La technique de stratification anatomique décrite par Lorenzo Vanini en 1996 est longue, difficile et ne donne pas toujours des résultats reproductibles. En effet, l’apposition des différentes couches de masse dentine puis celles des masses émail et opalescentes ainsi que la maîtrise des épaisseurs sont très chronophages et demande une longue courbe d’apprentissage. Nous proposons une technique de stratification simplifiée en 2 apports une masse dentine, la plus importante en volume qui sera recouverte d’une fine couche de masse émail (HRI, Micerium, Bisico).1.2.3 Stratifiez !
Le montage des composites a été réalisé, sans scialytique, sous plafonnier ALBEDO LED D65 (Degré K). Ceci a permis le choix précis de la teinte de la masse dentine et de la luminosité de la masse émail. La reproduction fidèle de la lumière du jour, plein nord de ce plafonnier permet le choix de la couleur au fauteuil, quel que soit la luminosité extérieure et à tout moment de la journée. De surcroit, la polymérisation du composite n’a pas été accélérée contrairement à ce qui se passe avec le scialytique.
La technique de stratification sera détaillée à travers les légendes de ce cas clinique.
embedImagecenter("Imagecenter_1_1599",1599, "large");
Comprendre la relation qualité spectrale/vision des couleurs
Les mesures scientifiques qui attestent de la qualité colorimétrique d’une source sont les mesures spectrales. Dans le visible (380 – 680 nm) l’écart entre la courbe spectrale de l’illuminant D65 (rouge) et celles des différents plafonniers exprime l’importance de la différence entre la source artificielle et la lumière du jour (D65).
La sensibilité spectrale de l’œil est variable selon les couleurs (mesurées en nm). Elle est représentée par la courbe verte (S.S.O.) : plus la courbe de la sensibilité spectrale mesurée sous le plafonnier se rapproche de celle obtenue avec l’illuminant D65, plus les couleurs seront reconnues identiquement à celles vues sous lumière du jour naturelle.
Ce cas pratique valide les avantages attendus des caractéristiques techniques de l’Albédo LED D65. La pratique vérifie la théorie : l’appareil reproduit non seulement idéalement la lumière du jour, mais permet également l’évaluation des masses de dentine et d’émail et prodigue suffisamment de lumière sur le bloc antérieur pour se passer de scialytique, tout au long de l’intervention, sans aucune accélération de la polymérisation des composites.
– L’évaluation exacte des masses est liée à plusieurs caractéristiques techniques : niveau d’éclairement, gestion des contrastes, ombres portées et gestion de la lumière réfléchie par les dents (brillance des dents sous l’éclairage).
– Le fait que la réalisation de la reconstruction se fasse sans scialytique corrobore les écrits de nombreux praticiens spécialisés en dentisterie esthétique.
– La puissance d’éclairement prodiguée par l’albédo LED D65 est idéale pour ces travaux d’esthétique. Les caractéristiques lumino-techniques de l’appareil participent à en faire un luminaire d’exception :
– LED D65 : conformité à l’illuminant normatif D65 (définition officielle de la CIE de la lumière du jour) – Niveau d’éclairement de la zone de travail = jusqu’à 3000 lux.
– Niveau de confort exceptionnel (indicateur de gêne visuelle UGR pour l’utilisateur < 13).
– Gestion des contrastes dans la salle de soin : technologie lumière du Nord (importante part indirecte de l’éclairage) La combinaison de ces paramètres permet de recréer des conditions d’éclairage identiques à celles qu’on aurait à l’extérieur.
Légende des figures :
Fig. 1_Patiente de 17 ans ayant subie à l’âge de12ans un choc frontal avec pour conséquences thérapeutiques la dévitalisation de 21 et la réalisation de 2 composites sur 11 et 21.
Fig. 2_Un éclaircissement ambulatoire à l’aide de perborate de sodium et d’eau pendant 3 semaines a été réalisé sur la 21.
Fig. 3_Après dépose des anciens composites, des biseaux longs, fins et polis ont été réalisés.
Fig. 4_Le principe d’une stratification simplifiée en 2 temps, telle que nous la proposons, est de monter une masse dentine et une masse émail. La masse dentine, la plus importante, ne descend pas jusqu’au bord triturant. Puis une fine couche de masse émail recouvrira la masse dentine et reproduira le bord triturant, ainsi une certaine translucidité pourra apparaitre.
Fig. 5_La teinte de la masse dentine a été choisie au collet, sur dent humide, avant la mise en place du champ opératoire. Le montage de la masse dentine ne reproduit pas le bord triturant.
Fig. 6_Une fine couche de masse émail recouvre la masse dentine et reproduit également le bord triturant. Le composite a été apposé sans excès important. Noter que le strip n’est pas rabattu afin de ne pas écraser l’angle de transition entre la face mésiale et vestibulaire. Ces montages sous plafonnier albédo LED D65 lumière du jour permettent de nous affranchir du scialytique et nous permet d’apprécier le résultat esthétique, en temps réel, simultanément au montage du composite.
Fig. 7_Les petits excès de composite sont éliminés à la lame de bistouri courbe et le disque de grosse granulométrie a légèrement régularisé le contour.
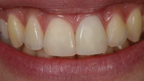
Fig. 8_Résultat avant macro, micro géographie et polissage
Fig. 9_Résultat après remodelage des angles de transition et polissage réalisée avec les 2 polissoirs Hiluster (Kerr).
Fig. 10_Vue finale à fort grossissement.
Fig. 11 et Fig.12_Mesures spectrales - « Plafonnier Degré K, Albedo LED D65 »
Fig. 13 et Fig14_Mesures spectrales - « plafonnier à tubes 965 »
Fig. 15 et Fig.16_Mesures spectrales - « autre plafonnier LED de qualité »
L’attente « esthétique » de nos patients étant désormais de plus en plus présente dans le cadre de leurs soins bucco-dentaires, il devient ...
≪ Plus on a de lumière, mieux on voit ≫ : cette affirmation totalement erronée incite les praticiens à s’équiper de scialytiques puissants et à ...
PARIS, France : Dans sa réforme des retraites proposée le 10 janvier 2023, le gouvernement d’Elisabeth Borne prévoit, outre le report de l’âge de ...
L’esthétique est l’un des éléments clés d’une restauration directe en composite. Choisir l’opacité, la saturation et la valeur correctes est ...
BERLIN, Allemagne : L'élimination progressive de l'amalgame dentaire au niveau international par le biais de la Convention de Minamata sur le mercure, ...
DAMMAM, Arabie Saoudite : La longévité esthétique reste une préoccupation centrale dans les restaurations composites antérieures, où le changement de ...
WASHINGTON, États-Unis : Des obturations en composite aux embouts d’aspiration jetables, le plastique est présent dans tous les aspects des soins ...
BETHESDA, États-Unis : La Covid-19 peut provoquer un certain nombre de symptômes dans la cavité buccale, tels que des lésions, des ulcérations et une ...
LUXEMBOURG : Un nombre élevé de dentistes en exercice n’a pas suffi à éliminer les disparités en matière de soins bucco-dentaires dans l’Union ...
PARIS, France : Les dentistes travaillent sous un éclairage artificiel puissant (scialytique et plafonnier) dont les effets physio-biologiques sur ...
Webinaire en direct
jeu. le 14 mai 2026
à 18h00 (CET) Paris
Webinaire en direct
jeu. le 14 mai 2026
à 20h00 (CET) Paris
Prof. Hani Ounsi DDS PhD FICD
Webinaire en direct
mar. le 19 mai 2026
à 17h00 (CET) Paris
Webinaire en direct
mar. le 19 mai 2026
à 19h00 (CET) Paris
Prof. Dr. med. dent. Ivo Krejci
Webinaire en direct
mer. le 20 mai 2026
à 13h00 (CET) Paris
Dr. Graham Carmichael BDSc (Hons), DClinDent (Pros), FRACDS, Dr. Robert Gottlander DDS
Webinaire en direct
mer. le 20 mai 2026
à 15h00 (CET) Paris
Webinaire en direct
mer. le 20 mai 2026
à 19h00 (CET) Paris
Prof. Dr. med. dent. Tim Joda PhD, MSc, eMBA
To post a reply please login or register