La tradition orthodontique n'est pas différente et voit une querelle familière gronder depuis plus d'un siècle. En termes généraux, deux courants de pensée ont évolué.
La première, l'école traditionnelle (Angle 1907) travaille selon l'hypothèse que certaines dimensions du squelette sont intransigeantes (Cross 1977), et utilise, principalement, des appareils fixes pour obtenir les mouvements dento-alvéolaires.
Le second, l'école européenne historique (Andreson & Haupl 1936), repose sur la conviction que la fonction musculaire affecte la taille des mâchoires et des arcades dentaires, et que les appareils fonctionnels peuvent guérir la forme par traitement de la dysfonction.
Cet article ne s'attardera pas sur le cadavre malmené du débat entre les deux parties. Il est tout simplement non-scientifique de nous engager pour une ou l'autre cause, mais plutôt, nous devrions être guidés par l'abondance d'éléments probants, et être prêt à larguer les croyances passées en faveur de nouveaux éléments évidents.
Traditionalismes exhumés, progrès enterrés ?
"Dispenser un traitement orthodontique précoce, pour les enfants avec les dents supérieures en avant n'est pas plus efficace que de réaliser un traitement orthodontique, lorsque l'enfant est en début d'adolescence" (Cochrane Review 2007).
Turpin (2007) affirme que cette nouvelle "aidera le clinicien à se sentir moins sous pression pour commencer la correction rapide de cette malocclusion."
Il faut noter, cependant, que la conclusion de cette revue était basée simplement sur l'overjet, la comparaison entre gens du même âge, et l'angle ANB ; les premier et deuxième critères concernent les relations dento-alvéolaires, tandis que le troisième décrit comment le maxillaire et la mandibule se rapprochent l'un à l'autre, et non au reste du crâne.
Il n'y a pas d'évaluation du profil des tissus mous, et ces critères ne sont, tout simplement, pas représentatifs de la manière dont est le visage.
De plus, il n'y a aucune mention de complications telles la résorption radiculaire (Ballard et al. 2009), le traumatisme des incisives (Justus 2008), les lésions des taches blanches (Willmot 2008) et de l'endommagement des profils faciaux avec des extractions de prémolaires, qui sont toutes associées à des interventions plus tardives.
"Chaque fois qu'il y a une lutte entre les muscles et les os, les os cèdent" (Graber 1963)
Le rôle des muscles dans la structuration des os et des arcades dentaires est un fait immuable. De nombreuses études ont montré que la fonction des muscles masticatoires augmente la croissance suturale dans le complexe cranio-facial et stimule l'apposition d'os (Kiliaridis 2006). En outre, il n'y a pas simplement la mastication, mais tout la gamme des fonctions musculaires qui influe sur l'os, comme la déglutition, la respiration, la succion et de la parole.
Les études électromyographiques ont également révélé que les muscles ont le pouvoir de remodeler l'os et les arcades, même en position de repos postural, comme compensation pour les altérations myofonctionnelle des dysharmonies structurelles (de Souza et al. 2008).
Les études ont jeté une lueur rétrospective sur le sentiment prémonitoire de Graber, 1963, que tout espoir d'un résultat stable repose sur le rétablissement de l'équilibre myofonctionnelle du système stomatognathique.
Cette preuve accablante indique clairement la nécessité d'un traitement d'être orienté vers une fonction de correction, car c'est la fonction qui affecte la forme.
L'orthodontie basée sur les preuves
Depuis sue l'épidémiologiste Sackett (1986) a observé que l'orthodontie allait de pair avec la scientologie, en termes de légitimité scientifique, l'industrie a fait un effort concerté pour se transformer. Plus d'orthodontistes ont embrassé ce changement de paradigme vers le poids de la preuve, qui repose fermement sur un traitement précoce et le traitement de la fonction musculaire.
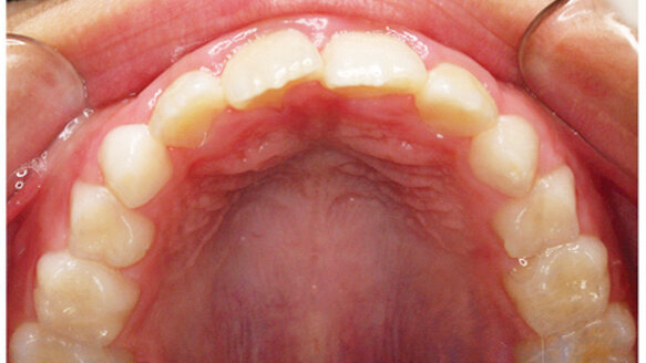
Un exemple en est une fillette de 9 ans avec maxillaire et mandibule étroits, rétrusifs, le surpeuplement de l'arcade supérieure et aplatissement antérieur de l'arcade inférieure. Un appareil d'expansion a été utilisé pour le maxillaire supérieur pour créer assez de place pour une posture correcte de la langue, en bouche, avec un appareil myofonctionnel.
Par un simple traitement de la fonction, après seulement quatre mois, la supraclusion était réduite de manière significative, l'espace resserré, en bas à droite a commencé à se rouvrir et l'alignement dentaire s'est également amélioré.
De toute évidence, la phase de traitement myofonctionnelle est encore incomplète et la phase dentaire n'a pas encore commencé, mais l'amélioration du profil du visage est déjà remarquable.
Il y a aura toujours une place importante pour les appareils fixes, car c'est encore le moyen le plus efficace pour déplacer une dent. Toutefois, les deux mondes sont loin d'être mutuellement exclusifs : nous pouvons réduire le temps nécessaire pour des brackets et améliorer grandement la stabilité du résultat et la plénitude de la face si nous intervenons précocement, avec un traitement myofonctionnel.
Une aube nouvelle se lève, dans ce milieu, celui dans lequel nous pouvons maintenant utiliser le meilleur des deux mondes pour un meilleur visage et de meilleures dents.
À propos de l'auteur
Le Docteur Rohan Wijey est diplômé, en 2009, de l'Université Griffith (Gold Coast, Queensland) où il a pris un intérêt particulier pour l'orthodontie et, en particulier, l'orthodontie myofonctionnelle. Il a commencé à travailler avec Myofucntional Research, en 2007, menant des recherches et écrivant des articles sur, et l'orthodontie myofonctionnelle, et l'orthodontie traditionnelle. Wijey est maintenant impliqué dans un vaste programme de troisième cycle d'études en orthodontie et myofonctionnelle et traditionnelle et les troubles de l'ATM.
TAMPERE, Finlande : La relation de longue date entre les bactéries buccales et les maladies systémiques prend une nouvelle importance à la lumière des ...
CHICAGO, États-Unis : Un nouveau rapport commandé par l’American Association of Endodontists (AAE – Association américaine des endodontistes) ...
PARIS, France : Le vendredi 27 janvier 2017 sera une date à marquer d’un fer rouge dans l’histoire de notre profession. Les ...
SAINT-DENIS, France: La déclaration d’un effet indésirable lié à un médicament, effectuée directement par le...
L’European Aligner Society (EAS) récemment tenu son sixième congrès sur l’île de Rhodes, en Grèce, proposant un programme riche en enseignements et...
CHAMPIGNY-SUR-MARNE, France : La société Airel-Quetin invite les chirurgiens-dentistes à une soirée exclusive le 26 juin 2025 à partir de 18h, en ...
BONN, Allemagne : Une étude menée par des chercheurs de l’hôpital universitaire de Bonn a révélé que des gouttières orthodontiques transparentes ...
BRUXELLES, Belgique: En avril, le Parlement européen a voté pour mettre en place deux nouvelles règlementations relatives aux dispositifs médicaux. ...
Depuis 30 ans les pouvoirs publics nous imposent leurs vues de la dentisterie que nous acceptons sans broncher ou presque au nom du « cela aurait pu ...
Le Dr Tommaso Castroflorio est le président et le directeur de la formation de l’European Aligner Society (EAS). Enseignant, chercheur et orthodontiste ...
Webinaire en direct
jeu. le 7 mai 2026
à 2h00 (CET) Paris
Ms. Ellen Karlin, Dr. Sara Karlin
Webinaire en direct
jeu. le 7 mai 2026
à 17h00 (CET) Paris
Webinaire en direct
jeu. le 7 mai 2026
à 18h00 (CET) Paris
Webinaire en direct
jeu. le 7 mai 2026
à 18h00 (CET) Paris
Dra. Maria Carolina Erhardt, Dra. Thais Tomé Feldens
Webinaire en direct
jeu. le 7 mai 2026
à 20h30 (CET) Paris
Webinaire en direct
lun. le 11 mai 2026
à 18h00 (CET) Paris
Webinaire en direct
lun. le 11 mai 2026
à 19h00 (CET) Paris
To post a reply please login or register