Search Dental Tribune

Éclaircissement des dents avec A smile – Cas clinique

Fig. 1 : Situation initiale à l’échelle du visage. (Toutes les images : Dr Marie Clément)

mar. 21 octobre 2025

Enregistrer

A smile est un gel visqueux pour l’éclaircissement des dents vitales à l’aide d’une gouttière thermoformée personnalisée. Voici un cas clinique réalisé grâce au produit A smile.

La patiente consulte au cabinet avec comme objectif d’améliorer son sourire qu’elle trouve trop jaune. Elle n’aime pas non plus la forme de ses canines en place d’incisive latérales (agénésie 12, 22). Un éclaircissement lui est proposé dans un premier temps avant de prendre une décision quant au traitement futur de modification de la forme de ses dents à l’aide de composites ou de facettes en céramique.

Fig. 2 : Situation initiale à l’échelle du sourire.

Fig. 2 : Situation initiale à l’échelle du sourire.

Fig. 3 : Relevé de couleur initial (4M2). Il est capital de relever la couleur des dents avant de commencer un traitement d’éclaircissement.  Pour cela un relevé à l’aide d’un teintier VITA Bleachedguide 3D-MASTER est nécessaire avec conservation de la référence dans le dossier du patient.

Fig. 3 : Relevé de couleur initial (4M2). Il est capital de relever la couleur des dents avant de commencer un traitement d’éclaircissement. Pour cela un relevé à l’aide d’un teintier VITA Bleachedguide 3D-MASTER est nécessaire avec conservation de la référence dans le dossier du patient.

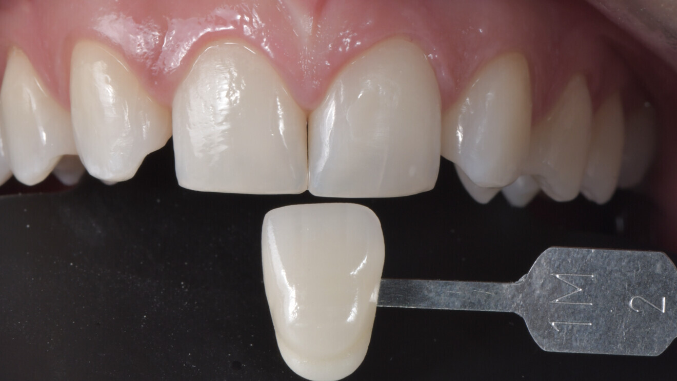
Fig.  4 : Relevé de couleur initial au niveau des dents 13, 23 (5M2).

Fig. 4 : Relevé de couleur initial au niveau des dents 13, 23 (5M2).

Examen clinique pré-éclaircissement

Il doit comporter :

Un bilan parodontal qui doit mettre en avant un état parodontal sain. Une recherche des caries existantes et des obturations défectueuses : si elles existent, elles devront être traitées en amont de ce procédé d’éclaircissement. Un examen radiographique afin d’éliminer toute pathologie carieuse ou péri-apicale. L’évaluation des sensibilités au chaud et au froid. L’évaluation des fêlures, fissures de l’émail, des érosions ou abrasions importantes contre-indiquant l’éclaircissement avant traitement initial de celles-ci. L’évaluation des restaurations existantes (en résine ou en céramique) : une mise en garde du patient est nécessaire en ce qui concerne la couleur de ces restaurations qui ne s’éclairciront pas avec le traitement.

Fig.  5 : Situation finale à l’échelle du sourire.

Fig. 5 : Situation finale à l’échelle du sourire.

Fig.  6 : Relevé de couleur final (1M2).

Fig. 6 : Relevé de couleur final (1M2).

Fig. 7 : Situation finale à l’échelle du visage.

Fig. 7 : Situation finale à l’échelle du visage.

Traitement et conclusion

Un traitement d’éclaircissement a été réalisé à l’aide de gouttière (port nocturne – trois semaines) avec du de peroxyde de carbamide à 10 % A smile sur l’ensemble des dents (sauf 13, 23) et du 16 % sur les canines 13 et 23 en place de 12 et 22. Un gain de plus de cinq teintes a été observé selon le teintier VITA Bleachedguide. La patiente était déjà ravie du résultat.

Profitez de l’offre de découverte en cliquant ici.

Mots-clés:
To post a reply please login or register
advertisement
advertisement