En général, la pose d’un implant après une extraction dentaire est réalisée lorsque l’alvéole a cicatrisé. Toutefois, en raison de la longue période d’attente avant que le clinicien ne puisse poursuivre le traitement, cette méthode peut avoir des incidences négatives, notamment une perte de hauteur osseuse et un affaissement du tissu mou qui risquent de compromettre fortement l’harmonie du secteur antérieur. C’est pourquoi la pose immédiate d’un implant (type 1) peut être une occasion extraordinaire de préserver l’esthétique. La crainte de l’échec, surtout dans le cas d’une alvéole infectée, représente le principal obstacle au choix de la pose d’un implant de type 1.1–5
Le laser en implantologie
Les lasers se prêtent a de nombreuses applications en implantologie, par exemple :6
_Le dégagement atraumatique d’implants enfouis pour prévenir la perte d’os crestal.
_Le remodelage du tissu mou peri-implantaire.
_La sculpture du profil d’émergence des éléments prothétiques.
_Le décollement de lambeaux chirurgicaux.
_Le remodelage osseux.
_La création de l’architecture parabolique des tissus.
_Le prélèvement osseux de greffons monobloc.
_La préparation d’une fenêtre lors des procédures d’élévation du plancher sinusien.
_L’expansion crestale par clivage.
Le débridement d’alvéoles après une extraction dentaire en vue de la pose immédiate d’un implant.
Selon les résultats des recherches, la minéralisation de l’alvéole peut ne pas être suffisante après trois mois. Un soutien supplémentaire doit donc être apporté pour obtenir la densité osseuse adéquate et une meilleure ostéo-intégration après la pose d’un implant, spécifiquement dans le cas d’un protocole implantaire de type I.7 Il semble que les diodes lasers permettent aux cliniciens d’obtenir les meilleurs résultats lorsqu’ils posent un implant dans une alvéole non-cicatrisée.
D’une part, l’intensité élevée d’une diode laser peut éliminer les cellules épithéliales sur 2 ou 3 mm au niveau du rebord de la gencive, et retarder la migration de ces cellules en direction de la surface de l’implant. Elle peut aussi prévenir la formation d’une poche autour de l’implant et créer une zone stérile pour la procédure d’implantation. D’autre part, il est souvent possible de régler une diode laser sur une basse puissance de sortie, afin de réaliser une biostimulation (thérapie laser de basse puissance ou LLLT) et accélérer ainsi le processus de cicatrisation. Le présent article porte sur l’ostéo-intégration assistée par laser sans recours à des substituts osseux.
Anamnèse et diagnostic
Une patiente âgée de 25 ans s’est présentée pour le traitement d’une incisive droite fracturée.
Selon ses antécédents médicaux, la patiente ne souffrait d’aucun trouble d’origine systémique ni d’allergie, elle ne prenait pas de médicaments et n’avait subi aucune intervention chirurgicale antérieure. Il n’a donc pas été nécessaire d’adresser la patiente à un service de consultation médicale préalable.
Un examen oral et maxillo-facial de la patiente n’a indiqué ni trouble myofascial, ni dysfonctionnement de l’articulation temporo-mandibulaire, ni tics fonctionnels ou parafonctionnels, mais par contre une occlusion de classe I et un manque d’hygiène bucco-dentaire. D’après les résultats cliniques, la dent était infectée et présentait a l’évidence une fracture corono-radiculaire (Fig. 1).
La région apicale contenait l’orifice d’une fistule, mais aucune douleur ou enflure n’était présente. L’examen radiographique a révélé une lésion radio claire au niveau de la partie apicale de la dent concernée. Le diagnostic a établi l’inutilité d’un traitement conservateur de la dent et il a donc été décidé de procéder à son extraction atraumatiques, suivie par la pose d’un implant dentaire (Fig. 2). La patiente a signé le formulaire de consentement et ses données ont été réexaminées (fiche d’examen et radiographie, consentement, etc.). Ensuite, une prophylaxie antibiotique lui a été prescrite (pénicilline V, 500 mg, 4 fois par jour, par voie orale, à commencer la veille de l’extraction).
embedImagecenter("Imagecenter_1_2265",2265, "large");
Traitement initial
Le diagnostic étant établi, le plan de traitement consistait à extraire la dent puis à accélérer la cicatrisation de la plaie au moyen d’un dispositif laser. Le site chirurgical a été anesthésié par infiltration de 1,8 ml de lidocaine a 2 pour cent avec épinéphrine 1:100 000, afin de procéder à l’extraction atraumatique. La zone nécessitant un contrôle a ensuite été délimitée et des pictogrammes de danger ≪ rayonnement laser ≫ ont été mis en place, afin d’assurer la sécurité au bloc opératoire. Une protection oculaire a en outre été fournie à la patiente, a la personne qui l’accompagnait et à l’assistant.
Après l’extraction de la dent (Figs. 3 et 4), l’alvéole a été débridée et irriguée avec une solution saline normale. Le système laser a ensuite été étalonné de façon à exposer la région traitée à un rayonnement de basse puissance (LLLT), afin d’accélérer la cicatrisation de la plaie. Les paramètres utilisés étaient les suivants : longueur d’onde de 980 nm, puissance de sortie de 1 W, temps d’irradiation de 20 s, dimension de la tâche laser de 3 mm, densité de puissance de 1,41 W/cm2 au niveau de l’embout de la pièce à main réglée à basse puissance, diamètre de douille de 8 mm, surface touchée par le faisceau laser de _r2 =0,5024 cm2, densité de puissance de 0,199 W/cm2 au niveau de la surface cible, dose de 3,98 J/cm2, mode sans contact (à 1 mm de l’orifice) et mouvement rotatif au niveau de l’orifice, dose unique.
Après le traitement, il a été recommandé à la patiente de veiller à brosser légèrement la zone traitée, afin de la maintenir propre et exempte de plaque, de continuer le traitement par antibiotiques, et si nécessaire, de prendre des analgésiques disponibles en vente libre. La visite suivante a été fixée une semaine après le traitement initial, afin de procéder à la pose de l’implant.
Pose de l’implant
L’implant a été pose la semaine suivant le traitement initial. Apres une reconfirmation du consentement et la prise des mesures de sécurité pour l’irradiation laser, le site chirurgical a été anesthésie par infiltration de 1,8 ml de lidocaïne à 2 pour cent avec épinéphrine 1:100 000.
Le système laser a d’abord fait l’objet d’un nouvel étalonnage impliquant le clivage de la fibre, l’orientation du faisceau, l’amorçage de la fibre sur un papier a articuler et un test de tir du laser, ceci afin de percer un trou au niveau de l’orifice de l’alvéole, en vue de commencer le forage et d’obtenir une désepithelialisation de la gencive attachée sur environ 3 mm autour de l’orifice. Durant le traitement, une aspiration à haut volume a été utilisée pour évacuer le panache de vapeur et les odeurs désagréables se développant au niveau du site d’intervention. Le tissu carbonise a ensuite été éliminé, au moyen d’une brosse pour micro-application imbibée d’une solution de peroxyde d’hydrogène a 3 pour cent. La création du trou et la désepithelialisation gingivale (Fig. 5) ont été réalisées a l’aide d’une diode laser émettant à 980 nm, a une puissance de 1 W, fibre de 400 μm, amorcée, onde continue et mode contact. Cette procédure a été suivie par la pose de l’implant (Fig. 6).
Les paramètres du laser définis pour l’accélération du processus d’ostéo-intégration étaient les suivants : longueur d’onde de 980 nm, puissance de sortie de 0,1 W, temps d’irradiation de 20 s, dimension de la tache laser de 3 mm, densité de puissance de 1,41 W/cm2 au niveau de l’embout de la pièce a main réglée a basse puissance, diamètre de douille de 8 mm, surface touchée par le faisceau laser de _r2 = 0,5024 cm2, densité de puissance de 0,199 W/cm2 au niveau de la surface cible, dose de 3,98 J/cm2, mode sans contact (à 1 mm de l’orifice) et mouvement de rotation au niveau de l’orifice.
La face vestibulaire et la face palatine de l’alvéole ont été exposées a un rayonnement de même intensité immédiatement après la pose de l’implant (la dose totale pour les trois sites de la première séance s’élevait a 11,94 J/cm2). Ensuite, le même protocole a été répété deux fois par semaine mais avec un temps d’irradiation de 15 s et par conséquent une dose de 2,985 J/cm2 (la dose totale pour les trois sites et par séance s’élevait a 8,955 J/cm2). Le traitement LLLT a été réalisé à intervalles de deux semaines. Pour terminer, un bridge provisoire en composite a été fabrique et mis en place, afin de préserver l’esthétique
Résultat définitif et suivi
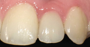
L’implantation s’est déroulée parfaitement, sans saignement, brûlure ou carbonisation. La stabilité primaire de l’implant etait excellente. La patiente n’à éprouvé aucun désagrément et s’est montrée très satisfaite du traitement. La première visite suivant la pose de l’implant de type 1 a eu lieu deux jours après la procédure. Le processus de cicatrisation se déroulait comme prévu dans la mesure où il progressait de manière satisfaisante et sans aucune enflure ou douleur. Le traitement LLLT a été réalisé et après ces deux jours, la visite suivante a été fixée deux semaines plus tard, en vue de la prochaine seance LLLT. Finalement, au terme d’un suivi de deux mois, le traitement a été considéré comme une réussite, avec une excellente osteo-intégration et un volume de tissu mou suffisant pour garantir l’esthétique du site (Figs. 7–11).
Discussion
Le traitement LLLT est largement utilisé dans de nombreux cabinets dentaires.8, 9 Dans ce type de traitement, l’interaction entre le tissu et le laser n’est pas photothermique.10, 11 Ce traitement étant dépendant de la dose,12, 13 il y a lieu d’être vigilant aux paramètres du laser.14 Les mécanismes moléculaires exacts du traitement LLLT ne sont pas encore bien compris, mais ses effets cliniques sur le contrôle de la douleur, la réduction de l’inflammation et la cicatrisation des plaies ont fait l’objet de nombreuses recherches.15–17
En implantologie, les diodes lasers peuvent être utilisées pour la prise en charge des tissus mous.18 Les résultats que nous avons obtenus dans ce cas démontrent qu’une diode laser peut être utilisée pour la pose d’un implant de type 1, afin de parvenir à une ostéo-intégration efficace. Gomes et al. ont demontré que le traitement LLLT améliore la régénération de l’os péri-implantaire, et de ce fait, la stabilité et la formation osseuse.19 De Vasconcellos et al. ont rapporté que le traitement LLLT dans l’infrarouge peut améliorer le processus d’ostéointégration dans l’os normal et l’os osteopenique, surtout en raison de ses effets pendant la phase initiale de formation osseuse.20 Le traitement LLLT peut favoriser la stabilite de l’implant et améliorer la cicatrisation autour du site chirurgical par stimulation de la synthèse d’ATP et de l’angiogénèse, réduction de l’inflammation et augmentation de la prolifération des ostéoblastes.21-23 Par ailleurs, le traitement LLLT peut améliorer la fixation des fibroblastes sur les surfaces des implants24 et accroitre l’activité des ostéoblastes.25
Conclusion
Selon le protocole laser utilisé dans cette étude, la diode laser peut être utilisée pour la pose d’un implant de type 1, avec ou sans substituts osseux, afin d’obtenir une meilleure osteo-intégration et une meilleure stabilité de l’implant._
Note de la rédaction : une liste des références est disponible auprès de l’éditeur. L´article a été publié dans le magazine DT Study club 3/2015.
Les maladies parodontales sont parmi les pathologies de la bouche les plus répandues. La parodontite chronique, caractérisée par une ...
L’agénésie des incisives latérales est loin d’être rare. Dans certaines communautés, nous observons une incidence atteignant 3 % chez les jeunes. ...
BENSHEIM/SALZBURG, Autriche : Sirona publie en tirage spécial le magazine anglophone « Laser – international magazine of laser ...
Ces dernières années sont apparues de nombreuses familles de lasers dentaires, nous nous intéressons ici à un laser diode qui a ...
Dr Simone Marconcini est directeur de recherche scientifique à l’Institut toscan de stomatologie à Lido di Camaiore et co-directeur du Master en ...
Les lasers diodes rencontrent un certain succès en odontologie pour diverses raisons parmi lesquelles leur faible encombrement, leur utilisation ...
_La thérapeutique implantaire est devenue une alternative largement répandue pour remplacer les dents manquantes. Bien que des ...
Dans une publication précédente les principales caractéristiques d’un laser diode, original parce que couplant plusieurs ...
LiteMedics est un laser diode de 980nm délivrant une puissance maximum de 12W. Ce laser 100% Italien garanti 3 ans est fabriqué par la ...
RENNES, France : Les lasers permettent de traiter aussi bien les tissus durs que les tissus mous. Il en existe plusieurs sortes dont les modes ...
Webinaire en direct
jeu. le 14 mai 2026
à 18h00 (CET) Paris
Webinaire en direct
jeu. le 14 mai 2026
à 20h00 (CET) Paris
Prof. Hani Ounsi DDS PhD FICD
Webinaire en direct
mar. le 19 mai 2026
à 17h00 (CET) Paris
Webinaire en direct
mar. le 19 mai 2026
à 19h00 (CET) Paris
Prof. Dr. med. dent. Ivo Krejci
Webinaire en direct
mer. le 20 mai 2026
à 13h00 (CET) Paris
Dr. Graham Carmichael BDSc (Hons), DClinDent (Pros), FRACDS, Dr. Robert Gottlander DDS
Webinaire en direct
mer. le 20 mai 2026
à 15h00 (CET) Paris
Webinaire en direct
mer. le 20 mai 2026
à 19h00 (CET) Paris
Prof. Dr. med. dent. Tim Joda PhD, MSc, eMBA
To post a reply please login or register