La demande esthétique croissante des patients et les propriétés biomécaniques et optiques optimales de la zircone en font un matériau de choix, largement utilise en dentisterie prothétique pour les restaurations céramiques indirectes.1–4 Récemment, la zircone cubique translucide a été introduite sur le marché en raison de ses meilleures propriétés optiques et de sa résistance au vieillissement. 3, 5, 6
Dans la mesure ou la zircone ne contient pas de matrice vitreuse, le matériau est exempt de silice et il ne peut donc pas être conditionné au moyen des techniques classiques de mordançage a l’acide.1, 7, 8 Plusieurs traitements de surface ont été proposés dans la littérature mais, à ce jour, les données sont toujours contradictoires.9, 10 En raison des propriétés physico-chimiques de la zircone, dans le cas de préparation rétentive et de prothèses de recouvrement total, les scellements conventionnels (ciments verres ionomères et ciments oxyphosphate de zinc) ainsi que les ciments hybrides CVIMAR (ciments verres ionomères modifiés par adjonction de résine) devraient être considérés comme matériaux de premier choix pour le scellement.9, 11, 12
Histoire du cas
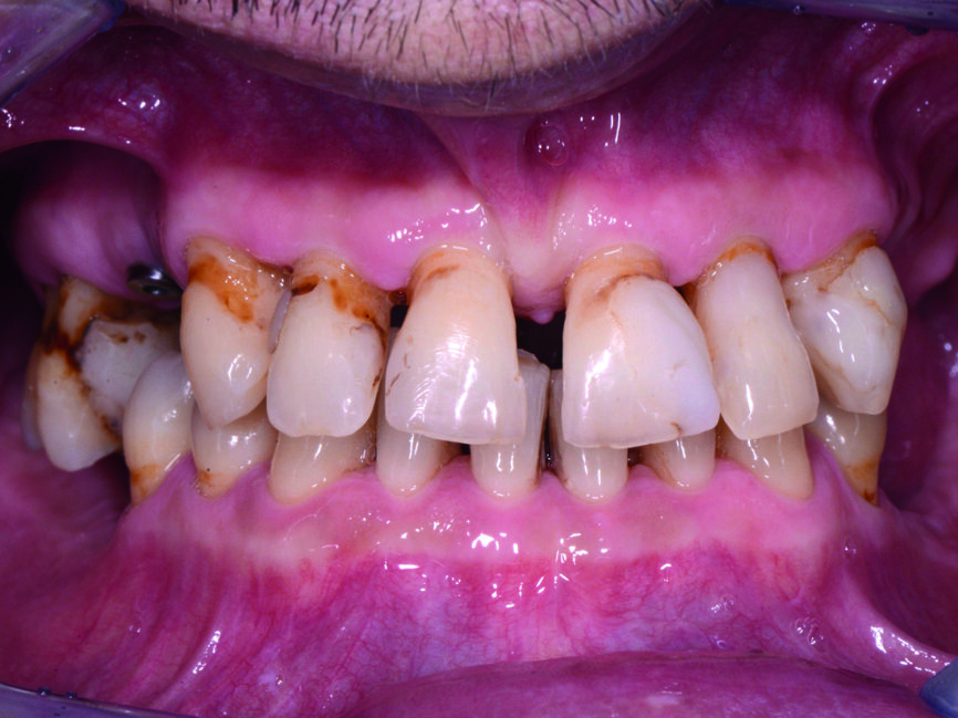
Un patient de 43 ans, traite antérieurement pour une parodontite chronique grave qui s’était stabilisée par la suite, souhaitait une restauration esthétique des deux arcades dentaires, dont l’aspect esthétique et les problèmes fonctionnels le préoccupaient (Figs. 1–2). Après l’obtention d’une stabilité occlusale satisfaisante et d’une dimension verticale d’occlusion adéquate grâce à des couronnes unitaires céramo-métalliques implanto-portées sur le secteur postérieur, une évaluation soigneuse des dents antérieures supérieures a été réalisée, afin de formuler un plan de traitement esthétique et biomécanique adapté.
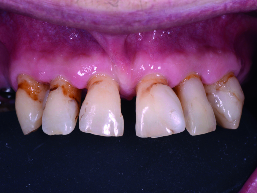
Les problèmes présentés par le patient étaient notamment : diastème, usure dentaire, activité carieuse élevée, coloration modérée, restaurations en composite insatisfaisantes, modification des proportions interdentaires, récessions gingivales et résorption osseuse modérée (Fig. 3).
Fig. 1 : Vue extra-orale préopératoire.
Fig. 2 : Vue intra-orale préopératoire.
Fig. 3 : Vue préopératoire détaillée des dents antérieures supérieures.
Fig. 4 : Préparations des dents antérieures supérieures pour la pose des couronnes unitaires.
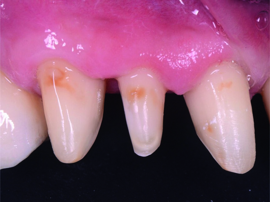
Fig. 5 : Vue détaillée du côté droit des préparations dentaires
Fig. 6 : Vue détaillée du côté gauche des préparations dentaires.
Fig. 7 : Couronnes unitaires antérieures en zircone cubique stratifiée. a : vue de l’intrados; b : vue vestibulaire.
Fig. 8 : Couronnes en zircone pour les incisives centrales supérieures remplies de ciment verre ionomère modifié par adjonction de résine.
Fig. 10 : Élimination de l’excès de ciment cervical des incisives centrales. |
Fig. 11 : Élimination de l’excès de ciment interproximal des incisives centrales.
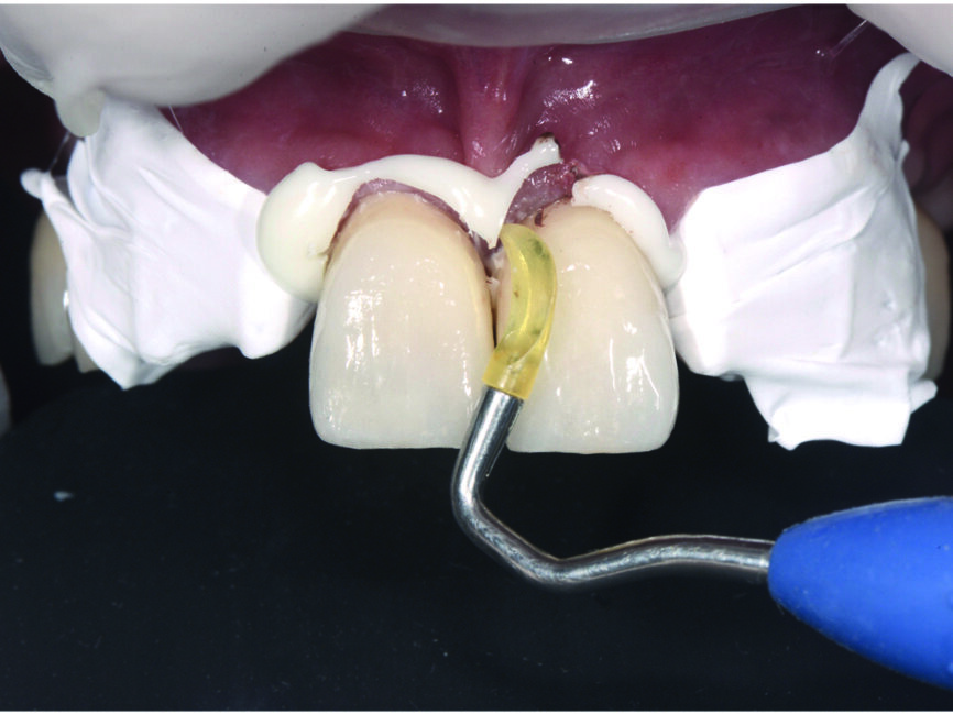
Fig. 12 : Scellement des incisives latérales supérieures avec protection en PTFE.
Fig. 13 : Scellement des canines supérieures avec protection en PTFE.
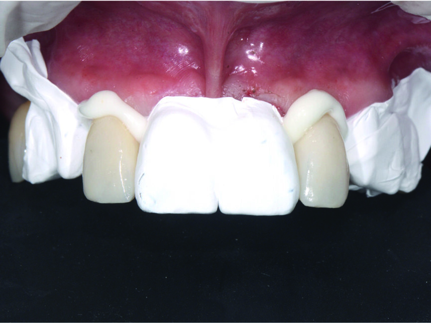
Fig. 14 : Photopolymérisation des limites marginales prothétiques des couronnes en zircone au travers d’une barrière à l’oxygène.
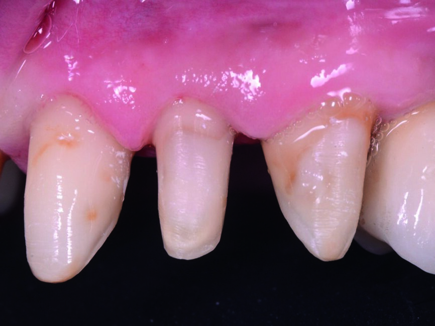
Fig. 15 : Cicatrisation des tissus mous deux semaines après le scellement : vue frontale des couronnes unitaires en zircone cubique.
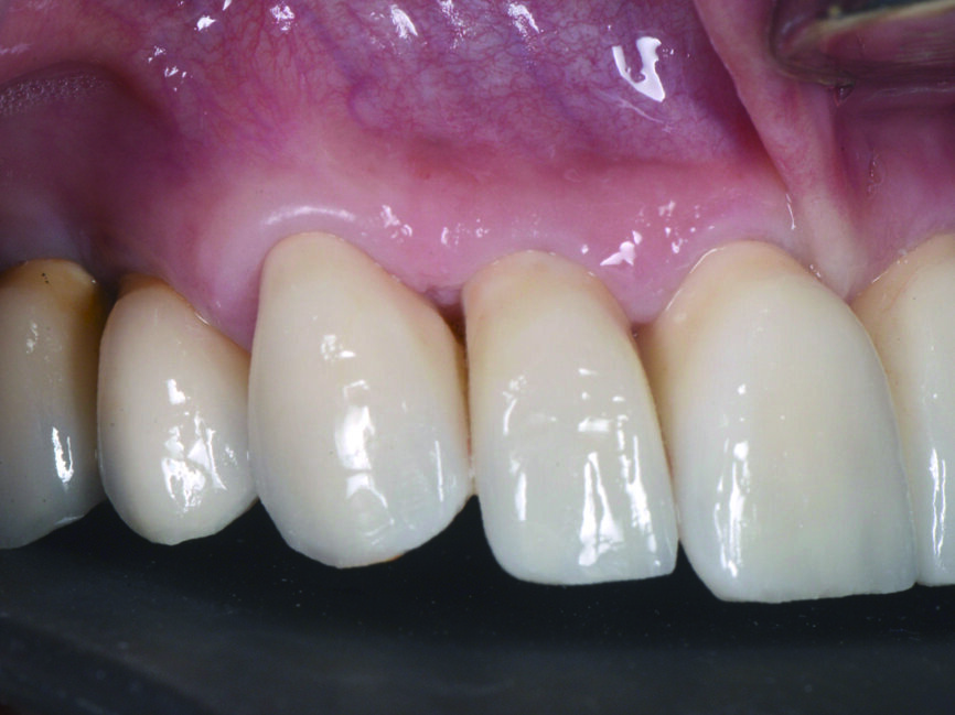
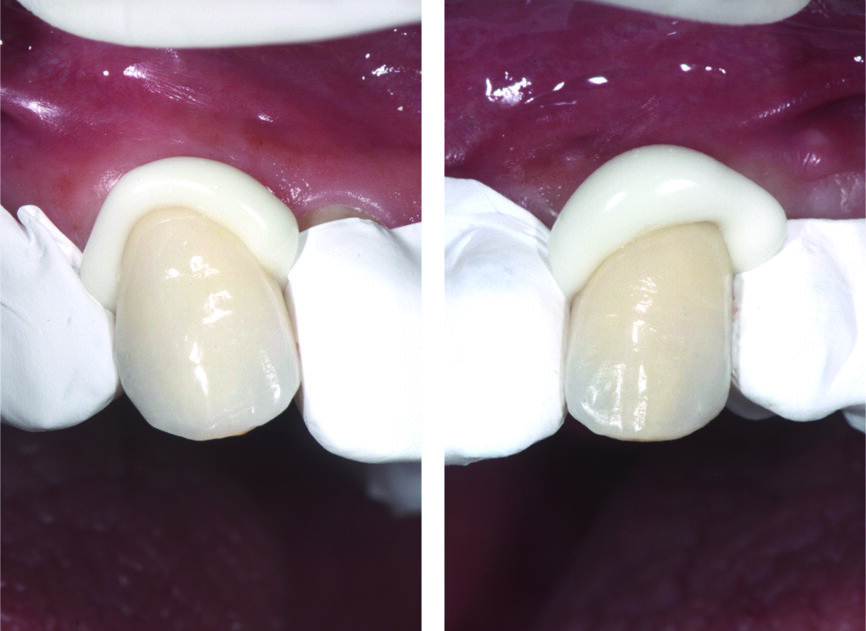
Fig. 16 : Vue détaillée postopératoire du côté droit des couronnes unitaires en zircone cubique.
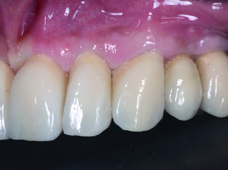
Fig. 17 : Vue détaillée postopératoire du côté gauche des couronnes unitaires en zircone cubique.
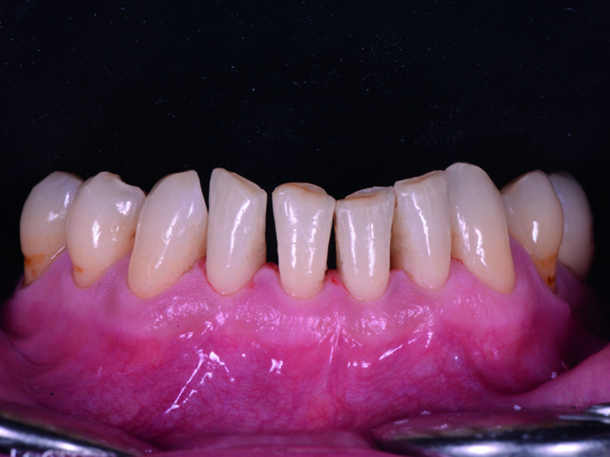
Fig. 18 : Vue préopératoire des dents antérieures inférieures.
Fig. 19 : Restauration des dents antérieures inférieures par la technique d’injection de composite (G-ænial Universal Flo).
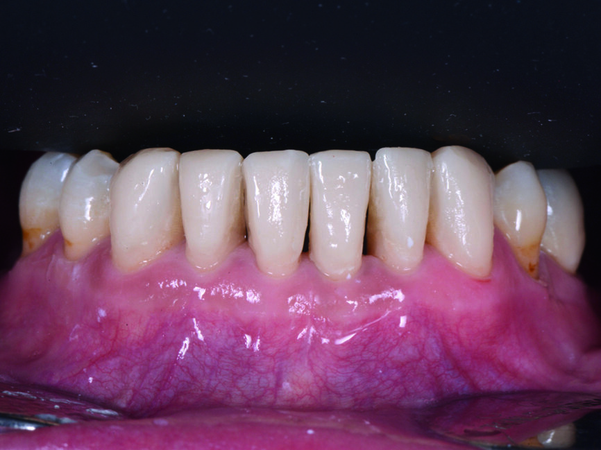
Fig. 20 : Vue postopératoire des dents inférieures restaurées par des composites injectés en technique directe.
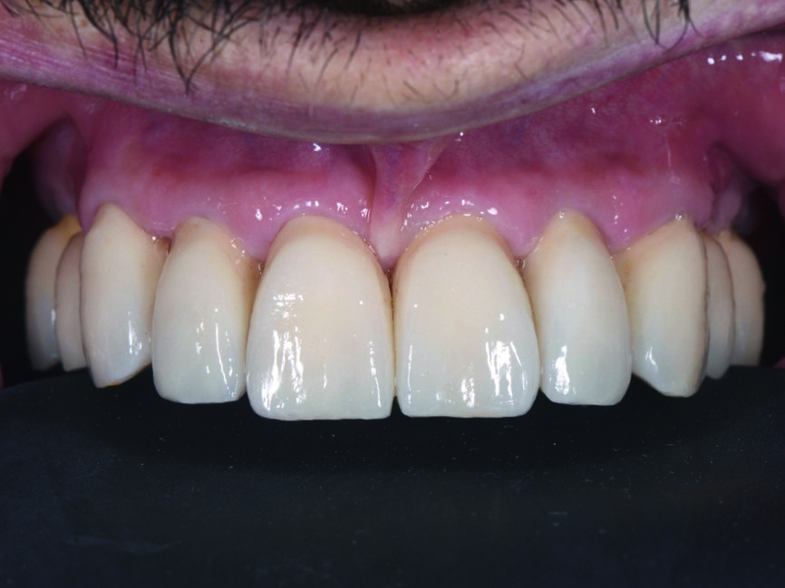
Fig. 21 : Vue postopératoire
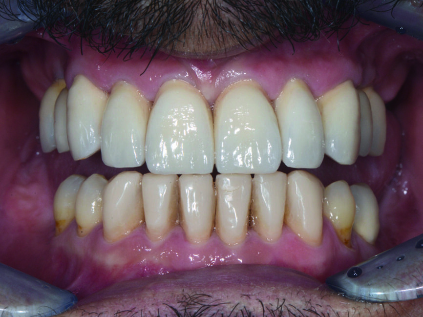
: couronnes unitaires en zircone cubique stratifiée dans l’arcade maxillaire, et restaurations en composites injectés en technique directe dans l’arcade mandibulaire.
Fig. 22 : Vérification fonctionnelle de l’occlusion au niveau de l’arcade maxillaire.
Fig. 23 : Vérification fonctionnelle de l’occlusion au niveau de l’arcade mandibulaire.
Fig. 24 : Vue extra-orale postopératoire. des incisives centrales supérieures avec protection en PTFE.
Traitement
Conformément aux exigences du patient, aux besoins esthétiques et aux problèmes biomécaniques (supraclusion, longs bras de levier) de ce cas, six couronnes unitaires en zircone cubique translucide ont été planifiées afin de parvenir à un aspect naturel des restaurations et a une résistance mécanique fonctionnelle optimale.
Les dents antérieures supérieures ont fait l’objet de préparations verticales minimalement invasives, comprenant le retrait des anciennes restaurations en composite, l’élimination des caries secondaires et le maintien d’une convergence occlusale globale satisfaisante.
Les limites marginales prothétiques ont été positionnées en juxtagingival et la pulpe de toutes les dents a été conservée (Figs. 4–6).
Le patient a porté des restaurations provisoires en résine acrylique pendant trois semaines, pour permettre le rétablissement des tissus mous après la préparation et les prises d’empreintes. Ensuite, six couronnes unitaires en zircone cubique translucide ont été fabriquées (Fig. 7). Les faces vestibulaires ont été stratifiées au moyen d’une céramique spécifique, de façon à faire ressortir l’aspect esthétique, tandis que les faces palatines fonctionnelles ont été conservées en monolithique, puis glacées pour éviter tout risque d’éclat. En raison de l’excellente biocompatibilité de la zircone, les limites marginales prothétiques juxta-gingivales ont été polies manuellement et n’ont pas été recouvertes d’une glazure, afin de favoriser la formation d’une attache épithéliale et d’optimiser l’intégration biologique des restaurations.
L’intrados en zircone de chaque couronne a été légèrement sable avec des particules d’oxyde d’aluminium (110 μm) sous une pression de 0,2 MPa. Un ciment verre ionomère de scellement pate/pate modifié par adjonction de résine innovant (FujiCEM Evolve) a été utilisé pour sceller les restaurations (Fig. 8). Etant donne que ce type d’agent de scellement ne requiert pas une isolation complète et permet d’utiliser une technique de scellement conventionnelle, des bandes de polytétrafluoroethylène (PTFE) ont été utilisées pour protéger les dents adjacentes (Fig. 9). Après la mise en place des restaurations, le ciment a été gélifié par photopolymerisation ; cette étape n’est pas impérative mais favorise une prise plus rapide de l’agent de scellement. Ensuite, l’excès de ciment a été éliminé à l’aide d’une curette en UDMA (urethane dimethacrylate) afin de ne pas endommager la glazure applique sur la surface des couronnes en ceramique (Fig. 10), et un fil dentaire a été utilisé pour nettoyer les espaces interproximaux (Fig. 11). La même approche a été utilisée pour sceller les couronnes en zircone sur les incisives laterales (Fig. 12) et les canines (Fig. 13). Finalement, la polymerisation a été achevée après l’application d’une couche faisant office de barrière à l’oxygène de façon à parvenir à la prise complète du ciment au niveau des limites marginales (Fig. 14).
Grâce à l’excellente biocompatibilité de la zircone, à la précision des limites marginales prothétiques et à la performance optimale de FujiCEM Evolve, l’aspect esthétique et l’intégration biologique des couronnes en zircone étaient idéaux deux semaines après le scellement, parallèlement à une récupération satisfaisante de la santé gingivale et une maturation parodontale adéquate (Figs. 15–17).
Des raisons économiques ont contraint le patient à opter pour une restauration des dents antérieures inferieures, ectopiques et gravement usées (Fig. 18), par un matériau composite. Cette région a donc été traitée par des restaurations directes à l’aide d’une technique d’injection de composite fluide (G-anial Universal Flo) (Figs. 19–20).
Les fonctions dynamiques et occlusales adéquates ont été restaurées et soigneusement vérifiées (Figs. 21–23). De plus, le résultat final menait à une excellente restauration esthétique de la ligne du sourire du patient (Fig. 24).
Résultat
FujiCEM Evolve a démontré plusieurs avantages, tels que la facilité d’utilisation (grâce à la possibilité d’utiliser la seringue auto mélangeuse, l’application du ciment ne dépend que très légèrement du savoir-faire du praticien), tolérance à l’humidité (une propriété idéale en présence de limites juxta-gingivales ou sous- gingivales et ne requérant aucune isolation) et polyvalence (convient à différents matériaux de restauration). Singulièrement, dans le présent cas, cet agent de scellement a été utilisé pour assembler les couronnes en zircone dans les régions antérieures ainsi que les couronnes métallo-céramiques sur les implants postérieurs, et il a démontré la même fluidité et la même facilité d’élimination des excès de ciment grâce à sa consistance caoutchouteuse agréable, ce qui est très utile pour éviter l’incorporation de particules dans les tissus mous. Par ailleurs, aucun prétraitement de la céramique n’est indispensable avant l’application du ciment et la technologie à polymérisation duale favorise une prise plus rapide due à la photopolymérisation.
Grâce à ses caractéristiques innovantes, FujiCEM Evolve écarte tout risque de sensibilité postopératoire et sa radio-opacité facilite considérablement l’identification des excès sous- gingivaux éventuels.
Remerciements
L’auteur tient à remercier le maitre prothésiste Vincenzo Mutone pour le soutien offert par le laboratoire dentaire.
Pr Roberto Sorrentino, Italie : DDS, MSc, PhD, professeur et chercheur en dentisterie prothétique et dentisterie numérique à l’université Federico II de Naples. Professeur dans le cadre du cycle de master international de l’université de Sienne en collaboration avec l’académie italienne de dentisterie prothétique (AIOP – Accademia Italiana di Odontoiatria Protesica). Chargé de cours dans plusieurs cycles de master et troisièmes cycles nationaux et internationaux. Chercheur, expert et conseiller pour des entreprises dentaires nationales et internationales. Auteur de plus de 150 articles parus dans des revues scientifiques à comité de lecture, nationales et internationales, et co-auteur de chapitres de livres sur la dentisterie prothétique. Examinateur pour plus de 30 revues scientifiques à comité de lecture internationales. Conférencier à l’occasion de rencontres nationales et internationales. Lauréat de nombreux prix nationaux et internationaux pour la recherche et les activités cliniques en dentisterie prothétique, dentisterie esthétique, biomécanique et matériaux dentaires. Cofondateur du blog et de la communauté dentaire Zerodonto (www.zerodonto.com).
Note de la rédaction : Article paru dans le journal Dental Tribune France, volume 12, numéro 2/2020/./em>
Références
1 Zarone F, Russo S, Sorrentino R. From porcelain- fused-to-metal to zirconia: clinical and experimental considerations. Dent Mater 2011;27:83-96.
2 Fabbri G, Fradeani M, Dellifi corelli G, et al. Clinical evaluation of the infl uence of connection type and restoration height on the reliability of zirconia abutments: A retrospective study on 965 abutments with a mean 6-year follow-up. Int J Periodontics Restorative Dent 2017;37:19-31.
3 Shahmiri R, Standard OC, Hart JN, Sorrell CC. Optical properties of zirconia ceramics for esthetic dental restorations: A systematic review. J Prosthet Dent. 2018;119:36-46.
4 Zhang Y, Lawn BR. Evaluating dental zirconia. Dent Mater. 2019 Jan;35(1):15-23.
5 Camposilvan E., Leone R, Gremillard L, et al. Aging resistance, mechanical properties and translucency of different yttria-stabilized zirconia ceramics for monolithic dental crown applications. Dent Mater. 2018;34:879-890.
6 Rodrigues CDS, Aurelio IL, Kaizer MDR, Zhang Y, May LG. Do thermal treatments affect the mechanical behavior of porcelain-veneered zirconia? A systematic review and metaanalysis. Dent Mater. 2019 Mar 4. pii: S0109- 5641(18)31467 2.xs.
7 Zarone F, Sorrentino R, Vaccaro F, et al. Acid etching surface treatment of feldspathic, alumina and zirconia ceramics: a micromorphological SEM analysis. Int Dent South Afr. 2006;8:50-56. 274.
8 Maroulakos G, Thompson GA, Kontogiorgos ED. Effect of cement type on the clinical performance and complications of zirconia and lithium disilicate tooth-supported crowns: A systematic review. Report of the Committee on Research in Fixed Prosthodontics of the American Academy of Fixed Prosthodontics. J Prosthet Dent. 2019 Mar 15. pii: S0022-3913(18)30712-1. doi: 10.1016/j.prosdent. 2018.10.011. [Epub ahead of print].
9 Pilo R, Dimitriadi M, Palaghia A, Eliades G. Effect of tribochemical treatments and silane reactivity on resin bonding to zirconia. Dent Mater. 2018;34:306- 316.
10 Schunemann FH, Galarraga-Vinueza ME, Magini R, Fredel M, Silva F, Souza JCM, Zhang Y, Henriques B. Zirconia surface modifications for implant dentistry. Mater Sci Eng C Mater Biol Appl. 2019;98:1294- 1305.
11 Papia E, Larsson C, du Toit M, Vult von Steyern P. Bonding between oxide ceramics and adhesive cement systems: a systematic review. J Biomed Mater Res B Appl Biomater. 2014;102:395-413.
12 Luthra R, Kaur P. An insight into current concepts and techniques in resin bonding to high strength ceramics. Aust Dent J. 2016;61:163-173.
Liste des traitements (nomenclature FDI)
_Dent 22 mbd : revêtement composite direct par mordançage à l'acide.
_Dent 21 mbd : ...
La technique d’injection de résine composite est un nouveau procédé direct/indirect, tout à fait original, qui permet de ...
CRETEIL, France : L'utilisation de ciment à base de silicate tricalcique en remplacement de l´os afin de stabiliser l’implant dentaire ...
De nombreuses personnes rêvent d’avoir un sourire charmeur qui découvre tout à la fois des dents bien régulières et ...
HATTERSHEIM AM MAIN, Allemagne: En 1976, Kuraray a introduit son premier monomère adhésif – le monomère de phosphate Phenyl-P. Les années suivantes, ...
« Ma main se sent touchée aussi bien qu’elle touche. Réel veut dire cela, rien de plus », Paul Valéry.
Dans notre ...
NEW YORK, USA/LEIPZIG, Allemagne : Novalar Pharmaceuticals a annoncé avoir choisi Sanofi-Aventis, Allemagne, comme distributeur exclusif de leur ...
La dernière édition du Congrès de l’ADF, qui s’est tenue du 26 au 30 novembre dernier, a primé via son Prix de l’Innovation, la société Itena ...
PARIS, France : Créé à l’initiative de l’Association dentaire française, d’universitaires et de partenaires ...
Le remodelage du contour des tissus mous péri-implantaires au moyen de couronnes provisoires en résine après la pose d’un implant...
Webinaire en direct
jeu. le 14 mai 2026
à 18h00 (CET) Paris
Webinaire en direct
jeu. le 14 mai 2026
à 20h00 (CET) Paris
Prof. Hani Ounsi DDS PhD FICD
Webinaire en direct
mar. le 19 mai 2026
à 17h00 (CET) Paris
Webinaire en direct
mar. le 19 mai 2026
à 19h00 (CET) Paris
Prof. Dr. med. dent. Ivo Krejci
Webinaire en direct
mer. le 20 mai 2026
à 13h00 (CET) Paris
Dr. Graham Carmichael BDSc (Hons), DClinDent (Pros), FRACDS, Dr. Robert Gottlander DDS
Webinaire en direct
mer. le 20 mai 2026
à 15h00 (CET) Paris
Webinaire en direct
mer. le 20 mai 2026
à 19h00 (CET) Paris
Prof. Dr. med. dent. Tim Joda PhD, MSc, eMBA
To post a reply please login or register