Search Dental Tribune

Articles

Filtrer

Novembre : opération Moi(s) sans tabac

PARIS, France : Le tabagisme est la première cause de mortalité évitable en France : 78 000 décès chaque année, ...

Enregistrer

UNECD, nouveau président et nouvelle équipe

NICE, France : Le Congrès National de l'Union nationale des étudiants en chirurgie dentaire (UNECD) a eu lieu à Nice du 20 au 23 ...

Enregistrer

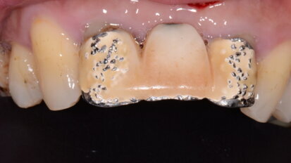
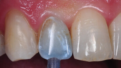
Nouvelle génération de matériaux pour reconstitution de moignons.

SARREGUEMINES, France : Visalys Core est notre nouveau composite fluoré à double mode de polymérisation pour la reconstitution de ...

Enregistrer

Compte à rebours : congrès de l’ADF dans moins d´un mois

PARIS, France : Faire en sorte que les soins bucco-dentaires ne soient plus appréhendés de manière isolée mais comme faisant ...

Enregistrer

Dentiste : Quelles obligations pour la mise en ligne de mon site internet?

PARIS, France : Prise de rendez-vous en ligne, envoi de SMS pour le suivi des rendez-vous les rappels de patients, il est aujourd’hui incontestable ...

Enregistrer

Allez, GO !

Le dernier aligner dentaire esthétique d’Align Technology, spécialement conçu pour les dentistes, jouit d’un ...

Enregistrer
advertisement

L’EAO accueille à Paris des spécialistes de l’implant dentaire

PARIS, France: Du 29 septembre au 1 octobre, les spécialistes de l’ostéo-intégration issus du monde entier se réuniront ...

Enregistrer

La fondation des «Gueules Cassées » organise une journée scientifique, Sourire quand même

PARIS, France : Depuis sa création en 2001, la Fondation des « Gueules Cassées » mène de nombreux projets liés ...

Enregistrer

Interview : « Quand on travaille avec Colibri, on peut se consacrer sans soucis à son métier. »

KRIENS, Suisse : La société suisse Colibri Dental allège les charges financières en permettant aux dentistes ...

Enregistrer

Passion de dents, passion dehors : Un confrère en Or…

PARIS, France : Breton d’origine, Pierre Le Coq a grandi au milieu d’une famille de « voileux ». Ce n’est donc pas un hasard ...

Enregistrer

UFSBD : XVIIème Colloque National « Santé bucco-dentaire. Et si, là aussi, tout se jouait avant 6 ans ? »

PARIS, France : L’Union française pour la santé bucco-dentaire (UFSBD) se positionne comme un véritable acteur de santé ...

Enregistrer

Nouveau système Invisalign GO

AMSTERDAM – Align Technology, fabricant de l’appareil dentaire quasi-invisible Invisalign, reconnu meilleur aligner transparent du monde, lance ...

Enregistrer
advertisement

Les associations dentaires du Cambodge et de Palestine lauréates des FDI Smile Award 2016

POZNAŃ, Pologne : Chaque année, le congrès de la FDI offre l’opportunité de découvrir les innovations scientifiques et cliniques de l’odontologie ...

Enregistrer

Interview : « nous avons la responsabilité de trouver de meilleures solutions de substitution aux amalgames dentaires, qui soient plus sûres et abordables »

Le 9 septembre, la Fédération dentaire internationale a accueilli les congressistes au forum mondial de santé bucco-dentaire World Oral...

Enregistrer

Webinaire gratuit : L’Optimisation esthétique via le numérique

PARIS, France : La société Henry Schein a lancé une nouvelle version en langue française de la plateforme e-learning Connect ...

Enregistrer

Dispositifs médicaux: le conseil de l'Europe confirme l'accord avec le Parlement européen

BRUXELLES, Belgique : Les législateurs et régulateurs européens ont publié plus tôt que prévu les très ...

Enregistrer
advertisement

Interview: “Il faut augmenter l’attractivité pour les clients”

 Avec chaque lettre d’information, l’ADDE mène une interview d’un des principaux représentants de l'industrie dentaire ...

Enregistrer

Septembre : Brexit et un nouveau sundae du marché

 Je suis heureux de vous présenter la deuxième lettre d'information de l’Association of Dental Dealers in Europe (ADDE), ...

Enregistrer

Liste des Congrès : septembre – octobre

Les deux prochains mois seront marqués par un grand nombre de rencontres dentaires importantes qui se dérouleront en Europe. Ainsi, le ...

Enregistrer

Congrès en odontologie en Europe : septembre – octobre

Les deux prochains mois seront marqués par un grand nombre de rencontres importantes en odontologie qui se dérouleront en Europe. Ainsi, le congrès 2016 ...

Enregistrer
advertisement

DT Study Club : entre congrès internationaux et vidéoconférences

PARIS, France : Dental Tribune Study Club est une communauté en ligne d’enseignement à distance présente dans de nombreux pays de...

Enregistrer

L’efficacité du fil dentaire : débat inter-dental

LEIPZIG, Allemagne : Le 2 août, Une enquête de l’agence Associated Press (AP) metttait en cause les preuves scientifiques de l’efficacité du fil ...

Enregistrer
advertisement

UNECD : Retour du Népal et départ pour le Maroc

Alors que certains étudiants de l’Union nationale des étudiants en chirurgie-dentaire (UNECD) rentrent de mission du Népal, ...

Enregistrer

Webinaire : Apport du cone-beam dans la pratique omnipraticienne

PARIS, France : Le cone-beam est devenu l´examen de première intention et de référence en implantologie. Découvrez, le ...

Enregistrer

Enquête EDSA sur la pratique clinique des étudiants en dentaire

RENNES, France : 10 % des étudiants en dentaire n'ont jamais exercé sur un patient à l'issue de leur formation initiale, voici ce que ...

Enregistrer

Webinaire : L’Optimisation esthétique via le numérique

PARIS, France : Le numérique a révolutionné le domaine dentaire. Afin de répondre à de nombreuses questions concernant l´utilisation des logiciels ...

Enregistrer
advertisement

La cigarette électronique : un moyen de sevrage recommandable ?

LYON, France : La cigarette électronique est devenue en quelques années une alternative séduisante au tabac qui ne cesse de faire des ...

Enregistrer

Une aide financière accordée aux victimes de Dentexia

PARIS, France : L’Inspection générale des affaires sociales (IGAS) a remis, jeudi 28 juillet, son rapport à Marisol Touraine, ...

Enregistrer

Prise en charge de patiens de centres dentaires low-costs : recommandations de l’ONCD

PARIS, France : Afin d’accompagner les praticiens dans leurs démarches en cas de sollicitation de patients victimes de centre dentaires ...

Enregistrer

UNECD Solidarité Internationale : projets Népal et Maroc 2016

PARIS, France : Pour la seconde année consécutive, le pôle solidarité internationale de l’Union nationale des ...

Enregistrer
advertisement
advertisement