De nombreuses personnes rêvent d’avoir un sourire charmeur qui découvre tout à la fois des dents bien régulières et bien blanches. Le traitement orthodontique est évidemment une possibilité d’y parvenir, mais bien des patients préféreraient ne pas devoir porter des arcs dentaires ou attendre les résultats pendant des mois. Pour ce qui est de ce sourire éclatant, le blanchiment seul ne donne que des résultats peu convaincants chez certains patients. Une autre possibilité qui s’offre donc à ces personnes est la pose de facettes en porcelaine, mais comme on le sait, ce traitement peut représenter un coût trop élevé pour bon nombre d’entre elles. Il leur reste un autre choix, celui de facettes en composite. Toutefois, diverses raisons poussent les chirurgiens-dentistes à ignorer cette solution. Il est en effet difficile de parvenir au niveau de compétence et de maîtrise de la technique, permettant de poser des facettes en composite qui offrent l’esthétique de la porcelaine.
Plusieurs difficultés entourent les facettes en composite stratifié, notamment et pour n’en citer que quelques-unes, la présence de bulles dans les couches, la difficulté des contacts, l’irrégularité des couleurs entre couches et le lustre qu’il est malaisé d’obtenir en bouche avec un composite. Bien qu’il soit possible de surmonter ces inconvénients, le processus exige du temps. Si un chirurgien-dentiste a besoin de consacrer une demi-journée de travail à la création de huit facettes en composite, ses honoraires doivent correspondre à la moitié de son objectif de production quotidienne, pour rentabiliser son activité. De plus, il lui faut également prendre en compte les retouches subséquentes et les futurs rendez-vous pour les réparations.
Une autre solution
3M ESPE a récemment introduit un nouveau matériau de restauration qui élimine nombre des obstacles à la création de facettes esthétiques, couronnes, inlays et onlays, et est financièrement abordable. La résine LavaTM Ultimate de 3M ESPE est une nouvelle classe de matériau issu de la CFAO, qui offre l’avantage d’un procédé rapide et sans cuisson. Une grande expérience des céramiques et des nanotechnologies a permis à 3M ESPE de développer cette résine nanocéramique composée de 80 % environ de nanoparticules de céramique, noyées dans une matrice en résine extrêmement dure.
Cette technologie confère au matériau un poli remarquable et une brillance pérenne, une excellente résistance à l’usure, et des propriétés antitaches assurant une stabilité de la couleur. Par ailleurs, la facilité de fraisage des blocs, contribue à la productivité maximale du système E4D. Une fois fraisées, les restaurations peuvent être polies en quelques minutes seulement, sans le besoin d’une phase de cuisson supplémentaire. En bouche, le matériau peut également être aisément retouché et réparé avec un composite, ce qui permet aux chirurgiens-dentistes de reconstruire et resceller les restaurations. Le matériau est disponible en huit teintes, dont quatre offrent deux niveaux de translucidité, haute et basse. Forts de ces choix, les chirurgiens-dentistes disposent ainsi de nombreuses possibilités pour créer une esthétique naturelle. 3M ESPE propose ce matériau avec une garantie de 10 ans et donne ainsi un gage éloquent de sa résilience en bouche. Le matériau de restauration est incroyablement résistant et absorbe les chocs. Il représente en fait le choix idéal pour les restaurations implanto-portées, en raison de sa résistance à la flexion et de son faible taux d’usure. Ces propriétés contribuent à réduire les contraintes sur l’implant.
En termes de facettes, l’utilisation de ce matériau en résine nanocéramique élimine bien des difficultés décrites précédemment. Le matériau a une couleur uniforme, il est dépourvu de vides et reproduit pratiquement, sinon parfaitement, l’éclat de la porcelaine enduite de glaçure. L’anatomie, la position du bord incisif, les contacts interproximaux et le poli, tout est prêt avant la venue du patient au cabinet dentaire. Nanti de ces attributs, la résine Lava Ultimate est un matériau très intéressant pour augmenter l’efficacité de la restauration par des facettes et simplifier le processus. Elle représente pour les patients un matériau plus abordable pour obtenir le changement de look du sourire dont ils rêvent. Le cas décrit ci-dessous va nous permettre de démontrer tous ces avantages.
embedImagecenter("Imagecenter_1_1028",1028, "large");
Étude de cas
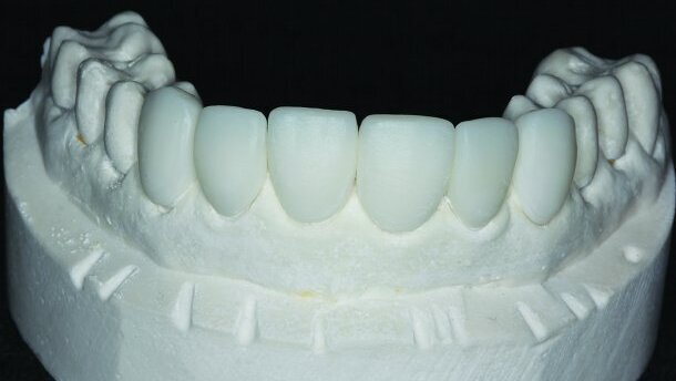
Une patiente exerçant une profession très en vue, s’est présentée à mon cabinet dentaire avec l’objectif de s’offrir un nouveau sourire, plus épanoui, qui découvrirait des dents plus longues (Fig. 1). Mais si elle le souhaitait un peu plus blanc, elle le voulait aussi d’un aspect toujours très naturel. Au vu de ses exigences, des facettes en céramique représentaient le traitement de premier choix pour cette patiente. Toutefois, cette solution était trop coûteuse et après avoir discuté des pour et des contre, nous avons opté pour des facettes façonnées avec Lava Ultimate, qui semblaient être le meilleur choix. Nous avons sélectionné la teinte BL1 et discuté avec la patiente de ses attentes esthétiques (Fig. 2). Les empreintes ont été prises, puis un montage en cire (wax-up) a été élaboré par le clinicien et approuvé par la patiente (Fig. 3).
Lors de la visite préparatoire, seul un anesthésique local a été utilisé pour poser un cordon rétracteur. Celui-ci (Ultrapak 000, Ultradent) a été placé au moyen d’un gel hémostatique (ViscoStat Clear, Ultradent) servant de lubrifiant. La pose du cordon au début de la visite garantissait un temps suffisant pour une rétraction adéquate des tissus. Des fraises diamantées à gros et fins grain (856LC et 856LF, Axis Dental) ont été utilisées pour une préparation minimale des dents, et le composite existant a été éliminé (Fig. 4). Des bandes-matrices interdentaires diamantées (matrices de finition diamantées et perforées à grain moyen, Axis Dental) ont servi à rompre légèrement le contact entre les dents, afin d’améliorer la précision de l’empreinte (Fig. 5). La bande-matrice interdentaire n’a été passée qu’une seule fois, pour éviter de créer un « contact ouvert ». Les préparations minimales ont ensuite été rincées et vérifiées. La prise des empreintes a été réalisée en utilisant le matériau ImprintTM 3 VSP de 3M ESPE, et un matériau de restauration provisoire (Luxatemp Fluorescence, Zenith Dental) a été placé à l’aide d’une matrice fabriquée à partir du montage en cire (Fig. 6). L’excès de matériau a été éliminé au moyen de fraises en carbure à 12 cannelures (fraise carbure à finir TDF-9UF, Axis Dental) et poli avec une pâte de diamant (Zircon-Brite, DVA). L’utilisation d’un wax-up lisse et d’une matrice bien élaborée assure un minimum de nettoyage.
Les restaurations provisoires ont ensuite été laissées en place durant plusieurs semaines, afin de vérifier la compatibilité de la nouvelle longueur dentaire avec les caractéristiques occlusales de la patiente. L’empreinte a ensuite été scannée au moyen du système E4D (Fig. 7). Les facettes en résine Lava Ultimate ont été dessinées et fraisées dans la teinte BL1 (Fig. 8), puis elles ont été retirées du bloc avec un disque diamanté (D805EF-160, Axis Dental) et les tiges de coulée éliminées avec des meulettes à faible échauffement (GF703-HP100, Axis dental).
Les facettes ont été essayées sur un modèle en plâtre-pierre, afin de vérifier la précision de l’ajustage et des contacts (Fig. 9). Chacune d’elles a été façonnée individuellement, modelée à une forme anatomique (fraise diamantée de qualité laboratoire M842R-018HP, Axis dental), puis nivelée (prépolisseur Ceraglaze P344, Axis dental). Les facettes ont ensuite été polies avec une pâte de diamant (Zircon-Brite, DVA) et des meulettes Robinson, afin d’obtenir une brillance comparable à une glaçure. Le polissage de la résine Lava Ultimate peut produire un très grand éclat, comparativement aux composites stratifiés classiques.
Lors de la visite d’ajustage, les facettes ont été essayées et approuvées par la patiente. Les dents ont été mordancées pendant 15 secondes (Ulra-Etch, Ultradent), rincées, préparées avec un adhésif (Optibond Solo Plus, Kerr), puis chacune a été photopolymérisée pendant 10 secondes (Fig. 9). Un agent de mordançage a été appliqué par petites touches, puis étalé avec un embout rapide, afin de garantir un recouvrement suffisant. Un protège-langue et un bourrelet occlusal en cire ont été utilisés pendant cette étape ; s’il avait été constaté que la salive, due à la déglutition de la patiente, contaminait les dents pendant le scellement, une digue de caoutchouc aurait été utilisée. Une couche d’adhésif (Optibond Solo Plus, Kerr) a été appliquée sur la surface interne de chaque facette et durcie pendant trois secondes. Un ciment résine (NX 3, Kerr) a été placé sur les facettes qui ont ensuite été posées sur les dents, en commençant par les dents centrales et en poursuivant vers les éléments latéraux, jusqu’à ce que toutes les facettes aient été posées. L’excès de ciment présent sur les faces vestibulaires et linguales a ensuite été éliminé avec de petits rouleaux de coton et l’ajustage des facettes a été vérifié. Le ciment de scellement a été durci ponctuellement pendant trois secondes sur chaque dent. L’excès de ciment a ensuite été éliminé des espaces interdentaires avec une soie dentaire et un scalpel. Les facettes ont été photopolymérisées pendant 20 secondes, afin d’assurer la prise complète du ciment. Des fraises à finir (TDF-9UF, carbure, Axis dental) ont ensuite été utilisées pour enlever le ciment résiduel, affiner les bords et équilibrer l’occlusion (Fig. 10). Les photos postopératoires ont été prises après séchage complet, pour contrôler le niveau de polissage réellement obtenu (Figs. 11, 12). Il faut noter l’ajout des deux facettes sur les premières prémolaires. La patiente a été si satisfaite du résultat obtenu avec les six premières facettes, qu’elle est revenue nous consulter pour la pose de deux facettes supplémentaires, afin de parfaire son sourire !
_Conclusion
Pendant de nombreuses années, le coût des matériaux disponibles pour la restauration par des facettes était élevé, la technique assez délicate, ou les délais de traitement très longs, si pas tout à la fois. Ces inconvénients ayant probablement amené de nombreux patients à différer ou réduire le traitement, ils ont non seulement entraîné une perte d’activité pour les professionnels dentaires, mais aussi un sentiment de frustration permanente des patients au regard de leur sourire.
À chaque introduction d’un nouveau matériau de restauration sur le marché, il revient aux utilisateurs du système E4D d’évaluer avec circonspection, ses possibilités d’intégration efficace et productive dans le cabinet dentaire. L’exemple de ce cas traité par des facettes façonnées avec la résine Lava Ultimate, illustre parfaitement comment le choix du matériau de restauration bien adapté, peut combler les souhaits des patients et des chirurgiens-dentistes. L’utilisation de la résine nanocéramique Lava Ultimate, permet à l’équipe dentaire de rentabiliser la restauration par facettes en composite, tout en éliminant tout stress. Elle la rend également financièrement abordable et attrayante pour les patients de condition moyenne.
Ce cas ne m’a pris qu’une heure et demie. Trente minutes ont été nécessaires à la préparation des dents et il a suffi d’une heure pour sceller les huit facettes. Mon équipe dentaire s’est chargée de terminer le travail. En conclusion, un traitement à la fois sans stress et très rentable pour le cabinet dentaire. Il a offert à la patiente un sourire tout neuf dont elle était beaucoup plus satisfaite. De plus, la durabilité du matériau utilisé, lui assurait de garder sa splendeur et son naturel pendant de nombreuses années.
Les facettes ne sont qu’une des indications de la nanocéramique Lava Ultimate. Elle est également très utile pour le traitement de couronnes, inlays, onlays, et la possibilité de la préparer en bouche avec un composite, la rend très intéressante par rapport aux nombreux matériaux dont le fraisage est moins aisé. Grâce à son fraisage rapide et son procédé sans cuisson, Lava Ultimate cadre tout naturellement avec l’optimisation de la productivité du système E4D. Le grand éclat et la durabilité du matériau éliminent toute concession esthétique. Les chirurgiens-dentistes qui utilisent le système E4D possèdent aujourd’hui un matériau merveilleux, résistant et polyvalent, qui représente un « ajustage naturel » de leurs objectifs de productivité.
Note de la rédaction : cet article est paru dans le magazine CAD/CAM France, Vol.3, N° 4/2013.
Du 15 mars au 30 avril 2019 profitez de 7 500€ de consommables ou de 30 implants OFFERTS pour l’achat de la panoramique XG 3D Dentsply Sirona.
Difficile de savoir qui est Antony, tant les passions qui l’animent sont riches et variées. Que fait-il ? Quand une amie m’a parlé...
L’esthétique est une demande croissante au sein des cabinets dentaires, et les facettes suscitent un réel engouement de la part des patients depuis de ...
DAMMAM, Arabie Saoudite : La longévité esthétique reste une préoccupation centrale dans les restaurations composites antérieures, où le changement de ...
THIRLMERE, Australie : Vous avez fait un voyage en Australie dans les années 80 et vous avez perdu votre dentier lors d’une promenade en ...
L’utilisation des procédés CFAO pour la réalisation de nos restaurations céramique est désormais une technologie répandue, forte de la diversité de...
De nombreux auteurs recommandent d’éviter les tenons radiculaires pour restaurer des molaires traitées endodontiquement, car ils n’améliorent pas la ...
PARIS, France : Ça y est vous êtes à l’ADF, plein d’enthousiasme, prêt à choisir votre nouveau fauteuil.
Cependant vous êtes face à un choix ...
Intéressée depuis toujours pas l’esthétique dentaire, le Dr Jacobson a eu l’idée de mettre au point ses propres ...
Liste des traitements (nomenclature FDI)
_Dent 22 mbd : revêtement composite direct par mordançage à l'acide.
_Dent 21 mbd : ...
Webinaire en direct
jeu. le 14 mai 2026
à 18h00 (CET) Paris
Webinaire en direct
jeu. le 14 mai 2026
à 20h00 (CET) Paris
Prof. Hani Ounsi DDS PhD FICD
Webinaire en direct
mar. le 19 mai 2026
à 17h00 (CET) Paris
Webinaire en direct
mar. le 19 mai 2026
à 19h00 (CET) Paris
Prof. Dr. med. dent. Ivo Krejci
Webinaire en direct
mer. le 20 mai 2026
à 13h00 (CET) Paris
Dr. Graham Carmichael BDSc (Hons), DClinDent (Pros), FRACDS, Dr. Robert Gottlander DDS
Webinaire en direct
mer. le 20 mai 2026
à 15h00 (CET) Paris
Webinaire en direct
mer. le 20 mai 2026
à 19h00 (CET) Paris
Prof. Dr. med. dent. Tim Joda PhD, MSc, eMBA
To post a reply please login or register