Les maladies parodontales sont parmi les pathologies de la bouche les plus répandues. La parodontite chronique, caractérisée par une inflammation locale due à une infection par des bactéries pathogènes, détruit les structures de soutien de la dent, y compris les ligaments parodontaux, le cément et l’os alvéolaire. Une maladie parodontale non traitée conduit alors à la perte des dents, parce que le dispositif de fixation et les structures de soutien de la dent sont détruits. Les objectifs du traitement parodontal sont d’arrêter la progression de la maladie parodontale et de régénérer les structures perdues suite à la maladie. Puisque les maladies parodontales sont considérées à la fois comme chroniques et destructrices, plus le diagnostic et le traitement seront précoces, meilleur sera le pronostic pour le patient.
L’inflammation parodontale est réversible si elle est limitée aux régions des tissus mous (gingivite), mais lorsque le tissu osseux de soutien est impliqué (parodontite), la situation n’est pas réversible si elle n’est pas traitée. Pour atteindre ces objectifs, il est essentiel d’éliminer les facteurs étiologiques, comme la plaque adhérente, le tartre dentaire et le cément malade, de la surface de la racine et du tissu conjonctif infecté dans les défauts intra-osseux autour des dents. Récemment, diverses thérapies régénératives en conjonction avec la chirurgie à lambeau, ont été utilisées pour le traitement de la parodontite avancée. Fondamentalement, cependant, le succès de ces thérapies dépend toujours d’un débridement complet de la surface de la racine contaminée, et de l’élimination du tissu de granulation infecté. L’objectif est de préserver la dent naturelle. De nombreuses variables sont considérées, pour déterminer si une intervention chirurgicale de réduction de la profondeur des poches sera bénéfique pour l’hygiène buccale du patient.
Chirurgie parodontale avec un laser Er:YAG
Habituellement, l’élimination du tartre et des tissus mous malades, est réalisée avec des instruments mécaniques. Cependant, l’instrumentation traditionnelle mécanique à l’aide de curettes est encore très technique, demande beaucoup de temps, tout en restant parfois inefficace. Les détartreurs électriques du fait du bruit et des vibrations causés, sont une source de stress et d’inconfort pour les patients. Le traitement parodontal assisté par laser a attiré l’attention récemment, comme alternative potentielle ou complémentaire au traitement mécanique conventionnel. Différents types de lasers ont été étudiés pour complémenter le traitement parodontal. Le laser Er:YAG, émettant à une longueur d’onde de 2,94 μm, s’est révélé être utile à la fois pour les tissus durs et les tissus mous. Le laser Er:YAG a produit les résultats les plus prometteurs32 pour être utilisé en parodontologie, avec un large éventail d’applications telles que
- Incision pour le relèvement du lambeau.2, 4, 26
- Détartrage.18
- Grande capacité bactéricide.9
- Ablation des tissus de granulation.1, 27
- Effet de désintoxication sur les lipopolysaccharides de la surface des racines malades.7, 30, 31
- Ablation d’os : remodelage et façonnage, sans effets secondaires thermiques importants.
- Conditionnement favorable de la racine pour l’adhésion des fibroblastes.20, 2, 26, 1, 28, 29
Un essai clinique contrôlé a déjà été effectué par Schwarz et al.23 Ils ont montré que le traitement de la poche parodontale avec un laser Er:YAG avait obtenu des résultats équivalents ou meilleurs, par rapport à la thérapie conventionnelle avec curettes mécaniques de type Gracey. En outre, Sculean et al.24 ont signalé que le débridement par laser Er:YAG du tissu de granulation, dans les défauts intra-osseux pendant la chirurgie parodon-tale à lambeau, était aussi efficace que l’instrument mécanique conventionnel. Par conséquent, la sécurité clinique et l’efficacité du laser Er:YAG ont été démontrées à la fois pour la thérapie parodontale non chirurgicale et chirurgicale, et ce laser est devenu l’un des lasers les plus prometteurs utilisés en parodontologie.2, 24
Le but de cette étude de cas est de démontrer l’efficacité de l’utilisation d’un laser Er:YAG pour la chirurgie parodontale. L’approche classique consiste à faire une incision avec un scalpel, puis à utiliser un décolleur de périoste pour soulever un lambeau. L’ablation du tissu de granulation avec des instruments manuels et le remodelage de l’os, sont ensuite effectués avec des instruments rotatifs et des burins appropriés. L’utilisation d’un laser Er:YAG pour la chirurgie parodontale est plus rapide et plus confortable pour le patient. Cette étude de cas démontre l’utilisation du système laser LiteTouch (Syneron Dental), pour toute la procédure, pour les tissus durs et les tissus mous.4, 8, 9 Cet article montre que le laser Er:YAG peut être utilisé comme une alternative de traitement lorsque l’on travaille avec l’os.8, 14
Étude de cas de chirurgie
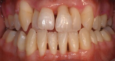
Un homme de 55 ans en bonne santé, se plaignait de mauvaise haleine et de saignements récurrents. L’examen clinique a montré un saignement au sondage (BOP) avec des profondeurs de poche au sondage (PPD) de 5 à 6 mm (Fig. 1), des dents stables sans mobilité, et l’exsudation. La radiographie a révélé une perte osseuse verticale et horizontale (Fig. 2). Par conséquent, ce cas a été classé en tant que parodontite sévère. L’hygiéniste dentaire a commencé le traitement avec un détartrage et surfaçage radiculaire, puis a montré au patient comment pratiquer une bonne hygiène buccale. Six semaines plus tard la situation a été réévaluée : il n’y avait eu aucune amélioration clinique significative ni des PPD ni du BOP. Nous avons décidé d’effectuer une intervention chirurgicale à lambeau ouvert.
embedImagecenter("Imagecenter_1_908",908, "large");
Dispositif Laser
Le dispositif laser utilisé était le système laser LiteTouch Er:YAG. Les caractéristiques de cet appareil sont une émission à 2,94 μm, une gamme d’énergie de sortie de 50 à 700 mJ/impulsion, une fréquence maximale de répétition de 11 à 50 impulsions par seconde (Hz) et une durée d’impulsion de 200 microsecondes. Le système n’utilise pas de fibre optique. Le dispositif de génération du laser est intégré dans la pièce à main. L’appareil utilise également un système spécial de pulvérisation d’eau pour refroidir la zone irradiée. L’eau mélangée à l’air est libérée coaxialement à la pointe de contact, couvrant la zone cible pendant l’irradiation. Ce système de pulvérisation d’eau permet une distribution d’eau précise et adéquate.
Un système en option d’alimentation par bouteille a été intégré dans l’appareil, pour une alimentation en solution saline stérile pendant la chirurgie. Les incisions intrasulculaire, palatines et buccales ont été effectuées avec une pointe de 600 μm sous anesthésie locale (Fig. 3). Un jet d’eau a été utilisé pour le refroidissement des tissus, tout au long de la procédure par laser erbium. Une pointe de saphir de 600 μm a été utilisée avec 200 mJ/35 Hz (= 7 W) en mode contact, à une profondeur intrasulculaire. Après le soulèvement du lambeau (Fig. 4) le tissu granulé a été enlevé par ablation et vaporisation, en utilisant une pointe de 1 300 μm, en mode sans contact, à une distance de 1 à 1,5 mm du tissu cible (Fig. 5). L’énergie utilisée pour cette procédure était de 400 mJ/20 Hz (= 8 W). Dans les embrasures étroites, où la pointe était trop large, la pointe de 1 300 μm a été remplacée par une pointe conique plus étroite (800 μm) et l’énergie a été réduite. Puisque le laser est émis par l’extrémité de la pointe et non par ses côtés, même lorsque le côté de la pointe « s’appuie » sur une autre dent pendant la libération du laser, la dent adjacente ne subit aucun dommage.
Après l’ablation des tissus mous,2 le tissu dur a été traité : pour le remodelage osseux la puissance a été réglée à 300 mJ/20 Hz1, 2, 8 (= 7 W). La pointe la plus adaptée est une pointe saphir de 1 300 μm appliquée en mode sans contact.8, 14 Pour le lissage de l’os, l’énergie appliquée est de 150 mJ/50 Hz (= 7,5 W), pointe saphir de 1 300 μm, en mode sans contact. Avant de fermer le lambeau l’énergie laser doit être appliquée sur les racines exposées en mode sans contact, sur les sites buccaux, palatins, et interproximaux à une énergie très faible de 100 mJ/35 Hz (= 3,5 W), en utilisant une pointe saphir de 1 300 μm en mode sans contact (Fig. 6).
Cette étape est importante car elle a amélioré la fixation des tissus mous à la racine et a considérablement réduit l’endotoxine bactérienne de la surface de la racine.5, 7, 9, 10, 12, 13, 15, 18, 19 Une incision verticale de décharge n’était pas nécessaire parce que la réflexion du lambeau était suffisante. Cette procédure particulière a été réalisée sans l’aide de curettes, de dispositifs rotatifs, ou de burins. Cependant, si le tartre sous-gingival avait été présent, je l’aurais retiré avec une pointe saphir biseautée (Fig. 11).
Des études montrent que le tartre sous-gingival peut être enlevé avec un laser ER:YAG.15–19 Le patient est revenu le lendemain et ne ressentait plus de douleur, et aucun gonflement n’a été observé.3, 9 Il a été prévu de revoir le patient pour un traitement d’entretien à intervalles de trois mois pendant une période de trois ans. Un an et trois mois après les interventions, le niveau d’attache clinique (CAL), la PPD, la récession, une évaluation de la quantité de plaque et des saignements, ont été effectués. Aucune profondeur des poches parodontales ne dépassait 3 mm. Les photos présentées dans les figures 1 à 12 décrivent les différentes étapes de cette étude de cas.
Certains avantages observés avec l’utilisation des lasers en chirurgie parodontale
- Moins de saignements durant la procédure.
- La décontamination du site chirurgical.
- Le laser est bactéricide18 (aucun antibiotique n’est nécessaire après la chirurgie).
- Suites postopératoires confortables (moins de gonflement et moins de douleur). Des études montrent que ceci peut être partiellement dû à la fermeture de petits vaisseaux sanguins, vaisseaux lymphatiques et terminaisons nerveuses exposées.
- Nettoyage de l’os plus efficace.1, 2, 14
- Achèvement plus rapide de la procédure chirurgicale et manipulation facile.2
- Pas de vibration de dispositifs rotatifs - confort du patient.3
- Le Er:YAG ne produit pas de boue dentinaire, laissant une surface osseuse qui est absolument propre, réduisant ainsi la possibilité d’une infec-tion secondaire.
De nombreuses études montrent que lorsque les Er:YAG et autres lasers sont appliqués à l’os, des facteurs de croissance qui améliorent une régé-nération osseuse sont libérés1 : une réparation de l’os après l’irradiation plus rapide qu’avec le forage conventionnel avec une fraise. Les implants insérés dans les cavités préparées par Er:YAG peuvent présenter un plus grand contact avec l’os que ceux préparés par les méthodes conventionnelles.14
Points particuliers à retenir
Certains points méritent une attention particulière lors de l’utilisation des lasers pour le tissu osseux
- Mouvement constant de la main pendant l’émission laser
- éviter l’application du faisceau laser sur un seul endroit plus longtemps que néces-saire. Les lasers dentaires sont par nature des dispositifs thermiques ; une longue interaction entre le laser et les tissus cibles augmente la température du tissu. Des études montrent cependant que lorsqu’il est correctement utilisé, la température générée par un faisceau laser n’est pas plus élevée que celle générée par des outils rotatifs.6, 8
- L’utilisation d’une solution saline, par opposition à de l’eau distillée comme liquide de refroidissement ; ceci afin de fournir au tissu osseux un environnement isotonique.
- Le réglage de l’énergie du Er:YAG devrait rester en dessous de 400 mJ (8 W), en gardant la pièce à main en constant mouvement.
- L’application laser sur les tissus osseux doit se faire sans contact, à une distance de 1 à 2 mm entre l’extrémité de la pièce à main et le tissu cible, quand les incisions des tissus recouvrants sont effectuées. Il est recommandé d’utiliser le mode contact jusqu’à ce que vous sentiez le contact avec l’os.
- La pulvérisation d’eau de refroidissement des tissus doit être utilisée pendant toute la procédure par Er:YAG.
Discussion
La chirurgie par Er:YAG nécessite une durée d’intervention plus courte et donne invariablement, de meilleurs résultats que les approches conventionnelles, et ainsi, des patients plus satisfaits. La définition d’un bon utilisateur de laser dentaire est celui qui sait adapter la longueur d’onde à la procédure, mais cela ne suffit pas ! L’énergie de la longueur d’onde et le mouvement et la position du rayon doivent aussi être adaptés à la procédure (énergie électrique, densité d’énergie et temps d’irradiation). Le médecin doit être bien formé et qualifié. Un niveau de qualité élevé pour l’enlèvement du tissu de granulation a été réalisé avec le laser,2, 4, 8 aucune boue dentinaire n’était présente, les tissus ont cicatrisé plus vite, et le patient se sentait mieux après cette chirurgie parodontale assistée par laser.3
Conclusion
En conclusion, le laser Er:YAG LiteTouch, peut être utilisé sans risque et efficacement pour la dégranulation et le débridement radiculaires en chi-rurgie parodontale à lambeau, sans causer d’effets secondaires thermiques importants sur la racine et les surfaces osseuses, ni de dommages pulpaires. Le laser LiteTouch possède des caractéristiques particulièrement adaptées au traitement parodontal, en raison de sa double capacité à réaliser l’ablation des tissus mous et durs avec un minimum de dommages. Le laser Er:YAG LiteTouch, semble être un outil efficace et prometteur pour le traitement et la chirurgie parodontale et exerce un effet stérilisant sur les structures dentaires._
Note de la rédaction : Une liste complète des références est disponible auprès de l’editeur. Cet article est paru dans DT Study Club, Vol. 1, No. 2, septembre 2013.
En général, la pose d’un implant après une extraction dentaire est réalisée lorsque l’alvéole a ...
Les traitements laser assistés en chirurgie et en implantologie ont longuement été décrits dans l’ouvrage « Les ...
_Introduction
La maintenance parodontale est la clé du succès dans la prise en charge des parodontites (Axelsson et Lindhe, 1981). ...
L’élimination totale des bactéries des systèmes radiculaires infectés, reste le principal objectif du traitement ...
La conduite à tenir face à toute péri-implantite doit être en premier lieu une analyse approfondie de la situation clinique et la mise en évidence...
_La thérapeutique implantaire est devenue une alternative largement répandue pour remplacer les dents manquantes. Bien que des ...
L’utilisation des lasers en chirurgie dentaire trouve son indication dans plusieurs disciplines : odontologie conservatrice, traitements ...
En 1954, Buonocore1 a déclenché une véritable révolution en dentisterie en démontrant la possibilité de renforcer ...
RENNES, France : Les lasers permettent de traiter aussi bien les tissus durs que les tissus mous. Il en existe plusieurs sortes dont les modes ...
LiteMedics est un laser diode de 980nm délivrant une puissance maximum de 12W. Ce laser 100% Italien garanti 3 ans est fabriqué par la ...
Webinaire en direct
jeu. le 14 mai 2026
à 18h00 (CET) Paris
Webinaire en direct
jeu. le 14 mai 2026
à 20h00 (CET) Paris
Prof. Hani Ounsi DDS PhD FICD
Webinaire en direct
mar. le 19 mai 2026
à 17h00 (CET) Paris
Webinaire en direct
mar. le 19 mai 2026
à 19h00 (CET) Paris
Prof. Dr. med. dent. Ivo Krejci
Webinaire en direct
mer. le 20 mai 2026
à 13h00 (CET) Paris
Dr. Graham Carmichael BDSc (Hons), DClinDent (Pros), FRACDS, Dr. Robert Gottlander DDS
Webinaire en direct
mer. le 20 mai 2026
à 15h00 (CET) Paris
Webinaire en direct
mer. le 20 mai 2026
à 19h00 (CET) Paris
Prof. Dr. med. dent. Tim Joda PhD, MSc, eMBA
To post a reply please login or register