Tandis qu’un collage efficace aux tissus dentaires apparait garanti in vitro, une telle fiabilité n’est pas toujours rencontrée en pratique clinique. Cette observation est, dans une certaine mesure, confirmée par une incidence faible mais constante de sensibilités dentinaires rapportées après placement de restaurations adhesives.1–3
Heureusement, ces réactions sont, en général, mineures et réversibles ; certaines cependant, sont plus prononcées et peuvent imposer la dépose de la restauration synonyme d’échec thérapeutique.4 L’intensité de la réponse pulpaire aux procédures de collage et de restauration est modulée par différents facteurs. Le premier d’entre eux est sans aucun doute en relation avec la physiologie du complexe pulpo-dentinaire. La capacité des résines à mouiller les surfaces dentinaires, à résister aux contraintes dues à la polymérisation et à sceller la restauration est dans tous les cas un facteur additionnel affectant la réponse pulpaire.
Au cours des différentes séquences de réalisation d’une restauration composite, le complexe pulpo-dentinaire peut subir des agressions de nature physique, mécanique, chimique ou microbiologique. Le rôle majeur de l’agression bactérienne est aujourd’hui bien établi. L’infection est, en effet, la principale cause des dommages pulpaires sous restaurations.5 Une étude conduite in vivo a pu confirmer la relation qui lie la micro infiltration bactérienne survenant sous des restaurations et l’inflammation pulpaire des dents restaurees.6 L’invasion bactérienne aurait un rôle bien plus déterminant que l’éventuelle toxicité des matériaux sur l’apparition des pulpopathies après mise en place d’une restauration.7 Toute exposition de la dent préparée à l’environnement buccal est donc potentiellement une source d’agression pulpaire. Après un rappel sur les mécanismes physiopathologiques des sensibilités dentaires cet article se propose de faire le point sur :
– Les causes à l’origine des sensibilités postopératoires ;
– les moyens cliniques disponibles pour tenter de diminuer ces complications ;
– les traitements envisageables face à une restauration composite présentant des sensibilités postopératoires.
Il est évident que face à des phénomènes de sensibilités un diagnostic différentiel devra écarter toutes autres causes pouvant être à l’origine de sensibilités : fracture, fêlure, fissure dentaire, lésion carieuse, parodontite apicale, récession parodontale, lésion par abfraction, érosion, abrasion.
Mécanismes physiopathologiques des sensibilités postopératoires
L’hypothèse hydrodynamique8, 9 est aujourd’hui largement acceptée pour expliquer la sensibilité dentinaire. Elle repose sur le fait que la plupart des stimuli générateurs de la douleur augmentent le mouvement du fluide dentinaire à l’intérieur des canalicules. Tout mouvement accru du fluide dentinaire provoque un changement de pression au travers de la dentine, ce qui active les fibres A à l’interface pulpe/dentine ou au sein des tubuli dentinaires10 (Fig. 1). Cette stimulation se produit probablement via une réponse mécano-réceptrice stimulant les nerfs de la pulpe.11
Fig. 1 : Schema illustrant l’origine des
sensibilites pulpo-dentinaires selon la
theorie hydrodynamique.
Fig. 2 : Situation initiale. 37
presente une volumineuse restauration
composite non étanche.
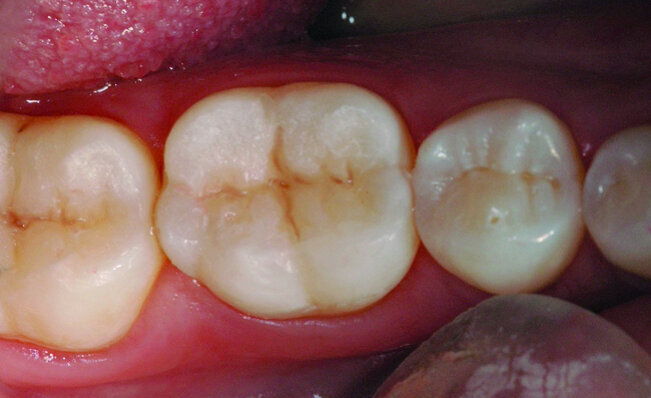
Fig.3 : Vue occlusale
après dépose de l’ancienne restauration, curetage du tissu carieux et mise en forme de la cavité pour recevoir un onlay composite.
Fig.4 : Vue clinique lors du collage sous digue de l’onlay composite.
Fig.5 : Vue occlusale post-opératoire.
Fig. 6 : Schema illustrant les consequences dentaires liees aux contraintes de polymerisation des resines composites.
Fig.7 : Les systèmes adhésifs auto-mordancants n’éliminent pas les bouchons de boue dentinaire, mais
les imprègnent c’est la raison principale qui explique le très faible taux de sensibilités postopératoires observe en clinique ce type d’adhésif contrairement aux adhésifs avec pre-mordancage a l’acide phosphorique.
Figs. 8 et 9 : La stratification horizontale n’est pas idéale car les tensions liées a la contraction de polymérisation de la résine composite vont s’exercer sur les parois opposées. La qualité du joint dent/restauration
est meilleure en utilisant une technique de remplissage oblique.
Figs. 8 et 9 : La stratification horizontale n’est pas idéale car les tensions liées a la contraction de polymérisation de la résine composite vont s’exercer sur les parois opposées. La qualité du joint dent/restauration
est meilleure en utilisant une technique de remplissage oblique.
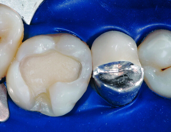
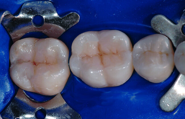
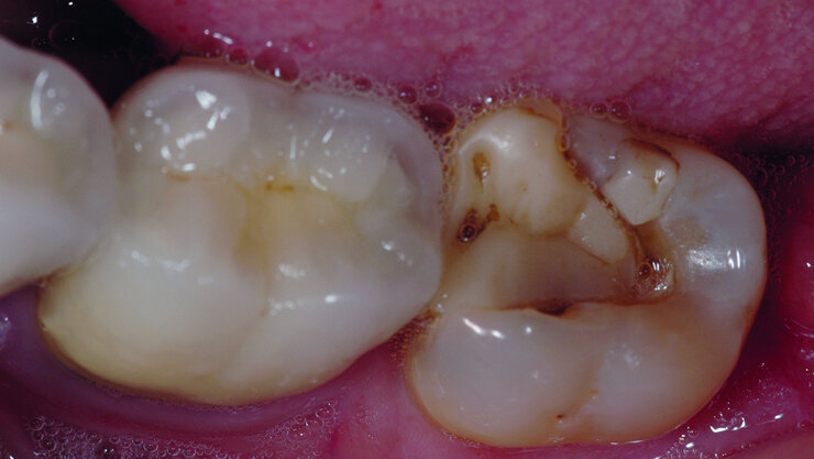
Fig.10 : Vue occlusale pre-operatoire objectivant une lesion carieuse sur 26.
Fig.11 : Vue clinique apres curetage de la lésion carieuse. On note que le plancher dentinaire est de fine épaisseur car nous voyons le parenchyme
pulpaire par transparence. Afin d’éviter toute sensibilité post-opératoire l’utilisation d’un substitut dentinaire est preconisée.
Fig. 12 : Vue clinique apres mise en place et retaille du substitut dentinaire
(CVIMAR : Fuji II LCR GC) en technique ≪ sandwich ferme ≫
Fig.13 : Vue occlusale de la restauration composite.
Fig.14 : Vue clinique post-opératoire après dépose du champ opératoire et réglage de l’occlusion
Ainsi selon cette théorie, toute réduction de la conductance du fluide permet de réduire la sensibilité dentinaire. La stimulation des fibres nerveuses par le fluide dentinaire pourrait également s’accompagner de la stimulation (étirement, compression) de la membrane du prolongement odontoblastique. In vitro, l’étirement de la membrane de l’odontoblaste provoque une libération intracellulaire d’ions potassium.12 Les ions potassium libères pourraient activer les fibres nerveuses qui entourent les odontoblastes.
L’odontoblaste se comporterait alors comme un récepteur sensoriel, intermédiaire entre le fluide dentinaire et les fibres nerveuses. Enfin, il n’est pas exclu que certains neuropeptides algogènes soient libères par les fibres nerveuses sensibilisées. Ces neuropeptides provoquent une inflammation neurogène qui accroît l’hypersensibilité dentinaire.13 Cette inflammation pulpaire peut également être provoquée par les bactéries (et leurs endotoxines) qui cheminent depuis la cavité buccale vers la pulpe dentaire via les tubuli grand ouverts. Sur le plan clinique, il apparait évident que les mécanismes des sensibilités postopératoires des restaurations adhésives sont en relation avec la perte ou l’absence d’étanchéité marginale des restaurations.
Causes des sensibilités postopératoires et leurs solutions préventives
La dent à restaurer
L’agression mécanique de la dentine lors du fraisage affecte directement la pulpe. Il est donc important de vérifier l’état de la pulpe, le passe de la dent et son contexte anatomo-fonctionnel avant d’entreprendre la préparation-dentaire. Un examen est donc nécessaire pour connaitre l’état de l’organe pulpo-dentinaire, son volume, sa situation. De nombreux facteurs interviennent dans l’établissement du diagnostic pulpaire préopératoire :
• L’âge du sujet :
La ≪ dent jeune ≫ comporte une pulpe dont les capacités de défense sont meilleures, mais dont les canalicules plus largement ouverts, sont perméables donc plus susceptibles aux phénomènes hydrodynamiques. La ≪ dent âgée ≫ est favorable : le volume pulpaire est moindre, et présente bien souvent de la dentine sclérotique.
• Le risque carieux et le type de lésion :
La présence de lésion carieuse à évolution lente se caractérise par une dentine de couleur brunâtre au niveau profond de la cavité ; la pulpe a eu le temps d’édifier de la dentine réactionnelle, très peu perméable. En revanche, si la lésion carieuse est à une évolution rapide les zones cavitaires correspondantes présentent un tissu clair, ramolli, en épaisseur non négligeable ; il faut alors adopter une attitude prudente car peu ou pas de dentine réactionnelle n’est présente. La dentine sous-jacente est donc très perméable.
Cette para fonction provoque une rétraction de la chambre pulpaire avec élaboration de dentine réactionnelle à priori favorable contre la survenue de sensibilités postopératoires ; mais il ne faut pas oublier que ce type de pulpe a déjà subi une accumulation d’agressions mécaniques ; son potentiel réparateur s’en trouve limite.
Les clichés radiographiques réalisés avec la technique des rayons parallèles (long cone) sont indispensables car ils permettent de déterminer les limites de la chambre pulpaire. Les radiogrammes retro-coronaires donnent d’excellents renseignements dans les secteurs cuspides car ils donnent une image en grandeur réelle encore plus exacte.
- Tests de sensibilité pulpaire (thermique et électrique)
Ils sont indispensables avant d’envisager toute réhabilitation coronaire. Toutefois, il faut rester prudent quant à l’interprétation des réponses aux tests, car une dent pouvait répondre positivement aux différents tests de vitalité bien qu’elle soit necrosée.14
Fraisage et préparation dentaire
La préparation des dents vivantes nécessite l’utilisation d’anesthésie pour le confort du patient et du praticien. L’absence de sensibilité pulpaire entraine un risque accru de traumatisme. Il existe également des phénomènes vaso-moteurs proprement liés à l’anesthésie (vasoconstricteurs). L’adrénaline ou noradrénaline entraîne une ischémie capillaire pouvant potentiellement être à l’origine de thromboses pulpaires, donc de nécroses. Il ne faut cependant pas exagérer les risques pulpaires de l’anesthésie, car les phénomènes microcirculatoires lies aux vasoconstricteurs et en particulier, la baisse de la pression sanguine intra-pulpaire, sont plutôt favorables à la résistance aux traumatismes hydrodynamiques.15 La température engendrée par la vitesse de rotation des instruments, la pression exercée sur la dentine et les vibrations associées à la section des prolongements odontoblastiques.16, 17 Une température supérieure à 42,5°C peut entrainer des lésions irréversibles du complexe pulpo-dentinaire.18
La préparation devra être effectuée à grande vitesse. Le refroidissement est indispensable pour éviter toute élévation de la température au niveau des tissus fraises. Les impératifs suivants doivent être respectés :19
- Le refroidissement doit se faire sous spray air - eau.
- Le jet doit venir de trois directions.
- Il doit avoir une puissance suffisante pour ne pas être dévié.
- Il doit être dirigé vers le point d’impact de la fraise.
- L’eau du spray doit être maintenue à la température la plus basse que la dent puisse supporter.
La technique du fraisage intermittent diminue les risques imposes à l’organe pulpo-dentinaire. Cependant Stanley et Swerdlow ont constaté qu’en l’absence de refroidissement, le fraisage intermittent ne peut supprimer les réactions morbides pour la pulpe. Ce qui va dans le sens de l’importance du refroidissement par spray. 20 La réalisation d’une préparation dentaire va ouvrir un grand nombre de tubules (un à deux millions en moyenne).21 Ces tubules vont donc être une voie particulièrement propice à l’invasion bactérienne. Il faudra donc éviter tout contact prolonge avec les fluides buccaux. L’utilisation de la digue durant toute la procédure opératoire (depuis la réalisation de la préparation jusqu’au polissage de la restauration) est nécessaire pour empêcher ce contact.
Taille et limite de la préparation
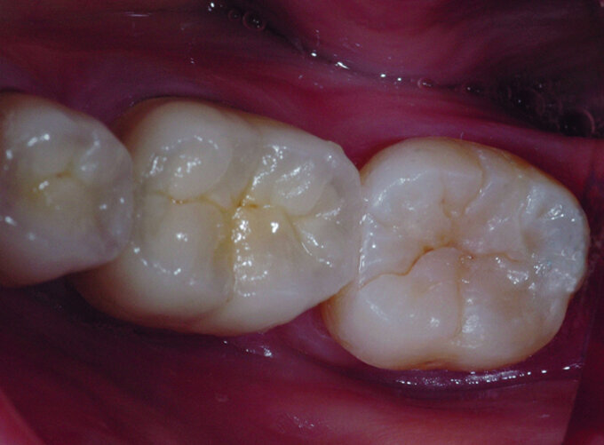
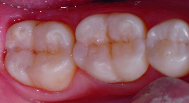
La profondeur de la cavité joue un rôle primordial dans la survenue de sensibilité postopératoire. Ce fait est étayé par une étude menée par Hayashi et Wilson, qui montrent que les restaurations composites du secteur postérieur de grandes dimensions sont plus sujettes à la survenue de sensibilités postoperatoires. Ces auteurs concluent que la taille de la cavité semble un facteur de pronostic important pour les restaurations avec sensibilités postoperatoires.22 Ainsi, les restaurations directes en composite sont recommandées pour les cavités intra coronaires de petite et moyenne taille (site 1 [stade 1 ou 2] et site 2 [stade 1 ou 2]). Pour les pertes de substance plus importantes site 1 (stade 3 ou 4) et site 2 (stade 3 ou 4), il est préférable de favoriser les restaurations indirectes23 (Figs. 2–5).
Lorsque l’épaisseur des parois résiduelles est nettement amoindrie avec ou non une destruction des cuspides, le recouvrement cuspidien est indiqué. En effet, l’apparition de fissures dentaires est extrêmement fréquente dans les cavités volumineuses restaurées par une technique adhésive en technique directe, car il est très difficile de maintenir le développement des contraintes de polymérisation au niveau des interfaces d’adhésion sous un seuil acceptable. Celles-ci sont soumises à des contraintes excessives, même avec les techniques d’obturation les plus sophistiquées. Ces contraintes de polymérisation peuvent être à l’origine de craquelures,24 de perte d’étanchéité et de sensibilités postoperatoires4 (Fig. 6). De ce fait, dans ce type de situation, une restauration indirecte, intra coronaire avec recouvrement cuspidien ou extracoronaire, devra être privilégiée. La situation de la limite cervicale par rapport au parodonte doit être prise en considération. Si la limite cavitaire est sous gingivale, une restauration collée n’est pas indiquée. Les conséquences sont inhérentes à la difficulté d’obtention d’un champ opératoire étanche à l‘origine de contamination per-operatoire, à l’exposition continue du joint au fluide gingival, mais aussi au fait que ces zones sont logiquement plus difficiles d’accès aux techniques d’hygiène. Une limite en situation sous-gingivale nécessite donc idéalement un aménagement parodontal pour parvenir à une situation supra gingivale. Si une telle procédure n’est pas envisageable, le choix d’une restauration directe (technique sandwich ouverte CVI-Composite) ou indirecte semble s’imposer.
Il convient également d’apprécier la présence et l’épaisseur du bandeau d’email cervical qui est le tissu au niveau duquel l’adhésion reste la plus fiable. En présence d’une épaisseur d’email résiduelle inférieure à 1 mm, il est plus risque de réaliser une obturation directe en composite.23 Le recouvrement de la marche cervicale par une fine couche de composite fluide absorbant les contraintes de polymérisation peut permettre d’obtenir l’étanchéité cervicale, cependant les techniques indirectes trouvent ici une de leurs indications princeps. Dans ces situations, l’utilisation de ciment verre ionomère modifie par adjonction de résine en technique sandwich ouvert représente une autre alternative pour améliorer l’étanchéité des restaurations adhésives et éviter ainsi la survenue de sensibilités postopératoires.
Fig. 15 : Vue occlusale pre-operatoire objectivant une lesion carieuse sur 16.
Fig. 16 : Le curetage de la lésion carieuse est réalisé sous champ opératoire afin d’éviter toute contamination salivaire de la plaie dentinaire.
Fig. 17 : L’email est mordance à l’acide phosphorique pendant 30 secondes.
Fig. 18 : La dentine est mordancee a l’acide phosphorique pendant 15 secondes.
Fig. 19: Apres rinçage et séchage doux (sans provoquer une déshydratation accrue de la dentine) l’email apparait blanc crayeux signe d’une efficacité de l’agent de mordançage.
Fig. 20: Un système adhésif est applique en suivant les recommandations du fabricant. Il est important de bien frotter la dentine a l’aide de microbrossette afin de l’imprégner parfaitement de système adhésif.
Fig. 21: L’adhésif est polymérisé
Fig. 22: Après polymérisation, les surfaces dentaires apparaissent lisses et brillantes objectivant une application uniforme et homogène de système adhésif.
Fig. 23: Une fine couche de composite fluide est appliquée en fond de la cavité et est polymérisée. Cette couche initiale permet une diminution du stress de contraction de 20 a 50 % du composite de restauration.
Fig. 24: Mise en place d’un premier incrément de composite de masse dentine. Chaque apport est applique sur la cavité en position oblique afin de jouer sur le facteur C.
Fig. 25: Vue occlusale après apport du deuxième incrément de masse dentine. Ce deuxième apport est appliqué
comme précédemment en position oblique.
Fig. 26: Vue occlusale après apport du troisième incrément de masse dentine. En réalisant des apports obliques de composite la situation plus favorable pour le facteur C et nous rendons la création d’une anatomie dentaire plus facile. Nous pouvons en effet voir se dessiner l’anatomie primaire de la première molaire. L’incrément dentine est appliqué uniquement au contact de la dentine. Il ne doit pas remonter trop haut sur la surface occlusale afin de laisser une épaisseur de 2 mm pour l’incrément email.
Fig. 27: Vue occlusale après apport d’un dernier apport de composite de masse email en superficie.
Fig. 28: Vue clinique objectivant l’anatomie dentaire recréer par l’apport successif d’incrément de composite.
Fig. 29: Vue occlusale après caractérisation des sillons dentaires.
Figs. 30 et 31 :
Vue après polissage de la restauration. Le champ opératoire peut alors être déposé afin de réaliser les derniers réglages occlusaux.
Figs. 30 et 31 :
Vue après polissage de la restauration. Le champ opératoire peut alors être déposé afin de réaliser les derniers réglages occlusaux.
Systèmes adhésifs
Si le collage à l’email n’est plus un problème depuis longtemps, le collage à la dentine est une opération qui demeure encore de manipulation delicate.25–28 Ceci est particulièrement vrai pour les adhésifs dits de 5e génération ou de type M&R229, souvent employés par les praticiens. Ils sont présentés en un seul flacon renfermant à la fois le primaire, la résine adhésive et un ou plusieurs solvants. Pour être efficaces, ils doivent être appliques sur dentine humide. La difficulté pour le praticien est de trouver le bon degré d’humidité dentinaire favorisant une pénétration optimale de l’adhésif. En excès, l‘eau s‘oppose à la formation d‘un joint adhésif continu ; c‘est le phénomène du ≪ sur mouillage ≫ avec l‘inclusion de bulles d‘eau à l‘interface.30 En défaut, c‘est le collapsus du collagène avec à la clé, une infiltration très incomplète de l'adhésif.31 Un mode d’application incorrect conduit à une infiltration incomplète de l’adhésif dans la dentine superficielle deminéralisée.30, 32 Ces défauts d’étanchéité sont la source de sensibilités postopératoires, de colorations parasites des marges et, à terme, de caries récurrentes.
Les systèmes auto-mordançant (SAM) sont appliqués sur l’email et la dentine sèches, ce qui résout le problème du degré d’humidité à la surface de la dentine mordancée. Les systèmes adhésifs auto-mordançants sont donc moins sensibles au facteur opérateur. Contrairement aux systèmes adhésifs nécessitant un mordançage à l’acide ortho phosphorique (adhésifs de types M&R3 ou M&R2), les systèmes auto-mordançants n’éliminent pas les bouchons de boue dentinaire, mais les imprègnent. La possibilité de micro fuite à l’émergence des tubuli devient quasi impossible. L’obturation tubulaire efficace est la raison principale qui explique un taux plus faible de sensibilités postopératoires observe en clinique avec les SAM33 (Fig. 7). Il est cependant établi que les SAM génèrent une diminution significative des forces d‘adhésion au niveau de l’email par rapport aux adhésifs avec mordançage à l’acide phosphorique.34–38 Sur le plan clinique, cela pourrait se traduire par une perte prématurée de l’étanchéité de la restauration. Pour y remédier certains auteurs préconisent de réaliser la technique du mordançage sélectif ; cette technique consiste à mordancer uniquement l’email, avec de l’acide ortho phosphorique a 35 % avant l’application du système auto-mordancant, afin de majorer les forces d’adhésion au niveau de l’email.39
D’autre part, avant l’avènement des techniques adhésives, on a attribué un potentiel cyto-toxique à certains composants des matrices acryliques.40 Les constituants réactifs des matrices résineuses sont les monomères de bas poids moléculaire, contenant des doubles liaisons méthacryles et également les amorceurs et co-amorceurs de polymérisation (peroxydes, amines etc.). La polymérisation des monomères méthacryliques n’est jamais complète,41 ce qui peut générer l’élution de monomères résiduels ou de composants actifs non stabilisés, dans l’environnement biologique des restaurations composites.42 En fait, ce sont principalement les constituants du système adhésif qui peuvent présenter un caractère agressif pour le complexe dentino-pulpaire. Les monomères qu’ils contiennent sont toutefois assez similaires à ceux des matrices des composites (HEMA, TEGDMA, Bis GMA). Certains auteurs ont montré in vitro un certain potentiel cytotoxique, voir mutagène, de ces monomères ou de leurs produits de dégradation.43, 44
Résine composite
Malgré les importants progrès dans le domaine de la dentisterie esthétique et adhésive, l’inconvénient majeur et la principale source d’échec des restaurations en composite, reste la rétraction de prise de ce matériau. Durant la polymérisation, la contraction des composites varie de 1,5 à 5 % en volume.45 La contraction de prise du matériau peut être à l’origine de :
- Tensions au niveau des tissus dentaires pouvant entraîner des flexions des cuspides, des fragilisations ou même des ruptures de l’email ;
- déchirures plus ou moins étendues et profondes au niveau du joint, avec création d’un hiatus périphérique favorisant la percolation marginale, des réactions inflammatoires pulpaires, des récidives de lésions carieuses et des sensibilités postoperatoires ;
- contraintes internes du matériau favorisant l’apparition de fractures cohésives à l’intérieur du matériau ;
- diminution de la résistance mécanique du composite. Lors de la réalisation de la restauration composite, la technique opératoire doit viser à réduire les effets néfastes de la rétraction de prise et à minimiser les risques de rupture de l’interface.
Plusieurs procédures ont été proposées :
- L’utilisation d’un adhésif charge, plus épais ;
- l’apport d’incréments successifs peu importants, positionnes de manière oblique, qui permet de réduire la contraction de polymérisation en jouant sur le facteur configuration46(Figs. 8 et 9) ;
- le recours à des techniques ≪ sandwich ≫ associant la résine composite à des ciments verres ionomères modifiés par addition de résine, qui ne présentent pas de contraction de prise (Figs. 10–14) ;
- l’utilisation d’un composite fluide comme couche initiale. Cette couche de composite permet en effet une diminution du stress de contraction de 20 à 50 %(Figs. 8 et 9), 47 (Cas clinique Figs. 15–31).
Photopolymérisation
Les composites photo polymérisables nécessitent l’emploi d’une source lumineuse pour polymériser. La rétraction de polymérisation se fait en direction de la source lumineuse. Cette phase ≪ d’éclairage ≫ du composite prend du temps et est considérée souvent comme une perte de temps. Ainsi on a vu depuis quelques années, la commercialisation de lampes émettant une très grande quantité d’énergie lumineuse. L’avantage annonce de ces générateurs est la réduction considérable du temps d’insolation. Toutefois, il est aujourd’hui évident qu’il est impossible de ≪ polymériser vite et bien ≫. En effet, du fait de la complexité de la cinétique de polymérisation, il n’existe pas de relation linéaire entre le temps de polymérisation et l’irradiance.
Comme le montre l’étude de Peutzfeldt et Assmussen, pour une densité d’énergie donnée, un temps d’exposition long et une irradiance faible induisent un taux de conversion plus élevé du composite, qu’un temps d’exposition court avec une irradiance élevée.<sup48</sup De plus, le mode de polymérisation, rapide ou progressif, est un facteur primordial sur la qualité des joints des restaurations. Une polymérisation rapide n’est pas compatible avec une bonne étanchéité. La encore, la nature du générateur n’est plus le principal paramètre, c’est le temps qui est essentiel.
Afin d’obtenir la meilleure qualité de joint dent/obturation, une polymérisation progressive est préférable à une polymérisation rapide,49–53 pour permettre la dissipation des contraintes générées par la rétraction de prise. Le composite doit être placé par petites couches de 2 mm d’épaisseur, pour permettre l’activation des initiateurs photosensibles à une vitesse élevée. Le volume de matériau prenant en une fois est plus faible, et génère ainsi moins de retraction.45 Pour les obturations de moyennes et grandes étendues, chaque couche de composite doit être placée de façon oblique dans la cavité, afin de rendre le facteur C plus favorable. Enfin, chaque couche de composite doit être polymérisée de façon à guider les vecteurs de polymerisation.23
Que faire face à une restauration composite présentant une sensibilité postoperatoire ? (Figs. 32–35)
Le traitement d’une dent présentant des phénomènes de sensibilités postoperatoires est souvent de résultat incertain. Les sensibilités mettent souvent le praticien en porte-à-faux vis à vis du patient, qui se pose parfois des questions sur la qualité des soins qui lui ont été prodigués. Il peut donc être judicieux de passer du temps à expliquer les phénomènes au patient, pour le rassurer et ne pas perdre sa confiance. Il est important de hiérarchiser les procédures cliniques :
– Face à des sensibilités postoperatoires, il faut vérifier les contacts occlusaux présents sur la restauration. En effet on peut parfois mettre en évidence une surcharge occlusale non repérée à la fin du traitement restaurateur, du fait de l’anesthésie. Puis il faut se laisser quelques jours d’observation, certaines sensibilités s’estompant spontanément au bout de deux à quatre jours. Ces dernières sont alors le reflet d’un traumatisme réversible du complexe pulpo-dentinaire, lié à la procédure de restauration.
Fig. 32 : Vue occlusale. 46 possède une restauration composite occlusale réalisée il y 6 jours. Cette dent présente des
phénomènes de sensibilités post-opératoires.
Fig. 33 : Après mise en place de la digue, un gel d’acide orthophosphorique à 35 % est place pendant 30 secondes au niveau du joint dent/restauration.
Fig. 34 : Apres rinçage de l’acide, et séchage de la dent, une fine couche d’adhésif est appliquée au niveau du joint dent/restauration. L’adhésif est polymerisé
Fig. 35 : Après dépose du champ opératoire il faut s’assurer que l’occlusion ne soit pas perturbée par la procédure de re-étanchéification.
– Si les signes ne disparaissent pas, il faut tenter alors de re-étanchéifier la restauration. En effet nous avons vu précédemment que toute manipulation inappropriée de la résine composite et de sa polymérisation, peut aboutir à des micro-ruptures de l’interface dent-restauration. La re-étanchéification se fera selon le protocole suivant :
- Application de gel de mordançage d’acide phosphorique à 35 % pendant 30 s au niveau du joint dent/restauration. Ce gel permet l’élimination des protéines salivaires adsorbées à la surface dentaire et résineuse, ainsi que la déminéralisation superficielle de l’email dentaire.
- Application d’un système adhésif amélo-dentinaire sur la zone préalablement préparée, puis polymérisation de l’adhésif. Si on observe de gros défauts au niveau du joint dent/restauration, un composite fluide pourra être appliqué au niveau de ces zones.
- Bien évidemment on s’assurera de la non-perturbation de l’occlusion avec cette procédure de collage.
– Si les sensibilités persistent, il faut alors envisager la dépose de la restauration. Un pansement sédatif de type eugenol/oxyde de zinc (IRMR) sera mis en place et laisser jusqu’à l’obtention d’un silence clinique de l’organe dentaire. La restauration composite sera alors refaite en prenant en compte les procédures détaillées précédemment. Dans ces situations, la mise en place d’un substitut dentinaire à base de silicate de calcium (Biodentine), 54 pourrait être intéressant pour prévenir de nouvelles sensibilités postopératoires.
Conclusion
Les sensibilités postopératoires constituent l’un des échecs des restaurations adhésives. Ces sensibilités sont en relation avec la perte ou l’absence d’étanchéité marginale des restaurations en partie liée à la contraction de polymérisation des résines composites. Heureusement, de nombreuses mesures cliniques facilement applicables peuvent prévenir ces sensibilités postopératoires.
Les patients touchés par la perte de leurs dents naturelles disposent aujourd’hui d’options de traitements plus variées que jamais. La prothèse ...
PONTA GROSSA, Brésil : Selon l'Association Dentaire Américaine, deux tiers des patients peuvent constater une hypersensibilité ...
L’identification et la négociation des canaux avant l’instrumentation de la dent et son obturation est une condition essentielle de ...
MALMÖ, Suède : Des recherches ont montré que le bruxisme n'endommage pas seulement les dents, mais peut aussi entraîner l'échec des implants. Pour ...
L´information mettant en lumière des pratiques malhonnêtes exercées dans la dentisterie a été reléguée...
PARIS, France : La recherche occupe une place importante au congrès de l’Association dentaire française. C’est pour cela que le Réseau pour la ...
ZURICH, Suisse : Nobel Biocare, à la pointe de la technologie dentaire par CFAO, avec NobelProcera, propose, maintenant, des couronnes unitaires et ...
PARIS, France : Le 23 novembre 2021, le Palais des Congrès de Paris ouvre ses portes sur le congrès de l’Association Dentaire Française (ADF). Cette ...
Afin de mieux comprendre toutes les possibilités offertes par l’implant Z1, un groupe d’enseignants, spécialistes des implants Z1 et TBR Dental, ...
PARIS, France : Depuis sa création en 2006, Protilab a toujours mis au coeur de ses priorités la sécurité et la qualité ...
Webinaire en direct
jeu. le 14 mai 2026
à 18h00 (CET) Paris
Webinaire en direct
jeu. le 14 mai 2026
à 20h00 (CET) Paris
Prof. Hani Ounsi DDS PhD FICD
Webinaire en direct
mar. le 19 mai 2026
à 17h00 (CET) Paris
Webinaire en direct
mar. le 19 mai 2026
à 19h00 (CET) Paris
Prof. Dr. med. dent. Ivo Krejci
Webinaire en direct
mer. le 20 mai 2026
à 13h00 (CET) Paris
Dr. Graham Carmichael BDSc (Hons), DClinDent (Pros), FRACDS, Dr. Robert Gottlander DDS
Webinaire en direct
mer. le 20 mai 2026
à 15h00 (CET) Paris
Webinaire en direct
mer. le 20 mai 2026
à 19h00 (CET) Paris
Prof. Dr. med. dent. Tim Joda PhD, MSc, eMBA
To post a reply please login or register