_En implantologie, la physiologie osseuse autour des implants nous oblige à rechercher une passivité et une adaptation optimales des armatures. Ce facteur est capital pour la pérennité de nos réhabilitations prothétiques. Avec les techniques conventionnelles la coulée d’une construction plurale implanto-portée reste techniquement délicate et complexe. La difficulté à obtenir cette passivité est proportionnelle au nombre d’éléments et au volume de l’infrastructure.
La CFAO, par la précision des résultats qu’elle fournit, est un outil considérable d’évolution de la chaine technologique prothétique. Un grand nombre de fabricants d’implants s’est rapprochés d’industriels pour obtenir des solutions à l’usinage des infrastructures implanto-portées. Ces réalisations en technique CFAO présentent une précision d’adaptation des infrastructures (< 10 microns). Les deux cas cliniques présentés illustrent le potentiel de ces nouvelles solutions numériques.
_Présentation du cas n° 1
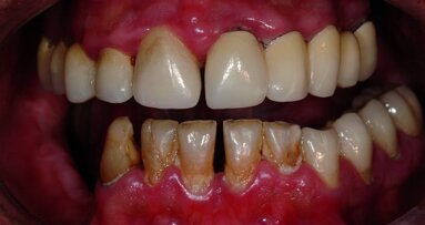
Il s’agit d’un patient, ancien fumeur, âgé de 51 ans au début du traitement. Ce patient présente une hypertension artérielle stabilisée, il est sous Kardégic® pour un infarctus en 2005. Ce patient souhaite une réhabilitation fixe au maxillaire. Ses motivations sont à la fois d’ordre fonctionnel et esthétique (Figs. 1a et 1b).
Assainissement et chirurgie préimplantaire
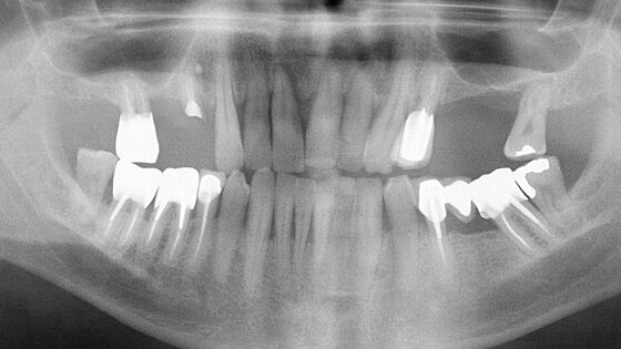
L’état parodontal des dents restantes ne permet pas d’envisager leur conservation. Toutes les dents maxillaires sont extraites de manière atraumatique, les alvéoles soigneusement curetées et une prothèse maxillaire amovible complète est mise en place le jour même. Après une période de cicatrisation, un dentascan permet d’évaluer le volume osseux disponible. Cet examen confirme une résorption osseuse importante dans les secteurs postérieurs du maxillaire (Figs. 2a–c) : SA4 dans la classification de C. Misch. Le volume osseux étant < 5 mm, la pose des implants sera différée de 5 à 6 mois après les comblements sinusiens, ceci afin d’obtenir une stabilité primaire suffisante.
Une surélévation bilatérale des planchers sinusiens est réalisée sous anesthésie locale. Elle s’effectue avec un accès latéral selon la technique décrite par Tatum. La membrane de Schneider est délicatement réclinée et les bas-fonds sinusiens sont tapissés de PRF’s ; les comblements des zones antrales sous-sinusiennes sont effectués au moyen d’os allogénique (Maxgraft®) recouverts d’une membrane de collagène Bio-gide® et de PRF’s (Fig. 4). Après une période de cicatrisation de 5 mois, un examen scanner est réalisé avec un guide radiologique en bouche. Ce guide radiologique réalisé en résine transparente avec des dents du commerce radio-opaques, matérialise la position des futures dents prothétiques (Fig. 3). Le dentascan objective un volume osseux confortable au niveau des zones postérieures greffées, avec un aspect homogène des comblements sinusiens. L’aspect en dôme sur les coupes vestibulo-linguales signe l’absence de fuite de matériau dans les sinus maxillaires (Fig. 6c).
embedImagecenter("Imagecenter_1_1373",1373, "large");
Planification implantaire
La planification implantaire s’effectue à l’aide du logiciel SimPlant®. Le guide radiologique permet d’obtenir : une prédictibilité de l’axe et du positionnement des implants, une lisibilité de l’émergence gingivale des implants, l’anticipation des dimensions, du positionnement et de l’axe des piliers prothétiques. Il permet également l’exploitation maximale du capital osseux disponible. À ce stade de l’étude préimplantaire, une attention particulière est portée sur le positionnement 3D des implants, en particulier sur l’émergence gingivale, de manière à faciliter la réalisation prothétique finale. Les piliers coniques droits ou angulés sont dès cette étape de planification, matérialisés sur les coupes vestibulo-linguales (Figs. 5 à 6c). Dix implants Anthogyr Axiom® PX destinés à recevoir une réhabilitation fixe monobloc tranvissée, sont planifiés sur l’ensemble de l’arcade maxillaire.
Chirurgie implantaire
Une stimulation ostéogénique est effectuée 45 jours avant la chirurgie implantaire, selon la technique décrite par G. Scortecci et C. Misch. Elle s’effectue de manière transpariétale et procède à une véritable activation cellulaire des zones greffées. Les implants sont positionnés sous anesthésie locale, en utilisant le guide radiologique. Les implants retenus pour cette réhabilitation présentent un design à double filetage autoforant et autotaraudant, et un col à conicité inversé (Fig. 7). Ces implants coniques facilitent l’obtention d’une excellente stabilité primaire par leur design et le protocole de forage, y compris dans les zones de faible densité osseuse. L’état de surface des implants traités par sablage au phosphate de calcium biphasique, permet d’obtenir un potentiel ostéoconducteur favorisant la différenciation des ostéoblastes, dans les phases précoces d’ostéointégration. La mise en place des implants s’effectue en technique « flapless ». Cette technique présente l’avantage de conserver la vascularisation sous-périostée et d’améliorer le confort du patient, en diminuant le temps d’intervention et les suites postopératoires.
Bridge transitoire en M.C.I.
Chaque implant (excepté celui en position 27) a nécessité lors de son insertion, un couple de serrage supérieur ou égal à 35 Ncm. Dans le but de diminuer la durée du port de la prothèse amovible, il a été convenu avec le patient qu’une mise en charge immédiate (M.C.I) des implants serait réalisée, si la stabilité primaire des implants le permettait. Une empreinte en technique pick-up est réalisée le jour de la chirurgie au moyen d’un porte-empreinte individuel (PEI), préparé avant la chirurgie. Préalablement, les piliers définitifs sont vissés manuellement avec un couple de serrage de 15 Ncm. Il s’agit de piliers coniques droits destinés à être transvissés par la prothèse transitoire puis d’usage. Concernant la connexion implant-pilier, il s’agit d’une liaison conique de type switching-platform. Cette connexion à indexation trilobée, facilite le positionnement des piliers en bouche. Une jonction implant-pilier stable et hermétique est la garantie d’une bonne intégrité tissulaire (Fig. 9). Au laboratoire, le maître-modèle avec les analogues de piliers, est coulé en plâtre dur. Un bridge transitoire de forte rigidité en Cr-Co-résine est réalisé. Il est essayé et mis en place 48 heures après la pose des implants. Ce bridge transitoire va jouer le rôle de fixateur externe pendant la phase d’ostéointégration des implants. Une radiographie de contrôle objective la parfaite passivité de l’armature, le bridge est vissé manuellement à 10 Ncm. L’occlusion est réglée avec précision (Figs. 8a–d). Le bridge transitoire est porté pendant 6 mois. Pendant cette période seront validés : l’occlusion, l’intégration osseuse et gingivale des implants, l’hygiène, la mastication, la phonation, l’esthétique, le soutien de la lèvre... Le bridge transitoire doit être facilement démontable (vissé) et rigide (armature). La cicatrisation de l’implant en 27 se déroulera de manière classique à l’abri des sollicitations mécaniques.
Bridge d’usage
Au bout de 6 mois, la phase prothétique de préparation de la prothèse d’usage peut débuter. Le bridge transitoire a permis de régler l’esthétique, les problèmes phonétiques et de soutien de la lèvre. Il confirme également la dimension verticale et la relation intermaxillaire. Le bridge transitoire est dévissé, les implants sont testés à la percussion et contrôlés radiographiquement. Les piliers coniques droits, mis en place le jour de la pose des implants, sont serrés au couple de serrage définitif (25 Ncm) ; excepté pour l’implant en position 23 ou un pilier conique angulé sera utilisé (Fig. 9).
Le PEI ayant servi pour l’empreinte du bridge transitoire, est réutilisé pour l’empreinte du bridge d’usage. Les transferts d’empreinte pick-up sont solidarisés à la résine luxa-bite® et l’empreinte réalisée avec de l’impregum®. Le maitre-modèle est coulé, il inclut les analogues de piliers coniques et la fausse gencive en silicone. Le maître-modèle est validé au cabinet par l’intermédiaire d’une clé en plâtre. Cette clé de validation réalisée en plâtre extra dur est vissée en bouche (Figs. 10a–d).
Le laboratoire réalise un wax-up en cire, au moyen de clés vestibulaires, occlusales et palatines en silicone, du bridge transitoire (Fig. 11). Ce montage doit tenir compte des désirs esthétiques du patient. Le wax-up reproduira fidèlement l’anatomie et l’esthétique du bridge transitoire. Le maître-modèle validé ainsi que le wax-up à usiner, sont envoyés au centre d’usinage Simeda®. Le centre d’usinage scanne le maître-modèle et le wax-up, puis effectue un design virtuel de la pièce à produire (Figs. 12a–d). L’armature entre dans la phase de fabrication : les pièces sont usinées dans un bloc de titane, au moyen de machines d’usinage industriel 5 axes, de haute précision (Figs.13a-c).
Les avantages du titane, en dehors de sa légèreté, sont une excellente biocompatibilité et de très bonnes propriétés mécaniques. Le titane est un métal très réactif à l’oxygène : par simple contact à l’air libre, il se forme à sa surface un film protecteur d’oxyde appelé couche de passivation. Elle donne au titane une résistance exceptionnelle à la corrosion et aux attaques chimiques. Le fait que le titane soit bactéricide lui confère des avantages supplémentaires en prothèse implantaire. La densité des matériaux utilisés en implantologie est un point primordial. Le poids des prothèses implantaires maxillaires nous apparait comme un des facteurs clé de la réussite du traitement. Quelques jours plus tard l’armature est essayée en bouche, elle est parfaitement ajustée et passive. Elle est retournée au laboratoire de prothèse qui procède au montage du cosmétique. Après sablage, un etching spécifique au titane est appliqué sur l’ensemble de l’armature, avant de monter la céramique. Le biscuit est essayé en bouche, l’esthétique de la réalisation prothétique est validée avec le patient, conformément à ses attentes. L’essayage des biscuits permet un contrôle et un réglage occlusal statique et dynamique : des ajustements occlusaux minimes sont réalisés (Figs. 14a–h). Le travail repart au laboratoire pour la finition et le glaçage.
_Présentation du cas n° 2
Il s’agit d’une patiente âgée de 77 ans. L’anamnèse générale révèle au niveau cardiaque une fuite mitrale. Les dents 34, 35 et 37 qui supportaient jusqu’alors un bridge, sont condamnées (Fig. 15). La patiente déjà porteuse d’implants, souhaite une réhabilitationfixe.
Planification et chirurgie implantaire
Les implants sont planifiés dans le logiciel SimPlant en utilisant le guide virtuel. Une attention particulière est portée au positionnement 3D des implants, de manière à ce que l’émergence prothétique se situe au milieu des faces occlusales des futures dents prothétiques (Figs. 16a et 16b). La mise en place des implants s’effectue en extraction-implantation immédiate (E.I.I.). Cette technique permet de combiner la cicatrisation postextractionnelle avec la phase d’ostéo-intégration des implants, ce qui réduit de moitié le temps de cicatrisation osseuse et la durée globale du traitement. Les avulsions atraumatiques des dents 34 à 37, sont réalisées de manière à préserver l’intégrité des tables osseuses ; de l’os allogénique (Maxgraft) mélangé à l’exsudat du PRF est utilisé pour combler le hiatus entre les implants et les corticales osseuses résiduelles (Fig. 17).
Réalisation du Bridge d’usage
À 4 mois et demi postopératoire, les implants sont mis en fonction au moyen de vis de cicatrisation. Deux mois après, les piliers multi-unit droits sont mis en place et vissés à 25 Ncm, et une empreinte en technique pop-in est réalisée. Au laboratoire, le maître-modèle est coulé et numérisé ; un wax-up numérique (Figs. 18a et 18b) permet de valider les volumes du bridge et les émergences prothétiques, avant usinage de l’armature en chrome-cobalt. Au cabinet, la chape est validée en bouche, elle est parfaitement ajustée et passive, le vissage s’effectue sans aucune contrainte (Figs. 19 à 20b). Après montage de la céramique au laboratoire, le bridge d’usage est mis en place la séance suivante (Figs. 21a et b).
_Les moyens offerts par la CFAO
La chaine technologique prothétique conventionnelle comporte une accumulation d’imprécisions dues à la nature des matériaux mis en œuvre, et à leur manipulation : risques d’erreurs liées à la mise en revêtement, risque de déformation de l’élément métallique, homogénéité du métal... La chaîne technologique par CFAO détermine la qualité du résultat par une conception (CAO) et par une fabrication (FAO) innovantes des infrastructures. Sur une image 3D issue du relevé de données obtenues par scannage, est bâti un projet prothétique virtuel au moyen d’un logiciel de conception (Fig. 22). Les logiciels de CAO permettent la modélisation virtuelle de la prothèse en fonction de chaque matériau : zircone, titane, chrome-cobalt, e-max, pmma... Lorsque le laboratoire est équipé d’un scanner, seul un fichier STL est transmis par internet au centre d’usinage. Si le laboratoire n’est pas équipé, les modèles et les maquettes sont transmis au centre d’usinage par UPS. Le paramétrage informatique assure une parfaite régularité et reproductibilité de fabrication, et garantit une insertion passive des infrastructures. Il permet un réglage optimal des épaisseurs de chapes ou de connexions des pontiques, et peut prévenir les phénomènes de torsion ou de déformation d’armatures que risque de causer la cuisson du cosmétique.
L’usinage par soustraction associé aux techniques informatiques de modélisation, garantit l’absence de modifications structurelles du matériau. La densité et l’homogénéité des infrastructures métalliques sont optimales. Le praticien peut obtenir des résultats constants et reproductibles, avec une excellente adaptation des armatures et des joints prothétiques réguliers et précis.
_Conclusion
Les scanners de laboratoires de plus en plus performants permettent aujourd’hui de numériser les modèles, les maquettes, et l’indexation des implants. La CFAO et l’usinage industriel permettent d’obtenir une précision d’adaptation des infrastructures jusqu’ici inégalée. Cette passivité indispensable en prothèse sur implant, nous permet de pérenniser nos réhabilitations prothétiques. Dans le cadre de prothèses de grande étendue, la passivité des armatures est beaucoup plus facile à réaliser et à reproduire par CFAO, qu’avec des techniques de coulées traditionnelles. Les centres d’usinage sont par ailleurs capables de produire des matériaux biocompatibles comme le titane ou la zircone. Pour la fabrication des suprastructures implantaires, l’usinage est certainement la technique de référence pour obtenir les pièces prothétiques les plus précises, et approcher de la passivité. Ces techniques numériques vont rapidement devenir incontournables. Les solutions actuellement proposées permettent à tout praticien d’accéder à la CFAO sans grand changement de ses habitudes de travail.
Remerciements à Gilles Nauzes et Jérôme Bellany, prothésistes (Laboratoire Socalab®), à Vanessa et Ludovic Ortis ( Laboratoire ORTIS®) .
Note de la rédaction : cet article est paru dans le magazine DT Study Club, Vol.2, numéro 3, septembre 2014.
Le système CEREC de Sirona permet la réalisation en CAD/CAM de restaurations prothétiques « tout céramique » sur ...
Une patiente de 82 ans se présente à la consultation pour une réhabilitation globale : le bridge maxillaire est en mobilité 3 et les dents résiduelles ...
VANCOUVER, Canada : La France, l'un des plus grands marchés de prothèses dentaires amovibles supra-implantaires au niveau mondial, a l'un des ...
Afin de réaliser une prothèse idéale, l’utilisation d’un guide implantaire est fortement indiquée, en particulier lorsque l’édentement atteint ...
_Il est devenu impossible aujourd’hui de traiter nos patients sans avoir recours aux nouvelles technologies. La photo et la radiographie ...
Une prothèse partielle fixe implanto- vissée présente certains avantages physiques. Toutefois, selon plusieurs études elles ont ...
La chirurgie implantaire guidée simplifie l’acte chirurgicale en facilitant le geste opératoire du praticien lors du forage, grâce au guide ...
Aujourd'hui, les prothésistes dentaires et les dentistes généralistes sont concernés par un nombre sans cesse croissant de ...
Lorsqu’il est question des dernières innovations en implantologie dentaire, l’un des sujets les plus fréquemment abordés, concerne les technologies ...
_L’objectif de cet article est de présenter à partir d’un cas clinique significatif les principes généraux, la ...
Webinaire en direct
jeu. le 14 mai 2026
à 18h00 (CET) Paris
Webinaire en direct
jeu. le 14 mai 2026
à 20h00 (CET) Paris
Prof. Hani Ounsi DDS PhD FICD
Webinaire en direct
mar. le 19 mai 2026
à 17h00 (CET) Paris
Webinaire en direct
mar. le 19 mai 2026
à 19h00 (CET) Paris
Prof. Dr. med. dent. Ivo Krejci
Webinaire en direct
mer. le 20 mai 2026
à 13h00 (CET) Paris
Dr. Graham Carmichael BDSc (Hons), DClinDent (Pros), FRACDS, Dr. Robert Gottlander DDS
Webinaire en direct
mer. le 20 mai 2026
à 15h00 (CET) Paris
Webinaire en direct
mer. le 20 mai 2026
à 19h00 (CET) Paris
Prof. Dr. med. dent. Tim Joda PhD, MSc, eMBA
To post a reply please login or register