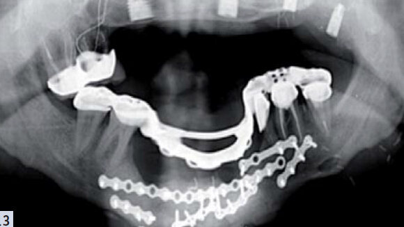
PARIS, France : Comme dans tout mariage, l’avantage du partenariat à deux doit être manifeste, et il semble que cela soit le cas lors de l’implication de l’implant dans un traitement par prothèse composite. Le gain sur le critère qualité est indéniable. Son bénéfice sur la rétention, sa réponse pertinente aux désirs d’esthétique du patient et l’économie tissulaire qu’il permet sont précieux. Le jeudi 26 novembre de 9h à 12h, participez à la conférence (séance C54) « Implants et prothèse amovible partielle : un mariage de raison ? » dont les objectifs sont de définir les indications, les différentes étapes de conception et de réalisation d´une PAP stabilisée sur implants.
Afin de mesurer les progrès accomplis dans le domaine de la prothèse composite associée aux implants, Serge Antoine Borgis, praticien installé en Suisse et enseignant à la clinique universitaire de médecine dentaire de Genève, apportera son témoignage. Il fut l’un des premiers à publier dans les réalités cliniques sur ce sujet en 1998. Il est intéressant d’avoir sa vision de l’abord initial des traitements par prothèses amovibles stabilisées par implants, et de constater l’évolution des dogmes thérapeutiques quelques années plus tard.
Les principes de conception des prothèses amovibles garantissant le succès thérapeutique sont évoqués par Jean Schittly, (praticien, enseignant et auteur de nombreux articles et ouvrages en prothèse). Il a bâti la culture de la prothèse amovible partielle au sein de la faculté dentaire de Reims et même au-delà : au niveau national. À la lumière des avancées dans le domaine de la prothèse composite et fort d’une expérience en cabinet libéral de près de 40 ans, il évoquera de façon didactique le pas à pas, l’arbre décisionnel permettant de mener à bien la réalisation d’un traitement par PAP métallique, stabilisée par implants.
La prothèse transitoire constitue un élément crucial et un gain de chance considérable dans la réussite du traitement prothétique. Son rôle positif dans les résultats fonctionnels, biologiques, esthétiques et psychologiques sont dépendants de cette restauration de durée plus ou moins limitée.
Différentes stratégies de réalisation de prothèses transitoires seront abordées, en fonction du type d’édentement, de son étendue, de sa situation et du type de restauration prothétique choisi. Cette phase de temporisation doit répondre à des exigences fonctionnelles, biologiques biomécaniques et esthétiques.
Ainsi, le patient pourra par la même, être mis en confiance et rassuré. L’objet de cette communication est d’exposer, au travers de cas cliniques plus ou moins complexes, les modes de raisonnement et les techniques d’élaboration qui gouvernent la construction, l’insertion et le contrôle des prothèses de temporisation, lorsque les traitements d’édentements par restaurations composites associées à des implants sont réalisés
Étienne Waltmann de la faculté de Strasbourg abordera ce troisième chapitre de la séance. Il est co-auteur notamment de « Implants et prothèse partielle amovible », édité en 2010. Ses activités cliniques et pédagogiques s’effectuent dans l’unité fonctionnelle de prothèse amovible, centrée sur l’implantologie. Son activité hospitalo-universitaire à temps partiel lui permet d’exercer une activité libérale en cabinet. Le dernier chapitre de cette séance représente la partie « défi » d’une branche de notre profession qu’est la prothèse maxillo-faciale (PMF). Le cas présenté pourrait être un de nos anciens patients, victime d’un accident de la vie, d’un carcinome, ou d’une tentative d’autolyse. Savoir qu’il est possible de lui venir en aide prothétiquement et améliorer sa qualité de vie est déjà un élément de réponse important pour lui et ses proches. C’est Bernard Giumelli qui exposera ce rapport de cas. Praticien et enseignant à la faculté de chirurgie dentaire de Nantes, il a traité et publié de nombreux cas de prothèse maxillo-faciale au sein de son exercice hospitalier.
Retrouvez l´article intégral dans le Today du 26 novembre disponible aux abords du Palais des congrès.
Une prothèse partielle fixe implanto- vissée présente certains avantages physiques. Toutefois, selon plusieurs études elles ont ...
VANCOUVER, Canada : La France, l'un des plus grands marchés de prothèses dentaires amovibles supra-implantaires au niveau mondial, a l'un des ...
Il est d’usage de proposer une prothèse complète amovible après une extraction des dents ou une pose d’implant dans une ...
L’avènement de la technologie de conception et fabrication assistée par ordinateur (CFAO), et la généralisation des ...
Les progrès en implantologie dentaire ont permis de fiabiliser les restaurations prothétiques unitaires et plurales partielles ou totales, ainsi que les ...
La mise en charge immédiate de bridges complets sur implants au maxillaire est pour le praticien un défi posé par certains patients ...
_En implantologie, la physiologie osseuse autour des implants nous oblige à rechercher une passivité et une adaptation optimales des ...
PARIS, France : Reconnaissance unique des fabricants et industriels du monde bucco-dentaire, le Prix de l’Innovation de l’ADF récompense ...
PARIS, France : Unique en son genre, le guide des études en odontologie de l’Union nationale des étudiants en chirurgie dentaire (UNECD)...
PARIS, France : Sous la responsabilité scientifique du Dr Lucien Brisset (UFR de Strasbourg), une série de conférences sur la ...
Webinaire en direct
jeu. le 14 mai 2026
à 18h00 (CET) Paris
Webinaire en direct
jeu. le 14 mai 2026
à 20h00 (CET) Paris
Prof. Hani Ounsi DDS PhD FICD
Webinaire en direct
mar. le 19 mai 2026
à 17h00 (CET) Paris
Webinaire en direct
mar. le 19 mai 2026
à 19h00 (CET) Paris
Prof. Dr. med. dent. Ivo Krejci
Webinaire en direct
mer. le 20 mai 2026
à 13h00 (CET) Paris
Dr. Graham Carmichael BDSc (Hons), DClinDent (Pros), FRACDS, Dr. Robert Gottlander DDS
Webinaire en direct
mer. le 20 mai 2026
à 15h00 (CET) Paris
Webinaire en direct
mer. le 20 mai 2026
à 19h00 (CET) Paris
Prof. Dr. med. dent. Tim Joda PhD, MSc, eMBA
To post a reply please login or register