Search Dental Tribune

Réadaptation esthétique de dents antérieures hypoplasiques en utilisant le Laser LiteTouch Er:YAG. Un rapport de cas.

Dr. Georgi Tomov, PhD Département de dentisterie opératoire et d'endodontie, Faculté de médecine dentaire, Université de médecine, Plovdiv, Bulgarie

Dr. Georgi Tomov, PhD Département de dentisterie opératoire et d'endodontie, Faculté de médecine dentaire, Université de médecine, Plovdiv, Bulgarie

mer. 19 janvier 2011

Enregistrer

L'hypoplasie de l'émail (HE) est une anomalie de l'émail dentaire qui résulte en une quantité d'émail moindre que la normale. Le défaut peut être un petit noyau ou peut être largement répandu avec lequel la dent entière est déformée avec ses propriétés mécaniques amoindries (4). HE peut se produire sur des dents uniques ou multiples (6). Elle peut apparaître blanche, jaune ou brunâtre, avec une surface rugueuse ou piquetée (6, 8). Dans certains cas, la qualité de l'émail est affectée ainsi que la quantité (8). Les facteurs environnementaux et génétiques qui interfèrent avec la formation des dents sont supposés être responsables de HE. Cela comprend les traumatismes sur les dents, les infections pendant la grossesse ou la petite enfance, une mauvaise alimentation prénatale et postnatale, l'hypoxie, l'exposition aux produits chimiques toxiques et une variété de troubles héréditaires (6).

 

Le traitement des dents avec une hypoplasie de l'émail doit être déterminé sur une base individuelle. L'hypoplasie de l'émail pose des problèmes esthétiques sur les dents antérieures résultant en défauts psychologiques chez les jeunes patients. Le traitement pour les dents antérieures comprend les options suivantes :

1. Pour les dents sensibles sans usure, l'application d'agent de désensibilisation (comme le nitrate de potassium) est nécessaire.
2. S'il y a des préoccupations d'ordre esthétique, des restaurations en composite, directes ou indirectes, des facettes en porcelaine ou les couronnes en porcelaine peut être collés à la dent affectée après attaque chimique (2, 3, 10).

Le mordançage à l'acide est largement utilisé en dentisterie clinique pour faciliter la rétention mécanique des matériaux à base de résine sur les dents, en particulier les surfaces amélaires (2, 3). Pour une attaque chimique, la solution d'acide phosphorique 37% est la plus efficace, ayant produit le modèle le plus cohérent sur l'émail (11). Le mordançage de l'émail a une influence directe sur la rétention des matériaux composites en dentisterie adhésive. Pour le mordançage, il est possible d'utiliser l'acide phosphorique ou d'autres méthodes alternatives telles l'aéropolissage, la croissance cristalline, les micro-rétentions avec la pierre ponce et le mordançage au laser (1, 5). Le mordançage de l'émail par l'acide peut être compliqué par la suppression de la surface, la variabilité de la profondeur de pénétration, le lavage et le séchage qui affectent la force de liaison (7).

Mordançage de l'émail hypoplasique.

Le succès de la liaison des résines aux dents peut être très dépendant de la réponse de l'émail au mordançage (9). En cas d'émail anormal, la durée standard de mordançage et / ou la concentration d'acide peut ne pas être appropriée(s) pour l'émail anormal (9). Des études ont montré que l'émail hypominéralisé ne présente pas les caractéristiques typiques du mordançage vu dans l'émail de contrôle (7, 9). Lors du mordançage, il peut y avoir un retrait uniforme de l'émail hypominéralisé, plutôt que les motifs différentiels de mordançage vus dans l'émail de contrôle non affecté (7, 9). Ce mordançage d'une structure moins organisée d'émail peut aboutir à un modèle qui n'est pas le schéma classique du mordançage, ce qui peut avoir un effet néfaste sur la liaison entre les matériaux adhésifs et l'émail touché (7). Pour cette raison, le dentiste devrait trouver une autre procédure pour la préparation de l'émail hypoplasique. Une des méthodes efficaces peut être de mordancer l'émail hypoplasique avec le laser Er: YAG.

Le laser LiteTouch Er: YAG (Syneron Dental Lasers, Israël) intègre un logiciel spécial, qui permet la plus large gamme de réglages de l'énergie et de la fréquence. Le système optique unique du LiteTouch incorporé dans la pièce à main ergonomique prévient la perte d'énergie et, avec le contrôle précis de la durée de l'impulsion, l'énergie d'impulsion et l'optimisation du taux de répétition, permet un large éventail de procédures sur tissus durs. Une autre caractéristique de ce laser est la longueur d'onde (2.940 nm) qui est absorbée principalement par l'eau et également par les pointes en saphir, montrant la stabilité dans la fourniture d'énergie concentré du rayonnement laser. Le mécanisme d'action LiteTouch repose sur l'interaction entre le rayonnement laser et les tissus durs imprégnés d'eau qui entraîne des micro-explosions. On pense que ce processus est le mécanisme d'ablation des particules à partir de tissus dentaires sans surchauffe, et sans formation de boue dentinaire (12). Cette combinaison permet une préparation précise de la cavité micro-invasive avec un chauffage minimal et le taux optimal d'absorption du rayonnement par l'eau incorporée dans l'hydroxylapatite. Le programme " tissus durs" supprime l'émail, la dentine et la carie dentaire de manière efficace et sans carbonisation visible ou perturbation de la microstructure dentaire. Les tissus dentaires traités avec le laser LiteTouch Er: YAG a montré surface rugueuse et irrégulière, sans présence de boue dentinaire (12). L'émail montre une structure prismatique préservée, mais aussi de fortes rétentions en raison des micro-explosions sur sa surface (12). Les changements observés correspondent à des changements dans les tissus dentaires durs signalés par d'autres auteurs dans des études antérieures sur l'Er: YAG (1, 5). Ces résultats suggèrent que l'Er: YAG peut être efficace dans le traitement de l'émail hypoplasique afin d'éviter le mordançage à l'acide.

Rapport de cas

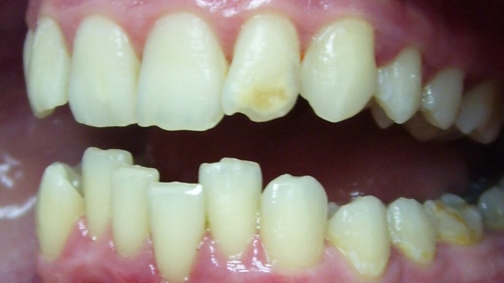
Une patiente de 16 ans a été envoyée à la Clinique de dentisterie opératoire et d'endodontie, Faculté de médecine dentaire, Université de médecine, Plovdiv, pour examen. La patiente avait l'incisive latérale gauche maxillaire à l'esthétique sévèrement altérée et a exprimé une baisse de la confiance en soi. Les incisives latérales est asymétrique et décolorées (figure 1).

Figure 1. Aspect clinique de la 22 affectée.

L'histoire de la patiente a révélé un traumatisme à l'âge de 3 à 4 ans. Par conséquent, l'étiologie de la pathologie existante a été associée à une lésion traumatique lors de la formation de l'émail, à savoir la dysplasie de Turner. La patiente a été informée sur l'étiologie de sa plainte et les options de traitement ont été évaluées. La patiente a préféré une modalité de traitement mini-invasive et esthétique. L'équipe soignante a décidé de restaurer la dent affectée antérieure avec la technique directe stratifiée en utilisant un système de collage et la préparation et au mordançage laser avant restauration. L'émail et la dentine hypoplasiques assombris qui pourraient nuire à l'aspect esthétique final de la réhabilitation ont été enlevés, et adaptés en résine composite. La préparation et le mordançage ont été réalisés avec le laser Er: YAG LiteTouch (Syneron, Israël) pendant 10 secondes sans anesthésie en "mode tissus durs" (400mJ/20Hz; 8.00W) (Figure 2 a, b). La dent a été séchée à l'air et le primer (3M Scotchbond Multi-Purpose Primer; 3M ESPE, St. Paul, USA) a été appliqué sur les surfaces et la séché avec un jet d'air pendant 20 secondes. L'agent de liaison (3M Scotchbond Multi-Purpose Adhésif; 3M ESPE, St. Paul, USA) a été appliqué et polymérisé avec une source de lumière pendant 10 secondes et les appositions de résine composite hybride (Filtek Supreme, 3M ESPE, St. Paul , USA) ont été placées et photopolymérisées pendant 40 secondes (Figure c, d). La finition et le polissage ont été réalisés avec des fraises diamantées ultrafines et des fraises à polir en caoutchouc. Le résultat final correspond aux attentes esthétiques de la patiente et aucune sensation de douleur lors de la procédure laser n'a été signalée. 

   Figure 2a, 2b. La préparation et le mordançage avec le laser Er: YAG LiteTouch (Syneron, Israël) en "mode tissus durs" (400mJ/20Hz; 8.00W). Voir la surface traitée par laser, séchée avec l'aspect crayeux.

   Figure 2c, 2d. Application de l'agent adhésif et vue de la restauration finale

Discussion

L'hypoplasie de l'émail pose des problèmes esthétiques sur les dents antérieures résultant en incidences psychologiques chez les patients jeunes (10). Cela rend le problème urgent du point de vue psycho-social. Un grand nombre de modalités de traitement sont connues pour le traitement des dents antérieures touchées par l'hypoplasie de l'émail (2, 3, 10). Le blanchiment des dents et la micro-abrasion sont des mesures non invasives avec réalisation de résultats acceptables dans l'élimination des taches d'émail et de défauts de surface mineurs. Quand il y a perte de structure dentaire associée à des malformations, l'utilisation de résines composites produit d'excellents résultats esthétiques et une longévité clinique stable. La méthode traditionnelle pour la restauration des zones hypoplasiques est de préparer la cavité et d'insérer une restauration. Malheureusement, ces techniques nécessitent une préparation de la cavité avec des instruments rotatifs et un mordançage supplémentaires avant le placement. Dans ce rapport de cas, l'efficacité d'une méthode raccourcie pour restaurer la dent hypoplasique en utilisant la préparation laser et la gravure au laser a été présentée.

Cette méthode serait particulièrement bénéfique pour les patients présentant des défauts de l'émail différents. Les avantages de la préparation et du mordançage laser sont la simplicité d'utilisation et un temps de traitement court pour obtenir des surfaces de rétention, sans acide. C'est important, parce que le motif de mordançage de l'émail défectueux est vague et n'a aucune ressemblance avec celui de l'émail normal (7, 9). Cela pourrait être dû à des différences de structure et de composition de l'émail défectueux. Seow WK et, Amaratunge (9) ont suggéré que la variation des motifs du mordançage pourrait être due à des différences dans l'orientation des cristallites par rapport à la direction de l'attaque ainsi que les différences de composition chimique entre les parties centrales et périphériques des prismes d'émail. Cette explication peut mettre en évidence la variation de la structure de l'émail qui peut se produire non seulement entre l'émail normal et défectueux, mais aussi de dent à dent, ou site à site, sur une surface de la dent unique (11). En outre, la variation des motifs de mordançage pour l'émail défectueux pourrait être le résultat d'étiologies différentes des défauts de l'émail de dents différentes qui sont inconnus (9). Ces variations peuvent entraîner des problèmes de la force de liaison (7).

   Figure 3 a, b, Les changements dans la surface de l'émail traitée au laser Er: YAG ne sont pas uniformes, mais ils résultent en une surface rugueuse et poreuse (grossissement x 3000). (Photos d'archives MEB le l'auteur)

Les variations des forces de liaison entre l'émail normal et défectueux pourraient être dues à la différence des modes de mordançage (7). Dans certains cas, ils pourraient être dus à une liaison à la dentine exposée plutôt que le collage à la couche d'émail complète. Le coefficient de variation de la force de liaison des données déclarées sont très élevés - 47% et 59% (7). Le coefficient de variation élevé suggère que la classification clinique de l'émail normal ne prédit pas de toute manière spécifique que le composite adhère mieux q lorsque l'émail est classé comme étant défectueux.

Différentes études résument les résultats de l'interaction du rayonnement laser Er: YAG avec les tissus dentaires durs (1, 5, 12). Il a été démontré que le plus d'énergie du Er: YAG peut très bien mordancer l'émail (1, 12). Avec un bon refroidissement, les zones traitées sont propres, sans préjudice pour les substances dures voisines et sans débris (12). Le laser Er: YAG produit peu de dommage thermique à la pulpe et aux tissus environnants lorsqu'il est utilisé avec de l'eau pulvérisée. L'anesthésie locale peut être éliminée dans la plupart des cas, ce qui prévoit une procédure plus confortable pour le patient. Les surfaces préparées avec l'Er: YAG LiteTouch sont caractérisées par une topographie accidentée et irrégulière, sans présence de boue dentinaire (Figure 3 a, b). Les procédures d'ablation laser changent l'émail et les surfaces semblaient présenter de fortes rétentions adaptées pour les restaurations adhésives.

Conclusion.

La technique du composite stratifié doit être considérée comme l'option de traitement primaire pour les cas d'hypoplasie de l'émail dans une tentative d'urgence pour améliorer la qualité de vie de ce type de patients. La préparation et le mordançage en même temps avec l'Er: YAG est facile à appliquer et permet d'éviter les risques liés à l'acide. Le temps de préparation est acceptable et, en admettant que la préparation au laser soit indolore, du point de vue du patient, il est bénéfique. Les premiers résultats de ce rapport de cas ont confirmé la préparation au laser comme étant une bonne alternative au mordançage à l'acide pour la réhabilitation esthétique des dents antérieures touchées par l'hypoplasie de l'émail.

 

Références

1. Baraba A, Miletic I, Krmek SJ, Perhavec T, Bozic Z, Anic I. Ablative Potential of the Erbium–Doped Yttrium Aluminium Garnet Laser and Conventional Handpieces: A Comparative Study. Photomedicine and Laser Surgery. 2009, 11:465-504
2. Crabb JJ. The restoration of hypoplastic anterior teeth using an acid-etched technique. J Dent 1975 3: 121-126
3. Johnson CG, Sayegh FS, O'Toole TJ. Acid-etch repair of hereditary type 4 enamel hypoplasia. J Am Dent Assoc. 1978 97(2):223-6
4. Mahoney E, Shaira M. Ismail F, Kilpatrick N, Swain M. Mechanical properties across hypomineralized/hypoplastic enamel of first permanent molar teeth. European Journal of Oral Sciences 2004 112(6):497–502
5. Matsumoto M, Hossain M, Tsuzuki N, Yamada Y. Morphological and Compositional Changes of Human Dentin after Er:YAG Laser Irradiation. J Oral Laser Applications 2003; 3:12 – 20
6. Needleman H, Leviton A. Macroscopic Enamel Defects of Primary Anterior Teeth-Types, Prevelence and Distribution. Pediatr Dent. 1991 13:208-216
7. Salama F, Barenie J, Fairhurst C,.Diab M. Sealant bond strengths and etching pattern on enamel defects, Saudi Dental Journal 1992 4(1); 15-20
8. Sauk J, Vickers J, Copeland J, Lyon H. The surface of genetically determined hypoplastic enamel in human teeth, Oral Surgery, Oral Medicine, Oral Pathology 1972 34(1):60-68
9. Seow WK, Amaratunge A. The Effects of Acid-Etching on Enamel From Different Clinical Variants of Amelogenesis Imperfecta: An SEM Study. Pediatric Dent. 1998 20:37-42
10. Soares CJ, Fonseca RB, Martins LRM, Giannini M. Esthetic Rehabilitation of Anterior Teeth Affected by Enamel Hypoplasia: A Case Report. J Esthet Restor Dent 2002 14: 340
11. Silverstone LM, Saxton CA, Dogon IL, Fejerskov O. Variation in the pattern of acid etching of human dental enamel examined by scanning electron microscopy. Caries Res 1975 9:373-87,
12. Tomov G., SEM evaluation of the morphological changes in hard dental tissues prepared by Er:YAG laser and rotary instruments. Saratov Journal of Medical Scientific Research 2010 6(3):667-671.

 

 

 

To post a reply please login or register
advertisement