la conception de ferrule fait notablement défaut. Dans le cas où la structure dentaire saine est insuffisante pour préparer la ferrule, il est nécessaire d’obtenir cette dimension en recourant à une élongation coronaire par chirurgie parodontale et/ou des techniques d’égression dentaire orthodontique.
Actuellement, la demande accrue de systèmes de tenons et faux moignons, cliniquement convenables et permettant de remplacer la structure dentaire perdue, a pourvu le clinicien d’une surabondance de choix simplifiés de restauration par reconstitution corono-radiculaire réalisable en une visite. Toutefois, compte tenu des considérations précédentes, on peut comprendre les doutes des cliniciens quant à la sélection des matériaux et des techniques de restauration, qui permettront d’obtenir des résultats idéaux après la reconstitution corono-radiculaire. Bien que la quête du matériau qui restaurera idéalement la structure dentaire perdue demeure une cible de la recherche dentaire moderne, l’exposé qui précède démontre que le clinicien dispose actuellement d’un grand nombre de matériaux et de techniques de reconstruction corono-radiculaire, pour une variété de procédures cliniques. Par conséquent, chaque cas clinique doit être évalué à titre individuel.1
Selon les études menées par des associés de recherche clinique, les systèmes renforcés avec des fibres sont supérieurs aux tenons métalliques préfabriqués. Les dernières années ont été témoins d’une transition majeure des reconstitutions corono-radiculaires métalliques coulées, fabriquées sur mesure, vers des reconstitutions corono-radiculaires en résine composite.15 Les systèmes de tenons composites préfabriqués remplacent les systèmes de tenons métalliques car la technique adhésive avec le système de tenon composite renforcé de fibres, apporte une résistance accrue au niveau de l’interface de la restauration dentaire après le collage. Dès lors, le tenon renforcé de fibres offre un avantage après l’assemblage. Le système de tenon composite renforcé de fibres possède un module d’élasticité similaire à celui de la dentine après le collage, alors que l’assemblage au moyen d’un tenon métallique présente un module d’élasticité beaucoup plus élevé. L’illustration suivante démontre l’utilisation d’un système de reconstitution corono-radiculaire en résine composite renforcée de fibres, pour restaurer une incisive centrale maxillaire droite qui a été fracturée et a fait l’objet d’un traitement endodontique.
Note de la rédaction : cet article est paru dans DT Study Club, numéro 01/2014.
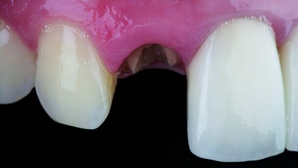
Figs. 1 a & b_Échec de la restauration d’une couronne entièrement en céramique, posée sur l’incisive centrale maxillaire droite, survenant après le traitement endodontique. Une dimension minimale de 1 mm est nécessaire pour préparer la ferrule.
Figs. 2 a & b_Après la détermination de la longueur intracanalaire souhaitée du tenon (1/2 à 2/3 de la longueur du canal), la gutta-percha a été éliminée avec une série d’instruments de mise en forme préalable (foret Gates Glidden, SybronEndo ; foret Rebilda Post, VOCO).
Fig. 3_La préparation canalaire prévue pour un tenon en fibres préfabriqué, a été réalisée au moyen d’un foret à codification couleur (foret Rebilda Post, VOCO), après avoir déterminé la longueur et la taille intraradiculaire souhaitées pour le tenon choisi.
Fig. 4_Le tenon en composite renforcé de fibres présélectionné (Rebilda Post, VOCO) a été placé dans l’espace canalaire, et la hauteur coronaire a été mesurée et marquée à la longueur voulue, au moyen
d’un disque diamanté. Le tenon a été nettoyé avec de l’alcool et la surface traitée au silane (Ceramic Primer, VOCO), puis séchée à l’air après 60 secondes.
Figs. 5 a & b_Un adhésif automordançant bipolymérisable (Futurabond DV, VOCO) a été déposé au moyen d’un applicateur (Endo Tim, VOCO) sur la base
de l’espace destiné au tenon, séché à l’air, puis tout excès d’adhésif a été absorbé avec une pointe de papier endodontique, en lui imprimant un rapide mouvement intermittent.
Fig. 6_Un ciment résine bipolymérisable (Bifix QM, VOCO) a été injecté dans le canal du tenon en utilisant un embout coudé (Intrabuccal Tip, type 1, VOCO). Il est essentiel de retirer l’embout lentement lors de l’injection, afin de prévenir une intégration de bulles d’air.
Figs. 7 a & b_Le tenon en fibres a immédiatement été inséré dans l’orifice prévu à cet effet à la base du canal préparé et photopolymérisé en différents endroits pendant 2 minutes (7a). Après la photopolymérisation, le tenon en fibres a été coupé avec une fraise diamantée à la distance prédéterminée. Ne jamais utiliser d’instrument cannelé ou cisaille car cela peut endommager l’intégrité du tenon (7b).
Figs. 8 a–d_Un adhésif automordançant bipolymérisable (Futurabond DC, VOCO) a été appliqué sur le reste de la surface dentinaire et photopolymérisé pendant 10 secondes (a). Un matériau composite fluide de reconstitution corono-radiculaire, bipolymérisable et radiopaque (Rebilda DC, VOCO) a été injecté sur la face coronaire du tenon (b), sculpté au moyen d’un instrument interproximal à longue lame (c), lissé avec une brossette sablée no 2 pour obtenir une dimension et une forme géométrique idéales, et photopolymérisé pendant 40 secondes (d).
Fig. 9_Reconstitution corono-radiculaire en composite renforcé de fibres terminée. La réalisation d’une ferrule circonférentielle de 1 mm sur la structure dentaire saine, garantit la rétention et la résistance mécanique.
Fig. 10_Intégration optimale de l’adhésif entre les composants du système à tenon, qui assure une intégrité structurelle à la réhabilitation intraradiculaire.
Suggestions de lecture, disponibles sur www.quintpub.com :
« Esthetic and Restorative Dentistry: Material Selection and Technique, Second Edition. »
« What’s in Your Mouth? Your Guide to a Lifelong Smile. »
« Smile! Your Guide to Esthetic Dental Treatment. »
Références
1. Smith CT, Schuman NJ, Wasson W. Biomechanical criteria for evaluating prefabricated post- and-core systems: A guide for the restorative dentist. Quintessence Int 1998;29: 305-312.
2. Smith CT, Shuman N. Prefabricated post-and-core systems: An overview. Compendium 1998;19:1013-1020.
3. Roberts DH. The failure of retainers in bridges prostheses. Br Dent J 1970;128:117-24.
4. Asmussen E, Peutzfeldt A, Heitmann T. Stiffness, elastic limits, and strength of newer types of endodontic posts. J Dent 1999;27:275-278.
5. Zuckerman GR. Practical considerations and technical procedures for post- retained restorations. J Prosthet Dent 1996;75:135-139.
6. Sirimai S, Riis DN, Morgano SM. An in vitro study of the fracture resistance and the incidence of vertical root fracture of pulpless teeth restored with six post-and-core systems. J Prosthet Dent 1999;81:262-269.
7. Purton DG, Payne JA. Comparison of carbon fiber and stainless steel root canal posts. Quintessence Int 1996;27:93-97.
8. Hudis SI, Goldstein GR. Restoration of endodontically treated teeth: A review of the literature. J Prosthet Dent 1986;55:33-38.
9. Rosenstiel SF, Land MF, Fujimoto J. Contemporary Fixed Prosthodontics, 1st Ed. St. Louis: Mosby, 1988:198-218.
10. Ziebert GJ. Restoration of endodontically treated teeth. In: Malone WFP, Koth DL, Cavazos, E, Kaiser DA, Morgano SM, (eds). Tylman’s Theory and Practice of Fixed Prosthodontics. 8th Ed. St. Louis: Ishiyaku-EuroAmerica, 1989: 407-418.
11. Freedman G. The carbon fibre post: metal free, post-endodontic rehabilitation. Oral Health 1996;86:23-30.
12. Christensen GJ. Post and cores: State of the art. J Am Dent Assoc 1998;129:96-97.
13. Assif D, Bitenski A, Pilo R, Oren E. Effect of post design on resistance to fracture of endodontically treated teeth with complete crowns. J Prosthet Dent 1993; 69:36-40.
14. Terry DA, Leinfelder KF, Geller W. Aesthetic & Restorative Dentistry: Material Selection & Technique. 1st ed. Stillwater, MN: Everest Publishing Media; 2008.
15. Clinical Research Associates. Posts: a shift away from metal? CRA Newsletter 2004;28(5):1-3.
La récession gingivale est définie comme un site ou un déplacement de la gencive marginale apicale vers la jonction ...
Le traitement des insuffisances osseuses est un défi quotidien pour tous les praticiens en implantologie ; notamment quand cela concerne la zone ...
DALLAS, États-Unis : Selon des données issues d’une enquête gouvernementale réalisée en 2019, environ 29 millions d’Américains consultent chaque ...
Après la première manifestation du 30 septembre dernier, l’ensemble des organisations de chirurgiens-dentistes appellent à ...
SARREGUEMINES, France : Visalys Core est notre nouveau composite fluoré à double mode de polymérisation pour la reconstitution de ...
Les plaintes déposées par les patients constituent l’un des aspects les plus stressants de l’exercice clinique en dentisterie et sont largement ...
HARRISBURG, PA, États-Unis : Un certain nombre d'études ont mis en avant les relations entre la parodontite et des maladies systémiques...
La carie est l’affection la plus courante chez l’être humain. Presque tout le monde en est atteint un jour ou l’autre dans sa vie. On estime ...
La première étude qualitative en ligne sur les chirurgiens-dentistes, DentoScan de M+W Dental vient de rendre ses premiers résultats. ...
NEW YORK, USA/LEIPZIG, Allemagne: Les travaux de recherches sur les cellules souches dentaires, présentés à New York lors du premier ...
À la demande
webinaire en ligne
Ms. Ellen Karlin, Dr. Sara Karlin
Webinaire en direct
jeu. le 7 mai 2026
à 17h00 (CET) Paris
Webinaire en direct
jeu. le 7 mai 2026
à 18h00 (CET) Paris
Webinaire en direct
jeu. le 7 mai 2026
à 18h00 (CET) Paris
Dra. Maria Carolina Erhardt, Dra. Thais Tomé Feldens
Webinaire en direct
jeu. le 7 mai 2026
à 20h30 (CET) Paris
Webinaire en direct
lun. le 11 mai 2026
à 18h00 (CET) Paris
Webinaire en direct
lun. le 11 mai 2026
à 19h00 (CET) Paris
To post a reply please login or register