Il n’est pas nécessaire de détenir une machine à remonter dans le temps ou un tourniquet temporel comme dans le film blockbuster « Tenet », pour inverser les effets du temps. (Photo : Shutterstock/Andrey L)
Voyage temporel, deux mots qui sonnent étrangement dans un article sur la dentisterie, mais qui sont une réalité quotidienne pour tous les professionnels de santé. Le vieillissement concerne tous les patients qui voient leur corps se dégrader et aspirent à remonter le temps, pour retrouver leur jeunesse perdue. Ceci est d’autant plus vrai en dentisterie, ou les dentistes sont souvent amenés à traiter des patients souffrant de pathologies destructrices avec le temps, comme la carie, l’usure dentaire, ou encore les maladies parodontales. Les patients souhaitent le plus souvent retrouver leur sourire d’origine, qui a été altéré progressivement par le temps et les événements de la vie. Le professionnel de santé doit alors faire preuve d’ingéniosité technique et médicale pour restaurer la situation initiale, en rétablissant la forme, la teinte et la position d’origine des structures buccales. Dans cet article nous allons inverser le temps pour décrire un cas clinique à l’envers, et montrer que le succès thérapeutique s’obtient lorsque le résultat final devient un nouveau départ pour le patient.
Cas clinique
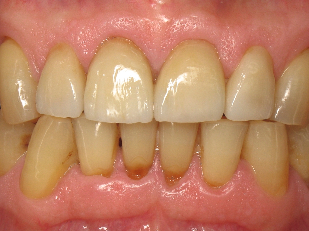
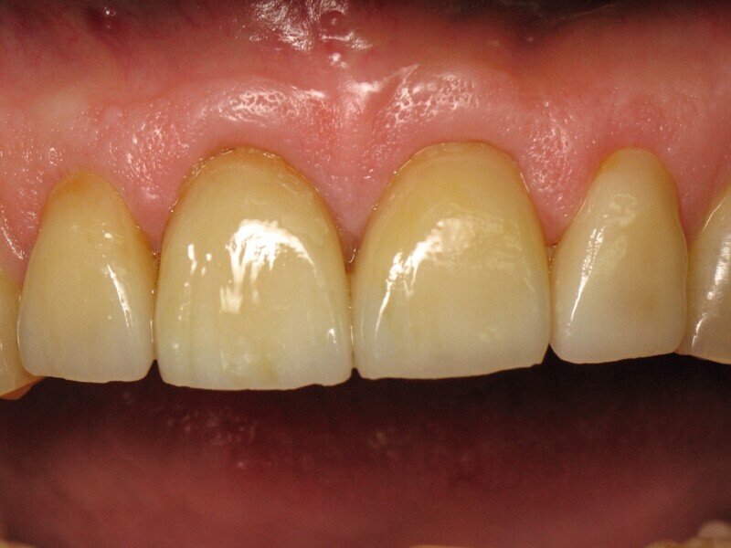
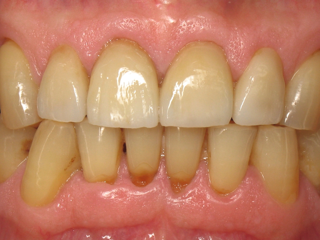
La figure 1 montre une situation clinique où le patient va pouvoir reprendre sa vie d’avant, avec le sourire au sens propre et au sens figuré. Les dents ont une forme, une position et une teinte harmonieuse, malgré des défauts mineurs, comme les lésions cervicales des incisives mandibulaires. La sante parodontale est également présenté avec l’absence de plaque ou d’inflammation gingivale. Ce que le lecteur est loin de se douter c’est que cette situation finale correspond à la pose de quatre couronnes sur les dents 12,11, 21 et 22.
Fig. 1: Situation finale.
Fig. 2 : Vue rapprochée de la situation finale.
La figure 2 nous montre en gros plan la qualité des restaurations et l’attention apportée par le prothésiste dentaire, dans la réalisation de ces couronnes. En effet, l’anatomie est harmonieuse et ne laisse aucun triangle noir au niveau des papilles gingivales. De plus, la teinte est naturelle avec une saturation progressive depuis le bord libre vers la région cervicale. Le technicien de laboratoire a ajouté une touche subtile de maquillant ocre en traits verticaux. Une attention toute particulière a été portée à ce cas clinique, pour un résultat qui dépasse les attentes du patient.
Trois jours plus tôt, les figures 3, 4 et 5 montrent le nesting (logiciel Zirkonzahn.Nesting) d’un disque de zircone polychromatique (Prettau 4 Anterior Dispersive,Zirkonzahn). Ce matériau a été utilisé pour ces couronnes, afin de donner une longévité conséquente, grâce à sa résistance à la flexion et une esthétique visible par sa haute translucidité. Le choix de ce matériau a été fondamental dans cette indication de restaurations antérieures, lorsqu’’une alternative au disilicate de lithium est recherchée. Le lecteur devra attendre de remonter dans le temps pour comprendre une telle alternative.
Fig. 3 : Nesting des couronnes en zircone, vue supérieure.
Fig. 4 : Nesting des couronnes en zircone, vue latérale.
Fig. 5 : Trajet d’usinage dans le disque de zircone.
Fig. 6 : Wax-up numérique des couronnes.
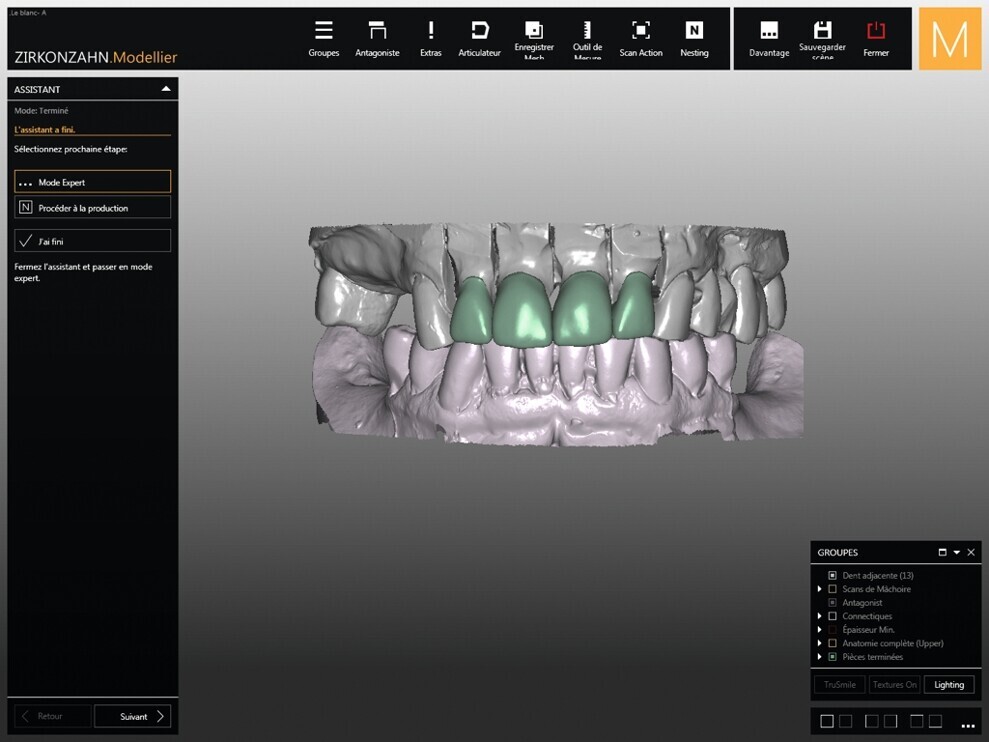
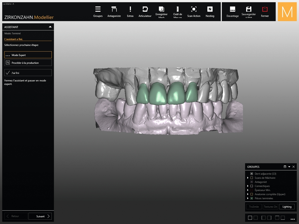
Quatre jours plus tôt, la figure 6 montre le wax-up numérique (logiciel Zirkonzahn.Modellier, Zirkonzahn). Pour le prothésiste dentaire, la difficulté principale a été de repenser l’anatomie des incisives maxillaires, tout en réhabilitant la forme initiale des dents. La forme globale des autres dents donne un aperçu de la typologie géométrique des dents : rondes, carrées, triangulaires. Toutes les formes sont possibles mais une seule forme est adaptée à ce cas clinique. Le logiciel de CAD/CAM permet un guidage automatique, pour obtenir uniforme harmonieuse. Puis le technicien de laboratoire va reprendre la main et procéder individuellement, afin d’apporter des touches humaines à un système informatique.
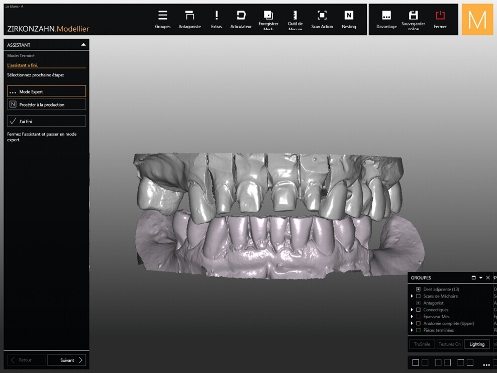
Fig. 7 : Modèle numérique de l’arcade supérieure et l’arcade inférieure.
Cinq jours plus tôt, la figure 7 montre le modèle virtuel après l’étape de scan numérique (logiciel Zirkonzahn. Scan). Le logiciel va permettre de numériser des modèles physiques pour les importer dans la suite logicielle. Les modèles numériques sont alors montés en occlusion avec un articulateur virtuel. Les limites de préparation sont tracées, et grâce au détourage préalable, chaque dent préparée peut être individualisée, pour passer à l’étape suivante de modélisation de la couronne.
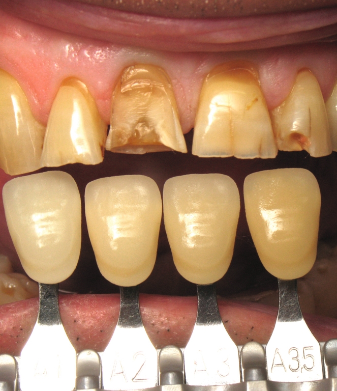
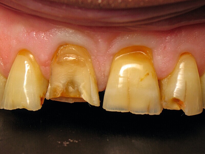
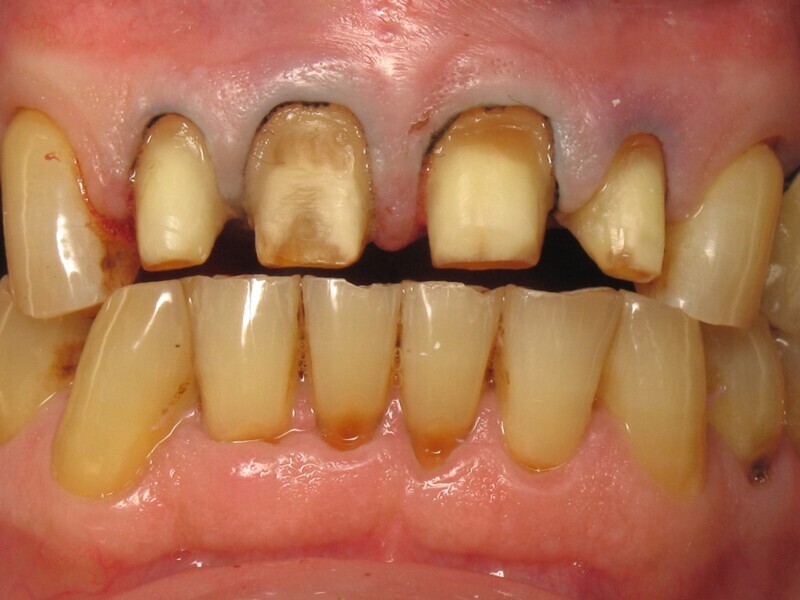
Une semaine auparavant, les figures 8 et 9 montrent la préparation dentaire et le placement du premier fil de rétraction gingivale. La forme de préparation a laissé une marge suffisante pour le prothésiste, afin de concevoir les couronnes. Le fil de rétraction gingivale a été place pendant la phase de préparation, afin de ne pas blesser la gencive cervicale, mais aussi pour la déplacer apicalement. Ainsi il a été possible de réaliser des limites juxta-gingivales, respectant l’anatomie dentaire et la sante parodontale. Il est intéressant de constater que la teinte dentaire n’est pas homogène entre les dents et au sein même de la dent, nous allons remonter dans le temps pour comprendre ce phénomène.
Fig. 8 : Préparation dentaire et rétraction gingivale.
Fig. 9 : Vue rapprochée de la préparation dentaire et de la rétraction gingivale
Fig. 10 : Teinte dentaire préopératoire.
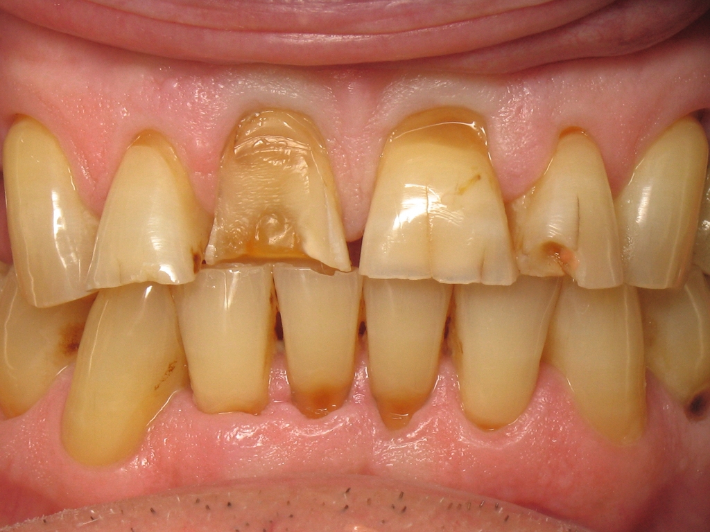
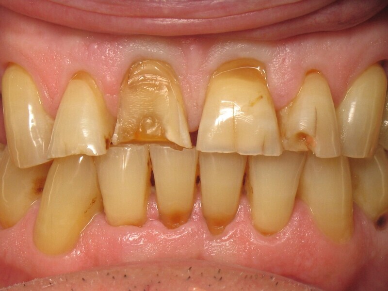
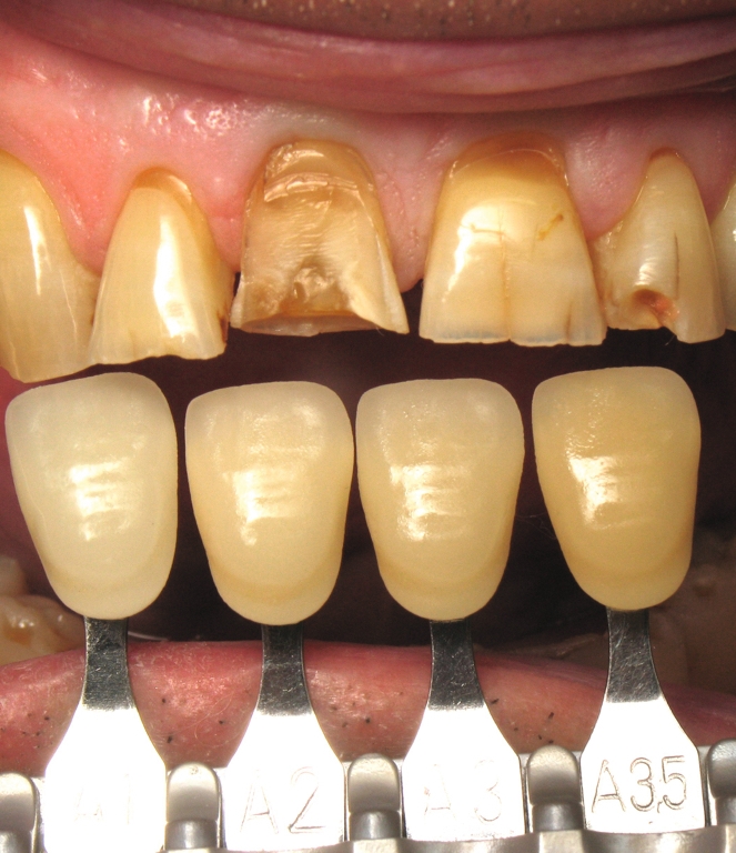
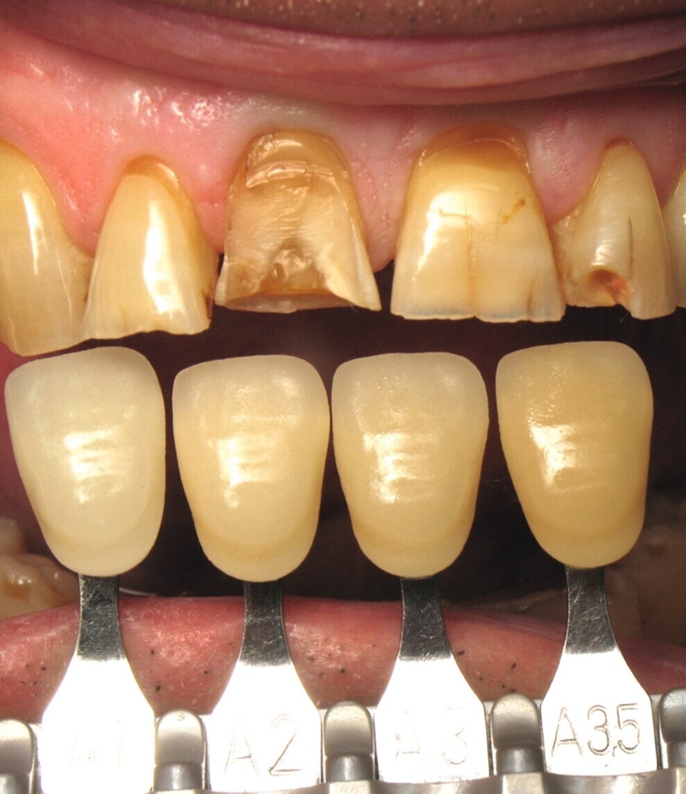
Une heure avant, la figure 10 montre un véritable patchwork de teinte dentaire. On constate une translucidité du bord libre, une saturation cervicale, des fêlures, des restaurations absentes, et une fracture coronaire complexe de la dent 11. Tous ces éléments ont amené les dents à réagir, en construisant au cours du temps, de la dentine réactionnelle a l’origine des nombreuses variations de teinte.
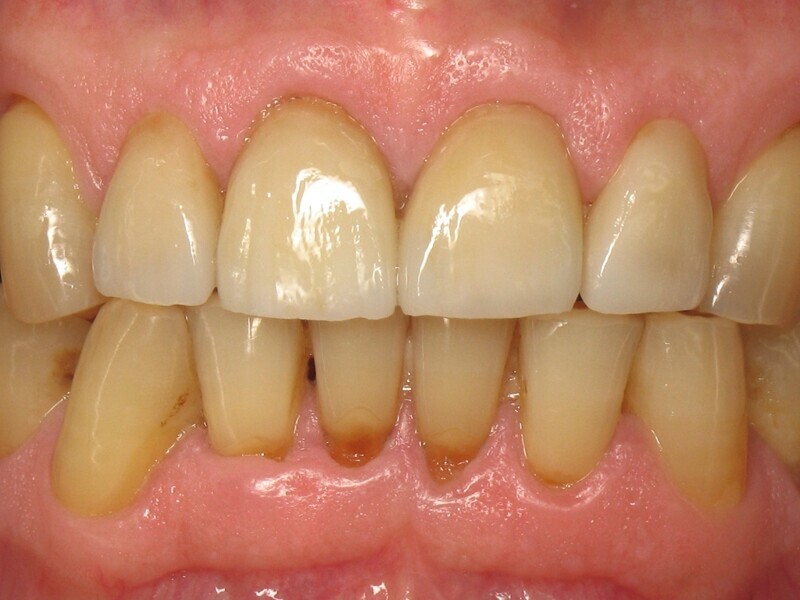
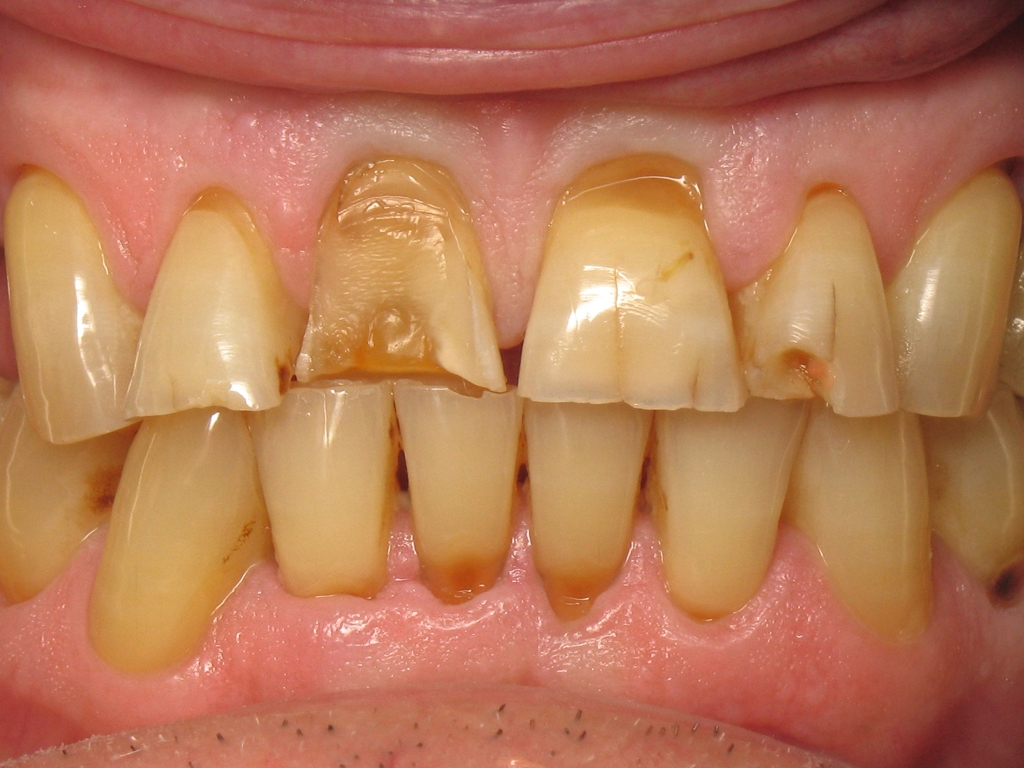
Dans le même temps, les figures 11 et 12 montrent la situation initiale de ce patient, venu en consultation pour la réhabilitation de ses incisives maxillaires. Le diagnostic a révélé un bruxisme nocturne à l’origine de plusieurs destructions coronaires : usure du bord libre, ab fraction, restaurations absentes, fêlures, et une fracture coronaire complexe. Il est aisé de comprendre pourquoi précédemment, le choix du matériau a été porte sur le zircone. Il est également facile de comprendre les motivations de ce patienta retrouver son sourire perdu. Cette dégradation par le temps est inéluctable, mais chez ce patient elle a été particulièrement rapide et agressive. Inverser le cours du temps est donc une évidence pour restaurer la santé dentaire de ce patient.
Fig. 11 : Situation initiale.
Fig. 12 : Vue rapprochée de la situation initiale
Conclusion
Il n’est pas nécessaire de détenir une machine à remonter dans le temps ou un tourniquet temporel comme dans le film blockbuster « Tenet », pour inverser les effets du temps. Les dentistes ont accès à une technologie suffisamment sophistiquée, pour corriger les effets délétères du temps et permettre aux patients de retrouver leur sourire d’avant. Loin de toute science-fiction, la dentisterie moderne a amorcé une transition numérique, dans laquelle de nouveaux outils et de nouvelles techniques émergent. Tous nos patients rêvent de retrouver le sourire de leurs 20 ans : des dents saines et belles. Avec les outils numériques actuels, il est désormais possible de rétablir ce qui a été détruit par le passé, et de donner un nouveau futur au sourire de nos patients. La dentisterie numérique vit donc avec son temps et ne crée aucun dégât, ce qui pourrait se résumer avec cette phrase palindrome anglaise : Liveon time, emit no evil (Vivre avec son temps, ne pas nuire).
Conflit d’intérêt : L’auteur déclare l’absence de conflit d’intérêt.
Remerciements : L’auteur remercie Christophe Pacaud (prothésiste dentaire) et son équipe chez ACL Dentaire (Basse-Goulaine) pour leurs compétences techniques.
Note éditoriale:
Note de la rédaction : Cet article a été initialement publié dans digital international magazine of digital dentistry, volume 2 – numéro 3/2021 et dans le journal Dental Tribune France FÉVRIER/MARS 2022 | VOL. 14, NO. 2+3
NEW YORK CITY, NY, États-Unis: Le lundi 28 novembre, pendant le salon dentaire de New York (GNYDM), le Media Lounge de Dental Tribune International ...
Éducation
Webinaire en direct jeu. le 30 avril 2026 à 1h00 (CET) Paris
To post a reply please login or register