Les restaurations directes en composites du secteur antérieur sont aujourd’hui largement utilisées dans notre pratique quotidienne grâce aux composites toujours plus performants dont nous disposons et à une méthode désormais bien codifiée. Certains cas extrêmes peuvent désormais être traités de manière directe avec une bonne prédictibilité des résultats et un coût tissulaire minimal.
Situation initiale
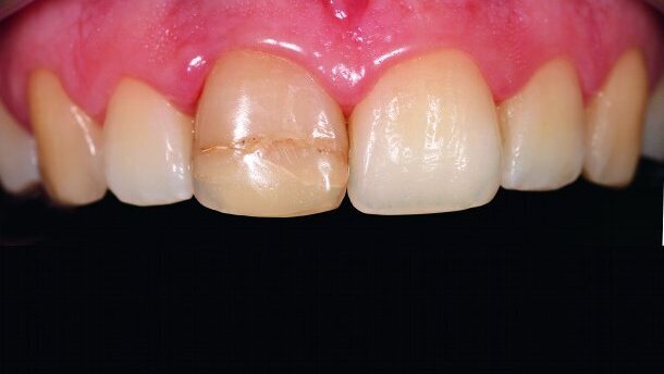
Une patiente de 24 ans se présente à la consultation pour un motif esthétique, la 11 étant très fortement colorée suite à un traitement endodontique. À l’examen clinique, on constate que suite à un traumatisme survenu il y a plusieurs années, la dent a été dépulpée et le morceau de dent fracturée a été recollé avec du composite (Figs.1 et 2). À l’examen radiologique, le traitement endodontique apparait correct, on note l’absence de tenon intraradiculaire. Hormis la teinte de la dent, la perte de substance (un peu moins de la moitié de la dent) nous autorise à choisir un traitement restaurateur direct à l’aide d’un composite, sous réserve du succès de l’éclaircissement. Ce choix répond à une nécessité clinique en se plaçant dans le gradient thérapeutique entre le composite direct « classique » et les facettes céramiques. Cette solution obtient l’accord du patient qui souhaite avant tout retrouver une teinte normale avec un délabrement dentaire minimum. Pour la réalisation du composite, notre choix se portera sur l’IPS Empress Direct (Ivoclar Vivadent) qui offre, en plus des masses dentine et émail, des masses opalescentes.
Traitements préalables
embedImagecenter("Imagecenter_1_1108",1108, "large"); Un éclaircissement interne est d’abord réalisé, son résultat conditionnant la suite du traitement. On réalise une cavité d’accès endodontique à travers le composite et on enlève 3 mm de gutta-percha sous la ligne cémento-dentinaire. Un bouchon en ciment verre ionomère de 2 mm est déposé au fond du logement, afin d’empêcher la diffusion du produit de blanchiment dans les zones sensibles. L’éclaircissement est réalisé en ambulatoire avec du perborate de sodium, mélangé à de l’eau distillée. L’accès du logement est fermé à l’aide d’une pâte d’obturation provisoire. Une semaine plus tard, la procédure est renouvelée de la même manière, la couleur de la dent n’étant pas satisfaisante. Après une nouvelle semaine, le résultat obtenu est correct. On peut remarquer que le morceau de dent recollé s’est éclairci (Fig. 3). Afin de neutraliser l’agent éclaircissant, il est impératif de mettre en place de l’hydroxyde de calcium dans le logement pendant une semaine minimum. La procédure d’adhésion ne doit se faire que 15 jours après la fin de l’éclaircissement, pour obtenir une adhésion optimale (présence d’oxygène dans les tissus dentaires qui inhibe la prise des composites) et une teinte stable.
Diagnostic esthétique et détermination de la couleur
L’examen de la forme de la 11 nous montre des dimensions correctes par rapport à la 21, étant donné que la dent a été reconstruite à l’aide du morceau fracturé. Concernant la teinte, la détermination de la couleur se fait à la lumière naturelle, avant tout acte opératoire qui risquerait de déshydrater la dent. Les masses émail et dentine sont sélectionnées à l’aide du teintier IPS Empress Direct.
La masse dentine est prise au niveau du tiers cervical et la masse émail au niveau du tiers incisal de la dent adjacente. Il faut relever aussi, avec une attention particulière, l’anatomie interne de la dent adjacente, ainsi que les différents reflets opalescents du bord libre qui seront à reproduire. Un schéma de montage est alors dessiné, définissant l’ordre des masses de composites à utiliser. Dans ce cas, 4 teintes seulement ont été choisies : A3/A2 Dentin, A2 Enamel et trans Opal®.
Réalisation d’une clé en silicone
Une clé palatine en silicone est réalisée sur la 11, sa forme et son occlusion étant correctes. Elle servira, une fois positionnée en bouche, à réaliser en un seul temps la face palatine de nos composites. Elle englobe les dents adjacentes par rapport à la dent à reconstituer et s’arrête au niveau du bord libre.
Préparation et application de l’adhésif
L’ancienne restauration est déposée à l’aide d’instruments rotatifs mais aussi soniques, pour éviter tout délabrement des dents adjacentes. La préparation de la dent doit tenir compte des propriétés mécaniques du matériau employé et de son intégration esthétique. Pour des composites « nano hybrides » tels que l’Empress Direct que nous employons ici, la préparation idéale combinant le rendu esthétique et les exigences mécaniques, est un chanfrein vestibulaire et une ligne de finition droite à 90 degrés au niveau proximal et palatin (Fig. 4).
Avant toutes procédures adhésives, il est indispensable que le site soit isolé de la cavité buccale et de ses fluides. Un champ opératoire est posé à l’aide d’une digue permettant d’isoler le bloc incisivo-canin maxillaire. Ce champ opératoire élargi, nous permet une visualisation de la ligne incisale maxillaire, du volume et de la forme des dents adjacentes. On vérifie ensuite que la clé palatine en silicone s’insère de manière précise. Au besoin, certaines parties peuvent être éliminées à l’aide d’une lame de bistouri, pour obtenir un repositionnement précis, digue en place.
On réalise ensuite la procédure d’adhésion en protégeant les dents adjacentes avec une matrice métallique. On utilise l’ExciTE® F (Ivoclar Vivadent) qui est un système adhésif avec un mordançage préalable. La cavité n’étant pas rétentive et essentiellement amélaire, on privilégie ce type d’adhésif par rapport à un système auto-mordançant. Un conditionnement acide avec un mordançage de 30 secondes sur l’émail et 15 secondes sur la dentine, est réalisé, suivi d’un rinçage abondant et d’un séchage sans déshydratation. L’adhésif est alors mis en place en frottant les parois de la cavité. Ceci favorisera sa bonne pénétration dans les tubulies dentinaires. Il est ensuite séché pour évaporer les solvants. La préparation doit apparaître « brillante » sinon l’opération est renouvelée. Une photopolymérisation de 15 secondes est ensuite effectuée en mode « Low Power » de la lampe à LED Bluephase® G2 (Ivoclar Vivadent).
Réalisation des faces palatines et proximales
La restauration commence par la mise en place de l’émail palatin. Une faible épaisseur de masse émail A2 Enamel est apposée dans la clé palatine puis lissée à l’aide d’un pinceau, jusqu’à obtenir une épaisseur n’excédant pas 0,5 mm. La clé garnie de composite est ensuite placée en bouche. Son adaptation est une nouvelle fois vérifiée et le composite peut être éventuellement ajusté avant sa polymérisation de 15 secondes en mode « Soft Start ». La paroi palatine réalisée reconstitue exactement l’étendue souhaitée pour la restauration, sans contact avec les dents adjacentes (Fig. 5).
La transformation de la cavité complexe en une cavité simple se fait ensuite, en apposant une très faible épaisseur de masse A2 Enamel au niveau des faces proximales. Cette fine épaisseur est guidée par une matrice transparente maintenue par un coin de bois interdentaire, qui permettra de dessiner les lignes de transition (surface convexe séparant les faces proximales de la face vestibulaire). La réussite des lignes de transition conditionne le succès final de la restauration, car celles-ci ne pourront être recrées à l’aide des instruments rotatifs. Le composite est donc déposé au niveau de la face distale de la 11, puis une pression controlatérale est exercée sur la matrice qui est photopolymérisée dans cette position (Fig. 6). Du composite pourra encore être rajouté et polymérisé de la même manière, jusqu’à obtenir la ligne de transition souhaitée. La face mésiale est réalisée de la même manière (Fig. 7).
Stratification du corps dentinaire
La mise en place des masses dentinaires doit répondre à la nécessité d’une désaturation de la partie cervicale vers la partie incisale et de la partie palatine vers la partie vestibulaire de la dent. Ceci est obtenu par une technique de stratification tridimensionnelle, à l’aide de masses de saturation différentes en commençant par la plus élevée, d’un degré par rapport à la teinte finale.
Dans la région la plus cervicale, nous utilisons donc la teinte A3 Dentin. L’incrément est déposé sur le mur palatin à l’aide d’une spatule plate à composite (Fig. 8), puis une couche de masse dentinaire moins saturée – A2 Dentin – est ensuite déposée et recouvre complètement la précédente. Elle va être modelée avec une pointe en silicone, pour dessiner une ligne de finition légèrement ondulée, s’arrêtant 1 mm en dessous du bord libre et recouvrant la moitié du chanfrein (Fig. 9). Cette technique permettra de laisser la translucidité de la masse émail s’exprimer au niveau du bord libre et de masquer la limite dent/composite. Chaque couche de composite est photopolymérisée en mode « Soft Start » pendant 15 secondes.
Réalisation de la surface amélaire
La mise en place d’une très fine couche de masse opalescente Trans Opal au niveau du bord libre, permet d’accentuer l’effet d’opalescence. L’effet visuel de cette masse étant très puissant, la quantité à déposer doit être minime. Une couche d’émail A2 Enamel est ensuite déposée sur la face vestibulaire en plusieurs apports, modelée à l’aide de pinceaux et photopolymérisée 15 secondes en mode « Soft Start ». Cette masse émail recouvre en totalité la restauration (Fig. 10).
Finition et polissage
Les dents de cette patiente présentent une macro géographie (dépressions verticales) et micro géographie (stries horizontales) marquées. Il a été intéressant de chercher à les reproduire, pour permettre une réflexion de la lumière naturelle sur la surface de nos restaurations. En effet, cette étape est aussi importante que le choix initial de la teinte, l’oeil humain détectant plus facilement les défauts de forme que les légères nuances de couleurs. On utilise pour cela des fraises diamantées en forme de flamme ou olive, de faible granulométrie, bague rouge puis jaune. Ces fraises doivent être utilisées sur contre-angle rouge, sans irrigation. La finition des lignes de transition et des faces interproximales est aussi une étape clé. On utilise préférentiellement des strips abrasifs en métal ou en papier, car les instruments rotatifs peuvent créer des méplats, donnant une réflexion lumineuse inadéquate. Le polissage est effectué à l’aide de pointes siliconées OptraPol® NG (Ivoclar Vivadent), avec irrigation. L’essentiel est de polir parfaitement la restauration, sans effacer le travail de surface qui a été effectué précédemment. Ce polissage est grandement facilité par l’aptitude de ce composite à être poli (Figs.11 et 12).
Conclusion
Grâce à des matériaux toujours plus performants, tels que l’Empress Direct, associés à une méthode rigoureuse, les indications des composites directs sont de plus en plus nombreuses, les limites sans cesse repoussées. L’avantage de cette réhabilitation est un gain de temps pour le patient et une économie tissulaire maximale. Néanmoins, même si on constate une parfaite intégration esthétique de la restauration, on peut craindre une récidive de la coloration de la dent, qui nécessitera certainement une réintervention.
Note de la rédaction : un webinaire du Dr Weisrock pourra être visionné prochainement sur notre site www.dtstudyclub.fr. Cet article est paru dans DT Study Club, numéro 01/2014.
Madame R., âgée de 48 ans, se présente en consultation pour une amélioration de son sourire. Elle se plaint de douleurs au niveau...
PARIS, France : Le mercredi 12 septembre à 18h30, le Dr Edouard Nègre présentera le nouveau système amélioré Invisalign Go: spécialement conçu pour ...
PARIS, France : Le système de rémunération des chirurgiens-dentistes conventionnés repose sur une organisation tarifaire spécifique. Les actes ...
ALFORTVILLE, France : L’objectif premier des laboratoires, dentistes et patients est d’obtenir une prothèse esthétique et la plus ...
Dans notre article précédent,1 nous avons démontré la maniabilité des composites thermovisqueux. Après réchauffement, le composite peut être ...
Une restauration dentaire n’est pas seulement une œuvre esthétique ; elle doit satisfaire à beaucoup d’autres exigences et s’intégrer parfaitement...
Les anomalies dento-faciales sont des modifications des proportions faciales et des rapports dentaires, et ces anomalies de l’aspect du visage et des ...
SUCY EN BRIE, France : Un sourire confiant peut transformer les interactions personnelles et professionnelles. Pour de nombreux patients, des traitements ...
FOIX, France : Lors de la rencontre l’Académie européenne d’esthétique dentaire, le docteur Carme Riera a obtenu le premier...
Le Groupe STERNE, expert de la logistique premium bas carbone est particulièrement attaché à tisser des liens de confiance avec chacun des clients pour ...
Webinaire en direct
jeu. le 14 mai 2026
à 18h00 (CET) Paris
Webinaire en direct
jeu. le 14 mai 2026
à 20h00 (CET) Paris
Prof. Hani Ounsi DDS PhD FICD
Webinaire en direct
mar. le 19 mai 2026
à 17h00 (CET) Paris
Webinaire en direct
mar. le 19 mai 2026
à 19h00 (CET) Paris
Prof. Dr. med. dent. Ivo Krejci
Webinaire en direct
mer. le 20 mai 2026
à 13h00 (CET) Paris
Dr. Graham Carmichael BDSc (Hons), DClinDent (Pros), FRACDS, Dr. Robert Gottlander DDS
Webinaire en direct
mer. le 20 mai 2026
à 15h00 (CET) Paris
Webinaire en direct
mer. le 20 mai 2026
à 19h00 (CET) Paris
Prof. Dr. med. dent. Tim Joda PhD, MSc, eMBA
To post a reply please login or register