En 1954, Buonocore1 a déclenché une véritable révolution en dentisterie en démontrant la possibilité de renforcer l’adhésion entre la résine composite et l’émail, par une technique de mordançage au moyen d’acide orthophosphorique. L’application pratique de sa théorie a totalement bouleversé les règles de la dentisterie conservatrice et l’a fait basculer du concept qui prônait « l’extension prophylactique, au détriment des tissus dentaires sains »2 à celui de « dentisterie minimalement invasive ».3 Par la suite, cette pratique a également été appliquée avec de nombreux avantages pour l’orthodontie4 et la dentisterie pédiatrique.5 Mais, si aujourd’hui cette technique adhésive est majoritairement utilisée en dentisterie, il n’en demeure pas moins certains problèmes à résoudre.
À vrai dire, la profondeur du mordançage est variable et imprévisible,6 ainsi que le type de mordançage acide selon la classification de Silverstone.7, 8 De plus, le rinçage n’arrête pas toujours complètement l’effet du mordançage acide dans la profondeur de l’émail exposé9 et surtout, la maîtrise de la géométrie et de l’étendue de la zone amélaire mordancée relève du défi clinique.10
Dans le but d’éliminer ces inconvénients, plusieurs techniques de remplacement de l’acide orthophosphorique ont été proposées au fil des ans, notamment l’aéro-abrasion et l’utilisation d’acide maléique,11–13 mais les résultats n’ont jamais été très convaincants. En 1990, Hibst et Keller14 ont démontré la possibilité d’utiliser le laser Er:YAG pour la préparation des cavités en dentisterie conservatrice.
Cette longueur d’onde (2 940 nm), très proche des pics d’absorption de l’eau (3 000 nm) et de l’hydroxyapatite (2 800 nm) largement présentes dans l’émail et la dentine, provoque l’explosion de l’eau intracellulaire et en conséquence, la destruction des tissus dentaires.15
Au cours des dernières années, les nombreux avantages qu’offre l’utilisation de la technologie laser, par comparaison avec les instruments rotatifs traditionnels, ont été décrits et démontrés par des tests in vitro, ex vivo et in vivo.16–19
embedImagecenter("Imagecenter_1_1837",1837, "large");
Une étude intéressante, fondée sur un questionnaire administré à 100 patients, a évalué leur satisfaction après un traitement dentaire conservateur par laser Er:YAG : tous les patients ont indiqué qu’ils souhaitaient ne plus être traités que par laser et qu’ils se proposaient également de conseiller ce choix de traitement à leurs amis.20
Un aspect controversé de la préparation au laser Er:YAG demeure cependant le besoin d’utiliser l’acide orthophosphorique après l’exposition au rayonnement. Selon la théorie la plus acceptée, il est nécessaire de procéder à un mordançage classique après une préparation au laser, pour obtenir la force de liaison maximale avec un minimum de micro-infiltrations.21
Depuis peu, on s’est mis à attacher beaucoup d’importance au mode de rayonnement, en particulier à la durée d’impulsion. Une étude in vitro remarquable,22 portant sur l’évaluation de la force d’adhésion au moyen d’un test de traction et l’analyse morphologique par microscopie électronique à balayage (SEM) et microscopie à force atomique, a démontré les effets similaires produits par le rayonnement laser Er:YAG seul, et le mordançage à l’acide. Les essais ont été menés avec un laser fonctionnant en mode dit « QSP » (Quantum Square Pulse – Fotona, Ljubljana, Slovénie), dans lequel chaque impulsion est scindée en plusieurs impulsions plus courtes, qui se suivent idéalement à un rythme très rapide. L’exposition au laser a permis d’obtenir une rugosité de surface spécifique et on peut donc conclure que le dispositif représente une solution de remplacement du mordançage à l’acide très valable. L’eau et l’hydroxyapatite ne sont pas les seuls éléments pour lesquels le laser Er:YAG possède une haute affinité – ses interactions avec le polyméthacrylate de méthyle (PMMA) et le dioxyde de silicium sont également très intéressantes vu que la résine composite contient des concentrations élevées de ces deux molécules.
D’un point de vue clinique, ces propriétés font du laser Er:YAG un outil très efficace pour éliminer les anciennes restaurations en composite et obtenir une surface rugueuse, apte à être liée à une nouvelle couche de résine, ce que les instruments rotatifs classiques ne permettent pas de réaliser.23–24
_Cas cliniques
Cas 1
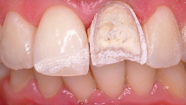
La patiente DK, une femme âgée de 24 ans, s’est présentée à notre centre dentaire, afin d’améliorer l’apparence esthétique de son incisive centrale supérieure gauche, qui avait été traitée de nombreuses années auparavant par une restauration majeure en résine composite (Fig. 1). La patiente a expliqué qu’un accident de la route, douze ans plus tôt, avait causé une avulsion traumatique spontanée de la dent, qui avait été réimplantée après un traitement canalaire. L’examen radiographique a révélé une résorption radiculaire importante, excluant la préparation d’une couronne (Fig. 2).
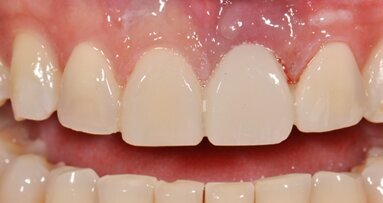
Les couches superficielles de résine de la dent 21, ainsi que de la partie distale de la dent 11 ont été éliminées au laser Er:YAG (LightWalker AT, Fotona, Slovénie) réglé selon les paramètres suivants : 250 mJ, 10 Hz, mode impulsionnel déclenché (SSP), pièce à main sans contact, pulvérisation air/eau. Le traitement a duré environ sept minutes. Aucun agent anesthésique n’a été utilisé et la patiente n’a signalé aucune douleur ou désagrément (Fig. 3). Un gel à base d’acide orthophosphorique à 37 % a ensuite été appliqué sur la surface traitée pendant 15 minutes (Fig. 4). La surface a été rincée, séchée et une couche d’adhésif a été appliquée puis polymérisée au moyen d’une lampe à diode électroluminescente (LED). Ensuite, une couche de résine composite a été appliquée, polymérisée et polie (Figs. 5–6).
Cas 2
La patiente PG, une femme âgée de 21 ans, s’est présentée à notre centre dentaire pour un blanchiment des arcades dentaires (Fig. 7). Le traitement se composait d’un gel à base de peroxyde d’hydrogène et d’un colorant rouge (Fig. 8). La réaction de blanchiment a été accélérée au moyen d’un laser Nd:YAG (Fidelis Plus III, Fotona, Slovénie). Nous avions informé préalablement la patiente que l’agent de blanchiment était actif dans l’émail seulement, et pas dans un matériau composite. Le traitement laisserait donc apparaître une différence chromatique entre la surface naturelle et la surface restaurée d’une couronne (Fig. 9).
Pour résoudre ce problème, la couche superficielle distale de l’incisive centrale supérieure droite a été éliminée au laser Er:YAG (Fidelis Plus III, Fotona, Slovénie) réglé selon les paramètres suivants : 250 mJ, 10 Hz, mode impulsionnel déclenché (SSP), pièce à main sans contact, pulvérisation air/eau (Fig. 10). Le traitement a duré environ 140 secondes. Aucun agent anesthésique n’a été utilisé et la patiente n’a signalé aucune douleur ou désagrément. Un gel à base d’acide orthophosphorique à 37 % a ensuite été appliqué sur la surface traitée pendant 15 minutes (Fig. 11). La surface a été rincée, séchée puis une couche d’adhésif a ensuite été appliquée et polymérisé au moyen d’une lampe à diode électroluminescente (LED). Ensuite, une couche de résine composite a été appliquée, polymérisée et polie (Fig. 12).
Cas 3
Le patient LC, un homme âgé de 37 ans, s’est présenté à notre centre dentaire en raison d’un édentement unitaire au niveau d’une première molaire inférieure. Vu la présence d’anciennes restaurations avec des amalgames assez importants dans les dents voisines (dent 45 et dent 47), nous avons décidé d’éliminer ces obturations et de les remplacer par un bridge à incrustations de porcelaine (bridge californien) collé à la résine composite (Fig. 13).
L’élimination des amalgames et la préparation des cavités ont été réalisées au moyen d’instruments rotatifs classiques et de fraises en carbure (Fig. 14) ; ensuite une empreinte a été prise en vue de fabriquer le bridge. Afin de renforcer l’adhésion, un laser Er:YAG (Fidelis Plus III, Fotona, Slovénie) a été utilisé pour préparer l’émail avant le scellement. Les réglages du dispositif étaient les suivants : 150 mJ, 10 Hz, mode impulsionnel déclenché (SSP), pièce à main sans contact, pulvérisation air/eau (Fig. 15). Le traitement a duré environ 70 secondes. Aucun agent anesthésique n’a été utilisé et le patient n’a signalé aucune douleur ou désagrément. Les faces internes du bridge ont été traitées de manière similaire, au moyen des mêmes réglages, et terminées avec des résines composites renforcées de fibres de verre (Targis-Vectris, Ivoclar, Italie, Figs. 16 et 17).
Outre la création d’une surface rugueuse du composite, l’examen au microscope optique a révélé que l’exposition au laser avait également éliminé la résine autour des fibres, ce qui permettait une bonne pénétration de l’adhésif et donc une adhésion plus forte (Figs. 18–22). Ensuite, un gel à base d’acide orthophosphorique à 37 % a été appliqué pendant 15 minutes sur les surfaces dentaires traitées (Fig. 23). Ces dernières ont alors été rincées, séchées puis une couche d’adhésif a été appliquée et polymérisée au moyen d’une lampe à diode électroluminescente (LED). Une couche de résine composite a été appliquée, puis le bridge a été mis en place et polymérisé (Figs. 24-25).
Cas 4
La patiente MP, une femme âgée de 42 ans, s’est présentée à notre centre dentaire en vue d’une restauration de l’arcade supérieure gauche, qui présentait un édentement au niveau de la première prémolaire (Fig. 26). Pour des raisons financières, le choix s’est porté sur un bridge papillon (bridge Maryland) en composite, collé sur les dents voisines (dent 13 et dent 15, Fig. 27).
Afin de renforcer l’adhésion, les surfaces des dents et le bridge ont été exposés au rayonnement d’un laser Er:YAG (LightWalker AT, Fotona, Slovénie) avant le scellement. Les réglages du dispositif étaient les suivants : 150 mJ, 10 Hz, mode impulsionnel déclenché (SSP), pièce à main sans contact, pulvérisation air/eau (Figs. 28–29). Les surfaces ont été rincées, séchées puis une couche d’adhésif a été appliquée et polymérisée au moyen d’une lampe à diode électroluminescente (LED). Ensuite une couche de résine composite a été appliquée, le bridge mis en place et polymérisé (Figs. 30 et 31).
_Conclusion
Depuis son introduction en dentisterie, le laser Er:YAG a démontré sa capacité à traiter un nombre toujours plus important de cas cliniques, avec des avantages considérables en termes de résultats, de satisfaction et de confort des patients. Aujourd’hui, grâce à l’efficacité pour éliminer les résines composites, il est possible de faire appel à cette technologie pour reconstruire d’anciennes restaurations en composite et parvenir à une apparence esthétique très satisfaisante. Il est aussi possible de renforcer l’adhésion de prothèses non-métalliques avec des résultats excellents en termes de force de liaison._
Note de la rédaction : une liste de références est disponible auprès de l’éditeur.
Cet article est paru dans le magazine DT Study Club, Vol. 2, numéro 2, juin 2015
La conduite à tenir face à toute péri-implantite doit être en premier lieu une analyse approfondie de la situation clinique et la mise en évidence...
Le laser Er:YAG a été le premier laser médical agrée par la FDA pour les tissus durs et les tissus mous en dentisterie, ...
C’est en 1990 que Hibst et Keller ont pour la première fois suggéré l’utilisation du laser Er:YAG pour l’ablation des...
Liste des traitements (nomenclature FDI)
_Dent 22 mbd : revêtement composite direct par mordançage à l'acide.
_Dent 21 mbd : ...
_Introduction
La maintenance parodontale est la clé du succès dans la prise en charge des parodontites (Axelsson et Lindhe, 1981). ...
La technique d’injection de résine composite est un nouveau procédé direct/indirect, tout à fait original, qui permet de ...
Les maladies parodontales sont parmi les pathologies de la bouche les plus répandues. La parodontite chronique, caractérisée par une ...
DAMMAM, Arabie Saoudite : La longévité esthétique reste une préoccupation centrale dans les restaurations composites antérieures, où le changement de ...
Une évaluation systématique récente de la carie dentaire chez des adultes en situation de handicap a fait état d’un taux ...
Selon le constructeur, l'innovant Air-Flow handy perio est le premier et le seul appareil portable perio qui rende possible et efficace l'élimination...
Webinaire en direct
jeu. le 14 mai 2026
à 18h00 (CET) Paris
Webinaire en direct
jeu. le 14 mai 2026
à 20h00 (CET) Paris
Prof. Hani Ounsi DDS PhD FICD
Webinaire en direct
mar. le 19 mai 2026
à 17h00 (CET) Paris
Webinaire en direct
mar. le 19 mai 2026
à 19h00 (CET) Paris
Prof. Dr. med. dent. Ivo Krejci
Webinaire en direct
mer. le 20 mai 2026
à 13h00 (CET) Paris
Dr. Graham Carmichael BDSc (Hons), DClinDent (Pros), FRACDS, Dr. Robert Gottlander DDS
Webinaire en direct
mer. le 20 mai 2026
à 15h00 (CET) Paris
Webinaire en direct
mer. le 20 mai 2026
à 19h00 (CET) Paris
Prof. Dr. med. dent. Tim Joda PhD, MSc, eMBA
To post a reply please login or register