Search Dental Tribune

Articles

Filtrer

EuroPerio11 examine en profondeur la santé bucco-dentaire des femmes à travers les différentes étapes de la vie

VIENNE, Autriche : La santé bucco-dentaire des femmes ne se limite pas à un beau sourire — c’est un aspect essentiel du bien-être général qui est ...

Enregistrer

IFRO : Appel à projets 2025

L’Institut français pour la recherche odontologique (IFRO) ouvre son 25e appel à projets de soutien à la recherche dans le domaine de ...

Enregistrer

Séance phare du congrès de l’ADF

Rendez-vous le mercredi 27 novembre à 9h00 pour la séance phare du congrès de l’ADF 2024. Cette année la séance phare sera inédite dans sa ...

Enregistrer

Mon unité dentaire autonome P3 Master, totalement flexible, permet de réaliser des économies

La plupart des dentistes sont gênés par des coûts de construction élevés et des unités dentaires immobiles. Avec la P3 Master, nous aidons nos clients...

Enregistrer

Venez découvrir le stand MORITA à l’ADF 2024 : nouveautés, solutions de pointe et offres exclusives

Du 26 au 30 novembre, rendez-vous à l’ADF sur le stand 2L16 pour découvrir en direct toutes les innovations MORITA : des systèmes de radiographie ...

Enregistrer

ADF 2024 – Nicolas Lehmann vous invite à vivre une expérience de formation intense et inédite !

Expert « en restauratrice », deux fois membre de comité scientifique, Nicolas Lehmann est désormais le directeur scientifique du congrès de l’ADF ...

Enregistrer
advertisement

La maîtrise de la désinfection interne de l’unit dentaire : explications

L’activité des chirurgiens-dentistes et des stomatologistes comprend de très nombreux actes invasifs. La mise en place de bonnes pratiques visant à ...

Enregistrer

Une université de renom défend une approche holistique de la durabilité

MONTREAL, Canada: Alors que le monde prend de plus en plus conscience de l’impact important des sociétés capitalistes industrielles sur ...

Enregistrer

Les outils d'IA pour l'anesthésiologie dentaire sont prometteurs mais nécessitent encore du travail

YOKOSUKA, Japon : Les grands modèles de langage (LLMs), un type d’outil d’intelligence artificielle (IA), gagnent en popularité dans diverses ...

Enregistrer

Nous n'y pensons pas forcément, mais la technologie cloud a considérablement simplifié notre vie, même si ce n'est pas toujours visible

En passant à la nouvelle plate-forme de travail 3Shape Unite de troisième génération, les praticiens utilisant les scanners 3Shape TRIOS peuvent ...

Enregistrer

Le programme Practice Pink d'Henry Schein soutient les patients atteints de cancer

Le programme 2024 Practice Pink est une initiative de Henry Schein Cares, le programme mondial de citoyenneté d’entreprise de la société et a permis de...

Enregistrer

Échographie transalvéolaire dans le diagnostic des lésions inflammatoires de l’os

Dans notre pratique quotidienne, il nous arrive de rencontrer des patients se plaignant de douleurs diffuses, difficiles à diagnostiquer avec nos examens ...

Enregistrer
advertisement

Aria digital 2024 : innover et élargir les horizons de la dentisterie moderne

LYON, France : Les 9es rencontres internationales aria digital ont poursuivi une aventure débutée il y a 18 ans, initiée par le Dr Jean-Pierre Moiroud, ...

Enregistrer

La cavité d’accès en endodontie : les trois principes pour un résultat prédictible dans les cas complexes

La préparation de la cavité d’accès représente la première étape opératoire de tout traitement endodontique, et son rôle est fondamental pour ...

Enregistrer

Avec Dental Network, il est possible de révolutionner le flux numérique en testant gratuitement son équipement CFAO  

Les praticiens souhaitant se lancer dans le digital peuvent parfois se retrouver face à des incertitudes quant au choix du système de scanner intra-oral ...

Enregistrer

Aria digital 2024 : ne manquez pas cet incontournable de la dentisterie numérique

LYON, France : Du 3 au 5 octobre 2024, Eurexpo Lyon accueille les 9es rencontres internationales aria digital, un événement majeur réunissant ...

Enregistrer
advertisement

La corrosion des implants dentaires : facteur de risque des péri-implantites. Les implants zircone une alternative préventive

Le titane est l’un des matériaux les plus utilisés pour les implants dentaires en raison de sa résistance mécanique, de sa biocompatibilité et de son...

Enregistrer

25e colloque de l’UFSBD : ensemble pour une génération sans carie

PARIS, France : L’UFSBD organise son 25e colloque de santé publique, « Génération sans carie : tous acteurs dans nos cabinets dentaires », en ...

Enregistrer

L'ICD est le nouveau siège du Global Oral Health Leadership Institute

FLINT, États-Unis : L’International College of Dentists (ICD) [Collège international des dentistes]) est fier d’annoncer la transition du Senior ...

Enregistrer

Selon une étude, la parodontite augmente le risque d’accident vasculaire cérébral chez les jeunes

L’accident vasculaire cérébral (AVC) est la deuxième cause de décès dans le monde et il a été démontré que la parodontite est associée...

Enregistrer
advertisement

Des chercheurs développent une nouvelle approche de la restauration dentaire grâce à l’impression 3D

Les flux de travail numériques sont constamment améliorés grâce à des innovations dans les tech­niques, les logiciels et les maté­riaux, et ...

Enregistrer

Dentsply Sirona présente Primescan 2, le premier scanner intra-oral conçu pour le cloud

BENSHEIM, Allemagne : Dentsply Sirona a lancé Primescan 2, un scanner intra-oral de nouvelle génération qui ouvre une nouvelle ère de soins ...

Enregistrer
advertisement

Présentation de l'UltraCraft A3D de HeyGears  : un outil qui révolutionne les laboratoires dentaires hautement-digitalisés

Guangdong, Chine et Buffalo, États-Unis : Dans le paysage technologique dentaire actuel qui évolue rapidement, l’efficacité, la précision et ...

Enregistrer

« L’interaction interprofessionnelle peut améliorer les soins aux patients »

Dans un environnement de soins de santé en évolution rapide, l’intégration des soins médicaux et dentaires suscite une attention croissante. Le ...

Enregistrer

Embrasser l’avenir de la dentisterie : neuvièmes rencontres internationales aria digital à Eurexpo Lyon

La communauté dentaire est en ef­fervescence à l’approche des 9es ren­contres internationales aria digital, qui se tiendront à Eurexpo Lyon du...

Enregistrer

Des chercheurs britanniques identifient une bactérie capable de détruire le cancer de la tête et du cou

LONDRES, Angleterre : Le traitement du cancer de la tête et du cou est notoirement complexe, et peu de progrès ont été réalisés au cours des 20 ...

Enregistrer
advertisement

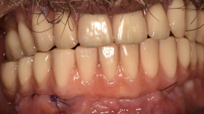
Traitement implantaire du patient édenté – Apport des techniques numériques

Une patiente de 82 ans se présente à la consultation pour une réhabilitation globale : le bridge maxillaire est en mobilité 3 et les dents résiduelles ...

Enregistrer

Personal Oral Protocol – L'approche des nouveaux outils de communications entre le cabinet dentaire et le laboratoire

Dans le domaine de la prothèse dentaire, la communication digitale a connu une révolution majeure au cours des dernières années, transformant la ...

Enregistrer

La recherche montre qu’un traitement non chirurgical mini-invasif est efficace pour les défauts intra-osseux

LONDRES, Royaume-Uni : Malgré les améliorations apportées aux traitements, les défauts intra-osseux sont associés à la progression de la maladie...

Enregistrer

Interventions de chirurgies implantaires et dentaires – Traitements postopératoires

Après avoir abordé précédemment la préparation des interventions de chirurgies implantaires et dentaires, puis les traitements préopératoires, les ...

Enregistrer
advertisement